About   Help   FAQ
Gene Expression Data
Assay Details
Assay
Reference: J:153498 Diez-Roux G, et al., A high-resolution anatomical atlas of the transcriptome in the mouse embryo. PLoS Biol. 2011;9(1):e1000582
Assay type: RNA in situ
MGI Accession ID: MGI:4828902
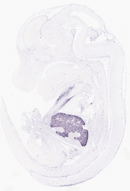
Gene symbol: Trf
Gene name: transferrin
Probe: IMAGE clone 1923524
Probe preparation: Antisense labelled with digoxigenin RNA
Visualized with: Alkaline phosphatase
Assay notes: Cryosections of fresh frozen material were fixed in 4% paraformaldehyde for 20 min. before further processing. A tyramide-biotin/streptavidin amplification step was included in the in situ hybridization procedure.
Results
Specimen euxassay_000652_01: embryonic day 14.5 (more )
Structure Level Pattern Image Note
TS23: liver lobe Strong Uniform euxassay_000652_01

Specimen euxassay_000652_02: embryonic day 14.5 (more )
Structure Level Pattern Image Note
TS23: liver lobe Strong Uniform euxassay_000652_02

Specimen euxassay_000652_03: embryonic day 14.5 (more )
Structure Level Pattern Image Note
TS23: liver lobe Strong Uniform euxassay_000652_03

Specimen euxassay_000652_04: embryonic day 14.5 (more )
Structure Level Pattern Image Note
TS23: liver lobe Strong Uniform euxassay_000652_04

Specimen euxassay_000652_05: embryonic day 14.5 (more )
Structure Level Pattern Image Note
TS23: liver lobe Strong Uniform euxassay_000652_05

Specimen euxassay_000652_06: embryonic day 14.5 (more )
Structure Level Pattern Image Note
TS23: liver lobe Strong Uniform euxassay_000652_06

Specimen euxassay_000652_07: embryonic day 14.5 (more )
Structure Level Pattern Image Note
TS23: liver lobe Strong Uniform euxassay_000652_07

Specimen euxassay_000652_08: embryonic day 14.5 (more )
Structure Level Pattern Image Note
TS23: liver lobe Strong Uniform euxassay_000652_08

Specimen euxassay_000652_09: embryonic day 14.5 (more )
Structure Level Pattern Image Note
TS23: liver lobe Strong Uniform euxassay_000652_09

Specimen euxassay_000652_10: embryonic day 14.5 (more )
Structure Level Pattern Image Note
TS23: liver lobe Strong Uniform euxassay_000652_10

Specimen euxassay_000652_11: embryonic day 14.5 (more )
Structure Level Pattern Image Note
TS23: liver lobe Strong Uniform euxassay_000652_11

Specimen euxassay_000652_12: embryonic day 14.5 (more )
Structure Level Pattern Image Note
TS23: liver lobe Strong Uniform euxassay_000652_12

Specimen euxassay_000652_13: embryonic day 14.5 (more )
Structure Level Pattern Image Note
TS23: liver lobe Strong Uniform euxassay_000652_13

Specimen euxassay_000652_14: embryonic day 14.5 (more )
Structure Level Pattern Image Note
TS23: liver lobe Strong Uniform euxassay_000652_14

Specimen euxassay_000652_15: embryonic day 14.5 (more )
Structure Level Pattern Image Note
TS23: liver lobe Strong Uniform euxassay_000652_15

Specimen euxassay_000652_16: embryonic day 14.5 (more )
Structure Level Pattern Image Note
TS23: liver lobe Strong Uniform euxassay_000652_16

Specimen euxassay_000652_17: embryonic day 14.5 (more )
Structure Level Pattern Image Note
TS23: liver lobe Strong Uniform euxassay_000652_17

Specimen euxassay_000652_18: embryonic day 14.5 (more )
Structure Level Pattern Image Note
TS23: liver lobe Strong Uniform euxassay_000652_18

Specimen euxassay_000652_19: embryonic day 14.5 (more )
Structure Level Pattern Image Note
TS23: liver lobe Strong Uniform euxassay_000652_19

Specimen euxassay_000652_20: embryonic day 14.5 (more )
Structure Level Pattern Image Note
TS23: liver lobe Strong Uniform euxassay_000652_20

Specimen euxassay_000652_21: embryonic day 14.5 (more )
Structure Level Pattern Image Note
TS23: liver lobe Strong Uniform euxassay_000652_21

Specimen euxassay_000652_22: embryonic day 14.5 (more )
Structure Level Pattern Image Note
TS23: liver lobe Strong Uniform euxassay_000652_22

Specimen euxassay_000652_23: embryonic day 14.5 (more )
Structure Level Pattern Image Note
TS23: liver lobe Strong Uniform euxassay_000652_23

Specimen euxassay_000652_24: embryonic day 14.5 (more )
Structure Level Pattern Image Note
TS23: liver lobe Strong Uniform euxassay_000652_24


Contributing Projects:
Mouse Genome Database (MGD), Gene Expression Database (GXD), Mouse Models of Human Cancer database (MMHCdb) (formerly Mouse Tumor Biology (MTB)), Gene Ontology (GO)
Citing These Resources
Funding Information
Warranty Disclaimer, Privacy Notice, Licensing, & Copyright
Send questions and comments to User Support.
last database update
01/20/2026
MGI 6.24
The Jackson Laboratory