About   Help   FAQ
Gene Expression Data
Assay Details
Assay
Reference: J:153498 Diez-Roux G, et al., A high-resolution anatomical atlas of the transcriptome in the mouse embryo. PLoS Biol. 2011;9(1):e1000582
Assay type: RNA in situ
MGI Accession ID: MGI:4828823
Gene symbol: Tmf1
Gene name: TATA element modulatory factor 1
Probe: T39551
Probe preparation: Antisense labelled with digoxigenin RNA
Visualized with: Alkaline phosphatase
Assay notes: Cryosections of fresh frozen material were fixed in 4% paraformaldehyde for 20 min. before further processing. A tyramide-biotin/streptavidin amplification step was included in the in situ hybridization procedure.
Results
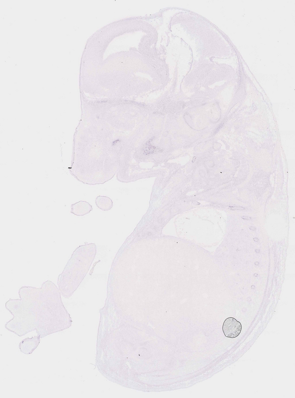
Specimen euxassay_016101_05: embryonic day 14.5 (more )
Structure Level Pattern Image Note
TS23: maxilla Weak Regionally restricted euxassay_016101_05
TS23: mandible Weak Regionally restricted euxassay_016101_05

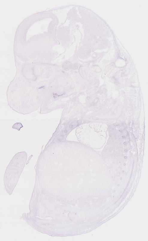
Specimen euxassay_016101_06: embryonic day 14.5 (more )
Structure Level Pattern Image Note
TS23: maxilla Weak Regionally restricted euxassay_016101_06
TS23: mandible Weak Regionally restricted euxassay_016101_06

Specimen euxassay_016101_07: embryonic day 14.5 (more )
Structure Level Pattern Image Note
TS23: maxilla Weak Regionally restricted euxassay_016101_07
TS23: mandible Weak Regionally restricted euxassay_016101_07

Specimen euxassay_016101_08: embryonic day 14.5 (more )
Structure Level Pattern Image Note
TS23: mandible Weak Regionally restricted euxassay_016101_08

Specimen euxassay_016101_09: embryonic day 14.5 (more )
Structure Level Pattern Image Note
TS23: maxilla Weak Regionally restricted euxassay_016101_09

Specimen euxassay_016101_17: embryonic day 14.5 (more )
Structure Level Pattern Image Note
TS23: maxilla Weak Regionally restricted euxassay_016101_17
TS23: mandible Weak Regionally restricted euxassay_016101_17

Specimen euxassay_016101_18: embryonic day 14.5 (more )
Structure Level Pattern Image Note
TS23: maxilla Weak Regionally restricted euxassay_016101_18
TS23: mandible Weak Regionally restricted euxassay_016101_18

Specimen euxassay_016101_19: embryonic day 14.5 (more )
Structure Level Pattern Image Note
TS23: maxilla Weak Regionally restricted euxassay_016101_19
TS23: mandible Weak Regionally restricted euxassay_016101_19

Specimen euxassay_016101_20: embryonic day 14.5 (more )
Structure Level Pattern Image Note
TS23: mandible Weak Regionally restricted euxassay_016101_20
TS23: maxilla Weak Regionally restricted euxassay_016101_20

Specimen euxassay_016101_21: embryonic day 14.5 (more )
Structure Level Pattern Image Note
TS23: mandible Weak Regionally restricted euxassay_016101_21


Contributing Projects:
Mouse Genome Database (MGD), Gene Expression Database (GXD), Mouse Models of Human Cancer database (MMHCdb) (formerly Mouse Tumor Biology (MTB)), Gene Ontology (GO)
Citing These Resources
Funding Information
Warranty Disclaimer, Privacy Notice, Licensing, & Copyright
Send questions and comments to User Support.
last database update
01/20/2026
MGI 6.24
The Jackson Laboratory