About   Help   FAQ
Gene Expression Data
Assay Details
Assay
Reference: J:153498 Diez-Roux G, et al., A high-resolution anatomical atlas of the transcriptome in the mouse embryo. PLoS Biol. 2011;9(1):e1000582
Assay type: RNA in situ
MGI Accession ID: MGI:4828875
Gene symbol: Tpd52
Gene name: tumor protein D52
Probe: T31665
Probe preparation: Antisense labelled with digoxigenin RNA
Visualized with: Alkaline phosphatase
Assay notes: Cryosections of fresh frozen material were fixed in 4% paraformaldehyde for 20 min. before further processing. A tyramide-biotin/streptavidin amplification step was included in the in situ hybridization procedure.
Results
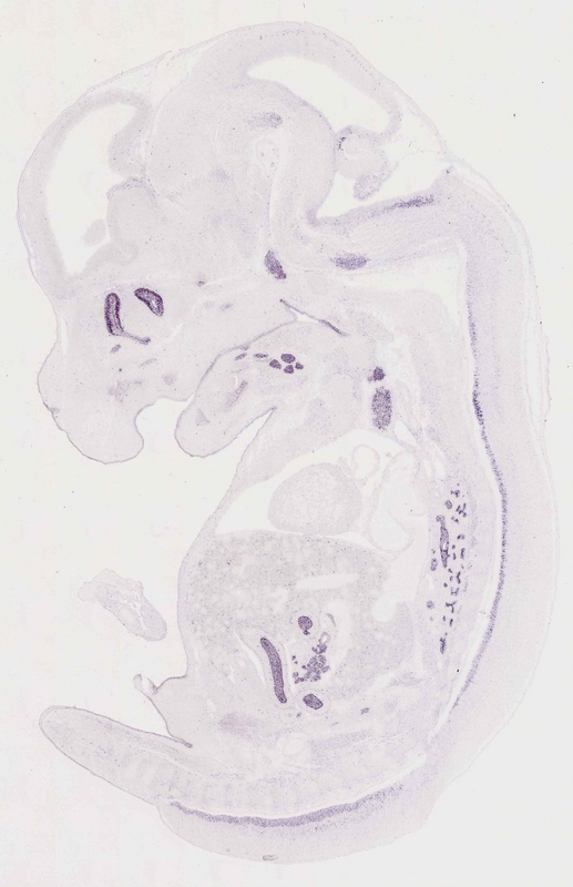
Specimen euxassay_013711_01: embryonic day 14.5 (more )
Structure Level Pattern Image Note
TS23: stomach Strong Regionally restricted euxassay_013711_01
TS23: retina Moderate Regionally restricted euxassay_013711_01
TS23: vibrissa Moderate Regionally restricted euxassay_013711_01
TS23: endolymphatic duct Moderate Regionally restricted euxassay_013711_01
TS23: pharyngo-tympanic tube Moderate Regionally restricted euxassay_013711_01

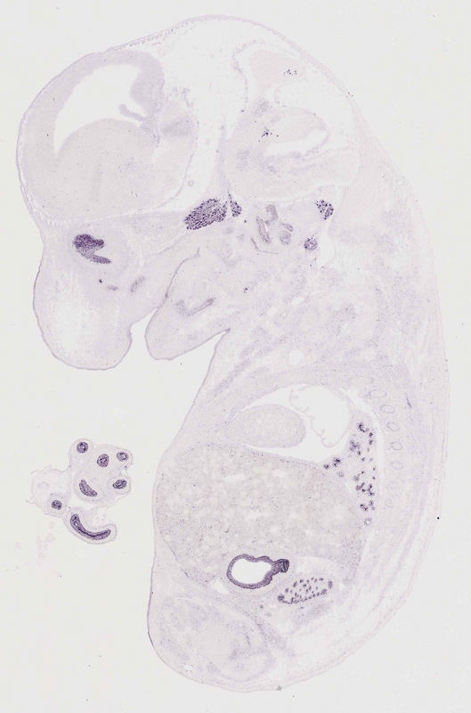
Specimen euxassay_013711_02: embryonic day 14.5 (more )
Structure Level Pattern Image Note
TS23: stomach Strong Regionally restricted euxassay_013711_02
TS23: neural retina Moderate Regionally restricted euxassay_013711_02
TS23: cornea epithelium Moderate Regionally restricted euxassay_013711_02
TS23: vibrissa Moderate Regionally restricted euxassay_013711_02
TS23: pharyngo-tympanic tube Moderate Regionally restricted euxassay_013711_02
TS23: endolymphatic duct Moderate Regionally restricted euxassay_013711_02
TS23: utricle Moderate Regionally restricted euxassay_013711_02
TS23: trigeminal ganglion Strong Regionally restricted euxassay_013711_02

Specimen euxassay_013711_03: embryonic day 14.5 (more )
Structure Level Pattern Image Note
TS23: stomach Strong Regionally restricted euxassay_013711_03
TS23: cornea epithelium Moderate Regionally restricted euxassay_013711_03
TS23: vibrissa Moderate Regionally restricted euxassay_013711_03
TS23: utricle Moderate Regionally restricted euxassay_013711_03
TS23: pharyngo-tympanic tube Moderate Regionally restricted euxassay_013711_03
TS23: trigeminal ganglion Strong Regionally restricted euxassay_013711_03
TS23: facial ganglion Strong Regionally restricted euxassay_013711_03

Specimen euxassay_013711_04: embryonic day 14.5 (more )
Structure Level Pattern Image Note
TS23: stomach Strong Regionally restricted euxassay_013711_04
TS23: left lung Strong Regionally restricted euxassay_013711_04
TS23: vibrissa Moderate Regionally restricted euxassay_013711_04
TS23: utricle Moderate Regionally restricted euxassay_013711_04
TS23: pharyngo-tympanic tube Moderate Regionally restricted euxassay_013711_04
TS23: naso-lacrimal duct Strong Regionally restricted euxassay_013711_04
TS23: trigeminal ganglion Strong Regionally restricted euxassay_013711_04
TS23: facial ganglion Strong Regionally restricted euxassay_013711_04

Specimen euxassay_013711_05: embryonic day 14.5 (more )
Structure Level Pattern Image Note
TS23: stomach Strong Regionally restricted euxassay_013711_05
TS23: seminiferous cord Strong Regionally restricted euxassay_013711_05
TS23: left lung Strong Regionally restricted euxassay_013711_05
TS23: vibrissa Moderate Regionally restricted euxassay_013711_05
TS23: pharyngo-tympanic tube Moderate Regionally restricted euxassay_013711_05
TS23: utricle Moderate Regionally restricted euxassay_013711_05
TS23: naso-lacrimal duct Strong Regionally restricted euxassay_013711_05
TS23: trigeminal ganglion Strong Regionally restricted euxassay_013711_05
TS23: facial ganglion Strong Regionally restricted euxassay_013711_05
TS23: rest of cerebellum mantle layer Strong Single cells euxassay_013711_05

Specimen euxassay_013711_06: embryonic day 14.5 (more )
Structure Level Pattern Image Note
TS23: stomach Strong Regionally restricted euxassay_013711_06
TS23: midgut Strong Regionally restricted euxassay_013711_06
TS23: seminiferous cord Strong Regionally restricted euxassay_013711_06
TS23: left lung Strong Regionally restricted euxassay_013711_06
TS23: cochlea Moderate Regionally restricted euxassay_013711_06
TS23: utricle Moderate Regionally restricted euxassay_013711_06
TS23: pharyngo-tympanic tube Moderate Regionally restricted euxassay_013711_06
TS23: olfactory epithelium Strong Regionally restricted euxassay_013711_06
TS23: naso-lacrimal duct Strong Regionally restricted euxassay_013711_06
TS23: trigeminal ganglion Strong Regionally restricted euxassay_013711_06
TS23: glossopharyngeal ganglion Strong Regionally restricted euxassay_013711_06
TS23: facial ganglion Strong Regionally restricted euxassay_013711_06
TS23: vestibulo-cochlear ganglion Moderate Regionally restricted euxassay_013711_06
TS23: midbrain mantle layer Strong Single cells euxassay_013711_06
TS23: rest of cerebellum mantle layer Strong Single cells euxassay_013711_06

Specimen euxassay_013711_07: embryonic day 14.5 (more )
Structure Level Pattern Image Note
TS23: stomach Strong Regionally restricted euxassay_013711_07
TS23: midgut Strong Regionally restricted euxassay_013711_07
TS23: seminiferous cord Strong Regionally restricted euxassay_013711_07
TS23: renal cortex Strong Regionally restricted euxassay_013711_07
TS23: left lung Strong Regionally restricted euxassay_013711_07
TS23: submandibular gland primordium Strong Regionally restricted euxassay_013711_07
TS23: cochlea Moderate Regionally restricted euxassay_013711_07
TS23: utricle Moderate Regionally restricted euxassay_013711_07
TS23: pharyngo-tympanic tube Moderate Regionally restricted euxassay_013711_07
TS23: olfactory epithelium Strong Regionally restricted euxassay_013711_07
TS23: naso-lacrimal duct Strong Regionally restricted euxassay_013711_07
TS23: trigeminal ganglion Strong Regionally restricted euxassay_013711_07
TS23: glossopharyngeal ganglion Strong Regionally restricted euxassay_013711_07
TS23: vestibulo-cochlear ganglion Moderate Regionally restricted euxassay_013711_07
TS23: midbrain mantle layer Strong Single cells euxassay_013711_07
TS23: rest of cerebellum mantle layer Strong Single cells euxassay_013711_07

Specimen euxassay_013711_08: embryonic day 14.5 (more )
Structure Level Pattern Image Note
TS23: stomach Strong Regionally restricted euxassay_013711_08
TS23: midgut Strong Regionally restricted euxassay_013711_08
TS23: renal cortex Strong Regionally restricted euxassay_013711_08
TS23: pancreas Strong Regionally restricted euxassay_013711_08
TS23: left lung Strong Regionally restricted euxassay_013711_08
TS23: dorsal root ganglion Strong Regionally restricted euxassay_013711_08
TS23: submandibular gland primordium Strong Regionally restricted euxassay_013711_08
TS23: pharyngo-tympanic tube Moderate Regionally restricted euxassay_013711_08
TS23: olfactory epithelium Strong Regionally restricted euxassay_013711_08
TS23: trigeminal ganglion Strong Regionally restricted euxassay_013711_08
TS23: vagus ganglion Moderate Regionally restricted euxassay_013711_08
TS23: pituitary gland Strong Regionally restricted euxassay_013711_08
TS23: midbrain mantle layer Strong Single cells euxassay_013711_08
TS23: rest of cerebellum mantle layer Strong Single cells euxassay_013711_08

Specimen euxassay_013711_09: embryonic day 14.5 (more )
Structure Level Pattern Image Note
TS23: stomach Strong Regionally restricted euxassay_013711_09
TS23: midgut Strong Regionally restricted euxassay_013711_09
TS23: renal cortex Strong Regionally restricted euxassay_013711_09
TS23: pancreas Strong Regionally restricted euxassay_013711_09
TS23: left lung Strong Regionally restricted euxassay_013711_09
TS23: dorsal root ganglion Strong Regionally restricted euxassay_013711_09
TS23: submandibular gland primordium Strong Regionally restricted euxassay_013711_09
TS23: olfactory epithelium Strong Regionally restricted euxassay_013711_09
TS23: anterior naris epithelium Moderate Regionally restricted euxassay_013711_09
TS23: external naris epithelium Moderate Regionally restricted euxassay_013711_09
TS23: pituitary gland Strong Regionally restricted euxassay_013711_09
TS23: midbrain mantle layer Strong Single cells euxassay_013711_09
TS23: rest of cerebellum mantle layer Strong Single cells euxassay_013711_09
TS23: medulla oblongata basal plate mantle layer Moderate Regionally restricted euxassay_013711_09

Specimen euxassay_013711_10: embryonic day 14.5 (more )
Structure Level Pattern Image Note
TS23: stomach Strong Regionally restricted euxassay_013711_10
TS23: midgut Strong Regionally restricted euxassay_013711_10
TS23: renal cortex Strong Regionally restricted euxassay_013711_10
TS23: pancreas Strong Regionally restricted euxassay_013711_10
TS23: left lung Strong Regionally restricted euxassay_013711_10
TS23: dorsal root ganglion Strong Regionally restricted euxassay_013711_10
TS23: thymus primordium Moderate Regionally restricted euxassay_013711_10
TS23: thyroid gland Strong Regionally restricted euxassay_013711_10
TS23: anterior naris epithelium Moderate Regionally restricted euxassay_013711_10
TS23: olfactory epithelium Strong Regionally restricted euxassay_013711_10
TS23: vomeronasal organ Strong Regionally restricted euxassay_013711_10
TS23: pituitary gland Strong Regionally restricted euxassay_013711_10
TS23: midbrain mantle layer Strong Single cells euxassay_013711_10
TS23: rest of cerebellum mantle layer Strong Single cells euxassay_013711_10
TS23: medulla oblongata alar plate mantle layer Moderate Regionally restricted euxassay_013711_10
TS23: ventral grey horn Strong Regionally restricted euxassay_013711_10

Specimen euxassay_013711_11: embryonic day 14.5 (more )
Structure Level Pattern Image Note
TS23: midgut Strong Regionally restricted euxassay_013711_11
TS23: pancreas Strong Regionally restricted euxassay_013711_11
TS23: left lung Strong Regionally restricted euxassay_013711_11
TS23: dorsal root ganglion Strong Regionally restricted euxassay_013711_11
TS23: thymus primordium Moderate Regionally restricted euxassay_013711_11
TS23: thyroid gland Moderate Regionally restricted euxassay_013711_11
TS23: pharynx epithelium Strong Regionally restricted euxassay_013711_11
TS23: anterior naris epithelium Moderate Regionally restricted euxassay_013711_11
TS23: pituitary gland Strong Regionally restricted euxassay_013711_11
TS23: midbrain mantle layer Strong Single cells euxassay_013711_11
TS23: rest of cerebellum mantle layer Strong Single cells euxassay_013711_11
TS23: ventral grey horn Strong Regionally restricted euxassay_013711_11

Specimen euxassay_013711_12: embryonic day 14.5 (more )
Structure Level Pattern Image Note
TS23: midgut Strong Regionally restricted euxassay_013711_12
TS23: bladder Strong Regionally restricted euxassay_013711_12
TS23: left lung Strong Regionally restricted euxassay_013711_12
TS23: dorsal root ganglion Strong Regionally restricted euxassay_013711_12
TS23: thymus primordium Moderate Regionally restricted euxassay_013711_12
TS23: trachea epithelium Strong Regionally restricted euxassay_013711_12
TS23: esophagus epithelium Strong Regionally restricted euxassay_013711_12
TS23: pharynx epithelium Strong Regionally restricted euxassay_013711_12
TS23: larynx Strong Regionally restricted euxassay_013711_12
TS23: anterior naris epithelium Moderate Regionally restricted euxassay_013711_12
TS23: pituitary gland Strong Regionally restricted euxassay_013711_12
TS23: midbrain mantle layer Strong Single cells euxassay_013711_12
TS23: rest of cerebellum mantle layer Strong Single cells euxassay_013711_12
TS23: ventral grey horn Strong Regionally restricted euxassay_013711_12

Specimen euxassay_013711_13: embryonic day 14.5 (more )
Structure Level Pattern Image Note
TS23: midgut Strong Regionally restricted euxassay_013711_13
TS23: rectum Strong Regionally restricted euxassay_013711_13
TS23: bladder Strong Regionally restricted euxassay_013711_13
TS23: left lung Strong Regionally restricted euxassay_013711_13
TS23: thymus primordium Strong Regionally restricted euxassay_013711_13
TS23: trachea epithelium Strong Regionally restricted euxassay_013711_13
TS23: esophagus epithelium Strong Regionally restricted euxassay_013711_13
TS23: pharynx epithelium Strong Regionally restricted euxassay_013711_13
TS23: larynx Strong Regionally restricted euxassay_013711_13
TS23: anterior naris epithelium Strong Regionally restricted euxassay_013711_13
TS23: external naris epithelium Strong Regionally restricted euxassay_013711_13
TS23: olfactory epithelium Strong Regionally restricted euxassay_013711_13
TS23: vomeronasal organ Strong Regionally restricted euxassay_013711_13
TS23: pituitary gland Strong Regionally restricted euxassay_013711_13
TS23: midbrain tegmentum Moderate Regionally restricted euxassay_013711_13
TS23: ventral grey horn Strong Regionally restricted euxassay_013711_13

Specimen euxassay_013711_14: embryonic day 14.5 (more )
Structure Level Pattern Image Note
TS23: midgut Strong Regionally restricted euxassay_013711_14
TS23: rectum Strong Regionally restricted euxassay_013711_14
TS23: pancreas Strong Regionally restricted euxassay_013711_14
TS23: right lung Strong Regionally restricted euxassay_013711_14
TS23: thymus primordium Strong Regionally restricted euxassay_013711_14
TS23: trachea epithelium Strong Regionally restricted euxassay_013711_14
TS23: pharynx epithelium Strong Regionally restricted euxassay_013711_14
TS23: olfactory epithelium Strong Regionally restricted euxassay_013711_14
TS23: anterior naris epithelium Moderate Regionally restricted euxassay_013711_14
TS23: external naris epithelium Moderate Regionally restricted euxassay_013711_14
TS23: pituitary gland Strong Regionally restricted euxassay_013711_14
TS23: midbrain tegmentum Moderate Regionally restricted euxassay_013711_14
TS23: ventral grey horn Strong Regionally restricted euxassay_013711_14

Specimen euxassay_013711_15: embryonic day 14.5 (more )
Structure Level Pattern Image Note
TS23: midgut Strong Regionally restricted euxassay_013711_15
TS23: pancreas Strong Regionally restricted euxassay_013711_15
TS23: right lung Strong Regionally restricted euxassay_013711_15
TS23: submandibular gland primordium Strong Regionally restricted euxassay_013711_15
TS23: thymus primordium Strong Regionally restricted euxassay_013711_15
TS23: thyroid gland Strong Regionally restricted euxassay_013711_15
TS23: olfactory epithelium Strong Regionally restricted euxassay_013711_15
TS23: pituitary gland Strong Regionally restricted euxassay_013711_15
TS23: midbrain mantle layer Strong Single cells euxassay_013711_15
TS23: rest of cerebellum mantle layer Strong Single cells euxassay_013711_15
TS23: medulla oblongata alar plate mantle layer Moderate Regionally restricted euxassay_013711_15
TS23: medulla oblongata basal plate mantle layer Moderate Regionally restricted euxassay_013711_15
TS23: ventral grey horn Strong Regionally restricted euxassay_013711_15

Specimen euxassay_013711_16: embryonic day 14.5 (more )
Structure Level Pattern Image Note
TS23: midgut Strong Regionally restricted euxassay_013711_16
TS23: renal cortex Strong Regionally restricted euxassay_013711_16
TS23: pancreas Strong Regionally restricted euxassay_013711_16
TS23: right lung Strong Regionally restricted euxassay_013711_16
TS23: dorsal root ganglion Strong Regionally restricted euxassay_013711_16
TS23: submandibular gland primordium Strong Regionally restricted euxassay_013711_16
TS23: naso-lacrimal duct Strong Regionally restricted euxassay_013711_16
TS23: olfactory epithelium Strong Regionally restricted euxassay_013711_16
TS23: pituitary gland Strong Regionally restricted euxassay_013711_16
TS23: midbrain mantle layer Strong Single cells euxassay_013711_16
TS23: rest of cerebellum mantle layer Strong Single cells euxassay_013711_16
TS23: ventral grey horn Strong Regionally restricted euxassay_013711_16

Specimen euxassay_013711_17: embryonic day 14.5 (more )
Structure Level Pattern Image Note
TS23: midgut Strong Regionally restricted euxassay_013711_17
TS23: renal cortex Strong Regionally restricted euxassay_013711_17
TS23: right lung Strong Regionally restricted euxassay_013711_17
TS23: dorsal root ganglion Strong Regionally restricted euxassay_013711_17
TS23: submandibular gland primordium Strong Regionally restricted euxassay_013711_17
TS23: cochlea Moderate Regionally restricted euxassay_013711_17
TS23: naso-lacrimal duct Strong Regionally restricted euxassay_013711_17
TS23: olfactory epithelium Strong Regionally restricted euxassay_013711_17
TS23: trigeminal ganglion Strong Regionally restricted euxassay_013711_17
TS23: vagus ganglion Strong Regionally restricted euxassay_013711_17
TS23: vestibulo-cochlear ganglion Strong Regionally restricted euxassay_013711_17
TS23: midbrain mantle layer Strong Single cells euxassay_013711_17
TS23: rest of cerebellum mantle layer Strong Single cells euxassay_013711_17

Specimen euxassay_013711_18: embryonic day 14.5 (more )
Structure Level Pattern Image Note
TS23: midgut Strong Regionally restricted euxassay_013711_18
TS23: seminiferous cord Strong Regionally restricted euxassay_013711_18
TS23: renal cortex Strong Regionally restricted euxassay_013711_18
TS23: right lung Strong Regionally restricted euxassay_013711_18
TS23: dorsal root ganglion Strong Regionally restricted euxassay_013711_18
TS23: vibrissa Moderate Regionally restricted euxassay_013711_18
TS23: cochlea Moderate Regionally restricted euxassay_013711_18
TS23: utricle Moderate Regionally restricted euxassay_013711_18
TS23: naso-lacrimal duct Strong Regionally restricted euxassay_013711_18
TS23: trigeminal ganglion Strong Regionally restricted euxassay_013711_18
TS23: glossopharyngeal ganglion Strong Regionally restricted euxassay_013711_18
TS23: vestibulo-cochlear ganglion Moderate Regionally restricted euxassay_013711_18
TS23: midbrain mantle layer Strong Single cells euxassay_013711_18
TS23: rest of cerebellum mantle layer Strong Single cells euxassay_013711_18

Specimen euxassay_013711_19: embryonic day 14.5 (more )
Structure Level Pattern Image Note
TS23: seminiferous cord Strong Regionally restricted euxassay_013711_19
TS23: renal cortex Strong Regionally restricted euxassay_013711_19
TS23: right lung Strong Regionally restricted euxassay_013711_19
TS23: vibrissa Moderate Regionally restricted euxassay_013711_19
TS23: utricle Moderate Regionally restricted euxassay_013711_19
TS23: cochlea Moderate Regionally restricted euxassay_013711_19
TS23: pharyngo-tympanic tube Moderate Regionally restricted euxassay_013711_19
TS23: naso-lacrimal duct Strong Regionally restricted euxassay_013711_19
TS23: vestibulo-cochlear ganglion Moderate Regionally restricted euxassay_013711_19
TS23: glossopharyngeal ganglion Strong Regionally restricted euxassay_013711_19
TS23: trigeminal ganglion Strong Regionally restricted euxassay_013711_19
TS23: midbrain mantle layer Strong Single cells euxassay_013711_19
TS23: rest of cerebellum mantle layer Strong Single cells euxassay_013711_19

Specimen euxassay_013711_20: embryonic day 14.5 (more )
Structure Level Pattern Image Note
TS23: seminiferous cord Strong Regionally restricted euxassay_013711_20
TS23: renal cortex Strong Regionally restricted euxassay_013711_20
TS23: right lung Strong Regionally restricted euxassay_013711_20
TS23: vibrissa Moderate Regionally restricted euxassay_013711_20
TS23: utricle Moderate Regionally restricted euxassay_013711_20
TS23: pharyngo-tympanic tube Moderate Regionally restricted euxassay_013711_20
TS23: naso-lacrimal duct Strong Regionally restricted euxassay_013711_20
TS23: trigeminal ganglion Strong Regionally restricted euxassay_013711_20
TS23: facial ganglion Strong Regionally restricted euxassay_013711_20
TS23: vestibulo-cochlear ganglion Moderate Regionally restricted euxassay_013711_20

Specimen euxassay_013711_21: embryonic day 14.5 (more )
Structure Level Pattern Image Note
TS23: seminiferous cord Strong Regionally restricted euxassay_013711_21
TS23: right lung Strong Regionally restricted euxassay_013711_21
TS23: neural retina Moderate Regionally restricted euxassay_013711_21
TS23: cornea epithelium Moderate Regionally restricted euxassay_013711_21
TS23: vibrissa Moderate Regionally restricted euxassay_013711_21
TS23: utricle Moderate Regionally restricted euxassay_013711_21
TS23: pharyngo-tympanic tube Moderate Regionally restricted euxassay_013711_21
TS23: endolymphatic duct Moderate Regionally restricted euxassay_013711_21
TS23: naso-lacrimal duct Strong Regionally restricted euxassay_013711_21
TS23: trigeminal ganglion Strong Regionally restricted euxassay_013711_21
TS23: facial ganglion Strong Regionally restricted euxassay_013711_21

Specimen euxassay_013711_22: embryonic day 14.5 (more )
Structure Level Pattern Image Note
TS23: right lung Strong Regionally restricted euxassay_013711_22
TS23: neural retina Moderate Regionally restricted euxassay_013711_22
TS23: cornea epithelium Moderate Regionally restricted euxassay_013711_22
TS23: vibrissa Moderate Regionally restricted euxassay_013711_22
TS23: pharyngo-tympanic tube Moderate Regionally restricted euxassay_013711_22
TS23: endolymphatic duct Moderate Regionally restricted euxassay_013711_22
TS23: naso-lacrimal duct Strong Regionally restricted euxassay_013711_22
TS23: trigeminal ganglion Strong Regionally restricted euxassay_013711_22

Specimen euxassay_013711_23: embryonic day 14.5 (more )
Structure Level Pattern Image Note
TS23: neural retina Moderate Regionally restricted euxassay_013711_23
TS23: cornea epithelium Moderate Regionally restricted euxassay_013711_23
TS23: pharyngo-tympanic tube Moderate Regionally restricted euxassay_013711_23
TS23: endolymphatic duct Moderate Regionally restricted euxassay_013711_23


Contributing Projects:
Mouse Genome Database (MGD), Gene Expression Database (GXD), Mouse Models of Human Cancer database (MMHCdb) (formerly Mouse Tumor Biology (MTB)), Gene Ontology (GO)
Citing These Resources
Funding Information
Warranty Disclaimer, Privacy Notice, Licensing, & Copyright
Send questions and comments to User Support.
last database update
12/30/2025
MGI 6.24
The Jackson Laboratory