About   Help   FAQ
Gene Expression Data
Assay Details
Assay
Reference: J:153498 Diez-Roux G, et al., A high-resolution anatomical atlas of the transcriptome in the mouse embryo. PLoS Biol. 2011;9(1):e1000582
Assay type: RNA in situ
MGI Accession ID: MGI:4828771
Gene symbol: Tmem132a
Gene name: transmembrane protein 132A
Probe: MGC clone 11927
Probe preparation: Antisense labelled with digoxigenin RNA
Visualized with: Alkaline phosphatase
Assay notes: Cryosections of fresh frozen material were fixed in 4% paraformaldehyde for 20 min. before further processing. A tyramide-biotin/streptavidin amplification step was included in the in situ hybridization procedure.
Results
Specimen euxassay_003650_02: embryonic day 14.5 (more )
Structure Level Pattern Image Note
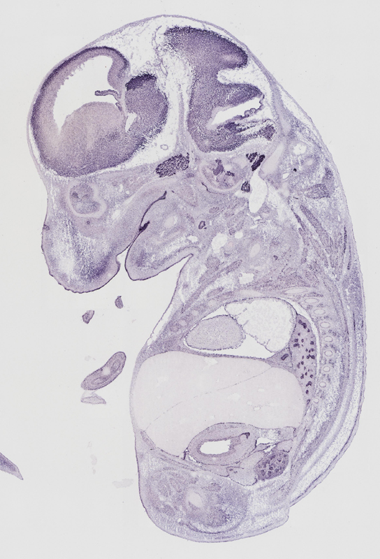
TS23: stomach Strong Regionally restricted euxassay_003650_02

Specimen euxassay_003650_03: embryonic day 14.5 (more )
Structure Level Pattern Image Note
TS23: trigeminal ganglion Moderate Regionally restricted euxassay_003650_03
TS23: stomach Strong Regionally restricted euxassay_003650_03

Specimen euxassay_003650_04: embryonic day 14.5 (more )
Structure Level Pattern Image Note
TS23: trigeminal ganglion Moderate Regionally restricted euxassay_003650_04
TS23: left lung lobar bronchus Strong Regionally restricted euxassay_003650_04
TS23: stomach Strong Regionally restricted euxassay_003650_04

Specimen euxassay_003650_05: embryonic day 14.5 (more )
Structure Level Pattern Image Note
TS23: trigeminal ganglion Moderate Regionally restricted euxassay_003650_05
TS23: left lung lobar bronchus Strong Regionally restricted euxassay_003650_05
TS23: stomach Strong Regionally restricted euxassay_003650_05

Specimen euxassay_003650_06: embryonic day 14.5 (more )
Structure Level Pattern Image Note
TS23: trigeminal ganglion Moderate Regionally restricted euxassay_003650_06
TS23: left lung lobar bronchus Strong Regionally restricted euxassay_003650_06
TS23: lower jaw molar Moderate Regionally restricted euxassay_003650_06
TS23: upper jaw molar Moderate Regionally restricted euxassay_003650_06
TS23: stomach Strong Regionally restricted euxassay_003650_06

Specimen euxassay_003650_07: embryonic day 14.5 (more )
Structure Level Pattern Image Note
TS23: trigeminal ganglion Moderate Regionally restricted euxassay_003650_07
TS23: vestibulo-cochlear ganglion Moderate Regionally restricted euxassay_003650_07
TS23: glossopharyngeal ganglion Moderate Regionally restricted euxassay_003650_07
TS23: thalamus mantle layer Moderate Regionally restricted euxassay_003650_07
TS23: left lung lobar bronchus Strong Regionally restricted euxassay_003650_07
TS23: stomach Strong Regionally restricted euxassay_003650_07

Specimen euxassay_003650_08: embryonic day 14.5 (more )
Structure Level Pattern Image Note
TS23: glossopharyngeal ganglion Moderate Regionally restricted euxassay_003650_08
TS23: trigeminal ganglion Moderate Regionally restricted euxassay_003650_08
TS23: vestibulo-cochlear ganglion Moderate Regionally restricted euxassay_003650_08
TS23: dorsal root ganglion Strong Regionally restricted euxassay_003650_08
TS23: thalamus mantle layer Moderate Regionally restricted euxassay_003650_08
TS23: left lung lobar bronchus Strong Regionally restricted euxassay_003650_08
TS23: stomach Strong Regionally restricted euxassay_003650_08

Specimen euxassay_003650_09: embryonic day 14.5 (more )
Structure Level Pattern Image Note
TS23: trigeminal ganglion Moderate Regionally restricted euxassay_003650_09
TS23: vagus ganglion Moderate Regionally restricted euxassay_003650_09
TS23: dorsal root ganglion Strong Regionally restricted euxassay_003650_09
TS23: thalamus mantle layer Moderate Regionally restricted euxassay_003650_09
TS23: left lung lobar bronchus Strong Regionally restricted euxassay_003650_09

Specimen euxassay_003650_10: embryonic day 14.5 (more )
Structure Level Pattern Image Note
TS23: dorsal root ganglion Strong Regionally restricted euxassay_003650_10
TS23: thalamus mantle layer Moderate Regionally restricted euxassay_003650_10
TS23: left lung lobar bronchus Strong Regionally restricted euxassay_003650_10

Specimen euxassay_003650_11: embryonic day 14.5 (more )
Structure Level Pattern Image Note
TS23: dorsal root ganglion Strong Regionally restricted euxassay_003650_11
TS23: thalamus mantle layer Moderate Regionally restricted euxassay_003650_11
TS23: left lung lobar bronchus Strong Regionally restricted euxassay_003650_11

Specimen euxassay_003650_12: embryonic day 14.5 (more )
Structure Level Pattern Image Note
TS23: dorsal root ganglion Strong Regionally restricted euxassay_003650_12
TS23: thalamus mantle layer Moderate Regionally restricted euxassay_003650_12
TS23: left lung lobar bronchus Strong Regionally restricted euxassay_003650_12

Specimen euxassay_003650_13: embryonic day 14.5 (more )
Structure Level Pattern Image Note
TS23: thalamus mantle layer Moderate Regionally restricted euxassay_003650_13
TS23: esophagus Strong Regionally restricted euxassay_003650_13
TS23: right lung Strong Regionally restricted euxassay_003650_13

Specimen euxassay_003650_14: embryonic day 14.5 (more )
Structure Level Pattern Image Note
TS23: thalamus mantle layer Moderate Regionally restricted euxassay_003650_14
TS23: right lung Strong Regionally restricted euxassay_003650_14

Specimen euxassay_003650_15: embryonic day 14.5 (more )
Structure Level Pattern Image Note
TS23: thalamus mantle layer Moderate Regionally restricted euxassay_003650_15
TS23: right lung Strong Regionally restricted euxassay_003650_15

Specimen euxassay_003650_16: embryonic day 14.5 (more )
Structure Level Pattern Image Note
TS23: dorsal root ganglion Strong Regionally restricted euxassay_003650_16
TS23: thalamus mantle layer Moderate Regionally restricted euxassay_003650_16
TS23: right lung Strong Regionally restricted euxassay_003650_16

Specimen euxassay_003650_17: embryonic day 14.5 (more )
Structure Level Pattern Image Note
TS23: vagus ganglion Weak Regionally restricted euxassay_003650_17
TS23: dorsal root ganglion Strong Regionally restricted euxassay_003650_17
TS23: thalamus mantle layer Moderate Regionally restricted euxassay_003650_17
TS23: right lung Strong Regionally restricted euxassay_003650_17

Specimen euxassay_003650_18: embryonic day 14.5 (more )
Structure Level Pattern Image Note
TS23: glossopharyngeal ganglion Weak Regionally restricted euxassay_003650_18
TS23: trigeminal ganglion Weak Regionally restricted euxassay_003650_18
TS23: vestibulo-cochlear ganglion Weak Regionally restricted euxassay_003650_18
TS23: dorsal root ganglion Strong Regionally restricted euxassay_003650_18
TS23: thalamus mantle layer Moderate Regionally restricted euxassay_003650_18
TS23: right lung Strong Regionally restricted euxassay_003650_18

Specimen euxassay_003650_19: embryonic day 14.5 (more )
Structure Level Pattern Image Note
TS23: glossopharyngeal ganglion Moderate Regionally restricted euxassay_003650_19
TS23: trigeminal ganglion Moderate Regionally restricted euxassay_003650_19
TS23: vestibulo-cochlear ganglion Moderate Regionally restricted euxassay_003650_19
TS23: right lung Strong Regionally restricted euxassay_003650_19
TS23: upper jaw molar Moderate Regionally restricted euxassay_003650_19
TS23: lower jaw molar Moderate Regionally restricted euxassay_003650_19

Specimen euxassay_003650_20: embryonic day 14.5 (more )
Structure Level Pattern Image Note
TS23: trigeminal ganglion Moderate Regionally restricted euxassay_003650_20
TS23: right lung Strong Regionally restricted euxassay_003650_20
TS23: upper jaw molar Moderate Regionally restricted euxassay_003650_20
TS23: lower jaw molar Moderate Regionally restricted euxassay_003650_20

Specimen euxassay_003650_21: embryonic day 14.5 (more )
Structure Level Pattern Image Note
TS23: trigeminal ganglion Moderate Regionally restricted euxassay_003650_21
TS23: right lung Strong Regionally restricted euxassay_003650_21

Specimen euxassay_003650_22: embryonic day 14.5 (more )
Structure Level Pattern Image Note
TS23: trigeminal ganglion Moderate Regionally restricted euxassay_003650_22
TS23: right lung Strong Regionally restricted euxassay_003650_22

Specimen euxassay_003650_23: embryonic day 14.5 (more )
Structure Level Pattern Image Note
TS23: trigeminal ganglion Moderate Regionally restricted euxassay_003650_23
TS23: right lung Strong Regionally restricted euxassay_003650_23


Contributing Projects:
Mouse Genome Database (MGD), Gene Expression Database (GXD), Mouse Models of Human Cancer database (MMHCdb) (formerly Mouse Tumor Biology (MTB)), Gene Ontology (GO)
Citing These Resources
Funding Information
Warranty Disclaimer, Privacy Notice, Licensing, & Copyright
Send questions and comments to User Support.
last database update
01/20/2026
MGI 6.24
The Jackson Laboratory