About   Help   FAQ
Gene Expression Data
Assay Details
Assay
Reference: J:153498 Diez-Roux G, et al., A high-resolution anatomical atlas of the transcriptome in the mouse embryo. PLoS Biol. 2011;9(1):e1000582
Assay type: RNA in situ
MGI Accession ID: MGI:4828955
Gene symbol: Tsnax
Gene name: translin-associated factor X
Probe: MGC clone 7979
Probe preparation: Antisense labelled with digoxigenin RNA
Visualized with: Alkaline phosphatase
Assay notes: Cryosections of fresh frozen material were fixed in 4% paraformaldehyde for 20 min. before further processing. A tyramide-biotin/streptavidin amplification step was included in the in situ hybridization procedure.
Results
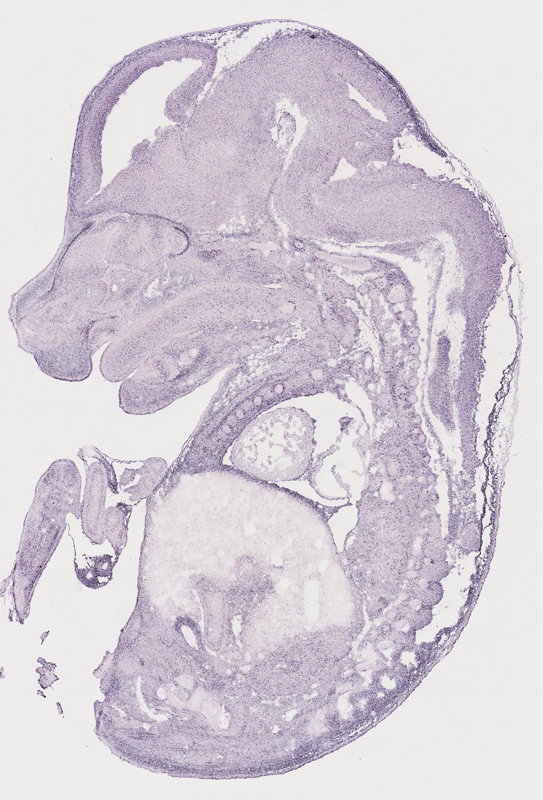
Specimen euxassay_004475_01: embryonic day 14.5 (more )
Structure Level Pattern Image Note
TS23: body cavity or lining Strong Regionally restricted euxassay_004475_01
TS23: cardiovascular system Strong Regionally restricted euxassay_004475_01
TS23: gland Strong Regionally restricted euxassay_004475_01
TS23: integumental system Strong Regionally restricted euxassay_004475_01
TS23: nervous system Strong Regionally restricted euxassay_004475_01
TS23: sensory organ system Strong Regionally restricted euxassay_004475_01
TS23: alimentary system Strong Regionally restricted euxassay_004475_01
TS23: urinary system Strong Regionally restricted euxassay_004475_01
TS23: reproductive system Strong Regionally restricted euxassay_004475_01
TS23: respiratory system Strong Regionally restricted euxassay_004475_01
TS23: limb Strong Regionally restricted euxassay_004475_01
TS23: skeleton Strong Regionally restricted euxassay_004475_01
TS23: tail Strong Regionally restricted euxassay_004475_01
TS23: tail nervous system Strong Regionally restricted euxassay_004475_01
TS23: tail skeleton Strong Regionally restricted euxassay_004475_01
TS23: vertebral axis musculature Strong Regionally restricted euxassay_004475_01

Specimen euxassay_004475_02: embryonic day 14.5 (more )
Structure Level Pattern Image Note
TS23: body cavity or lining Strong Regionally restricted euxassay_004475_02
TS23: limb Strong Regionally restricted euxassay_004475_02
TS23: cardiovascular system Strong Regionally restricted euxassay_004475_02
TS23: gland Strong Regionally restricted euxassay_004475_02
TS23: integumental system Strong Regionally restricted euxassay_004475_02
TS23: nervous system Strong Regionally restricted euxassay_004475_02
TS23: sensory organ system Strong Regionally restricted euxassay_004475_02
TS23: alimentary system Strong Regionally restricted euxassay_004475_02
TS23: urinary system Strong Regionally restricted euxassay_004475_02
TS23: reproductive system Strong Regionally restricted euxassay_004475_02
TS23: respiratory system Strong Regionally restricted euxassay_004475_02
TS23: skeleton Strong Regionally restricted euxassay_004475_02
TS23: tail Strong Regionally restricted euxassay_004475_02
TS23: tail nervous system Strong Regionally restricted euxassay_004475_02
TS23: tail skeleton Strong Regionally restricted euxassay_004475_02
TS23: vertebral axis musculature Strong Regionally restricted euxassay_004475_02

Specimen euxassay_004475_03: embryonic day 14.5 (more )
Structure Level Pattern Image Note
TS23: body cavity or lining Strong Regionally restricted euxassay_004475_03
TS23: limb Strong Regionally restricted euxassay_004475_03
TS23: cardiovascular system Strong Regionally restricted euxassay_004475_03
TS23: gland Strong Regionally restricted euxassay_004475_03
TS23: integumental system Strong Regionally restricted euxassay_004475_03
TS23: nervous system Strong Regionally restricted euxassay_004475_03
TS23: sensory organ system Strong Regionally restricted euxassay_004475_03
TS23: alimentary system Strong Regionally restricted euxassay_004475_03
TS23: urinary system Strong Regionally restricted euxassay_004475_03
TS23: reproductive system Strong Regionally restricted euxassay_004475_03
TS23: respiratory system Strong Regionally restricted euxassay_004475_03
TS23: skeleton Strong Regionally restricted euxassay_004475_03
TS23: tail Strong Regionally restricted euxassay_004475_03
TS23: vertebral axis musculature Strong Regionally restricted euxassay_004475_03

Specimen euxassay_004475_04: embryonic day 14.5 (more )
Structure Level Pattern Image Note
TS23: body cavity or lining Strong Regionally restricted euxassay_004475_04
TS23: limb Strong Regionally restricted euxassay_004475_04
TS23: cardiovascular system Strong Regionally restricted euxassay_004475_04
TS23: gland Strong Regionally restricted euxassay_004475_04
TS23: integumental system Strong Regionally restricted euxassay_004475_04
TS23: nervous system Strong Regionally restricted euxassay_004475_04
TS23: sensory organ system Strong Regionally restricted euxassay_004475_04
TS23: alimentary system Strong Regionally restricted euxassay_004475_04
TS23: urinary system Strong Regionally restricted euxassay_004475_04
TS23: reproductive system Strong Regionally restricted euxassay_004475_04
TS23: respiratory system Strong Regionally restricted euxassay_004475_04
TS23: skeleton Strong Regionally restricted euxassay_004475_04
TS23: tail Strong Regionally restricted euxassay_004475_04
TS23: vertebral axis musculature Strong Regionally restricted euxassay_004475_04

Specimen euxassay_004475_05: embryonic day 14.5 (more )
Structure Level Pattern Image Note
TS23: body cavity or lining Strong Regionally restricted euxassay_004475_05
TS23: limb Strong Regionally restricted euxassay_004475_05
TS23: cardiovascular system Strong Regionally restricted euxassay_004475_05
TS23: gland Strong Regionally restricted euxassay_004475_05
TS23: integumental system Strong Regionally restricted euxassay_004475_05
TS23: nervous system Strong Regionally restricted euxassay_004475_05
TS23: sensory organ system Strong Regionally restricted euxassay_004475_05
TS23: visceral organ system Strong Regionally restricted euxassay_004475_05
TS23: alimentary system Strong Regionally restricted euxassay_004475_05
TS23: urinary system Strong Regionally restricted euxassay_004475_05
TS23: reproductive system Strong Regionally restricted euxassay_004475_05
TS23: respiratory system Strong Regionally restricted euxassay_004475_05
TS23: skeleton Strong Regionally restricted euxassay_004475_05
TS23: tail Strong Regionally restricted euxassay_004475_05
TS23: vertebral axis musculature Strong Regionally restricted euxassay_004475_05

Specimen euxassay_004475_06: embryonic day 14.5 (more )
Structure Level Pattern Image Note
TS23: body cavity or lining Strong Regionally restricted euxassay_004475_06
TS23: limb Strong Regionally restricted euxassay_004475_06
TS23: cardiovascular system Strong Regionally restricted euxassay_004475_06
TS23: gland Strong Regionally restricted euxassay_004475_06
TS23: integumental system Strong Regionally restricted euxassay_004475_06
TS23: nervous system Strong Regionally restricted euxassay_004475_06
TS23: sensory organ system Strong Regionally restricted euxassay_004475_06
TS23: alimentary system Strong Regionally restricted euxassay_004475_06
TS23: urinary system Strong Regionally restricted euxassay_004475_06
TS23: reproductive system Strong Regionally restricted euxassay_004475_06
TS23: respiratory system Strong Regionally restricted euxassay_004475_06
TS23: skeleton Strong Regionally restricted euxassay_004475_06
TS23: tail Strong Regionally restricted euxassay_004475_06
TS23: vertebral axis musculature Strong Regionally restricted euxassay_004475_06

Specimen euxassay_004475_07: embryonic day 14.5 (more )
Structure Level Pattern Image Note
TS23: body cavity or lining Strong Regionally restricted euxassay_004475_07
TS23: limb Strong Regionally restricted euxassay_004475_07
TS23: cardiovascular system Strong Regionally restricted euxassay_004475_07
TS23: gland Strong Regionally restricted euxassay_004475_07
TS23: integumental system Strong Regionally restricted euxassay_004475_07
TS23: nervous system Strong Regionally restricted euxassay_004475_07
TS23: sensory organ system Strong Regionally restricted euxassay_004475_07
TS23: alimentary system Strong Regionally restricted euxassay_004475_07
TS23: urinary system Strong Regionally restricted euxassay_004475_07
TS23: reproductive system Strong Regionally restricted euxassay_004475_07
TS23: respiratory system Strong Regionally restricted euxassay_004475_07
TS23: skeleton Strong Regionally restricted euxassay_004475_07
TS23: tail Strong Regionally restricted euxassay_004475_07
TS23: vertebral axis musculature Strong Regionally restricted euxassay_004475_07

Specimen euxassay_004475_08: embryonic day 14.5 (more )
Structure Level Pattern Image Note
TS23: body cavity or lining Strong Regionally restricted euxassay_004475_08
TS23: limb Strong Regionally restricted euxassay_004475_08
TS23: cardiovascular system Strong Regionally restricted euxassay_004475_08
TS23: gland Strong Regionally restricted euxassay_004475_08
TS23: integumental system Strong Regionally restricted euxassay_004475_08
TS23: nervous system Strong Regionally restricted euxassay_004475_08
TS23: sensory organ system Strong Regionally restricted euxassay_004475_08
TS23: alimentary system Strong Regionally restricted euxassay_004475_08
TS23: urinary system Strong Regionally restricted euxassay_004475_08
TS23: reproductive system Strong Regionally restricted euxassay_004475_08
TS23: respiratory system Strong Regionally restricted euxassay_004475_08
TS23: skeleton Strong Regionally restricted euxassay_004475_08
TS23: tail Strong Regionally restricted euxassay_004475_08
TS23: vertebral axis musculature Strong Regionally restricted euxassay_004475_08

Specimen euxassay_004475_09: embryonic day 14.5 (more )
Structure Level Pattern Image Note
TS23: body cavity or lining Strong Regionally restricted euxassay_004475_09
TS23: limb Strong Regionally restricted euxassay_004475_09
TS23: cardiovascular system Strong Regionally restricted euxassay_004475_09
TS23: integumental system Strong Regionally restricted euxassay_004475_09
TS23: nervous system Strong Regionally restricted euxassay_004475_09
TS23: sensory organ system Strong Regionally restricted euxassay_004475_09
TS23: alimentary system Strong Regionally restricted euxassay_004475_09
TS23: urinary system Strong Regionally restricted euxassay_004475_09
TS23: reproductive system Strong Regionally restricted euxassay_004475_09
TS23: respiratory system Strong Regionally restricted euxassay_004475_09
TS23: skeleton Strong Regionally restricted euxassay_004475_09
TS23: tail Strong Regionally restricted euxassay_004475_09
TS23: vertebral axis musculature Strong Regionally restricted euxassay_004475_09

Specimen euxassay_004475_10: embryonic day 14.5 (more )
Structure Level Pattern Image Note
TS23: body cavity or lining Strong Regionally restricted euxassay_004475_10
TS23: limb Strong Regionally restricted euxassay_004475_10
TS23: cardiovascular system Strong Regionally restricted euxassay_004475_10
TS23: gland Strong Regionally restricted euxassay_004475_10
TS23: integumental system Strong Regionally restricted euxassay_004475_10
TS23: nervous system Strong Regionally restricted euxassay_004475_10
TS23: sensory organ system Strong Regionally restricted euxassay_004475_10
TS23: alimentary system Strong Regionally restricted euxassay_004475_10
TS23: urinary system Strong Regionally restricted euxassay_004475_10
TS23: reproductive system Strong Regionally restricted euxassay_004475_10
TS23: respiratory system Strong Regionally restricted euxassay_004475_10
TS23: skeleton Strong Regionally restricted euxassay_004475_10
TS23: tail Strong Regionally restricted euxassay_004475_10
TS23: vertebral axis musculature Strong Regionally restricted euxassay_004475_10

Specimen euxassay_004475_11: embryonic day 14.5 (more )
Structure Level Pattern Image Note
TS23: body cavity or lining Strong Regionally restricted euxassay_004475_11
TS23: limb Strong Regionally restricted euxassay_004475_11
TS23: cardiovascular system Strong Regionally restricted euxassay_004475_11
TS23: gland Strong Regionally restricted euxassay_004475_11
TS23: integumental system Strong Regionally restricted euxassay_004475_11
TS23: nervous system Strong Regionally restricted euxassay_004475_11
TS23: sensory organ system Strong Regionally restricted euxassay_004475_11
TS23: alimentary system Strong Regionally restricted euxassay_004475_11
TS23: urinary system Strong Regionally restricted euxassay_004475_11
TS23: reproductive system Strong Regionally restricted euxassay_004475_11
TS23: respiratory system Strong Regionally restricted euxassay_004475_11
TS23: skeleton Strong Regionally restricted euxassay_004475_11
TS23: tail Strong Regionally restricted euxassay_004475_11
TS23: vertebral axis musculature Strong Regionally restricted euxassay_004475_11

Specimen euxassay_004475_12: embryonic day 14.5 (more )
Structure Level Pattern Image Note
TS23: body cavity or lining Strong Regionally restricted euxassay_004475_12
TS23: limb Strong Regionally restricted euxassay_004475_12
TS23: cardiovascular system Strong Regionally restricted euxassay_004475_12
TS23: gland Strong Regionally restricted euxassay_004475_12
TS23: integumental system Strong Regionally restricted euxassay_004475_12
TS23: nervous system Strong Regionally restricted euxassay_004475_12
TS23: sensory organ system Strong Regionally restricted euxassay_004475_12
TS23: alimentary system Strong Regionally restricted euxassay_004475_12
TS23: urinary system Strong Regionally restricted euxassay_004475_12
TS23: reproductive system Strong Regionally restricted euxassay_004475_12
TS23: respiratory system Strong Regionally restricted euxassay_004475_12
TS23: skeleton Strong Regionally restricted euxassay_004475_12
TS23: tail Strong Regionally restricted euxassay_004475_12
TS23: vertebral axis musculature Strong Regionally restricted euxassay_004475_12

Specimen euxassay_004475_13: embryonic day 14.5 (more )
Structure Level Pattern Image Note
TS23: body cavity or lining Strong Regionally restricted euxassay_004475_13
TS23: limb Strong Regionally restricted euxassay_004475_13
TS23: cardiovascular system Strong Regionally restricted euxassay_004475_13
TS23: gland Strong Regionally restricted euxassay_004475_13
TS23: integumental system Strong Regionally restricted euxassay_004475_13
TS23: nervous system Strong Regionally restricted euxassay_004475_13
TS23: sensory organ system Strong Regionally restricted euxassay_004475_13
TS23: alimentary system Strong Regionally restricted euxassay_004475_13
TS23: urinary system Strong Regionally restricted euxassay_004475_13
TS23: reproductive system Strong Regionally restricted euxassay_004475_13
TS23: respiratory system Strong Regionally restricted euxassay_004475_13
TS23: skeleton Strong Regionally restricted euxassay_004475_13
TS23: tail Strong Regionally restricted euxassay_004475_13
TS23: vertebral axis musculature Strong Regionally restricted euxassay_004475_13

Specimen euxassay_004475_14: embryonic day 14.5 (more )
Structure Level Pattern Image Note
TS23: body cavity or lining Strong Regionally restricted euxassay_004475_14
TS23: limb Strong Regionally restricted euxassay_004475_14
TS23: cardiovascular system Strong Regionally restricted euxassay_004475_14
TS23: gland Strong Regionally restricted euxassay_004475_14
TS23: integumental system Strong Regionally restricted euxassay_004475_14
TS23: nervous system Strong Regionally restricted euxassay_004475_14
TS23: sensory organ system Strong Regionally restricted euxassay_004475_14
TS23: alimentary system Strong Regionally restricted euxassay_004475_14
TS23: urinary system Strong Regionally restricted euxassay_004475_14
TS23: reproductive system Strong Regionally restricted euxassay_004475_14
TS23: respiratory system Strong Regionally restricted euxassay_004475_14
TS23: skeleton Strong Regionally restricted euxassay_004475_14
TS23: tail Strong Regionally restricted euxassay_004475_14
TS23: vertebral axis musculature Strong Regionally restricted euxassay_004475_14

Specimen euxassay_004475_15: embryonic day 14.5 (more )
Structure Level Pattern Image Note
TS23: body cavity or lining Strong Regionally restricted euxassay_004475_15
TS23: limb Strong Regionally restricted euxassay_004475_15
TS23: cardiovascular system Strong Regionally restricted euxassay_004475_15
TS23: gland Strong Regionally restricted euxassay_004475_15
TS23: integumental system Strong Regionally restricted euxassay_004475_15
TS23: nervous system Strong Regionally restricted euxassay_004475_15
TS23: sensory organ system Strong Regionally restricted euxassay_004475_15
TS23: alimentary system Strong Regionally restricted euxassay_004475_15
TS23: reproductive system Strong Regionally restricted euxassay_004475_15
TS23: urinary system Strong Regionally restricted euxassay_004475_15
TS23: respiratory system Strong Regionally restricted euxassay_004475_15
TS23: skeleton Strong Regionally restricted euxassay_004475_15
TS23: tail Strong Regionally restricted euxassay_004475_15
TS23: vertebral axis musculature Strong Regionally restricted euxassay_004475_15

Specimen euxassay_004475_16: embryonic day 14.5 (more )
Structure Level Pattern Image Note
TS23: body cavity or lining Strong Regionally restricted euxassay_004475_16
TS23: limb Strong Regionally restricted euxassay_004475_16
TS23: cardiovascular system Strong Regionally restricted euxassay_004475_16
TS23: gland Strong Regionally restricted euxassay_004475_16
TS23: integumental system Strong Regionally restricted euxassay_004475_16
TS23: nervous system Strong Regionally restricted euxassay_004475_16
TS23: sensory organ system Strong Regionally restricted euxassay_004475_16
TS23: alimentary system Strong Regionally restricted euxassay_004475_16
TS23: urinary system Strong Regionally restricted euxassay_004475_16
TS23: reproductive system Strong Regionally restricted euxassay_004475_16
TS23: respiratory system Strong Regionally restricted euxassay_004475_16
TS23: skeleton Strong Regionally restricted euxassay_004475_16
TS23: tail Strong Regionally restricted euxassay_004475_16
TS23: vertebral axis musculature Strong Regionally restricted euxassay_004475_16

Specimen euxassay_004475_17: embryonic day 14.5 (more )
Structure Level Pattern Image Note
TS23: body cavity or lining Strong Regionally restricted euxassay_004475_17
TS23: limb Strong Regionally restricted euxassay_004475_17
TS23: cardiovascular system Strong Regionally restricted euxassay_004475_17
TS23: gland Strong Regionally restricted euxassay_004475_17
TS23: integumental system Strong Regionally restricted euxassay_004475_17
TS23: nervous system Strong Regionally restricted euxassay_004475_17
TS23: sensory organ system Strong Regionally restricted euxassay_004475_17
TS23: alimentary system Strong Regionally restricted euxassay_004475_17
TS23: urinary system Strong Regionally restricted euxassay_004475_17
TS23: reproductive system Strong Regionally restricted euxassay_004475_17
TS23: respiratory system Strong Regionally restricted euxassay_004475_17
TS23: skeleton Strong Regionally restricted euxassay_004475_17
TS23: tail Strong Regionally restricted euxassay_004475_17
TS23: vertebral axis musculature Strong Regionally restricted euxassay_004475_17

Specimen euxassay_004475_18: embryonic day 14.5 (more )
Structure Level Pattern Image Note
TS23: body cavity or lining Strong Regionally restricted euxassay_004475_18
TS23: limb Strong Regionally restricted euxassay_004475_18
TS23: cardiovascular system Strong Regionally restricted euxassay_004475_18
TS23: gland Strong Regionally restricted euxassay_004475_18
TS23: integumental system Strong Regionally restricted euxassay_004475_18
TS23: nervous system Strong Regionally restricted euxassay_004475_18
TS23: sensory organ system Strong Regionally restricted euxassay_004475_18
TS23: alimentary system Strong Regionally restricted euxassay_004475_18
TS23: urinary system Strong Regionally restricted euxassay_004475_18
TS23: reproductive system Strong Regionally restricted euxassay_004475_18
TS23: respiratory system Strong Regionally restricted euxassay_004475_18
TS23: skeleton Strong Regionally restricted euxassay_004475_18
TS23: tail Strong Regionally restricted euxassay_004475_18
TS23: vertebral axis musculature Strong Regionally restricted euxassay_004475_18

Specimen euxassay_004475_19: embryonic day 14.5 (more )
Structure Level Pattern Image Note
TS23: body cavity or lining Strong Regionally restricted euxassay_004475_19
TS23: limb Strong Regionally restricted euxassay_004475_19
TS23: cardiovascular system Strong Regionally restricted euxassay_004475_19
TS23: gland Strong Regionally restricted euxassay_004475_19
TS23: integumental system Strong Regionally restricted euxassay_004475_19
TS23: nervous system Strong Regionally restricted euxassay_004475_19
TS23: sensory organ system Strong Regionally restricted euxassay_004475_19
TS23: alimentary system Strong Regionally restricted euxassay_004475_19
TS23: urinary system Strong Regionally restricted euxassay_004475_19
TS23: reproductive system Strong Regionally restricted euxassay_004475_19
TS23: respiratory system Strong Regionally restricted euxassay_004475_19
TS23: skeleton Strong Regionally restricted euxassay_004475_19
TS23: tail Strong Regionally restricted euxassay_004475_19
TS23: vertebral axis musculature Strong Regionally restricted euxassay_004475_19

Specimen euxassay_004475_20: embryonic day 14.5 (more )
Structure Level Pattern Image Note
TS23: body cavity or lining Strong Regionally restricted euxassay_004475_20
TS23: limb Strong Regionally restricted euxassay_004475_20
TS23: cardiovascular system Strong Regionally restricted euxassay_004475_20
TS23: gland Strong Regionally restricted euxassay_004475_20
TS23: integumental system Strong Regionally restricted euxassay_004475_20
TS23: nervous system Strong Regionally restricted euxassay_004475_20
TS23: sensory organ system Strong Regionally restricted euxassay_004475_20
TS23: alimentary system Strong Regionally restricted euxassay_004475_20
TS23: urinary system Strong Regionally restricted euxassay_004475_20
TS23: reproductive system Strong Regionally restricted euxassay_004475_20
TS23: respiratory system Strong Regionally restricted euxassay_004475_20
TS23: skeleton Strong Regionally restricted euxassay_004475_20
TS23: tail Strong Regionally restricted euxassay_004475_20
TS23: vertebral axis musculature Strong Regionally restricted euxassay_004475_20

Specimen euxassay_004475_21: embryonic day 14.5 (more )
Structure Level Pattern Image Note
TS23: body cavity or lining Strong Regionally restricted euxassay_004475_21
TS23: limb Strong Regionally restricted euxassay_004475_21
TS23: cardiovascular system Strong Regionally restricted euxassay_004475_21
TS23: gland Strong Regionally restricted euxassay_004475_21
TS23: integumental system Strong Regionally restricted euxassay_004475_21
TS23: nervous system Strong Regionally restricted euxassay_004475_21
TS23: sensory organ system Strong Regionally restricted euxassay_004475_21
TS23: alimentary system Strong Regionally restricted euxassay_004475_21
TS23: urinary system Strong Regionally restricted euxassay_004475_21
TS23: reproductive system Strong Regionally restricted euxassay_004475_21
TS23: respiratory system Strong Regionally restricted euxassay_004475_21
TS23: skeleton Strong Regionally restricted euxassay_004475_21
TS23: tail Strong Regionally restricted euxassay_004475_21
TS23: vertebral axis musculature Strong Regionally restricted euxassay_004475_21

Specimen euxassay_004475_22: embryonic day 14.5 (more )
Structure Level Pattern Image Note
TS23: body cavity or lining Strong Regionally restricted euxassay_004475_22
TS23: limb Strong Regionally restricted euxassay_004475_22
TS23: cardiovascular system Strong Regionally restricted euxassay_004475_22
TS23: gland Strong Regionally restricted euxassay_004475_22
TS23: integumental system Strong Regionally restricted euxassay_004475_22
TS23: nervous system Strong Regionally restricted euxassay_004475_22
TS23: sensory organ system Strong Regionally restricted euxassay_004475_22
TS23: alimentary system Strong Regionally restricted euxassay_004475_22
TS23: urinary system Strong Regionally restricted euxassay_004475_22
TS23: reproductive system Strong Regionally restricted euxassay_004475_22
TS23: respiratory system Strong Regionally restricted euxassay_004475_22
TS23: tail Strong Regionally restricted euxassay_004475_22
TS23: skeleton Strong Regionally restricted euxassay_004475_22
TS23: vertebral axis musculature Strong Regionally restricted euxassay_004475_22

Specimen euxassay_004475_23: embryonic day 14.5 (more )
Structure Level Pattern Image Note
TS23: body cavity or lining Strong Regionally restricted euxassay_004475_23
TS23: limb Strong Regionally restricted euxassay_004475_23
TS23: cardiovascular system Strong Regionally restricted euxassay_004475_23
TS23: gland Strong Regionally restricted euxassay_004475_23
TS23: integumental system Strong Regionally restricted euxassay_004475_23
TS23: nervous system Strong Regionally restricted euxassay_004475_23
TS23: sensory organ system Strong Regionally restricted euxassay_004475_23
TS23: alimentary system Strong Regionally restricted euxassay_004475_23
TS23: urinary system Strong Regionally restricted euxassay_004475_23
TS23: reproductive system Strong Regionally restricted euxassay_004475_23
TS23: respiratory system Strong Regionally restricted euxassay_004475_23
TS23: skeleton Strong Regionally restricted euxassay_004475_23
TS23: tail Strong Regionally restricted euxassay_004475_23
TS23: vertebral axis musculature Strong Regionally restricted euxassay_004475_23

Specimen euxassay_004475_24: embryonic day 14.5 (more )
Structure Level Pattern Image Note
TS23: body cavity or lining Strong Regionally restricted euxassay_004475_24
TS23: limb Strong Regionally restricted euxassay_004475_24
TS23: cardiovascular system Strong Regionally restricted euxassay_004475_24
TS23: gland Strong Regionally restricted euxassay_004475_24
TS23: integumental system Strong Regionally restricted euxassay_004475_24
TS23: nervous system Strong Regionally restricted euxassay_004475_24
TS23: sensory organ system Strong Regionally restricted euxassay_004475_24
TS23: alimentary system Strong Regionally restricted euxassay_004475_24
TS23: urinary system Strong Regionally restricted euxassay_004475_24
TS23: reproductive system Strong Regionally restricted euxassay_004475_24
TS23: respiratory system Strong Regionally restricted euxassay_004475_24
TS23: skeleton Strong Regionally restricted euxassay_004475_24
TS23: tail Strong Regionally restricted euxassay_004475_24
TS23: vertebral axis musculature Strong Regionally restricted euxassay_004475_24


Contributing Projects:
Mouse Genome Database (MGD), Gene Expression Database (GXD), Mouse Models of Human Cancer database (MMHCdb) (formerly Mouse Tumor Biology (MTB)), Gene Ontology (GO)
Citing These Resources
Funding Information
Warranty Disclaimer, Privacy Notice, Licensing, & Copyright
Send questions and comments to User Support.
last database update
01/20/2026
MGI 6.24
The Jackson Laboratory