About   Help   FAQ
Gene Expression Data
Assay Details
Assay
Reference: J:153498 Diez-Roux G, et al., A high-resolution anatomical atlas of the transcriptome in the mouse embryo. PLoS Biol. 2011;9(1):e1000582
Assay type: RNA in situ
MGI Accession ID: MGI:4828795
Gene symbol: Tmem214
Gene name: transmembrane protein 214
Probe: MGC clone 37182
Probe preparation: Antisense labelled with digoxigenin RNA
Visualized with: Alkaline phosphatase
Assay notes: Cryosections of fresh frozen material were fixed in 4% paraformaldehyde for 20 min. before further processing. A tyramide-biotin/streptavidin amplification step was included in the in situ hybridization procedure.
Results
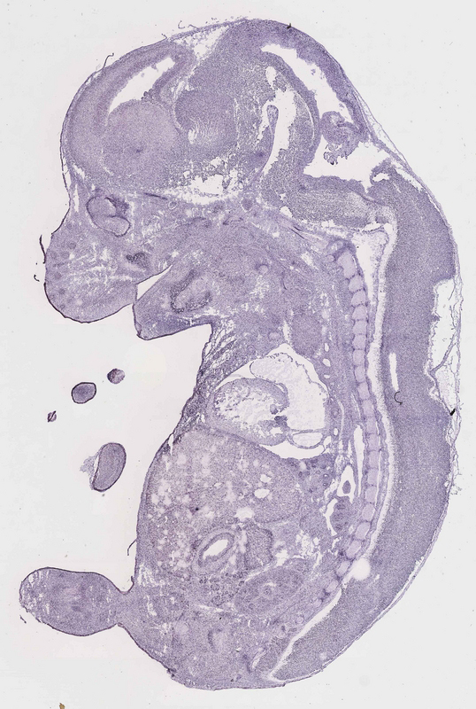
Specimen euxassay_001501_01: embryonic day 14.5 (more )
Structure Level Pattern Image Note
TS23: otic capsule Moderate Regionally restricted euxassay_001501_01
TS23: chondrocranium Moderate Regionally restricted euxassay_001501_01

Specimen euxassay_001501_02: embryonic day 14.5 (more )
Structure Level Pattern Image Note
TS23: otic capsule Moderate Regionally restricted euxassay_001501_02
TS23: chondrocranium Moderate Regionally restricted euxassay_001501_02

Specimen euxassay_001501_03: embryonic day 14.5 (more )
Structure Level Pattern Image Note
TS23: chondrocranium Moderate Regionally restricted euxassay_001501_03

Specimen euxassay_001501_04: embryonic day 14.5 (more )
Structure Level Pattern Image Note
TS23: chondrocranium Moderate Regionally restricted euxassay_001501_04

Specimen euxassay_001501_05: embryonic day 14.5 (more )
Structure Level Pattern Image Note
TS23: chondrocranium Moderate Regionally restricted euxassay_001501_05

Specimen euxassay_001501_06: embryonic day 14.5 (more )
Structure Level Pattern Image Note
TS23: chondrocranium Moderate Regionally restricted euxassay_001501_06

Specimen euxassay_001501_07: embryonic day 14.5 (more )
Structure Level Pattern Image Note
TS23: axial skeleton Weak Regionally restricted euxassay_001501_07

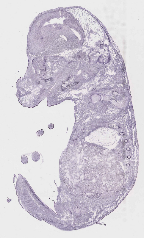
Specimen euxassay_001501_08: embryonic day 14.5 (more )
Structure Level Pattern Image Note
TS23: axial skeleton Weak Regionally restricted euxassay_001501_08

Specimen euxassay_001501_09: embryonic day 14.5 (more )
Structure Level Pattern Image Note
TS23: axial skeleton Weak Regionally restricted euxassay_001501_09

Specimen euxassay_001501_10: embryonic day 14.5 (more )
Structure Level Pattern Image Note
TS23: axial skeleton Weak Regionally restricted euxassay_001501_10

Specimen euxassay_001501_11: embryonic day 14.5 (more )
Structure Level Pattern Image Note
TS23: axial skeleton Weak Regionally restricted euxassay_001501_11

Specimen euxassay_001501_12: embryonic day 14.5 (more )
Structure Level Pattern Image Note
TS23: axial skeleton Weak Regionally restricted euxassay_001501_12

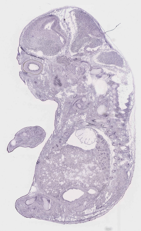
Specimen euxassay_001501_15: embryonic day 14.5 (more )
Structure Level Pattern Image Note
TS23: rib Moderate Regionally restricted euxassay_001501_15

Specimen euxassay_001501_16: embryonic day 14.5 (more )
Structure Level Pattern Image Note
TS23: rib Moderate Regionally restricted euxassay_001501_16

Specimen euxassay_001501_17: embryonic day 14.5 (more )
Structure Level Pattern Image Note
TS23: rib Moderate Regionally restricted euxassay_001501_17

Specimen euxassay_001501_18: embryonic day 14.5 (more )
Structure Level Pattern Image Note
TS23: rib Moderate Regionally restricted euxassay_001501_18

Specimen euxassay_001501_19: embryonic day 14.5 (more )
Structure Level Pattern Image Note
TS23: rib Moderate Regionally restricted euxassay_001501_19

Specimen euxassay_001501_20: embryonic day 14.5 (more )
Structure Level Pattern Image Note
TS23: otic capsule Moderate Regionally restricted euxassay_001501_20
TS23: rib Moderate Regionally restricted euxassay_001501_20

Specimen euxassay_001501_21: embryonic day 14.5 (more )
Structure Level Pattern Image Note
TS23: otic capsule Moderate Regionally restricted euxassay_001501_21
TS23: rib Moderate Regionally restricted euxassay_001501_21

Specimen euxassay_001501_22: embryonic day 14.5 (more )
Structure Level Pattern Image Note
TS23: otic capsule Moderate Regionally restricted euxassay_001501_22
TS23: rib Moderate Regionally restricted euxassay_001501_22
TS23: chondrocranium Moderate Regionally restricted euxassay_001501_22

Specimen euxassay_001501_23: embryonic day 14.5 (more )
Structure Level Pattern Image Note
TS23: chondrocranium Moderate Regionally restricted euxassay_001501_23

Specimen euxassay_001501_24: embryonic day 14.5 (more )
Structure Level Pattern Image Note
TS23: chondrocranium Moderate Regionally restricted euxassay_001501_24


Contributing Projects:
Mouse Genome Database (MGD), Gene Expression Database (GXD), Mouse Models of Human Cancer database (MMHCdb) (formerly Mouse Tumor Biology (MTB)), Gene Ontology (GO)
Citing These Resources
Funding Information
Warranty Disclaimer, Privacy Notice, Licensing, & Copyright
Send questions and comments to User Support.
last database update
03/24/2026
MGI 6.24
The Jackson Laboratory