About   Help   FAQ
Gene Expression Data
Assay Details
Assay
Reference: J:153498 Diez-Roux G, et al., A high-resolution anatomical atlas of the transcriptome in the mouse embryo. PLoS Biol. 2011;9(1):e1000582
Assay type: RNA in situ
MGI Accession ID: MGI:4828928
Gene symbol: Trmt2a
Gene name: TRM2 tRNA methyltransferase 2A
Probe: T30362
Probe preparation: Antisense labelled with digoxigenin RNA
Visualized with: Alkaline phosphatase
Assay notes: Cryosections of fresh frozen material were fixed in 4% paraformaldehyde for 20 min. before further processing. A tyramide-biotin/streptavidin amplification step was included in the in situ hybridization procedure.
Results
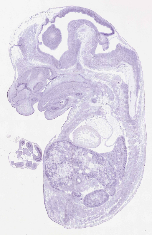
Specimen euxassay_011527_01: embryonic day 14.5 (more )
Structure Level Pattern Image Note
TS23: liver Moderate Regionally restricted euxassay_011527_01
TS23: retina Strong Regionally restricted euxassay_011527_01
TS23: telencephalon ventricular layer Moderate Regionally restricted euxassay_011527_01

Specimen euxassay_011527_02: embryonic day 14.5 (more )
Structure Level Pattern Image Note
TS23: liver Moderate Regionally restricted euxassay_011527_02
TS23: retina Strong Regionally restricted euxassay_011527_02
TS23: telencephalon ventricular layer Moderate Regionally restricted euxassay_011527_02

Specimen euxassay_011527_03: embryonic day 14.5 (more )
Structure Level Pattern Image Note
TS23: liver Moderate Regionally restricted euxassay_011527_03
TS23: retina Strong Regionally restricted euxassay_011527_03
TS23: telencephalon ventricular layer Moderate Regionally restricted euxassay_011527_03

Specimen euxassay_011527_04: embryonic day 14.5 (more )
Structure Level Pattern Image Note
TS23: liver Moderate Regionally restricted euxassay_011527_04
TS23: telencephalon ventricular layer Moderate Regionally restricted euxassay_011527_04

Specimen euxassay_011527_05: embryonic day 14.5 (more )
Structure Level Pattern Image Note
TS23: liver Strong Regionally restricted euxassay_011527_05
TS23: telencephalon ventricular layer Moderate Regionally restricted euxassay_011527_05
TS23: vibrissa Strong Regionally restricted euxassay_011527_05

Specimen euxassay_011527_06: embryonic day 14.5 (more )
Structure Level Pattern Image Note
TS23: liver Strong Regionally restricted euxassay_011527_06
TS23: telencephalon ventricular layer Moderate Regionally restricted euxassay_011527_06
TS23: vibrissa Strong Regionally restricted euxassay_011527_06

Specimen euxassay_011527_07: embryonic day 14.5 (more )
Structure Level Pattern Image Note
TS23: liver Moderate Regionally restricted euxassay_011527_07
TS23: olfactory epithelium Strong Regionally restricted euxassay_011527_07
TS23: telencephalon ventricular layer Moderate Regionally restricted euxassay_011527_07
TS23: vibrissa Moderate Regionally restricted euxassay_011527_07

Specimen euxassay_011527_08: embryonic day 14.5 (more )
Structure Level Pattern Image Note
TS23: liver Moderate Regionally restricted euxassay_011527_08
TS23: olfactory epithelium Strong Regionally restricted euxassay_011527_08
TS23: telencephalon ventricular layer Moderate Regionally restricted euxassay_011527_08
TS23: vibrissa Moderate Regionally restricted euxassay_011527_08

Specimen euxassay_011527_09: embryonic day 14.5 (more )
Structure Level Pattern Image Note
TS23: liver Strong Regionally restricted euxassay_011527_09
TS23: olfactory epithelium Strong Regionally restricted euxassay_011527_09
TS23: telencephalon ventricular layer Moderate Regionally restricted euxassay_011527_09
TS23: midbrain ventricular layer Moderate Regionally restricted euxassay_011527_09
TS23: midgut Moderate Regionally restricted euxassay_011527_09

Specimen euxassay_011527_10: embryonic day 14.5 (more )
Structure Level Pattern Image Note
TS23: liver Strong Regionally restricted euxassay_011527_10
TS23: olfactory epithelium Strong Regionally restricted euxassay_011527_10
TS23: telencephalon ventricular layer Moderate Regionally restricted euxassay_011527_10
TS23: midbrain ventricular layer Moderate Regionally restricted euxassay_011527_10
TS23: midgut Moderate Regionally restricted euxassay_011527_10

Specimen euxassay_011527_11: embryonic day 14.5 (more )
Structure Level Pattern Image Note
TS23: liver Strong Regionally restricted euxassay_011527_11
TS23: olfactory epithelium Strong Regionally restricted euxassay_011527_11
TS23: midbrain ventricular layer Moderate Regionally restricted euxassay_011527_11
TS23: midgut Moderate Regionally restricted euxassay_011527_11

Specimen euxassay_011527_12: embryonic day 14.5 (more )
Structure Level Pattern Image Note
TS23: liver Moderate Regionally restricted euxassay_011527_12
TS23: telencephalon ventricular layer Moderate Regionally restricted euxassay_011527_12
TS23: midbrain ventricular layer Moderate Regionally restricted euxassay_011527_12
TS23: midgut Moderate Regionally restricted euxassay_011527_12

Specimen euxassay_011527_13: embryonic day 14.5 (more )
Structure Level Pattern Image Note
TS23: liver Strong Regionally restricted euxassay_011527_13
TS23: thymus primordium Strong Uniform euxassay_011527_13
TS23: thyroid gland Strong Uniform euxassay_011527_13
TS23: telencephalon ventricular layer Moderate Regionally restricted euxassay_011527_13
TS23: midbrain ventricular layer Moderate Regionally restricted euxassay_011527_13
TS23: midgut Strong Regionally restricted euxassay_011527_13

Specimen euxassay_011527_14: embryonic day 14.5 (more )
Structure Level Pattern Image Note
TS23: liver Strong Regionally restricted euxassay_011527_14
TS23: thymus primordium Strong Uniform euxassay_011527_14
TS23: telencephalon ventricular layer Moderate Regionally restricted euxassay_011527_14
TS23: midbrain ventricular layer Moderate Regionally restricted euxassay_011527_14
TS23: midgut Strong Regionally restricted euxassay_011527_14

Specimen euxassay_011527_15: embryonic day 14.5 (more )
Structure Level Pattern Image Note
TS23: liver Strong Regionally restricted euxassay_011527_15
TS23: olfactory epithelium Strong Regionally restricted euxassay_011527_15
TS23: thymus primordium Strong Uniform euxassay_011527_15
TS23: telencephalon ventricular layer Moderate Regionally restricted euxassay_011527_15
TS23: midbrain ventricular layer Moderate Regionally restricted euxassay_011527_15
TS23: midgut Strong Regionally restricted euxassay_011527_15

Specimen euxassay_011527_16: embryonic day 14.5 (more )
Structure Level Pattern Image Note
TS23: liver Moderate Regionally restricted euxassay_011527_16
TS23: olfactory epithelium Strong Regionally restricted euxassay_011527_16
TS23: thymus primordium Strong Uniform euxassay_011527_16
TS23: telencephalon ventricular layer Moderate Regionally restricted euxassay_011527_16
TS23: midbrain ventricular layer Moderate Regionally restricted euxassay_011527_16
TS23: midgut Strong Regionally restricted euxassay_011527_16

Specimen euxassay_011527_17: embryonic day 14.5 (more )
Structure Level Pattern Image Note
TS23: liver Strong Regionally restricted euxassay_011527_17
TS23: olfactory epithelium Strong Regionally restricted euxassay_011527_17
TS23: thymus primordium Strong Uniform euxassay_011527_17
TS23: thyroid gland Strong Uniform euxassay_011527_17
TS23: telencephalon ventricular layer Moderate Regionally restricted euxassay_011527_17
TS23: midbrain ventricular layer Moderate Regionally restricted euxassay_011527_17
TS23: midgut Strong Regionally restricted euxassay_011527_17

Specimen euxassay_011527_18: embryonic day 14.5 (more )
Structure Level Pattern Image Note
TS23: liver Strong Regionally restricted euxassay_011527_18
TS23: olfactory epithelium Strong Regionally restricted euxassay_011527_18
TS23: telencephalon ventricular layer Moderate Regionally restricted euxassay_011527_18
TS23: midbrain ventricular layer Moderate Regionally restricted euxassay_011527_18

Specimen euxassay_011527_19: embryonic day 14.5 (more )
Structure Level Pattern Image Note
TS23: liver Strong Regionally restricted euxassay_011527_19
TS23: telencephalon ventricular layer Moderate Regionally restricted euxassay_011527_19
TS23: midgut Strong Regionally restricted euxassay_011527_19

Specimen euxassay_011527_20: embryonic day 14.5 (more )
Structure Level Pattern Image Note
TS23: liver Strong Regionally restricted euxassay_011527_20
TS23: telencephalon ventricular layer Moderate Regionally restricted euxassay_011527_20
TS23: vibrissa Moderate Regionally restricted euxassay_011527_20

Specimen euxassay_011527_21: embryonic day 14.5 (more )
Structure Level Pattern Image Note
TS23: liver Strong Regionally restricted euxassay_011527_21
TS23: telencephalon ventricular layer Moderate Regionally restricted euxassay_011527_21
TS23: vibrissa Moderate Regionally restricted euxassay_011527_21

Specimen euxassay_011527_22: embryonic day 14.5 (more )
Structure Level Pattern Image Note
TS23: liver Strong Regionally restricted euxassay_011527_22
TS23: retina Strong Regionally restricted euxassay_011527_22
TS23: telencephalon ventricular layer Moderate Regionally restricted euxassay_011527_22

Specimen euxassay_011527_23: embryonic day 14.5 (more )
Structure Level Pattern Image Note
TS23: liver Moderate Regionally restricted euxassay_011527_23
TS23: retina Moderate Regionally restricted euxassay_011527_23


Contributing Projects:
Mouse Genome Database (MGD), Gene Expression Database (GXD), Mouse Models of Human Cancer database (MMHCdb) (formerly Mouse Tumor Biology (MTB)), Gene Ontology (GO)
Citing These Resources
Funding Information
Warranty Disclaimer, Privacy Notice, Licensing, & Copyright
Send questions and comments to User Support.
last database update
01/20/2026
MGI 6.24
The Jackson Laboratory