About   Help   FAQ
Gene Expression Data
Assay Details
Assay
Reference: J:153498 Diez-Roux G, et al., A high-resolution anatomical atlas of the transcriptome in the mouse embryo. PLoS Biol. 2011;9(1):e1000582
Assay type: RNA in situ
MGI Accession ID: MGI:4828952
Gene symbol: Tshz1
Gene name: teashirt zinc finger family member 1
Probe: T31822
Probe preparation: Antisense labelled with digoxigenin RNA
Visualized with: Alkaline phosphatase
Assay notes: Cryosections of fresh frozen material were fixed in 4% paraformaldehyde for 20 min. before further processing. A tyramide-biotin/streptavidin amplification step was included in the in situ hybridization procedure.
Results
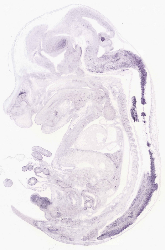
Specimen euxassay_010168_01: embryonic day 14.5 (more )
Structure Level Pattern Image Note
TS23: pharyngo-tympanic tube Moderate Regionally restricted euxassay_010168_01
TS23: interdigital region between forelimb digits 1 and 2 Moderate Regionally restricted euxassay_010168_01
TS23: interdigital region between forelimb digits 2 and 3 Moderate Regionally restricted euxassay_010168_01
TS23: interdigital region between forelimb digits 3 and 4 Moderate Regionally restricted euxassay_010168_01

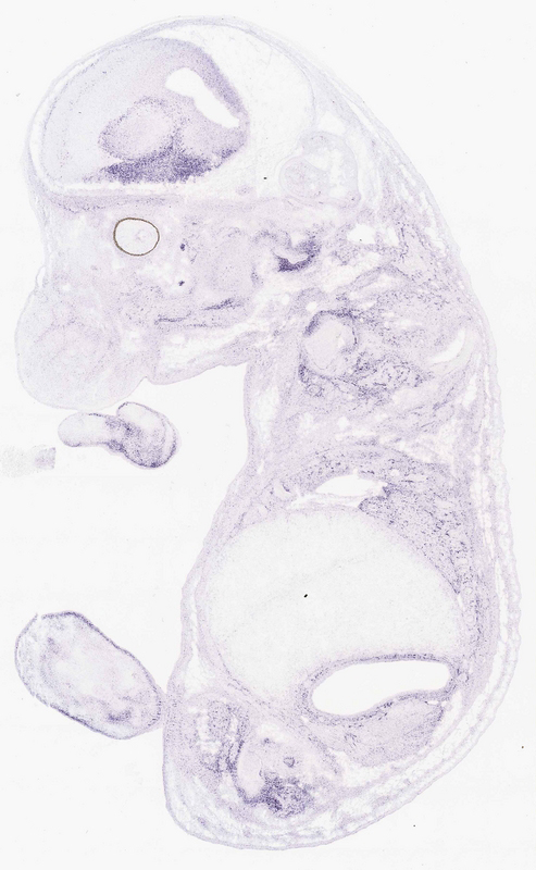
Specimen euxassay_010168_02: embryonic day 14.5 (more )
Structure Level Pattern Image Note
TS23: pharyngo-tympanic tube Moderate Regionally restricted euxassay_010168_02
TS23: interdigital region between forelimb digits 1 and 2 Moderate Regionally restricted euxassay_010168_02
TS23: interdigital region between forelimb digits 2 and 3 Moderate Regionally restricted euxassay_010168_02
TS23: stomach Moderate Regionally restricted euxassay_010168_02

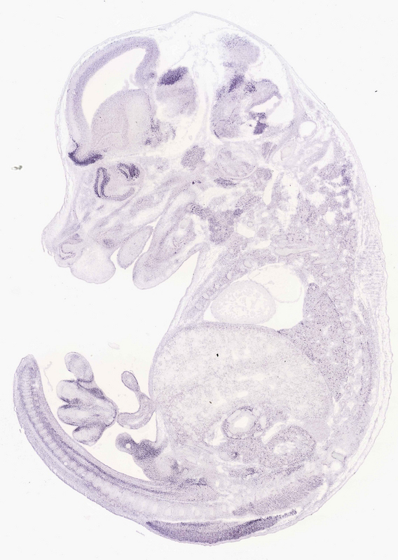
Specimen euxassay_010168_03: embryonic day 14.5 (more )
Structure Level Pattern Image Note
TS23: pharyngo-tympanic tube Moderate Regionally restricted euxassay_010168_03
TS23: interdigital region between forelimb digits 1 and 2 Moderate Regionally restricted euxassay_010168_03
TS23: interdigital region between forelimb digits 2 and 3 Moderate Regionally restricted euxassay_010168_03
TS23: stomach Moderate Regionally restricted euxassay_010168_03
TS23: telencephalon mantle layer Moderate Regionally restricted euxassay_010168_03

Specimen euxassay_010168_04: embryonic day 14.5 (more )
Structure Level Pattern Image Note
TS23: pharyngo-tympanic tube Moderate Regionally restricted euxassay_010168_04
TS23: interdigital region between forelimb digits 1 and 2 Moderate Regionally restricted euxassay_010168_04
TS23: stomach Moderate Regionally restricted euxassay_010168_04
TS23: telencephalon mantle layer Moderate Regionally restricted euxassay_010168_04

Specimen euxassay_010168_05: embryonic day 14.5 (more )
Structure Level Pattern Image Note
TS23: interdigital region between hindlimb digits 1 and 2 Moderate Regionally restricted euxassay_010168_05
TS23: stomach Moderate Regionally restricted euxassay_010168_05
TS23: telencephalon mantle layer Moderate Regionally restricted euxassay_010168_05

Specimen euxassay_010168_06: embryonic day 14.5 (more )
Structure Level Pattern Image Note
TS23: interdigital region between hindlimb digits 1 and 2 Moderate Regionally restricted euxassay_010168_06
TS23: interdigital region between hindlimb digits 2 and 3 Moderate Regionally restricted euxassay_010168_06
TS23: stomach Weak Regionally restricted euxassay_010168_06
TS23: telencephalon mantle layer Moderate Regionally restricted euxassay_010168_06

Specimen euxassay_010168_07: embryonic day 14.5 (more )
Structure Level Pattern Image Note
TS23: olfactory epithelium Strong Regionally restricted euxassay_010168_07
TS23: interdigital region between hindlimb digits 1 and 2 Moderate Regionally restricted euxassay_010168_07
TS23: interdigital region between hindlimb digits 2 and 3 Moderate Regionally restricted euxassay_010168_07
TS23: interdigital region between hindlimb digits 3 and 4 Moderate Regionally restricted euxassay_010168_07
TS23: interdigital region between hindlimb digits 4 and 5 Moderate Regionally restricted euxassay_010168_07
TS23: stomach Weak Regionally restricted euxassay_010168_07
TS23: telencephalon mantle layer Moderate Regionally restricted euxassay_010168_07

Specimen euxassay_010168_08: embryonic day 14.5 (more )
Structure Level Pattern Image Note
TS23: olfactory epithelium Moderate Regionally restricted euxassay_010168_08
TS23: interdigital region between hindlimb digits 2 and 3 Moderate Regionally restricted euxassay_010168_08
TS23: interdigital region between hindlimb digits 3 and 4 Moderate Regionally restricted euxassay_010168_08
TS23: interdigital region between hindlimb digits 4 and 5 Moderate Regionally restricted euxassay_010168_08
TS23: telencephalon mantle layer Moderate Regionally restricted euxassay_010168_08
TS23: rest of cerebellum mantle layer Strong Regionally restricted euxassay_010168_08

Specimen euxassay_010168_09: embryonic day 14.5 (more )
Note: Additional information for this specimen was included in the Eurexpress data submission file.
Structure Level Pattern Image Note
TS23: olfactory epithelium Strong Regionally restricted euxassay_010168_09
TS23: olfactory cortex mantle layer Strong Regionally restricted euxassay_010168_09
TS23: tail mesenchyme Moderate Regionally restricted euxassay_010168_09
TS23: glans of male genital tubercle Moderate Regionally restricted euxassay_010168_09
TS23: interdigital region between hindlimb digits 2 and 3 Moderate Regionally restricted euxassay_010168_09
TS23: interdigital region between hindlimb digits 3 and 4 Moderate Regionally restricted euxassay_010168_09
TS23: interdigital region between hindlimb digits 4 and 5 Moderate Regionally restricted euxassay_010168_09
TS23: diencephalon lateral wall mantle layer Moderate Regionally restricted euxassay_010168_09
TS23: thalamus Present euxassay_010168_09
TS23: rest of cerebellum mantle layer Moderate Regionally restricted euxassay_010168_09
TS23: spinal cord mantle layer Moderate Regionally restricted euxassay_010168_09

Specimen euxassay_010168_10: embryonic day 14.5 (more )
Note: Additional information for this specimen was included in the Eurexpress data submission file.
Structure Level Pattern Image Note
TS23: olfactory epithelium Strong Regionally restricted euxassay_010168_10
TS23: olfactory cortex mantle layer Strong Regionally restricted euxassay_010168_10
TS23: tail mesenchyme Moderate Regionally restricted euxassay_010168_10
TS23: glans of male genital tubercle Moderate Regionally restricted euxassay_010168_10
TS23: interdigital region between hindlimb digits 3 and 4 Moderate Regionally restricted euxassay_010168_10
TS23: interdigital region between hindlimb digits 2 and 3 Moderate Regionally restricted euxassay_010168_10
TS23: interdigital region between hindlimb digits 4 and 5 Moderate Regionally restricted euxassay_010168_10
TS23: diencephalon lateral wall mantle layer Moderate Regionally restricted euxassay_010168_10
TS23: thalamus Present euxassay_010168_10
TS23: midbrain mantle layer Weak Regionally restricted euxassay_010168_10
TS23: rest of cerebellum mantle layer Moderate Regionally restricted euxassay_010168_10
TS23: medulla oblongata alar plate mantle layer Moderate Regionally restricted euxassay_010168_10
TS23: spinal cord mantle layer Moderate Regionally restricted euxassay_010168_10

Specimen euxassay_010168_11: embryonic day 14.5 (more )
Note: Additional information for this specimen was included in the Eurexpress data submission file.
Structure Level Pattern Image Note
TS23: olfactory epithelium Moderate Regionally restricted euxassay_010168_11
TS23: olfactory cortex mantle layer Strong Regionally restricted euxassay_010168_11
TS23: tail mesenchyme Moderate Regionally restricted euxassay_010168_11
TS23: glans of male genital tubercle Moderate Regionally restricted euxassay_010168_11
TS23: diencephalon lateral wall mantle layer Moderate Regionally restricted euxassay_010168_11
TS23: thalamus Present euxassay_010168_11
TS23: midbrain mantle layer Weak Regionally restricted euxassay_010168_11
TS23: rest of cerebellum mantle layer Weak Regionally restricted euxassay_010168_11
TS23: medulla oblongata basal plate mantle layer Moderate Regionally restricted euxassay_010168_11
TS23: medulla oblongata alar plate mantle layer Moderate Regionally restricted euxassay_010168_11
TS23: spinal cord mantle layer Moderate Regionally restricted euxassay_010168_11

Specimen euxassay_010168_12: embryonic day 14.5 (more )
Note: Additional information for this specimen was included in the Eurexpress data submission file.
Structure Level Pattern Image Note
TS23: olfactory epithelium Strong Regionally restricted euxassay_010168_12
TS23: glans of male genital tubercle Moderate Regionally restricted euxassay_010168_12
TS23: midgut Weak Regionally restricted euxassay_010168_12
TS23: diencephalon lateral wall mantle layer Moderate Regionally restricted euxassay_010168_12
TS23: thalamus Present euxassay_010168_12
TS23: midbrain mantle layer Weak Regionally restricted euxassay_010168_12
TS23: rest of cerebellum mantle layer Moderate Regionally restricted euxassay_010168_12
TS23: medulla oblongata basal plate mantle layer Moderate Regionally restricted euxassay_010168_12
TS23: medulla oblongata alar plate mantle layer Moderate Regionally restricted euxassay_010168_12
TS23: spinal cord mantle layer Moderate Regionally restricted euxassay_010168_12

Specimen euxassay_010168_13: embryonic day 14.5 (more )
Note: Additional information for this specimen was included in the Eurexpress data submission file.
Structure Level Pattern Image Note
TS23: olfactory epithelium Strong Regionally restricted euxassay_010168_13
TS23: glans of male genital tubercle Moderate Regionally restricted euxassay_010168_13
TS23: midgut Weak Regionally restricted euxassay_010168_13
TS23: diencephalon lateral wall mantle layer Moderate Regionally restricted euxassay_010168_13
TS23: thalamus Present euxassay_010168_13
TS23: midbrain mantle layer Weak Regionally restricted euxassay_010168_13
TS23: rest of cerebellum mantle layer Strong Regionally restricted euxassay_010168_13
TS23: medulla oblongata basal plate mantle layer Moderate Regionally restricted euxassay_010168_13
TS23: medulla oblongata alar plate mantle layer Moderate Regionally restricted euxassay_010168_13
TS23: spinal cord mantle layer Moderate Regionally restricted euxassay_010168_13

Specimen euxassay_010168_14: embryonic day 14.5 (more )
Structure Level Pattern Image Note
TS23: olfactory epithelium Strong Regionally restricted euxassay_010168_14
TS23: olfactory cortex mantle layer Strong Regionally restricted euxassay_010168_14
TS23: glans of male genital tubercle Moderate Regionally restricted euxassay_010168_14
TS23: midgut Weak Regionally restricted euxassay_010168_14
TS23: midbrain mantle layer Weak Regionally restricted euxassay_010168_14
TS23: rest of cerebellum mantle layer Strong Regionally restricted euxassay_010168_14
TS23: medulla oblongata basal plate mantle layer Moderate Regionally restricted euxassay_010168_14
TS23: spinal cord mantle layer Moderate Regionally restricted euxassay_010168_14

Specimen euxassay_010168_15: embryonic day 14.5 (more )
Structure Level Pattern Image Note
TS23: olfactory epithelium Strong Regionally restricted euxassay_010168_15
TS23: olfactory cortex mantle layer Strong Regionally restricted euxassay_010168_15
TS23: midgut Weak Regionally restricted euxassay_010168_15
TS23: rest of cerebellum mantle layer Weak Regionally restricted euxassay_010168_15
TS23: medulla oblongata basal plate mantle layer Moderate Regionally restricted euxassay_010168_15
TS23: spinal cord mantle layer Moderate Regionally restricted euxassay_010168_15

Specimen euxassay_010168_16: embryonic day 14.5 (more )
Note: Additional information for this specimen was included in the Eurexpress data submission file.
Structure Level Pattern Image Note
TS23: olfactory epithelium Strong Regionally restricted euxassay_010168_16
TS23: olfactory cortex mantle layer Strong Regionally restricted euxassay_010168_16
TS23: interdigital region between hindlimb digits 4 and 5 Moderate Regionally restricted euxassay_010168_16
TS23: interdigital region between hindlimb digits 3 and 4 Moderate Regionally restricted euxassay_010168_16
TS23: midgut Weak Regionally restricted euxassay_010168_16
TS23: diencephalon lateral wall mantle layer Moderate Regionally restricted euxassay_010168_16
TS23: thalamus Present euxassay_010168_16
TS23: medulla oblongata basal plate mantle layer Moderate Regionally restricted euxassay_010168_16
TS23: spinal cord mantle layer Moderate Regionally restricted euxassay_010168_16

Specimen euxassay_010168_17: embryonic day 14.5 (more )
Note: Additional information for this specimen was included in the Eurexpress data submission file.
Structure Level Pattern Image Note
TS23: olfactory epithelium Strong Regionally restricted euxassay_010168_17
TS23: olfactory cortex mantle layer Strong Regionally restricted euxassay_010168_17
TS23: interdigital region between hindlimb digits 1 and 2 Moderate Regionally restricted euxassay_010168_17
TS23: interdigital region between hindlimb digits 2 and 3 Moderate Regionally restricted euxassay_010168_17
TS23: interdigital region between hindlimb digits 3 and 4 Moderate Regionally restricted euxassay_010168_17
TS23: diencephalon lateral wall mantle layer Moderate Regionally restricted euxassay_010168_17
TS23: thalamus Present euxassay_010168_17
TS23: medulla oblongata basal plate mantle layer Moderate Regionally restricted euxassay_010168_17
TS23: spinal cord mantle layer Moderate Regionally restricted euxassay_010168_17

Specimen euxassay_010168_18: embryonic day 14.5 (more )
Note: Additional information for this specimen was included in the Eurexpress data submission file.
Structure Level Pattern Image Note
TS23: olfactory epithelium Strong Regionally restricted euxassay_010168_18
TS23: olfactory cortex mantle layer Strong Regionally restricted euxassay_010168_18
TS23: interdigital region between hindlimb digits 1 and 2 Moderate Regionally restricted euxassay_010168_18
TS23: interdigital region between hindlimb digits 2 and 3 Moderate Regionally restricted euxassay_010168_18
TS23: interdigital region between hindlimb digits 3 and 4 Moderate Regionally restricted euxassay_010168_18
TS23: interdigital region between hindlimb digits 4 and 5 Moderate Regionally restricted euxassay_010168_18
TS23: midgut Weak Regionally restricted euxassay_010168_18
TS23: telencephalon mantle layer Moderate Regionally restricted euxassay_010168_18
TS23: diencephalon lateral wall mantle layer Moderate Regionally restricted euxassay_010168_18
TS23: thalamus Present euxassay_010168_18
TS23: midbrain mantle layer Weak Regionally restricted euxassay_010168_18
TS23: rest of cerebellum mantle layer Strong Regionally restricted euxassay_010168_18
TS23: medulla oblongata basal plate mantle layer Moderate Regionally restricted euxassay_010168_18
TS23: medulla oblongata alar plate mantle layer Moderate Regionally restricted euxassay_010168_18
TS23: spinal cord mantle layer Moderate Regionally restricted euxassay_010168_18

Specimen euxassay_010168_19: embryonic day 14.5 (more )
Note: Additional information for this specimen was included in the Eurexpress data submission file.
Structure Level Pattern Image Note
TS23: interdigital region between hindlimb digits 1 and 2 Moderate Regionally restricted euxassay_010168_19
TS23: interdigital region between hindlimb digits 2 and 3 Moderate Regionally restricted euxassay_010168_19
TS23: interdigital region between hindlimb digits 3 and 4 Moderate Regionally restricted euxassay_010168_19
TS23: telencephalon mantle layer Moderate Regionally restricted euxassay_010168_19
TS23: diencephalon lateral wall mantle layer Moderate Regionally restricted euxassay_010168_19
TS23: thalamus Present euxassay_010168_19
TS23: midbrain mantle layer Weak Regionally restricted euxassay_010168_19
TS23: rest of cerebellum mantle layer Strong Regionally restricted euxassay_010168_19
TS23: medulla oblongata basal plate mantle layer Moderate Regionally restricted euxassay_010168_19
TS23: medulla oblongata alar plate mantle layer Moderate Regionally restricted euxassay_010168_19
TS23: spinal cord mantle layer Moderate Regionally restricted euxassay_010168_19

Specimen euxassay_010168_20: embryonic day 14.5 (more )
Note: Additional information for this specimen was included in the Eurexpress data submission file.
Structure Level Pattern Image Note
TS23: interdigital region between hindlimb digits 1 and 2 Moderate Regionally restricted euxassay_010168_20
TS23: interdigital region between hindlimb digits 2 and 3 Moderate Regionally restricted euxassay_010168_20
TS23: telencephalon mantle layer Moderate Regionally restricted euxassay_010168_20
TS23: diencephalon lateral wall mantle layer Moderate Regionally restricted euxassay_010168_20
TS23: thalamus Present euxassay_010168_20
TS23: midbrain mantle layer Weak Regionally restricted euxassay_010168_20
TS23: rest of cerebellum mantle layer Moderate Regionally restricted euxassay_010168_20
TS23: medulla oblongata alar plate mantle layer Moderate Regionally restricted euxassay_010168_20
TS23: medulla oblongata basal plate mantle layer Moderate Regionally restricted euxassay_010168_20

Specimen euxassay_010168_21: embryonic day 14.5 (more )
Structure Level Pattern Image Note
TS23: telencephalon mantle layer Moderate Regionally restricted euxassay_010168_21
TS23: rest of cerebellum mantle layer Moderate Regionally restricted euxassay_010168_21

Specimen euxassay_010168_22: embryonic day 14.5 (more )
Structure Level Pattern Image Note
TS23: pharyngo-tympanic tube Moderate Regionally restricted euxassay_010168_22
TS23: interdigital region between forelimb digits 3 and 4 Moderate Regionally restricted euxassay_010168_22
TS23: telencephalon mantle layer Moderate Regionally restricted euxassay_010168_22


Contributing Projects:
Mouse Genome Database (MGD), Gene Expression Database (GXD), Mouse Models of Human Cancer database (MMHCdb) (formerly Mouse Tumor Biology (MTB)), Gene Ontology (GO)
Citing These Resources
Funding Information
Warranty Disclaimer, Privacy Notice, Licensing, & Copyright
Send questions and comments to User Support.
last database update
12/30/2025
MGI 6.24
The Jackson Laboratory