About   Help   FAQ
Gene Expression Data
Assay Details
Assay
Reference: J:153498 Diez-Roux G, et al., A high-resolution anatomical atlas of the transcriptome in the mouse embryo. PLoS Biol. 2011;9(1):e1000582
Assay type: RNA in situ
MGI Accession ID: MGI:4828886
Gene symbol: Traf1
Gene name: TNF receptor-associated factor 1
Probe: IMAGE clone 30748947
Probe preparation: Antisense labelled with digoxigenin RNA
Visualized with: Alkaline phosphatase
Assay notes: Cryosections of fresh frozen material were fixed in 4% paraformaldehyde for 20 min. before further processing. A tyramide-biotin/streptavidin amplification step was included in the in situ hybridization procedure.
Results
Specimen euxassay_004632_01: embryonic day 14.5 (more )
Structure Level Pattern Image Note
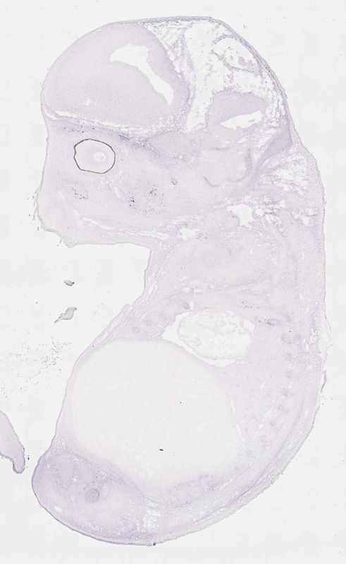
TS23: maxilla Moderate Single cells euxassay_004632_01
TS23: mandible Moderate Single cells euxassay_004632_01

Specimen euxassay_004632_02: embryonic day 14.5 (more )
Structure Level Pattern Image Note
TS23: maxilla Moderate Single cells euxassay_004632_02
TS23: mandible Moderate Single cells euxassay_004632_02

Specimen euxassay_004632_03: embryonic day 14.5 (more )
Structure Level Pattern Image Note
TS23: maxilla Moderate Single cells euxassay_004632_03
TS23: mandible Moderate Single cells euxassay_004632_03

Specimen euxassay_004632_04: embryonic day 14.5 (more )
Structure Level Pattern Image Note
TS23: maxilla Moderate Single cells euxassay_004632_04
TS23: mandible Moderate Single cells euxassay_004632_04

Specimen euxassay_004632_05: embryonic day 14.5 (more )
Structure Level Pattern Image Note
TS23: maxilla Moderate Single cells euxassay_004632_05
TS23: mandible Moderate Single cells euxassay_004632_05

Specimen euxassay_004632_06: embryonic day 14.5 (more )
Structure Level Pattern Image Note
TS23: maxilla Moderate Single cells euxassay_004632_06

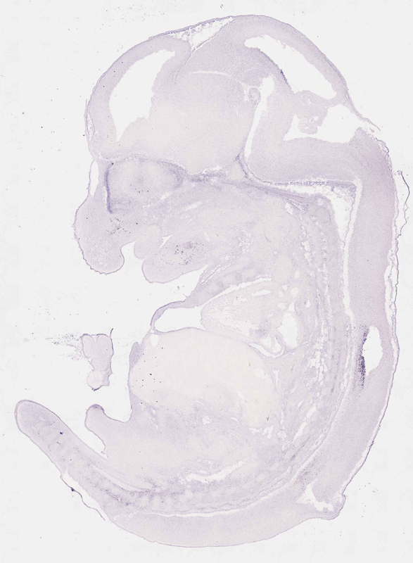
Specimen euxassay_004632_07: embryonic day 14.5 (more )
Structure Level Pattern Image Note
TS23: mandible Moderate Single cells euxassay_004632_07
TS23: maxilla Moderate Single cells euxassay_004632_07

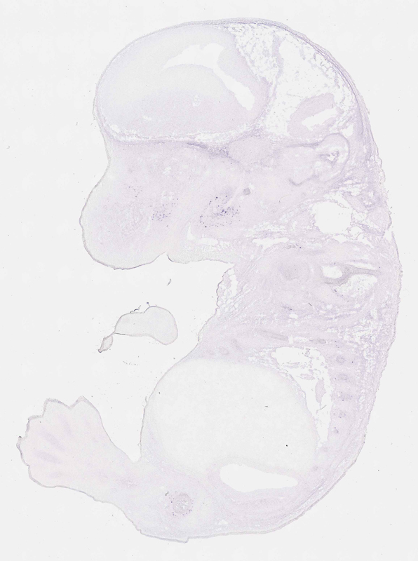
Specimen euxassay_004632_08: embryonic day 14.5 (more )
Structure Level Pattern Image Note
TS23: mandible Moderate Single cells euxassay_004632_08

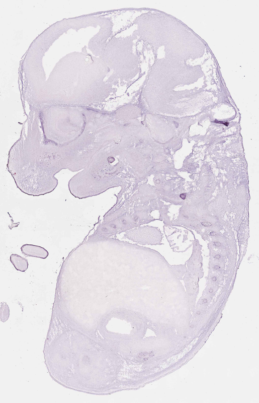
Specimen euxassay_004632_12: embryonic day 14.5 (more )
Structure Level Pattern Image Note
TS23: mandible Moderate Single cells euxassay_004632_12

Specimen euxassay_004632_13: embryonic day 14.5 (more )
Structure Level Pattern Image Note
TS23: maxilla Moderate Single cells euxassay_004632_13
TS23: mandible Moderate Single cells euxassay_004632_13

Specimen euxassay_004632_14: embryonic day 14.5 (more )
Structure Level Pattern Image Note
TS23: maxilla Moderate Single cells euxassay_004632_14
TS23: mandible Moderate Single cells euxassay_004632_14

Specimen euxassay_004632_15: embryonic day 14.5 (more )
Structure Level Pattern Image Note
TS23: maxilla Moderate Single cells euxassay_004632_15
TS23: mandible Moderate Single cells euxassay_004632_15

Specimen euxassay_004632_16: embryonic day 14.5 (more )
Structure Level Pattern Image Note
TS23: maxilla Moderate Single cells euxassay_004632_16
TS23: mandible Moderate Single cells euxassay_004632_16

Specimen euxassay_004632_17: embryonic day 14.5 (more )
Structure Level Pattern Image Note
TS23: maxilla Moderate Single cells euxassay_004632_17
TS23: mandible Moderate Single cells euxassay_004632_17

Specimen euxassay_004632_18: embryonic day 14.5 (more )
Structure Level Pattern Image Note
TS23: maxilla Moderate Single cells euxassay_004632_18
TS23: mandible Moderate Single cells euxassay_004632_18

Specimen euxassay_004632_19: embryonic day 14.5 (more )
Structure Level Pattern Image Note
TS23: mandible Moderate Single cells euxassay_004632_19
TS23: maxilla Moderate Single cells euxassay_004632_19

Specimen euxassay_004632_20: embryonic day 14.5 (more )
Structure Level Pattern Image Note
TS23: mandible Moderate Single cells euxassay_004632_20


Contributing Projects:
Mouse Genome Database (MGD), Gene Expression Database (GXD), Mouse Models of Human Cancer database (MMHCdb) (formerly Mouse Tumor Biology (MTB)), Gene Ontology (GO)
Citing These Resources
Funding Information
Warranty Disclaimer, Privacy Notice, Licensing, & Copyright
Send questions and comments to User Support.
last database update
12/30/2025
MGI 6.24
The Jackson Laboratory