About   Help   FAQ
Gene Expression Data
Assay Details
Assay
Reference: J:153498 Diez-Roux G, et al., A high-resolution anatomical atlas of the transcriptome in the mouse embryo. PLoS Biol. 2011;9(1):e1000582
Assay type: RNA in situ
MGI Accession ID: MGI:4828923
Gene symbol: Trip10
Gene name: thyroid hormone receptor interactor 10
Probe: IMAGE clone 907193
Probe preparation: Antisense labelled with digoxigenin RNA
Visualized with: Alkaline phosphatase
Assay notes: Cryosections of fresh frozen material were fixed in 4% paraformaldehyde for 20 min. before further processing. A tyramide-biotin/streptavidin amplification step was included in the in situ hybridization procedure.
Results
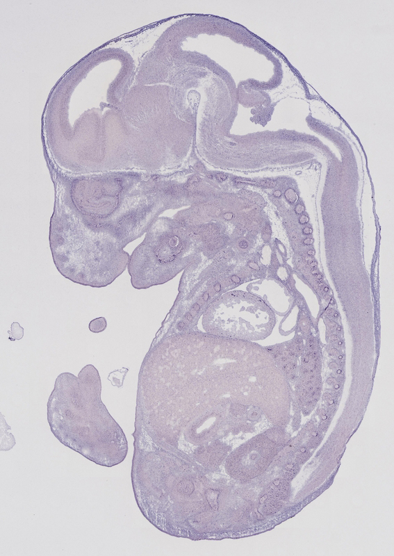
Specimen euxassay_000162_01: embryonic day 14.5 (more )
Structure Level Pattern Image Note
TS23: vault of skull Moderate Uniform euxassay_000162_01
TS23: cranium Moderate Uniform euxassay_000162_01

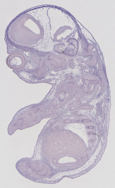
Specimen euxassay_000162_02: embryonic day 14.5 (more )
Structure Level Pattern Image Note
TS23: otic capsule Moderate Uniform euxassay_000162_02
TS23: cranium Strong Uniform euxassay_000162_02
TS23: frontal bone primordium Strong Uniform euxassay_000162_02
TS23: turbinate bone primordium Strong Uniform euxassay_000162_02
TS23: basioccipital bone Strong Uniform euxassay_000162_02

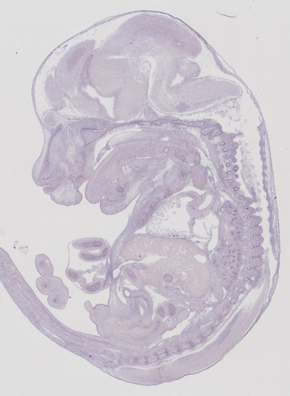
Specimen euxassay_000162_03: embryonic day 14.5 (more )
Structure Level Pattern Image Note
TS23: otic capsule Moderate Uniform euxassay_000162_03
TS23: basisphenoid bone Moderate Uniform euxassay_000162_03
TS23: frontal bone primordium Moderate Uniform euxassay_000162_03
TS23: turbinate bone primordium Strong Regionally restricted euxassay_000162_03

Specimen euxassay_000162_04: embryonic day 14.5 (more )
Structure Level Pattern Image Note
TS23: exoccipital bone Moderate Uniform euxassay_000162_04
TS23: foramen ovale of chondrocranium Moderate Uniform euxassay_000162_04
TS23: otic capsule Moderate Uniform euxassay_000162_04
TS23: basisphenoid bone Moderate Uniform euxassay_000162_04
TS23: turbinate bone primordium Strong Spotted euxassay_000162_04

Specimen euxassay_000162_05: embryonic day 14.5 (more )
Structure Level Pattern Image Note
TS23: foramen ovale of chondrocranium Moderate Uniform euxassay_000162_05
TS23: basisphenoid bone Moderate Uniform euxassay_000162_05
TS23: foramen rotundum Moderate Uniform euxassay_000162_05
TS23: sphenoid bone Moderate Uniform euxassay_000162_05

Specimen euxassay_000162_06: embryonic day 14.5 (more )
Structure Level Pattern Image Note
TS23: sphenoid bone Moderate Uniform euxassay_000162_06
TS23: basioccipital bone Moderate Uniform euxassay_000162_06
TS23: foramen ovale of chondrocranium Moderate Uniform euxassay_000162_06
TS23: frontal bone primordium Moderate Uniform euxassay_000162_06

Specimen euxassay_000162_07: embryonic day 14.5 (more )
Structure Level Pattern Image Note
TS23: sphenoid bone Moderate Uniform euxassay_000162_07
TS23: submandibular gland primordium Moderate Regionally restricted euxassay_000162_07

Specimen euxassay_000162_08: embryonic day 14.5 (more )
Structure Level Pattern Image Note
TS23: otic capsule Moderate Uniform euxassay_000162_08
TS23: trigeminal ganglion Moderate Uniform euxassay_000162_08
TS23: inner ear vestibular component Moderate Regionally restricted euxassay_000162_08
TS23: submandibular gland primordium Moderate Regionally restricted euxassay_000162_08
TS23: basioccipital bone Moderate Uniform euxassay_000162_08
TS23: basisphenoid bone Moderate Uniform euxassay_000162_08

Specimen euxassay_000162_09: embryonic day 14.5 (more )
Structure Level Pattern Image Note
TS23: sphenoid bone Moderate Uniform euxassay_000162_09
TS23: frontal bone primordium Moderate Uniform euxassay_000162_09
TS23: orbito-sphenoid Moderate Uniform euxassay_000162_09

Specimen euxassay_000162_10: embryonic day 14.5 (more )
Note: Additional information for this specimen was included in the Eurexpress data submission file.
Structure Level Pattern Image Note
TS23: clavicle Moderate Spotted euxassay_000162_10
TS23: axial skeleton Moderate Uniform euxassay_000162_10 perichondrium
TS23: orbito-sphenoid Moderate Uniform euxassay_000162_10

Specimen euxassay_000162_12: embryonic day 14.5 (more )
Structure Level Pattern Image Note
TS23: sphenoid bone Moderate Regionally restricted euxassay_000162_12
TS23: basisphenoid bone Moderate Regionally restricted euxassay_000162_12

Specimen euxassay_000162_13: embryonic day 14.5 (more )
Structure Level Pattern Image Note
TS23: basisphenoid bone Moderate Regionally restricted euxassay_000162_13

Specimen euxassay_000162_14: embryonic day 14.5 (more )
Structure Level Pattern Image Note
TS23: basisphenoid bone Moderate Regionally restricted euxassay_000162_14

Specimen euxassay_000162_15: embryonic day 14.5 (more )
Structure Level Pattern Image Note
TS23: basisphenoid bone Moderate Regionally restricted euxassay_000162_15

Specimen euxassay_000162_16: embryonic day 14.5 (more )
Structure Level Pattern Image Note
TS23: basisphenoid bone Moderate Regionally restricted euxassay_000162_16
TS23: turbinate bone primordium Moderate Regionally restricted euxassay_000162_16

Specimen euxassay_000162_17: embryonic day 14.5 (more )
Structure Level Pattern Image Note
TS23: turbinate bone primordium Moderate Regionally restricted euxassay_000162_17
TS23: basisphenoid bone Moderate Uniform euxassay_000162_17
TS23: basioccipital bone Moderate Uniform euxassay_000162_17
TS23: frontal bone primordium Moderate Uniform euxassay_000162_17

Specimen euxassay_000162_18: embryonic day 14.5 (more )
Structure Level Pattern Image Note
TS23: basioccipital bone Moderate Regionally restricted euxassay_000162_18
TS23: foramen rotundum Moderate Regionally restricted euxassay_000162_18

Specimen euxassay_000162_19: embryonic day 14.5 (more )
Structure Level Pattern Image Note
TS23: basioccipital bone Moderate Regionally restricted euxassay_000162_19

Specimen euxassay_000162_20: embryonic day 14.5 (more )
Structure Level Pattern Image Note
TS23: basioccipital bone Moderate Regionally restricted euxassay_000162_20
TS23: foramen ovale of chondrocranium Moderate Regionally restricted euxassay_000162_20
TS23: orbito-sphenoid Moderate Regionally restricted euxassay_000162_20

Specimen euxassay_000162_21: embryonic day 14.5 (more )
Structure Level Pattern Image Note
TS23: turbinate bone primordium Moderate Regionally restricted euxassay_000162_21
TS23: orbito-sphenoid Moderate Regionally restricted euxassay_000162_21
TS23: inter-parietal bone primordium Moderate Regionally restricted euxassay_000162_21

Specimen euxassay_000162_22: embryonic day 14.5 (more )
Structure Level Pattern Image Note
TS23: basisphenoid bone Moderate Regionally restricted euxassay_000162_22
TS23: turbinate bone primordium Moderate Regionally restricted euxassay_000162_22
TS23: frontal bone primordium Moderate Regionally restricted euxassay_000162_22
TS23: inter-parietal bone primordium Moderate Regionally restricted euxassay_000162_22

Specimen euxassay_000162_23: embryonic day 14.5 (more )
Structure Level Pattern Image Note
TS23: basisphenoid bone Moderate Regionally restricted euxassay_000162_23
TS23: basioccipital bone Moderate Regionally restricted euxassay_000162_23

Specimen euxassay_000162_24: embryonic day 14.5 (more )
Structure Level Pattern Image Note
TS23: temporal bone Moderate Regionally restricted euxassay_000162_24
TS23: frontal bone primordium Moderate Regionally restricted euxassay_000162_24
TS23: basioccipital bone Moderate Regionally restricted euxassay_000162_24
TS23: basisphenoid bone Moderate Regionally restricted euxassay_000162_24
TS23: turbinate bone primordium Moderate Regionally restricted euxassay_000162_24


Contributing Projects:
Mouse Genome Database (MGD), Gene Expression Database (GXD), Mouse Models of Human Cancer database (MMHCdb) (formerly Mouse Tumor Biology (MTB)), Gene Ontology (GO)
Citing These Resources
Funding Information
Warranty Disclaimer, Privacy Notice, Licensing, & Copyright
Send questions and comments to User Support.
last database update
10/07/2025
MGI 6.24
The Jackson Laboratory