About   Help   FAQ
Gene Expression Data
Assay Details
Assay
Reference: J:153498 Diez-Roux G, et al., A high-resolution anatomical atlas of the transcriptome in the mouse embryo. PLoS Biol. 2011;9(1):e1000582
Assay type: RNA in situ
MGI Accession ID: MGI:4828861
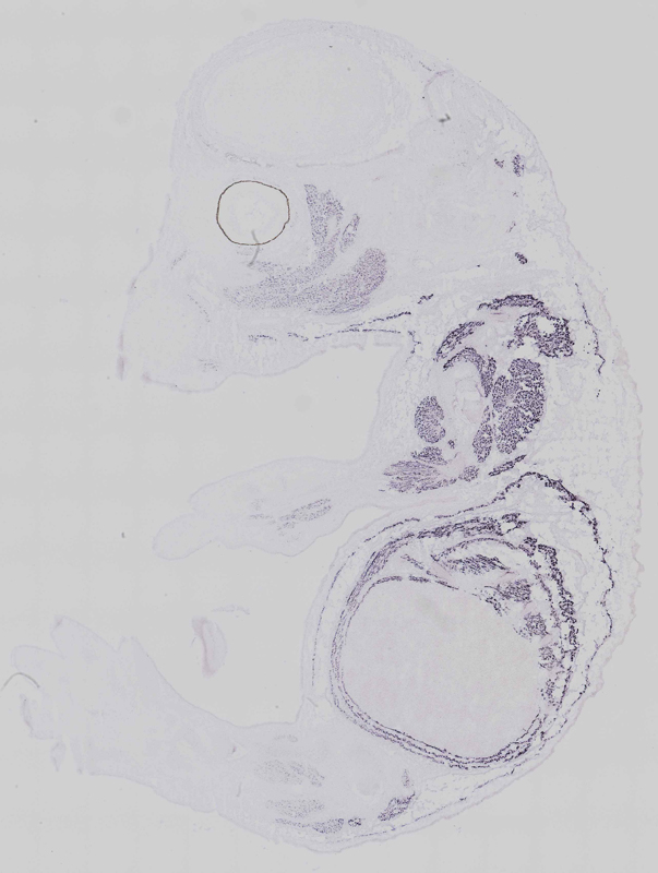
Gene symbol: Tnnt3
Gene name: troponin T3, skeletal, fast
Probe: T6295
Probe preparation: Antisense labelled with digoxigenin RNA
Visualized with: Alkaline phosphatase
Assay notes: Cryosections of fresh frozen material were fixed in 4% paraformaldehyde for 20 min. before further processing. A tyramide-biotin/streptavidin amplification step was included in the in situ hybridization procedure.
Results
Specimen euxassay_004291_01: embryonic day 14.5 (more )
Note: Additional information for this specimen was included in the Eurexpress data submission file.
Structure Level Pattern Image Note
TS23: vertebral axis musculature Strong Regionally restricted euxassay_004291_01
TS23: tongue Moderate Regionally restricted euxassay_004291_01
TS23: limb Strong Regionally restricted euxassay_004291_01
TS23: limb musculature Present euxassay_004291_01
TS23: diaphragm Strong Regionally restricted euxassay_004291_01

Specimen euxassay_004291_02: embryonic day 14.5 (more )
Note: Additional information for this specimen was included in the Eurexpress data submission file.
Structure Level Pattern Image Note
TS23: vertebral axis musculature Strong Regionally restricted euxassay_004291_02
TS23: limb Strong Regionally restricted euxassay_004291_02
TS23: limb musculature Present euxassay_004291_02
TS23: diaphragm Strong Regionally restricted euxassay_004291_02

Specimen euxassay_004291_03: embryonic day 14.5 (more )
Structure Level Pattern Image Note
TS23: vertebral axis musculature Strong Regionally restricted euxassay_004291_03
TS23: limb Strong Regionally restricted euxassay_004291_03
TS23: diaphragm Strong Regionally restricted euxassay_004291_03

Specimen euxassay_004291_04: embryonic day 14.5 (more )
Note: Additional information for this specimen was included in the Eurexpress data submission file.
Structure Level Pattern Image Note
TS23: vertebral axis musculature Strong Regionally restricted euxassay_004291_04
TS23: limb Strong Regionally restricted euxassay_004291_04
TS23: limb musculature Present euxassay_004291_04
TS23: diaphragm Strong Regionally restricted euxassay_004291_04

Specimen euxassay_004291_05: embryonic day 14.5 (more )
Note: Additional information for this specimen was included in the Eurexpress data submission file.
Structure Level Pattern Image Note
TS23: vertebral axis musculature Strong Regionally restricted euxassay_004291_05
TS23: limb Strong Regionally restricted euxassay_004291_05
TS23: limb musculature Present euxassay_004291_05
TS23: diaphragm Strong Regionally restricted euxassay_004291_05

Specimen euxassay_004291_06: embryonic day 14.5 (more )
Structure Level Pattern Image Note
TS23: diaphragm Strong Regionally restricted euxassay_004291_06
TS23: vertebral axis musculature Strong Regionally restricted euxassay_004291_06

Specimen euxassay_004291_07: embryonic day 14.5 (more )
Structure Level Pattern Image Note
TS23: vertebral axis musculature Strong Regionally restricted euxassay_004291_07
TS23: diaphragm Strong Regionally restricted euxassay_004291_07
TS23: limb Strong Regionally restricted euxassay_004291_07

Specimen euxassay_004291_08: embryonic day 14.5 (more )
Structure Level Pattern Image Note
TS23: vertebral axis musculature Strong Regionally restricted euxassay_004291_08
TS23: diaphragm Strong Regionally restricted euxassay_004291_08

Specimen euxassay_004291_09: embryonic day 14.5 (more )
Note: Additional information for this specimen was included in the Eurexpress data submission file.
Structure Level Pattern Image Note
TS23: vertebral axis musculature Moderate Regionally restricted euxassay_004291_09
TS23: limb Strong Regionally restricted euxassay_004291_09
TS23: limb musculature Present euxassay_004291_09
TS23: diaphragm Strong Regionally restricted euxassay_004291_09
TS23: anterior abdominal wall musculature Strong Regionally restricted euxassay_004291_09
TS23: tongue Strong Regionally restricted euxassay_004291_09

Specimen euxassay_004291_10: embryonic day 14.5 (more )
Note: Additional information for this specimen was included in the Eurexpress data submission file.
Structure Level Pattern Image Note
TS23: vertebral axis musculature Strong Regionally restricted euxassay_004291_10
TS23: tongue Strong Regionally restricted euxassay_004291_10
TS23: limb Strong Regionally restricted euxassay_004291_10
TS23: limb musculature Present euxassay_004291_10
TS23: diaphragm Strong Regionally restricted euxassay_004291_10

Specimen euxassay_004291_11: embryonic day 14.5 (more )
Structure Level Pattern Image Note
TS23: vertebral axis musculature Strong Regionally restricted euxassay_004291_11
TS23: tongue Strong Regionally restricted euxassay_004291_11
TS23: diaphragm Strong Regionally restricted euxassay_004291_11

Specimen euxassay_004291_12: embryonic day 14.5 (more )
Structure Level Pattern Image Note
TS23: vertebral axis musculature Strong Regionally restricted euxassay_004291_12
TS23: tongue Strong Regionally restricted euxassay_004291_12
TS23: diaphragm Strong Regionally restricted euxassay_004291_12

Specimen euxassay_004291_13: embryonic day 14.5 (more )
Structure Level Pattern Image Note
TS23: vertebral axis musculature Strong Regionally restricted euxassay_004291_13
TS23: tongue Strong Regionally restricted euxassay_004291_13
TS23: diaphragm Strong Regionally restricted euxassay_004291_13

Specimen euxassay_004291_14: embryonic day 14.5 (more )
Structure Level Pattern Image Note
TS23: vertebral axis musculature Strong Regionally restricted euxassay_004291_14
TS23: tongue Strong Regionally restricted euxassay_004291_14
TS23: diaphragm Strong Regionally restricted euxassay_004291_14

Specimen euxassay_004291_15: embryonic day 14.5 (more )
Structure Level Pattern Image Note
TS23: vertebral axis musculature Strong Regionally restricted euxassay_004291_15
TS23: tongue Strong Regionally restricted euxassay_004291_15
TS23: diaphragm Strong Regionally restricted euxassay_004291_15

Specimen euxassay_004291_16: embryonic day 14.5 (more )
Structure Level Pattern Image Note
TS23: vertebral axis musculature Strong Regionally restricted euxassay_004291_16
TS23: tongue Strong Regionally restricted euxassay_004291_16
TS23: diaphragm Strong Regionally restricted euxassay_004291_16

Specimen euxassay_004291_17: embryonic day 14.5 (more )
Structure Level Pattern Image Note
TS23: vertebral axis musculature Strong Regionally restricted euxassay_004291_17
TS23: tongue Strong Regionally restricted euxassay_004291_17
TS23: diaphragm Strong Regionally restricted euxassay_004291_17

Specimen euxassay_004291_18: embryonic day 14.5 (more )
Structure Level Pattern Image Note
TS23: vertebral axis musculature Strong Regionally restricted euxassay_004291_18
TS23: tongue Strong Regionally restricted euxassay_004291_18
TS23: diaphragm Strong Regionally restricted euxassay_004291_18

Specimen euxassay_004291_19: embryonic day 14.5 (more )
Structure Level Pattern Image Note
TS23: vertebral axis musculature Strong Regionally restricted euxassay_004291_19
TS23: diaphragm Strong Regionally restricted euxassay_004291_19

Specimen euxassay_004291_20: embryonic day 14.5 (more )
Structure Level Pattern Image Note
TS23: vertebral axis musculature Strong Regionally restricted euxassay_004291_20
TS23: diaphragm Strong Regionally restricted euxassay_004291_20

Specimen euxassay_004291_21: embryonic day 14.5 (more )
Structure Level Pattern Image Note
TS23: vertebral axis musculature Strong Regionally restricted euxassay_004291_21
TS23: diaphragm Moderate Regionally restricted euxassay_004291_21

Specimen euxassay_004291_22: embryonic day 14.5 (more )
Structure Level Pattern Image Note
TS23: vertebral axis musculature Moderate Regionally restricted euxassay_004291_22
TS23: diaphragm Moderate Regionally restricted euxassay_004291_22

Specimen euxassay_004291_23: embryonic day 14.5 (more )
Structure Level Pattern Image Note
TS23: vertebral axis musculature Moderate Regionally restricted euxassay_004291_23
TS23: diaphragm Moderate Regionally restricted euxassay_004291_23

Specimen euxassay_004291_24: embryonic day 14.5 (more )
Structure Level Pattern Image Note
TS23: vertebral axis musculature Moderate Regionally restricted euxassay_004291_24
TS23: diaphragm Moderate Regionally restricted euxassay_004291_24


Contributing Projects:
Mouse Genome Database (MGD), Gene Expression Database (GXD), Mouse Models of Human Cancer database (MMHCdb) (formerly Mouse Tumor Biology (MTB)), Gene Ontology (GO)
Citing These Resources
Funding Information
Warranty Disclaimer, Privacy Notice, Licensing, & Copyright
Send questions and comments to User Support.
last database update
12/30/2025
MGI 6.24
The Jackson Laboratory