About   Help   FAQ
Gene Expression Data
Assay Details
Assay
Reference: J:153498 Diez-Roux G, et al., A high-resolution anatomical atlas of the transcriptome in the mouse embryo. PLoS Biol. 2011;9(1):e1000582
Assay type: RNA in situ
MGI Accession ID: MGI:4828791
Gene symbol: Tmem184a
Gene name: transmembrane protein 184a
Probe: T31022
Probe preparation: Antisense labelled with digoxigenin RNA
Visualized with: Alkaline phosphatase
Assay notes: Cryosections of fresh frozen material were fixed in 4% paraformaldehyde for 20 min. before further processing. A tyramide-biotin/streptavidin amplification step was included in the in situ hybridization procedure.
Results
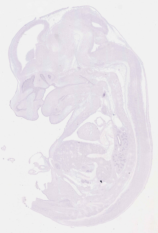
Specimen euxassay_011552_03: embryonic day 14.5 (more )
Structure Level Pattern Image Note
TS23: left lung Moderate Regionally restricted euxassay_011552_03

Specimen euxassay_011552_04: embryonic day 14.5 (more )
Structure Level Pattern Image Note
TS23: left lung Moderate Regionally restricted euxassay_011552_04

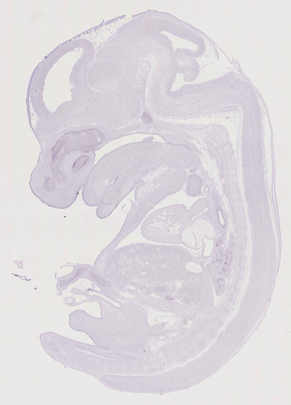
Specimen euxassay_011552_05: embryonic day 14.5 (more )
Structure Level Pattern Image Note
TS23: left lung Moderate Regionally restricted euxassay_011552_05

Specimen euxassay_011552_06: embryonic day 14.5 (more )
Structure Level Pattern Image Note
TS23: left lung Moderate Regionally restricted euxassay_011552_06

Specimen euxassay_011552_07: embryonic day 14.5 (more )
Structure Level Pattern Image Note
TS23: left lung Moderate Regionally restricted euxassay_011552_07

Specimen euxassay_011552_08: embryonic day 14.5 (more )
Structure Level Pattern Image Note
TS23: left lung Weak Regionally restricted euxassay_011552_08

Specimen euxassay_011552_09: embryonic day 14.5 (more )
Structure Level Pattern Image Note
TS23: pancreas Moderate Regionally restricted euxassay_011552_09
TS23: left lung Moderate Regionally restricted euxassay_011552_09
TS23: olfactory epithelium Moderate Regionally restricted euxassay_011552_09

Specimen euxassay_011552_10: embryonic day 14.5 (more )
Structure Level Pattern Image Note
TS23: pancreas Moderate Regionally restricted euxassay_011552_10
TS23: left lung Moderate Regionally restricted euxassay_011552_10
TS23: olfactory epithelium Moderate Regionally restricted euxassay_011552_10

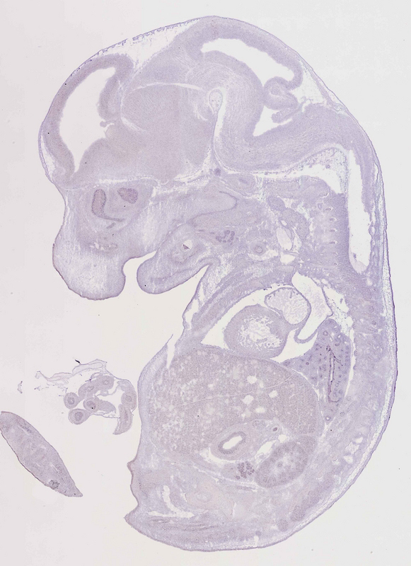
Specimen euxassay_011552_11: embryonic day 14.5 (more )
Structure Level Pattern Image Note
TS23: pancreas Moderate Regionally restricted euxassay_011552_11
TS23: left lung Moderate Regionally restricted euxassay_011552_11
TS23: olfactory epithelium Moderate Regionally restricted euxassay_011552_11
TS23: vomeronasal organ Moderate Regionally restricted euxassay_011552_11
TS23: anterior naris epithelium Moderate Regionally restricted euxassay_011552_11
TS23: external naris epithelium Moderate Regionally restricted euxassay_011552_11

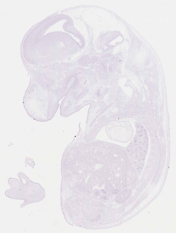
Specimen euxassay_011552_12: embryonic day 14.5 (more )
Structure Level Pattern Image Note
TS23: pancreas Moderate Regionally restricted euxassay_011552_12
TS23: left lung Moderate Regionally restricted euxassay_011552_12

Specimen euxassay_011552_13: embryonic day 14.5 (more )
Structure Level Pattern Image Note
TS23: right lung Moderate Regionally restricted euxassay_011552_13
TS23: olfactory epithelium Moderate Regionally restricted euxassay_011552_13

Specimen euxassay_011552_14: embryonic day 14.5 (more )
Structure Level Pattern Image Note
TS23: right lung Moderate Regionally restricted euxassay_011552_14
TS23: olfactory epithelium Moderate Regionally restricted euxassay_011552_14
TS23: vomeronasal organ Moderate Regionally restricted euxassay_011552_14
TS23: anterior naris epithelium Moderate Regionally restricted euxassay_011552_14

Specimen euxassay_011552_15: embryonic day 14.5 (more )
Structure Level Pattern Image Note
TS23: pancreas Moderate Regionally restricted euxassay_011552_15
TS23: right lung Moderate Regionally restricted euxassay_011552_15
TS23: olfactory epithelium Moderate Regionally restricted euxassay_011552_15
TS23: anterior naris epithelium Moderate Regionally restricted euxassay_011552_15

Specimen euxassay_011552_16: embryonic day 14.5 (more )
Structure Level Pattern Image Note
TS23: pancreas Moderate Regionally restricted euxassay_011552_16
TS23: right lung Moderate Regionally restricted euxassay_011552_16
TS23: olfactory epithelium Moderate Regionally restricted euxassay_011552_16
TS23: external naris epithelium Moderate Regionally restricted euxassay_011552_16

Specimen euxassay_011552_17: embryonic day 14.5 (more )
Structure Level Pattern Image Note
TS23: right lung Moderate Regionally restricted euxassay_011552_17
TS23: olfactory epithelium Moderate Regionally restricted euxassay_011552_17

Specimen euxassay_011552_18: embryonic day 14.5 (more )
Structure Level Pattern Image Note
TS23: right lung Moderate Regionally restricted euxassay_011552_18
TS23: olfactory epithelium Moderate Regionally restricted euxassay_011552_18

Specimen euxassay_011552_19: embryonic day 14.5 (more )
Structure Level Pattern Image Note
TS23: right lung Moderate Regionally restricted euxassay_011552_19

Specimen euxassay_011552_20: embryonic day 14.5 (more )
Structure Level Pattern Image Note
TS23: right lung Moderate Regionally restricted euxassay_011552_20

Specimen euxassay_011552_21: embryonic day 14.5 (more )
Structure Level Pattern Image Note
TS23: right lung Moderate Regionally restricted euxassay_011552_21

Specimen euxassay_011552_22: embryonic day 14.5 (more )
Structure Level Pattern Image Note
TS23: right lung Moderate Regionally restricted euxassay_011552_22

Specimen euxassay_011552_23: embryonic day 14.5 (more )
Structure Level Pattern Image Note
TS23: right lung Moderate Regionally restricted euxassay_011552_23


Contributing Projects:
Mouse Genome Database (MGD), Gene Expression Database (GXD), Mouse Models of Human Cancer database (MMHCdb) (formerly Mouse Tumor Biology (MTB)), Gene Ontology (GO)
Citing These Resources
Funding Information
Warranty Disclaimer, Privacy Notice, Licensing, & Copyright
Send questions and comments to User Support.
last database update
01/06/2026
MGI 6.24
The Jackson Laboratory