About   Help   FAQ
Gene Expression Data
Assay Details
Assay
Reference: J:153498 Diez-Roux G, et al., A high-resolution anatomical atlas of the transcriptome in the mouse embryo. PLoS Biol. 2011;9(1):e1000582
Assay type: RNA in situ
MGI Accession ID: MGI:4828877
Gene symbol: Tpm1
Gene name: tropomyosin 1, alpha
Probe: EB1920 probe 1591
Probe preparation: Antisense labelled with digoxigenin RNA
Visualized with: Alkaline phosphatase
Assay notes: Cryosections of fresh frozen material were fixed in 4% paraformaldehyde for 20 min. before further processing. A tyramide-biotin/streptavidin amplification step was included in the in situ hybridization procedure.
Results
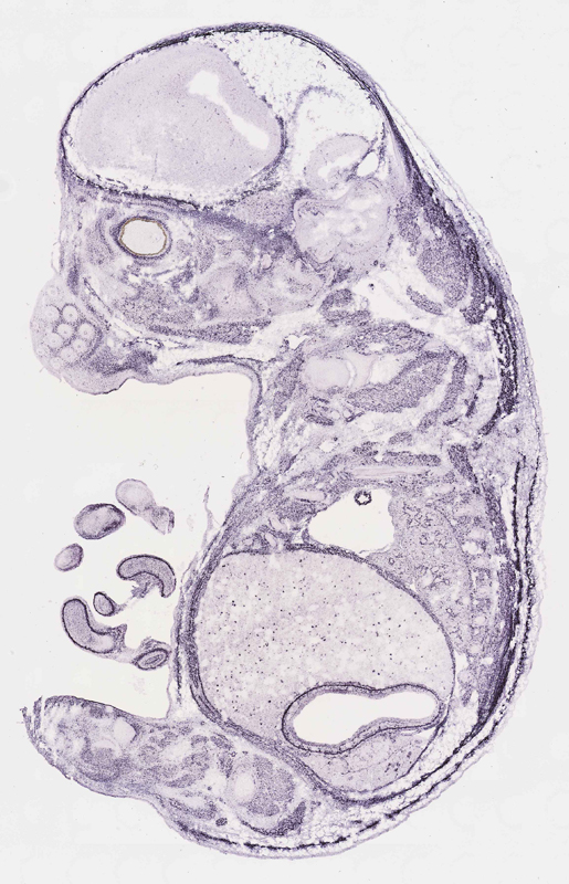
Specimen euxassay_009503_01: embryonic day 14.5 (more )
Note: Additional information for this specimen was included in the Eurexpress data submission file.
Structure Level Pattern Image Note
TS23: vertebral axis musculature Strong Regionally restricted euxassay_009503_01
TS23: stomach Strong Regionally restricted euxassay_009503_01 smooth muscle
TS23: smooth muscle tissue Present euxassay_009503_01
TS23: liver Strong Spotted euxassay_009503_01
TS23: diaphragm Strong Regionally restricted euxassay_009503_01
TS23: hand mesenchyme Moderate Regionally restricted euxassay_009503_01
TS23: hand skin Moderate Regionally restricted euxassay_009503_01
TS23: extrinsic ocular muscle Strong Regionally restricted euxassay_009503_01

Specimen euxassay_009503_02: embryonic day 14.5 (more )
Note: Additional information for this specimen was included in the Eurexpress data submission file.
Structure Level Pattern Image Note
TS23: vertebral axis musculature Strong Regionally restricted euxassay_009503_02
TS23: stomach Strong Regionally restricted euxassay_009503_02 smooth muscle
TS23: smooth muscle tissue Present euxassay_009503_02
TS23: liver Strong Spotted euxassay_009503_02
TS23: diaphragm Strong Regionally restricted euxassay_009503_02
TS23: hand mesenchyme Moderate Regionally restricted euxassay_009503_02
TS23: hand skin Moderate Regionally restricted euxassay_009503_02
TS23: lung Moderate Regionally restricted euxassay_009503_02
TS23: extrinsic ocular muscle Strong Regionally restricted euxassay_009503_02

Specimen euxassay_009503_03: embryonic day 14.5 (more )
Note: Additional information for this specimen was included in the Eurexpress data submission file.
Structure Level Pattern Image Note
TS23: vertebral axis musculature Strong Regionally restricted euxassay_009503_03
TS23: stomach Strong Regionally restricted euxassay_009503_03 smooth muscle
TS23: smooth muscle tissue Present euxassay_009503_03
TS23: midgut Strong Regionally restricted euxassay_009503_03 smooth muscle
TS23: liver Strong Spotted euxassay_009503_03
TS23: diaphragm Strong Regionally restricted euxassay_009503_03
TS23: foot mesenchyme Moderate Regionally restricted euxassay_009503_03
TS23: hand skin Moderate Regionally restricted euxassay_009503_03
TS23: lung Moderate Regionally restricted euxassay_009503_03
TS23: extrinsic ocular muscle Strong Regionally restricted euxassay_009503_03

Specimen euxassay_009503_04: embryonic day 14.5 (more )
Note: Additional information for this specimen was included in the Eurexpress data submission file.
Structure Level Pattern Image Note
TS23: vertebral axis musculature Strong Regionally restricted euxassay_009503_04
TS23: midgut Strong Regionally restricted euxassay_009503_04 smooth muscle
TS23: stomach Strong Regionally restricted euxassay_009503_04 smooth muscle
TS23: smooth muscle tissue Present euxassay_009503_04
TS23: liver Strong Spotted euxassay_009503_04
TS23: diaphragm Strong Regionally restricted euxassay_009503_04
TS23: foot mesenchyme Moderate Regionally restricted euxassay_009503_04
TS23: lung Moderate Regionally restricted euxassay_009503_04
TS23: vibrissa Weak Regionally restricted euxassay_009503_04
TS23: extrinsic ocular muscle Moderate Regionally restricted euxassay_009503_04

Specimen euxassay_009503_05: embryonic day 14.5 (more )
Note: Additional information for this specimen was included in the Eurexpress data submission file.
Structure Level Pattern Image Note
TS23: vertebral axis musculature Strong Regionally restricted euxassay_009503_05
TS23: heart atrium Strong Regionally restricted euxassay_009503_05
TS23: midgut Strong Regionally restricted euxassay_009503_05 smooth muscle
TS23: stomach Strong Regionally restricted euxassay_009503_05 smooth muscle
TS23: smooth muscle tissue Present euxassay_009503_05
TS23: liver Strong Spotted euxassay_009503_05
TS23: diaphragm Strong Regionally restricted euxassay_009503_05
TS23: foot mesenchyme Strong Regionally restricted euxassay_009503_05
TS23: lung Moderate Regionally restricted euxassay_009503_05
TS23: vibrissa Weak Regionally restricted euxassay_009503_05
TS23: extrinsic ocular muscle Moderate Regionally restricted euxassay_009503_05

Specimen euxassay_009503_06: embryonic day 14.5 (more )
Note: Additional information for this specimen was included in the Eurexpress data submission file.
Structure Level Pattern Image Note
TS23: vertebral axis musculature Strong Regionally restricted euxassay_009503_06
TS23: heart ventricle Strong Regionally restricted euxassay_009503_06
TS23: heart atrium Strong Regionally restricted euxassay_009503_06
TS23: midgut Strong Regionally restricted euxassay_009503_06 smooth muscle
TS23: stomach Strong Regionally restricted euxassay_009503_06 smooth muscle
TS23: smooth muscle tissue Present euxassay_009503_06
TS23: liver Strong Spotted euxassay_009503_06
TS23: diaphragm Strong Regionally restricted euxassay_009503_06
TS23: metanephros Moderate Regionally restricted euxassay_009503_06
TS23: foot skin Strong Regionally restricted euxassay_009503_06
TS23: lung Moderate Regionally restricted euxassay_009503_06
TS23: extrinsic ocular muscle Moderate Regionally restricted euxassay_009503_06

Specimen euxassay_009503_07: embryonic day 14.5 (more )
Note: Additional information for this specimen was included in the Eurexpress data submission file.
Structure Level Pattern Image Note
TS23: vertebral axis musculature Strong Regionally restricted euxassay_009503_07
TS23: heart ventricle Moderate Regionally restricted euxassay_009503_07
TS23: heart atrium Strong Regionally restricted euxassay_009503_07
TS23: midgut Strong Regionally restricted euxassay_009503_07 smooth muscle
TS23: stomach Strong Regionally restricted euxassay_009503_07 smooth muscle
TS23: smooth muscle tissue Present euxassay_009503_07
TS23: liver Strong Spotted euxassay_009503_07
TS23: diaphragm Strong Regionally restricted euxassay_009503_07
TS23: metencephalon part of 4th ventricle choroid plexus Moderate Regionally restricted euxassay_009503_07
TS23: lateral ventricle choroid plexus Moderate Regionally restricted euxassay_009503_07
TS23: pons mantle layer Weak Regionally restricted euxassay_009503_07 trigeminal motor nucleus
TS23: interdigital region between hindlimb digits 1 and 2 Strong Regionally restricted euxassay_009503_07
TS23: interdigital region between hindlimb digits 2 and 3 Strong Regionally restricted euxassay_009503_07
TS23: interdigital region between hindlimb digits 3 and 4 Strong Regionally restricted euxassay_009503_07
TS23: interdigital region between hindlimb digits 4 and 5 Strong Regionally restricted euxassay_009503_07
TS23: foot skin Strong Regionally restricted euxassay_009503_07
TS23: lung Moderate Regionally restricted euxassay_009503_07

Specimen euxassay_009503_08: embryonic day 14.5 (more )
Note: Additional information for this specimen was included in the Eurexpress data submission file.
Structure Level Pattern Image Note
TS23: vertebral axis musculature Strong Regionally restricted euxassay_009503_08
TS23: heart ventricle Moderate Regionally restricted euxassay_009503_08
TS23: heart atrium Strong Regionally restricted euxassay_009503_08
TS23: midgut Strong Regionally restricted euxassay_009503_08 smooth muscle
TS23: stomach Strong Regionally restricted euxassay_009503_08 smooth muscle
TS23: smooth muscle tissue Present euxassay_009503_08
TS23: liver Strong Spotted euxassay_009503_08
TS23: diaphragm Strong Regionally restricted euxassay_009503_08
TS23: metencephalon part of 4th ventricle choroid plexus Moderate Regionally restricted euxassay_009503_08
TS23: lateral ventricle choroid plexus Moderate Regionally restricted euxassay_009503_08
TS23: metanephros Moderate Regionally restricted euxassay_009503_08
TS23: pons mantle layer Strong Regionally restricted euxassay_009503_08 trigeminal motor nucleus
TS23: foot skin Strong Regionally restricted euxassay_009503_08
TS23: interdigital region between hindlimb digits 4 and 5 Strong Regionally restricted euxassay_009503_08
TS23: interdigital region between hindlimb digits 3 and 4 Strong Regionally restricted euxassay_009503_08
TS23: interdigital region between hindlimb digits 2 and 3 Strong Regionally restricted euxassay_009503_08
TS23: interdigital region between hindlimb digits 1 and 2 Strong Regionally restricted euxassay_009503_08
TS23: lung Moderate Regionally restricted euxassay_009503_08

Specimen euxassay_009503_09: embryonic day 14.5 (more )
Note: Additional information for this specimen was included in the Eurexpress data submission file.
Structure Level Pattern Image Note
TS23: vertebral axis musculature Strong Regionally restricted euxassay_009503_09
TS23: heart ventricle Strong Regionally restricted euxassay_009503_09
TS23: heart atrium Strong Regionally restricted euxassay_009503_09
TS23: midgut Strong Regionally restricted euxassay_009503_09 smooth muscle
TS23: stomach Strong Regionally restricted euxassay_009503_09 smooth muscle
TS23: smooth muscle tissue Present euxassay_009503_09
TS23: tongue muscle Strong Regionally restricted euxassay_009503_09
TS23: liver Strong Spotted euxassay_009503_09
TS23: diaphragm Strong Regionally restricted euxassay_009503_09
TS23: metencephalon part of 4th ventricle choroid plexus Moderate Regionally restricted euxassay_009503_09
TS23: lateral ventricle choroid plexus Moderate Regionally restricted euxassay_009503_09
TS23: metanephros Moderate Regionally restricted euxassay_009503_09
TS23: medulla oblongata basal plate mantle layer Weak Regionally restricted euxassay_009503_09 facial motor nucleus
TS23: foot skin Strong Regionally restricted euxassay_009503_09
TS23: interdigital region between hindlimb digits 4 and 5 Strong Regionally restricted euxassay_009503_09
TS23: interdigital region between hindlimb digits 3 and 4 Strong Regionally restricted euxassay_009503_09
TS23: interdigital region between hindlimb digits 2 and 3 Strong Regionally restricted euxassay_009503_09
TS23: interdigital region between hindlimb digits 1 and 2 Strong Regionally restricted euxassay_009503_09
TS23: lung Moderate Regionally restricted euxassay_009503_09

Specimen euxassay_009503_10: embryonic day 14.5 (more )
Note: Additional information for this specimen was included in the Eurexpress data submission file.
Structure Level Pattern Image Note
TS23: vertebral axis musculature Strong Regionally restricted euxassay_009503_10
TS23: heart ventricle Strong Regionally restricted euxassay_009503_10
TS23: heart atrium Strong Regionally restricted euxassay_009503_10
TS23: midgut Strong Regionally restricted euxassay_009503_10 smooth muscle
TS23: smooth muscle tissue Present euxassay_009503_10
TS23: tongue muscle Strong Regionally restricted euxassay_009503_10
TS23: liver Strong Spotted euxassay_009503_10
TS23: diaphragm Strong Regionally restricted euxassay_009503_10
TS23: metencephalon part of 4th ventricle choroid plexus Strong Regionally restricted euxassay_009503_10
TS23: lateral ventricle choroid plexus Moderate Regionally restricted euxassay_009503_10
TS23: ventral grey horn Strong Regionally restricted euxassay_009503_10
TS23: medulla oblongata basal plate mantle layer Moderate Regionally restricted euxassay_009503_10 facial motor nucleus
TS23: foot skin Strong Regionally restricted euxassay_009503_10
TS23: interdigital region between hindlimb digits 4 and 5 Strong Regionally restricted euxassay_009503_10
TS23: interdigital region between hindlimb digits 3 and 4 Strong Regionally restricted euxassay_009503_10
TS23: interdigital region between hindlimb digits 2 and 3 Strong Regionally restricted euxassay_009503_10
TS23: lung Moderate Regionally restricted euxassay_009503_10
TS23: axial skeleton Strong Regionally restricted euxassay_009503_10

Specimen euxassay_009503_11: embryonic day 14.5 (more )
Note: Additional information for this specimen was included in the Eurexpress data submission file.
Structure Level Pattern Image Note
TS23: vertebral axis musculature Strong Regionally restricted euxassay_009503_11
TS23: heart ventricle Strong Regionally restricted euxassay_009503_11
TS23: heart atrium Strong Regionally restricted euxassay_009503_11
TS23: midgut Strong Regionally restricted euxassay_009503_11 smooth muscle
TS23: smooth muscle tissue Present euxassay_009503_11
TS23: bladder Moderate Regionally restricted euxassay_009503_11
TS23: tongue muscle Strong Regionally restricted euxassay_009503_11
TS23: liver Strong Spotted euxassay_009503_11
TS23: diaphragm Strong Regionally restricted euxassay_009503_11
TS23: metencephalon part of 4th ventricle choroid plexus Strong Regionally restricted euxassay_009503_11
TS23: lateral ventricle choroid plexus Moderate Regionally restricted euxassay_009503_11
TS23: ventral grey horn Weak Regionally restricted euxassay_009503_11
TS23: foot skin Strong Regionally restricted euxassay_009503_11
TS23: lung Moderate Regionally restricted euxassay_009503_11
TS23: axial skeleton Strong Regionally restricted euxassay_009503_11
TS23: nasal septum Moderate Regionally restricted euxassay_009503_11

Specimen euxassay_009503_12: embryonic day 14.5 (more )
Note: Additional information for this specimen was included in the Eurexpress data submission file.
Structure Level Pattern Image Note
TS23: vertebral axis musculature Strong Regionally restricted euxassay_009503_12
TS23: heart ventricle Strong Regionally restricted euxassay_009503_12
TS23: hindgut Strong Regionally restricted euxassay_009503_12 smooth muscle
TS23: smooth muscle tissue Present euxassay_009503_12
TS23: midgut Strong Regionally restricted euxassay_009503_12 smooth muscle
TS23: bladder Moderate Regionally restricted euxassay_009503_12
TS23: tongue muscle Strong Regionally restricted euxassay_009503_12
TS23: liver Strong Spotted euxassay_009503_12
TS23: metencephalon part of 4th ventricle choroid plexus Strong Regionally restricted euxassay_009503_12
TS23: tail mesenchyme Moderate Spotted euxassay_009503_12
TS23: ventral grey horn Weak Regionally restricted euxassay_009503_12
TS23: lung Moderate Regionally restricted euxassay_009503_12
TS23: axial skeleton Strong Regionally restricted euxassay_009503_12
TS23: nasal septum Moderate Regionally restricted euxassay_009503_12

Specimen euxassay_009503_13: embryonic day 14.5 (more )
Note: Additional information for this specimen was included in the Eurexpress data submission file.
Structure Level Pattern Image Note
TS23: vertebral axis musculature Strong Regionally restricted euxassay_009503_13
TS23: heart ventricle Strong Regionally restricted euxassay_009503_13
TS23: heart atrium Strong Regionally restricted euxassay_009503_13
TS23: midgut Strong Regionally restricted euxassay_009503_13 smooth muscle
TS23: hindgut Strong Regionally restricted euxassay_009503_13 smooth muscle
TS23: smooth muscle tissue Present euxassay_009503_13
TS23: bladder Moderate Regionally restricted euxassay_009503_13
TS23: tongue muscle Strong Regionally restricted euxassay_009503_13
TS23: liver Strong Spotted euxassay_009503_13
TS23: metencephalon part of 4th ventricle choroid plexus Strong Regionally restricted euxassay_009503_13
TS23: tail mesenchyme Moderate Spotted euxassay_009503_13
TS23: ventral grey horn Weak Regionally restricted euxassay_009503_13
TS23: lung Moderate Regionally restricted euxassay_009503_13
TS23: axial skeleton Strong Regionally restricted euxassay_009503_13
TS23: nasal septum Moderate Regionally restricted euxassay_009503_13

Specimen euxassay_009503_14: embryonic day 14.5 (more )
Note: Additional information for this specimen was included in the Eurexpress data submission file.
Structure Level Pattern Image Note
TS23: vertebral axis musculature Strong Regionally restricted euxassay_009503_14
TS23: heart ventricle Strong Regionally restricted euxassay_009503_14
TS23: heart atrium Strong Regionally restricted euxassay_009503_14
TS23: midgut Strong Regionally restricted euxassay_009503_14 smooth muscle
TS23: hindgut Strong Regionally restricted euxassay_009503_14 smooth muscle
TS23: smooth muscle tissue Present euxassay_009503_14
TS23: bladder Moderate Regionally restricted euxassay_009503_14
TS23: tongue muscle Strong Regionally restricted euxassay_009503_14
TS23: liver Strong Spotted euxassay_009503_14
TS23: diaphragm Moderate Regionally restricted euxassay_009503_14
TS23: lateral ventricle choroid plexus Weak Regionally restricted euxassay_009503_14
TS23: metencephalon part of 4th ventricle choroid plexus Strong Regionally restricted euxassay_009503_14
TS23: tail mesenchyme Moderate Spotted euxassay_009503_14
TS23: axial skeleton tail region Moderate Spotted euxassay_009503_14
TS23: ventral grey horn Strong Regionally restricted euxassay_009503_14
TS23: lung Moderate Regionally restricted euxassay_009503_14
TS23: axial skeleton Moderate Regionally restricted euxassay_009503_14
TS23: nasal septum Moderate Regionally restricted euxassay_009503_14

Specimen euxassay_009503_15: embryonic day 14.5 (more )
Structure Level Pattern Image Note
TS23: vertebral axis musculature Strong Regionally restricted euxassay_009503_15
TS23: heart ventricle Moderate Regionally restricted euxassay_009503_15
TS23: heart atrium Strong Regionally restricted euxassay_009503_15
TS23: tongue muscle Strong Regionally restricted euxassay_009503_15
TS23: liver Strong Spotted euxassay_009503_15
TS23: diaphragm Strong Regionally restricted euxassay_009503_15
TS23: metencephalon part of 4th ventricle choroid plexus Strong Regionally restricted euxassay_009503_15
TS23: lateral ventricle choroid plexus Weak Regionally restricted euxassay_009503_15
TS23: axial skeleton tail region Moderate Spotted euxassay_009503_15
TS23: tail mesenchyme Moderate Spotted euxassay_009503_15
TS23: ventral grey horn Strong Regionally restricted euxassay_009503_15
TS23: lung Moderate Regionally restricted euxassay_009503_15
TS23: nasal septum Moderate Regionally restricted euxassay_009503_15

Specimen euxassay_009503_16: embryonic day 14.5 (more )
Note: Additional information for this specimen was included in the Eurexpress data submission file.
Structure Level Pattern Image Note
TS23: vertebral axis musculature Strong Regionally restricted euxassay_009503_16
TS23: heart atrium Strong Regionally restricted euxassay_009503_16
TS23: heart ventricle Moderate Regionally restricted euxassay_009503_16
TS23: midgut Strong Regionally restricted euxassay_009503_16 smooth muscle
TS23: hindgut Strong Regionally restricted euxassay_009503_16 smooth muscle
TS23: smooth muscle tissue Present euxassay_009503_16
TS23: tongue muscle Moderate Regionally restricted euxassay_009503_16
TS23: liver Strong Spotted euxassay_009503_16
TS23: diaphragm Strong Regionally restricted euxassay_009503_16
TS23: lateral ventricle choroid plexus Strong Regionally restricted euxassay_009503_16
TS23: metencephalon part of 4th ventricle choroid plexus Strong Regionally restricted euxassay_009503_16
TS23: axial skeleton tail region Moderate Spotted euxassay_009503_16
TS23: tail mesenchyme Moderate Spotted euxassay_009503_16
TS23: metanephros Moderate Regionally restricted euxassay_009503_16
TS23: medulla oblongata basal plate mantle layer Moderate Regionally restricted euxassay_009503_16 facial motor nucleus
TS23: lung Moderate Regionally restricted euxassay_009503_16

Specimen euxassay_009503_17: embryonic day 14.5 (more )
Note: Additional information for this specimen was included in the Eurexpress data submission file.
Structure Level Pattern Image Note
TS23: vertebral axis musculature Strong Regionally restricted euxassay_009503_17
TS23: heart atrium Strong Regionally restricted euxassay_009503_17
TS23: midgut Strong Regionally restricted euxassay_009503_17 smooth muscle
TS23: smooth muscle tissue Present euxassay_009503_17
TS23: liver Strong Spotted euxassay_009503_17
TS23: diaphragm Strong Regionally restricted euxassay_009503_17
TS23: lateral ventricle choroid plexus Moderate Regionally restricted euxassay_009503_17
TS23: tail mesenchyme Moderate Spotted euxassay_009503_17
TS23: metanephros Moderate Regionally restricted euxassay_009503_17
TS23: medulla oblongata basal plate mantle layer Weak Regionally restricted euxassay_009503_17 facial motor nucleus
TS23: lung Moderate Regionally restricted euxassay_009503_17

Specimen euxassay_009503_18: embryonic day 14.5 (more )
Note: Additional information for this specimen was included in the Eurexpress data submission file.
Structure Level Pattern Image Note
TS23: vertebral axis musculature Strong Regionally restricted euxassay_009503_18
TS23: heart atrium Strong Regionally restricted euxassay_009503_18
TS23: midgut Strong Regionally restricted euxassay_009503_18 smooth muscle
TS23: smooth muscle tissue Present euxassay_009503_18
TS23: liver Strong Spotted euxassay_009503_18
TS23: diaphragm Strong Regionally restricted euxassay_009503_18
TS23: lateral ventricle choroid plexus Moderate Regionally restricted euxassay_009503_18
TS23: metanephros Moderate Regionally restricted euxassay_009503_18
TS23: pons mantle layer Strong Regionally restricted euxassay_009503_18 trigeminal motor nucleus
TS23: lung Moderate Regionally restricted euxassay_009503_18

Specimen euxassay_009503_19: embryonic day 14.5 (more )
Note: Additional information for this specimen was included in the Eurexpress data submission file.
Structure Level Pattern Image Note
TS23: vertebral axis musculature Strong Regionally restricted euxassay_009503_19
TS23: heart atrium Strong Regionally restricted euxassay_009503_19
TS23: midgut Strong Regionally restricted euxassay_009503_19 smooth muscle
TS23: smooth muscle tissue Present euxassay_009503_19
TS23: liver Strong Spotted euxassay_009503_19
TS23: diaphragm Strong Regionally restricted euxassay_009503_19
TS23: lateral ventricle choroid plexus Moderate Regionally restricted euxassay_009503_19
TS23: metanephros Moderate Regionally restricted euxassay_009503_19
TS23: pons mantle layer Weak Regionally restricted euxassay_009503_19 trigeminal motor nucleus
TS23: foot skin Strong Regionally restricted euxassay_009503_19
TS23: interdigital region between hindlimb digits 3 and 4 Strong Regionally restricted euxassay_009503_19
TS23: interdigital region between hindlimb digits 4 and 5 Strong Regionally restricted euxassay_009503_19
TS23: lung Moderate Regionally restricted euxassay_009503_19
TS23: vibrissa Weak Regionally restricted euxassay_009503_19

Specimen euxassay_009503_20: embryonic day 14.5 (more )
Structure Level Pattern Image Note
TS23: vertebral axis musculature Strong Regionally restricted euxassay_009503_20
TS23: heart atrium Strong Regionally restricted euxassay_009503_20
TS23: liver Strong Spotted euxassay_009503_20
TS23: diaphragm Strong Regionally restricted euxassay_009503_20
TS23: interdigital region between hindlimb digits 1 and 2 Strong Regionally restricted euxassay_009503_20
TS23: interdigital region between hindlimb digits 2 and 3 Strong Regionally restricted euxassay_009503_20
TS23: interdigital region between hindlimb digits 3 and 4 Strong Regionally restricted euxassay_009503_20
TS23: foot skin Strong Regionally restricted euxassay_009503_20
TS23: hand skin Strong Regionally restricted euxassay_009503_20
TS23: lung Moderate Regionally restricted euxassay_009503_20
TS23: vibrissa Weak Regionally restricted euxassay_009503_20
TS23: extrinsic ocular muscle Moderate Regionally restricted euxassay_009503_20

Specimen euxassay_009503_21: embryonic day 14.5 (more )
Structure Level Pattern Image Note
TS23: vertebral axis musculature Strong Regionally restricted euxassay_009503_21
TS23: heart atrium Strong Regionally restricted euxassay_009503_21
TS23: liver Strong Spotted euxassay_009503_21
TS23: diaphragm Strong Regionally restricted euxassay_009503_21
TS23: interdigital region between hindlimb digits 4 and 5 Strong Regionally restricted euxassay_009503_21
TS23: interdigital region between hindlimb digits 3 and 4 Strong Regionally restricted euxassay_009503_21
TS23: interdigital region between hindlimb digits 2 and 3 Strong Regionally restricted euxassay_009503_21
TS23: interdigital region between hindlimb digits 1 and 2 Strong Regionally restricted euxassay_009503_21
TS23: hand mesenchyme Strong Regionally restricted euxassay_009503_21
TS23: hand skin Strong Regionally restricted euxassay_009503_21
TS23: foot skin Strong Regionally restricted euxassay_009503_21
TS23: lung Moderate Regionally restricted euxassay_009503_21
TS23: vibrissa Moderate Regionally restricted euxassay_009503_21
TS23: extrinsic ocular muscle Moderate Regionally restricted euxassay_009503_21

Specimen euxassay_009503_22: embryonic day 14.5 (more )
Structure Level Pattern Image Note
TS23: vertebral axis musculature Strong Regionally restricted euxassay_009503_22
TS23: liver Strong Spotted euxassay_009503_22
TS23: diaphragm Strong Regionally restricted euxassay_009503_22
TS23: interdigital region between hindlimb digits 1 and 2 Strong Regionally restricted euxassay_009503_22
TS23: interdigital region between hindlimb digits 2 and 3 Strong Regionally restricted euxassay_009503_22
TS23: interdigital region between hindlimb digits 3 and 4 Strong Regionally restricted euxassay_009503_22
TS23: interdigital region between hindlimb digits 4 and 5 Strong Regionally restricted euxassay_009503_22
TS23: hand mesenchyme Strong Regionally restricted euxassay_009503_22
TS23: foot skin Strong Regionally restricted euxassay_009503_22
TS23: hand skin Strong Regionally restricted euxassay_009503_22
TS23: lung Moderate Regionally restricted euxassay_009503_22
TS23: vibrissa Moderate Regionally restricted euxassay_009503_22
TS23: extrinsic ocular muscle Strong Regionally restricted euxassay_009503_22

Specimen euxassay_009503_23: embryonic day 14.5 (more )
Structure Level Pattern Image Note
TS23: vertebral axis musculature Strong Regionally restricted euxassay_009503_23
TS23: liver Strong Spotted euxassay_009503_23
TS23: diaphragm Strong Regionally restricted euxassay_009503_23
TS23: hand mesenchyme Strong Regionally restricted euxassay_009503_23
TS23: foot mesenchyme Strong Regionally restricted euxassay_009503_23
TS23: hand skin Strong Regionally restricted euxassay_009503_23
TS23: foot skin Strong Regionally restricted euxassay_009503_23
TS23: interdigital region between hindlimb digits 1 and 2 Moderate Regionally restricted euxassay_009503_23
TS23: interdigital region between hindlimb digits 2 and 3 Moderate Regionally restricted euxassay_009503_23
TS23: interdigital region between hindlimb digits 3 and 4 Moderate Regionally restricted euxassay_009503_23
TS23: lung Moderate Regionally restricted euxassay_009503_23
TS23: extrinsic ocular muscle Strong Regionally restricted euxassay_009503_23

Specimen euxassay_009503_24: embryonic day 14.5 (more )
Structure Level Pattern Image Note
TS23: vertebral axis musculature Strong Regionally restricted euxassay_009503_24
TS23: liver Strong Spotted euxassay_009503_24
TS23: diaphragm Strong Regionally restricted euxassay_009503_24
TS23: hand mesenchyme Strong Regionally restricted euxassay_009503_24
TS23: foot mesenchyme Strong Regionally restricted euxassay_009503_24
TS23: interdigital region between hindlimb digits 1 and 2 Moderate Regionally restricted euxassay_009503_24
TS23: interdigital region between hindlimb digits 2 and 3 Moderate Regionally restricted euxassay_009503_24
TS23: extrinsic ocular muscle Strong Regionally restricted euxassay_009503_24


Contributing Projects:
Mouse Genome Database (MGD), Gene Expression Database (GXD), Mouse Models of Human Cancer database (MMHCdb) (formerly Mouse Tumor Biology (MTB)), Gene Ontology (GO)
Citing These Resources
Funding Information
Warranty Disclaimer, Privacy Notice, Licensing, & Copyright
Send questions and comments to User Support.
last database update
01/06/2026
MGI 6.24
The Jackson Laboratory