About   Help   FAQ
Gene Expression Data
Assay Details
Assay
Reference: J:153498 Diez-Roux G, et al., A high-resolution anatomical atlas of the transcriptome in the mouse embryo. PLoS Biol. 2011;9(1):e1000582
Assay type: RNA in situ
MGI Accession ID: MGI:4828801
Gene symbol: Tmem35a
Gene name: transmembrane protein 35A
Probe: MGC clone 35663
Probe preparation: Antisense labelled with digoxigenin RNA
Visualized with: Alkaline phosphatase
Assay notes: Cryosections of fresh frozen material were fixed in 4% paraformaldehyde for 20 min. before further processing. A tyramide-biotin/streptavidin amplification step was included in the in situ hybridization procedure.
Results
Specimen euxassay_003210_01: embryonic day 14.5 (more )
Structure Level Pattern Image Note
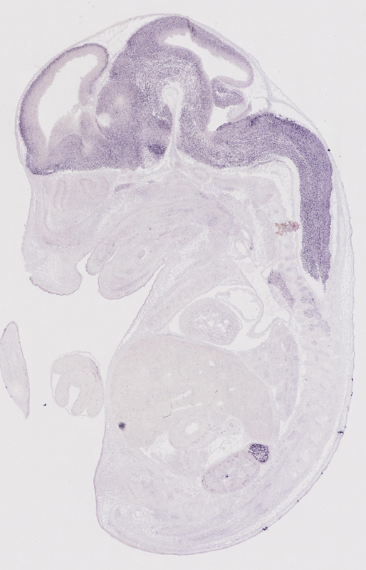
TS23: telencephalon mantle layer Moderate Regionally restricted euxassay_003210_01
TS23: neural retina Weak Regionally restricted euxassay_003210_01

Specimen euxassay_003210_02: embryonic day 14.5 (more )
Structure Level Pattern Image Note
TS23: telencephalon marginal layer Moderate Regionally restricted euxassay_003210_02
TS23: telencephalon mantle layer Moderate Regionally restricted euxassay_003210_02
TS23: neural retina Moderate Regionally restricted euxassay_003210_02

Specimen euxassay_003210_03: embryonic day 14.5 (more )
Structure Level Pattern Image Note
TS23: telencephalon marginal layer Moderate Regionally restricted euxassay_003210_03
TS23: telencephalon mantle layer Moderate Regionally restricted euxassay_003210_03
TS23: neural retina Moderate Regionally restricted euxassay_003210_03

Specimen euxassay_003210_04: embryonic day 14.5 (more )
Structure Level Pattern Image Note
TS23: telencephalon marginal layer Moderate Regionally restricted euxassay_003210_04
TS23: telencephalon mantle layer Moderate Regionally restricted euxassay_003210_04
TS23: hindbrain Moderate Uniform euxassay_003210_04
TS23: trigeminal ganglion Weak Regionally restricted euxassay_003210_04
TS23: neural retina Moderate Regionally restricted euxassay_003210_04

Specimen euxassay_003210_05: embryonic day 14.5 (more )
Structure Level Pattern Image Note
TS23: telencephalon mantle layer Moderate Regionally restricted euxassay_003210_05
TS23: telencephalon marginal layer Moderate Regionally restricted euxassay_003210_05
TS23: hindbrain Moderate Uniform euxassay_003210_05
TS23: trigeminal ganglion Weak Regionally restricted euxassay_003210_05
TS23: neural retina Weak Regionally restricted euxassay_003210_05

Specimen euxassay_003210_06: embryonic day 14.5 (more )
Structure Level Pattern Image Note
TS23: telencephalon marginal layer Moderate Regionally restricted euxassay_003210_06
TS23: telencephalon mantle layer Moderate Regionally restricted euxassay_003210_06
TS23: hindbrain Moderate Uniform euxassay_003210_06
TS23: midbrain Moderate Uniform euxassay_003210_06
TS23: trigeminal ganglion Weak Regionally restricted euxassay_003210_06

Specimen euxassay_003210_07: embryonic day 14.5 (more )
Structure Level Pattern Image Note
TS23: telencephalon mantle layer Moderate Regionally restricted euxassay_003210_07
TS23: telencephalon marginal layer Moderate Regionally restricted euxassay_003210_07
TS23: hindbrain Moderate Uniform euxassay_003210_07
TS23: midbrain Moderate Uniform euxassay_003210_07
TS23: testis Weak Regionally restricted euxassay_003210_07
TS23: trigeminal ganglion Weak Regionally restricted euxassay_003210_07
TS23: vestibulo-cochlear ganglion Weak Regionally restricted euxassay_003210_07
TS23: glossopharyngeal ganglion Weak Regionally restricted euxassay_003210_07

Specimen euxassay_003210_08: embryonic day 14.5 (more )
Structure Level Pattern Image Note
TS23: telencephalon marginal layer Moderate Regionally restricted euxassay_003210_08
TS23: telencephalon mantle layer Moderate Regionally restricted euxassay_003210_08
TS23: hindbrain Moderate Uniform euxassay_003210_08
TS23: midbrain Moderate Uniform euxassay_003210_08
TS23: diencephalon Moderate Uniform euxassay_003210_08
TS23: dorsal root ganglion Weak Regionally restricted euxassay_003210_08
TS23: testis Weak Regionally restricted euxassay_003210_08
TS23: glossopharyngeal ganglion Weak Regionally restricted euxassay_003210_08
TS23: trigeminal ganglion Weak Regionally restricted euxassay_003210_08
TS23: vestibulo-cochlear ganglion Weak Regionally restricted euxassay_003210_08

Specimen euxassay_003210_09: embryonic day 14.5 (more )
Structure Level Pattern Image Note
TS23: telencephalon marginal layer Moderate Regionally restricted euxassay_003210_09
TS23: telencephalon mantle layer Moderate Regionally restricted euxassay_003210_09
TS23: diencephalon Moderate Uniform euxassay_003210_09
TS23: midbrain Moderate Uniform euxassay_003210_09
TS23: hindbrain Moderate Uniform euxassay_003210_09
TS23: adrenal gland Strong Uniform euxassay_003210_09
TS23: dorsal root ganglion Weak Regionally restricted euxassay_003210_09
TS23: testis Weak Regionally restricted euxassay_003210_09
TS23: maturing glomerular tuft Weak Regionally restricted euxassay_003210_09
TS23: vagus ganglion Weak Regionally restricted euxassay_003210_09
TS23: trigeminal ganglion Weak Regionally restricted euxassay_003210_09
TS23: vestibulo-cochlear ganglion Weak Regionally restricted euxassay_003210_09

Specimen euxassay_003210_10: embryonic day 14.5 (more )
Structure Level Pattern Image Note
TS23: telencephalon marginal layer Moderate Regionally restricted euxassay_003210_10
TS23: telencephalon mantle layer Moderate Regionally restricted euxassay_003210_10
TS23: spinal cord Moderate Uniform euxassay_003210_10
TS23: midbrain Moderate Uniform euxassay_003210_10
TS23: hindbrain Moderate Uniform euxassay_003210_10
TS23: diencephalon Moderate Uniform euxassay_003210_10
TS23: adrenal gland Strong Uniform euxassay_003210_10
TS23: dorsal root ganglion Weak Regionally restricted euxassay_003210_10
TS23: cervical ganglion Moderate Regionally restricted euxassay_003210_10
TS23: maturing glomerular tuft Weak Regionally restricted euxassay_003210_10
TS23: trigeminal ganglion Weak Regionally restricted euxassay_003210_10

Specimen euxassay_003210_11: embryonic day 14.5 (more )
Structure Level Pattern Image Note
TS23: olfactory cortex marginal layer Moderate Regionally restricted euxassay_003210_11
TS23: telencephalon marginal layer Moderate Regionally restricted euxassay_003210_11
TS23: telencephalon mantle layer Moderate Regionally restricted euxassay_003210_11
TS23: spinal cord Moderate Uniform euxassay_003210_11
TS23: midbrain Moderate Uniform euxassay_003210_11
TS23: hindbrain Moderate Uniform euxassay_003210_11
TS23: diencephalon Moderate Uniform euxassay_003210_11
TS23: adrenal gland Strong Uniform euxassay_003210_11
TS23: dorsal root ganglion Weak Regionally restricted euxassay_003210_11
TS23: cervico-thoracic ganglion Moderate Regionally restricted euxassay_003210_11
TS23: maturing glomerular tuft Weak Regionally restricted euxassay_003210_11

Specimen euxassay_003210_12: embryonic day 14.5 (more )
Structure Level Pattern Image Note
TS23: olfactory cortex marginal layer Moderate Regionally restricted euxassay_003210_12
TS23: telencephalon marginal layer Moderate Regionally restricted euxassay_003210_12
TS23: telencephalon mantle layer Moderate Regionally restricted euxassay_003210_12
TS23: spinal cord Moderate Uniform euxassay_003210_12
TS23: midbrain Moderate Uniform euxassay_003210_12
TS23: hindbrain Moderate Uniform euxassay_003210_12
TS23: diencephalon Moderate Uniform euxassay_003210_12
TS23: adrenal gland Strong Uniform euxassay_003210_12
TS23: dorsal root ganglion Weak Regionally restricted euxassay_003210_12
TS23: maturing glomerular tuft Weak Regionally restricted euxassay_003210_12

Specimen euxassay_003210_13: embryonic day 14.5 (more )
Structure Level Pattern Image Note
TS23: olfactory cortex marginal layer Moderate Regionally restricted euxassay_003210_13
TS23: telencephalon marginal layer Moderate Regionally restricted euxassay_003210_13
TS23: telencephalon mantle layer Moderate Regionally restricted euxassay_003210_13
TS23: spinal cord Moderate Uniform euxassay_003210_13
TS23: midbrain Moderate Uniform euxassay_003210_13
TS23: hindbrain Moderate Uniform euxassay_003210_13
TS23: diencephalon Moderate Uniform euxassay_003210_13
TS23: dorsal root ganglion Weak Regionally restricted euxassay_003210_13

Specimen euxassay_003210_14: embryonic day 14.5 (more )
Structure Level Pattern Image Note
TS23: olfactory cortex marginal layer Moderate Regionally restricted euxassay_003210_14
TS23: telencephalon marginal layer Moderate Regionally restricted euxassay_003210_14
TS23: telencephalon mantle layer Moderate Regionally restricted euxassay_003210_14
TS23: spinal cord Moderate Uniform euxassay_003210_14
TS23: midbrain Moderate Uniform euxassay_003210_14
TS23: hindbrain Moderate Uniform euxassay_003210_14
TS23: diencephalon Moderate Uniform euxassay_003210_14

Specimen euxassay_003210_15: embryonic day 14.5 (more )
Structure Level Pattern Image Note
TS23: telencephalon mantle layer Moderate Regionally restricted euxassay_003210_15
TS23: telencephalon marginal layer Moderate Regionally restricted euxassay_003210_15
TS23: spinal cord Moderate Uniform euxassay_003210_15
TS23: midbrain Moderate Uniform euxassay_003210_15
TS23: hindbrain Moderate Uniform euxassay_003210_15
TS23: diencephalon Moderate Uniform euxassay_003210_15
TS23: thoracic ganglion Moderate Regionally restricted euxassay_003210_15

Specimen euxassay_003210_16: embryonic day 14.5 (more )
Structure Level Pattern Image Note
TS23: olfactory cortex marginal layer Moderate Regionally restricted euxassay_003210_16
TS23: telencephalon marginal layer Moderate Regionally restricted euxassay_003210_16
TS23: telencephalon mantle layer Moderate Regionally restricted euxassay_003210_16
TS23: spinal cord Moderate Uniform euxassay_003210_16
TS23: midbrain Moderate Uniform euxassay_003210_16
TS23: hindbrain Moderate Uniform euxassay_003210_16
TS23: diencephalon Moderate Uniform euxassay_003210_16
TS23: thoracic ganglion Moderate Regionally restricted euxassay_003210_16

Specimen euxassay_003210_17: embryonic day 14.5 (more )
Structure Level Pattern Image Note
TS23: olfactory cortex marginal layer Moderate Regionally restricted euxassay_003210_17
TS23: telencephalon mantle layer Moderate Regionally restricted euxassay_003210_17
TS23: telencephalon marginal layer Moderate Regionally restricted euxassay_003210_17
TS23: midbrain Moderate Uniform euxassay_003210_17
TS23: hindbrain Moderate Uniform euxassay_003210_17
TS23: diencephalon Moderate Uniform euxassay_003210_17
TS23: spinal cord Moderate Uniform euxassay_003210_17
TS23: dorsal root ganglion Weak Regionally restricted euxassay_003210_17
TS23: cervico-thoracic ganglion Moderate Regionally restricted euxassay_003210_17

Specimen euxassay_003210_18: embryonic day 14.5 (more )
Structure Level Pattern Image Note
TS23: telencephalon marginal layer Moderate Regionally restricted euxassay_003210_18
TS23: olfactory cortex marginal layer Moderate Regionally restricted euxassay_003210_18
TS23: telencephalon mantle layer Moderate Regionally restricted euxassay_003210_18
TS23: diencephalon Moderate Uniform euxassay_003210_18
TS23: hindbrain Moderate Uniform euxassay_003210_18
TS23: midbrain Moderate Uniform euxassay_003210_18
TS23: adrenal gland Strong Uniform euxassay_003210_18
TS23: dorsal root ganglion Weak Regionally restricted euxassay_003210_18
TS23: maturing glomerular tuft Weak Regionally restricted euxassay_003210_18
TS23: glossopharyngeal ganglion Weak Regionally restricted euxassay_003210_18
TS23: trigeminal ganglion Weak Regionally restricted euxassay_003210_18
TS23: vestibulo-cochlear ganglion Weak Regionally restricted euxassay_003210_18

Specimen euxassay_003210_19: embryonic day 14.5 (more )
Structure Level Pattern Image Note
TS23: telencephalon marginal layer Moderate Regionally restricted euxassay_003210_19
TS23: telencephalon mantle layer Moderate Regionally restricted euxassay_003210_19
TS23: hindbrain Moderate Uniform euxassay_003210_19
TS23: midbrain Moderate Uniform euxassay_003210_19
TS23: adrenal gland Strong Uniform euxassay_003210_19
TS23: maturing glomerular tuft Weak Regionally restricted euxassay_003210_19
TS23: vestibulo-cochlear ganglion Weak Regionally restricted euxassay_003210_19
TS23: trigeminal ganglion Weak Regionally restricted euxassay_003210_19

Specimen euxassay_003210_20: embryonic day 14.5 (more )
Structure Level Pattern Image Note
TS23: telencephalon marginal layer Moderate Regionally restricted euxassay_003210_20
TS23: telencephalon mantle layer Moderate Regionally restricted euxassay_003210_20
TS23: hindbrain Moderate Uniform euxassay_003210_20
TS23: testis Weak Regionally restricted euxassay_003210_20
TS23: maturing glomerular tuft Weak Regionally restricted euxassay_003210_20
TS23: trigeminal ganglion Weak Regionally restricted euxassay_003210_20

Specimen euxassay_003210_21: embryonic day 14.5 (more )
Structure Level Pattern Image Note
TS23: telencephalon marginal layer Moderate Regionally restricted euxassay_003210_21
TS23: telencephalon mantle layer Moderate Regionally restricted euxassay_003210_21
TS23: hindbrain Moderate Uniform euxassay_003210_21
TS23: testis Weak Regionally restricted euxassay_003210_21
TS23: maturing glomerular tuft Weak Regionally restricted euxassay_003210_21
TS23: trigeminal ganglion Weak Regionally restricted euxassay_003210_21
TS23: facial ganglion Weak Regionally restricted euxassay_003210_21

Specimen euxassay_003210_22: embryonic day 14.5 (more )
Structure Level Pattern Image Note
TS23: telencephalon marginal layer Moderate Regionally restricted euxassay_003210_22
TS23: telencephalon mantle layer Moderate Regionally restricted euxassay_003210_22
TS23: testis Weak Regionally restricted euxassay_003210_22
TS23: trigeminal ganglion Weak Regionally restricted euxassay_003210_22
TS23: neural retina Weak Regionally restricted euxassay_003210_22

Specimen euxassay_003210_23: embryonic day 14.5 (more )
Structure Level Pattern Image Note
TS23: telencephalon mantle layer Moderate Regionally restricted euxassay_003210_23
TS23: telencephalon marginal layer Moderate Regionally restricted euxassay_003210_23
TS23: neural retina Moderate Regionally restricted euxassay_003210_23

Specimen euxassay_003210_24: embryonic day 14.5 (more )
Structure Level Pattern Image Note
TS23: telencephalon mantle layer Moderate Regionally restricted euxassay_003210_24
TS23: neural retina Moderate Regionally restricted euxassay_003210_24


Contributing Projects:
Mouse Genome Database (MGD), Gene Expression Database (GXD), Mouse Models of Human Cancer database (MMHCdb) (formerly Mouse Tumor Biology (MTB)), Gene Ontology (GO)
Citing These Resources
Funding Information
Warranty Disclaimer, Privacy Notice, Licensing, & Copyright
Send questions and comments to User Support.
last database update
03/24/2026
MGI 6.24
The Jackson Laboratory