About   Help   FAQ
Gene Expression Data
Assay Details
Assay
Reference: J:153498 Diez-Roux G, et al., A high-resolution anatomical atlas of the transcriptome in the mouse embryo. PLoS Biol. 2011;9(1):e1000582
Assay type: RNA in situ
MGI Accession ID: MGI:4828914
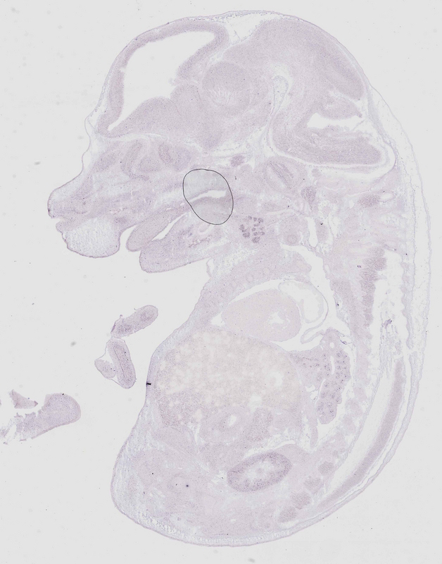
Gene symbol: Trim33
Gene name: tripartite motif-containing 33
Probe: T39150
Probe preparation: Antisense labelled with digoxigenin RNA
Visualized with: Alkaline phosphatase
Assay notes: Cryosections of fresh frozen material were fixed in 4% paraformaldehyde for 20 min. before further processing. A tyramide-biotin/streptavidin amplification step was included in the in situ hybridization procedure.
Results
Specimen euxassay_013953_06: embryonic day 14.5 (more )
Structure Level Pattern Image Note
TS23: submandibular gland primordium Moderate Regionally restricted euxassay_013953_06

Specimen euxassay_013953_07: embryonic day 14.5 (more )
Structure Level Pattern Image Note
TS23: submandibular gland primordium Moderate Regionally restricted euxassay_013953_07

Specimen euxassay_013953_08: embryonic day 14.5 (more )
Structure Level Pattern Image Note
TS23: submandibular gland primordium Moderate Regionally restricted euxassay_013953_08

Specimen euxassay_013953_09: embryonic day 14.5 (more )
Structure Level Pattern Image Note
TS23: submandibular gland primordium Moderate Regionally restricted euxassay_013953_09

Specimen euxassay_013953_16: embryonic day 14.5 (more )
Structure Level Pattern Image Note
TS23: submandibular gland primordium Moderate Regionally restricted euxassay_013953_16

Specimen euxassay_013953_17: embryonic day 14.5 (more )
Structure Level Pattern Image Note
TS23: submandibular gland primordium Moderate Regionally restricted euxassay_013953_17

Specimen euxassay_013953_18: embryonic day 14.5 (more )
Structure Level Pattern Image Note
TS23: submandibular gland primordium Moderate Regionally restricted euxassay_013953_18

Specimen euxassay_013953_19: embryonic day 14.5 (more )
Structure Level Pattern Image Note
TS23: submandibular gland primordium Moderate Regionally restricted euxassay_013953_19


Contributing Projects:
Mouse Genome Database (MGD), Gene Expression Database (GXD), Mouse Models of Human Cancer database (MMHCdb) (formerly Mouse Tumor Biology (MTB)), Gene Ontology (GO)
Citing These Resources
Funding Information
Warranty Disclaimer, Privacy Notice, Licensing, & Copyright
Send questions and comments to User Support.
last database update
01/20/2026
MGI 6.24
The Jackson Laboratory