About   Help   FAQ
Gene Expression Data
Assay Details
Assay
Reference: J:153498 Diez-Roux G, et al., A high-resolution anatomical atlas of the transcriptome in the mouse embryo. PLoS Biol. 2011;9(1):e1000582
Assay type: RNA in situ
MGI Accession ID: MGI:4828743
Gene symbol: Tlr3
Gene name: toll-like receptor 3
Probe: IMAGE clone 2136509
Probe preparation: Antisense labelled with digoxigenin RNA
Visualized with: Alkaline phosphatase
Assay notes: Cryosections of fresh frozen material were fixed in 4% paraformaldehyde for 20 min. before further processing. A tyramide-biotin/streptavidin amplification step was included in the in situ hybridization procedure.
Results
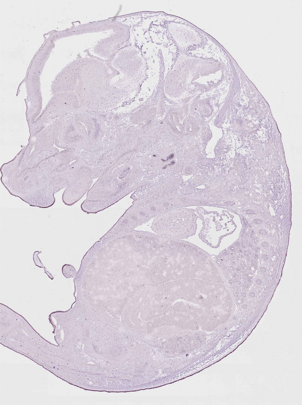
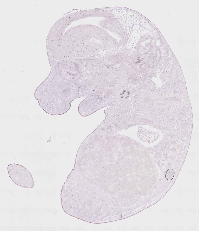
Specimen euxassay_001994_08: embryonic day 14.5 (more )
Structure Level Pattern Image Note
TS23: submandibular gland primordium Moderate Regionally restricted euxassay_001994_08

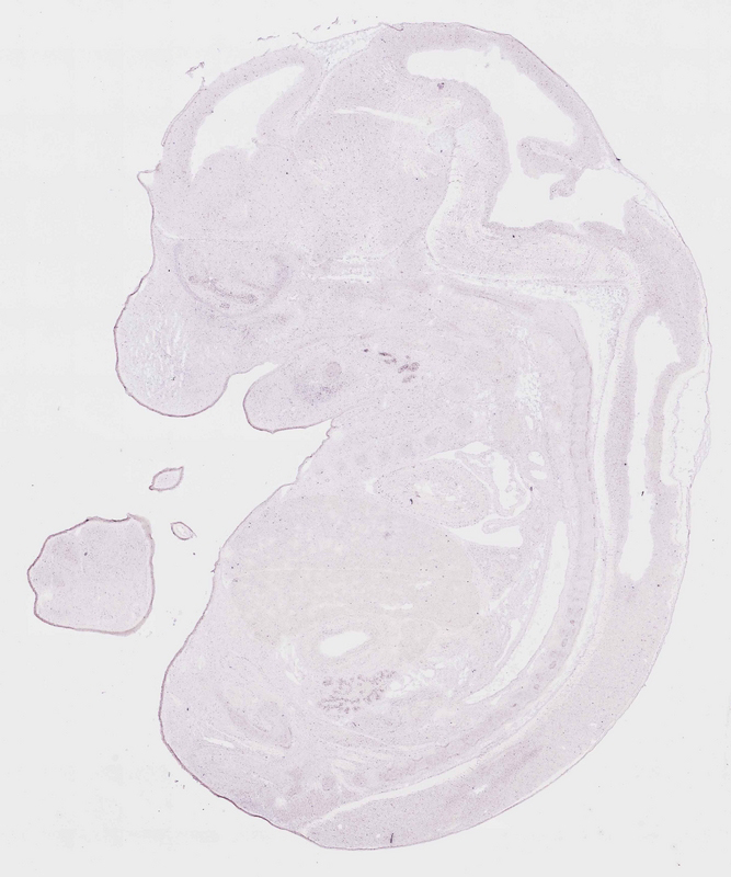
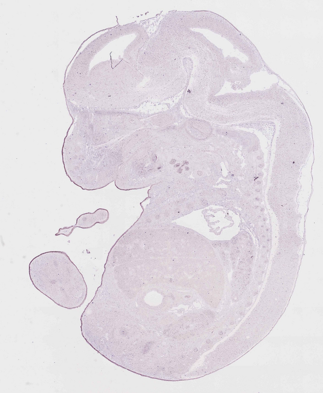
Specimen euxassay_001994_09: embryonic day 14.5 (more )
Structure Level Pattern Image Note
TS23: submandibular gland primordium Moderate Regionally restricted euxassay_001994_09

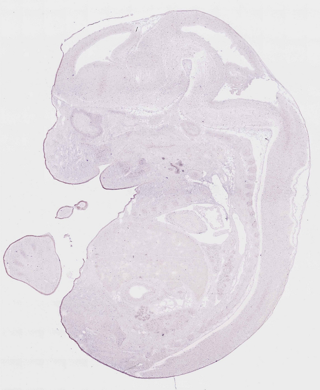
Specimen euxassay_001994_10: embryonic day 14.5 (more )
Structure Level Pattern Image Note
TS23: submandibular gland primordium Moderate Regionally restricted euxassay_001994_10

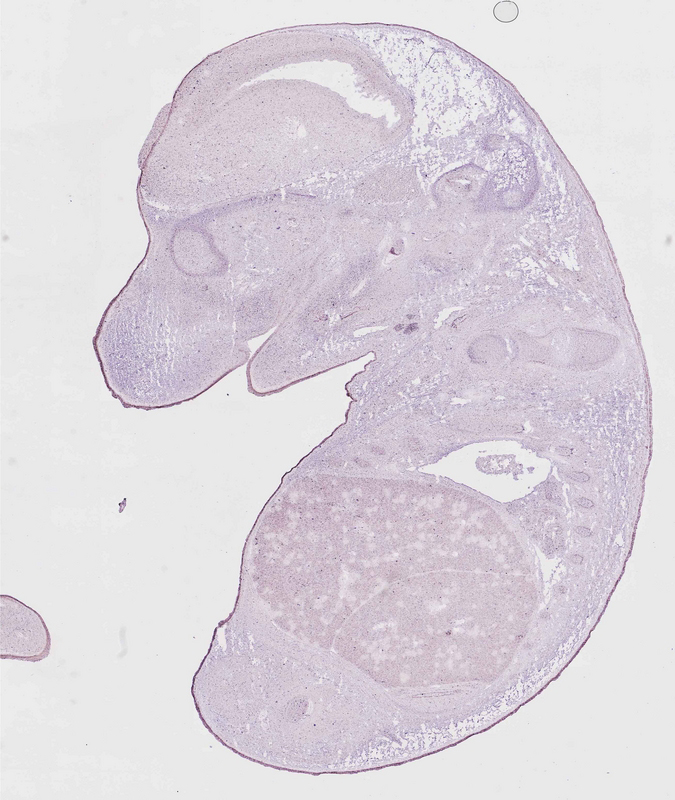
Specimen euxassay_001994_17: embryonic day 14.5 (more )
Structure Level Pattern Image Note
TS23: submandibular gland primordium Moderate Regionally restricted euxassay_001994_17

Specimen euxassay_001994_18: embryonic day 14.5 (more )
Structure Level Pattern Image Note
TS23: submandibular gland primordium Moderate Regionally restricted euxassay_001994_18

Specimen euxassay_001994_19: embryonic day 14.5 (more )
Structure Level Pattern Image Note
TS23: submandibular gland primordium Moderate Regionally restricted euxassay_001994_19

Specimen euxassay_001994_20: embryonic day 14.5 (more )
Structure Level Pattern Image Note
TS23: submandibular gland primordium Moderate Regionally restricted euxassay_001994_20


Contributing Projects:
Mouse Genome Database (MGD), Gene Expression Database (GXD), Mouse Models of Human Cancer database (MMHCdb) (formerly Mouse Tumor Biology (MTB)), Gene Ontology (GO)
Citing These Resources
Funding Information
Warranty Disclaimer, Privacy Notice, Licensing, & Copyright
Send questions and comments to User Support.
last database update
12/30/2025
MGI 6.24
The Jackson Laboratory