About   Help   FAQ
Gene Expression Data
Assay Details
Assay
Reference: J:153498 Diez-Roux G, et al., A high-resolution anatomical atlas of the transcriptome in the mouse embryo. PLoS Biol. 2011;9(1):e1000582
Assay type: RNA in situ
MGI Accession ID: MGI:4828739
Gene symbol: Tln1
Gene name: talin 1
Probe: EN1555 probe 1432
Probe preparation: Antisense labelled with digoxigenin RNA
Visualized with: Alkaline phosphatase
Assay notes: Cryosections of fresh frozen material were fixed in 4% paraformaldehyde for 20 min. before further processing. A tyramide-biotin/streptavidin amplification step was included in the in situ hybridization procedure.
Results
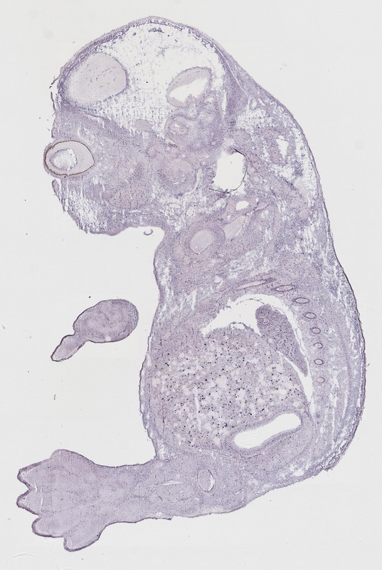
Specimen euxassay_011794_01: embryonic day 14.5 (more )
Structure Level Pattern Image Note
TS23: body cavity or lining Strong Regionally restricted euxassay_011794_01
TS23: limb Strong Regionally restricted euxassay_011794_01
TS23: embryo mesenchyme Strong Regionally restricted euxassay_011794_01
TS23: cardiovascular system Strong Regionally restricted euxassay_011794_01
TS23: gland Strong Regionally restricted euxassay_011794_01
TS23: integumental system Strong Regionally restricted euxassay_011794_01
TS23: visceral organ system Strong Regionally restricted euxassay_011794_01
TS23: skeleton Strong Regionally restricted euxassay_011794_01
TS23: tail Strong Regionally restricted euxassay_011794_01
TS23: vertebral axis musculature Strong Regionally restricted euxassay_011794_01
TS23: nervous system Strong Single cells euxassay_011794_01
TS23: sensory organ system Strong Single cells euxassay_011794_01

Specimen euxassay_011794_02: embryonic day 14.5 (more )
Structure Level Pattern Image Note
TS23: body cavity or lining Strong Regionally restricted euxassay_011794_02
TS23: limb Strong Regionally restricted euxassay_011794_02
TS23: embryo mesenchyme Strong Regionally restricted euxassay_011794_02
TS23: cardiovascular system Strong Regionally restricted euxassay_011794_02
TS23: gland Strong Regionally restricted euxassay_011794_02
TS23: integumental system Strong Regionally restricted euxassay_011794_02
TS23: visceral organ system Strong Regionally restricted euxassay_011794_02
TS23: skeleton Strong Regionally restricted euxassay_011794_02
TS23: tail Strong Regionally restricted euxassay_011794_02
TS23: vertebral axis musculature Strong Regionally restricted euxassay_011794_02
TS23: nervous system Strong Single cells euxassay_011794_02
TS23: sensory organ system Strong Single cells euxassay_011794_02

Specimen euxassay_011794_03: embryonic day 14.5 (more )
Structure Level Pattern Image Note
TS23: body cavity or lining Strong Regionally restricted euxassay_011794_03
TS23: limb Strong Regionally restricted euxassay_011794_03
TS23: embryo mesenchyme Strong Regionally restricted euxassay_011794_03
TS23: cardiovascular system Strong Regionally restricted euxassay_011794_03
TS23: gland Strong Regionally restricted euxassay_011794_03
TS23: integumental system Strong Regionally restricted euxassay_011794_03
TS23: visceral organ system Strong Regionally restricted euxassay_011794_03
TS23: skeleton Strong Regionally restricted euxassay_011794_03
TS23: tail Strong Regionally restricted euxassay_011794_03
TS23: vertebral axis musculature Strong Regionally restricted euxassay_011794_03
TS23: nervous system Strong Single cells euxassay_011794_03
TS23: sensory organ system Strong Single cells euxassay_011794_03

Specimen euxassay_011794_04: embryonic day 14.5 (more )
Structure Level Pattern Image Note
TS23: body cavity or lining Strong Regionally restricted euxassay_011794_04
TS23: limb Strong Regionally restricted euxassay_011794_04
TS23: embryo mesenchyme Strong Regionally restricted euxassay_011794_04
TS23: cardiovascular system Strong Regionally restricted euxassay_011794_04
TS23: gland Strong Regionally restricted euxassay_011794_04
TS23: integumental system Strong Regionally restricted euxassay_011794_04
TS23: visceral organ system Strong Regionally restricted euxassay_011794_04
TS23: skeleton Strong Regionally restricted euxassay_011794_04
TS23: tail Strong Regionally restricted euxassay_011794_04
TS23: vertebral axis musculature Strong Regionally restricted euxassay_011794_04
TS23: nervous system Strong Single cells euxassay_011794_04
TS23: sensory organ system Strong Single cells euxassay_011794_04

Specimen euxassay_011794_05: embryonic day 14.5 (more )
Structure Level Pattern Image Note
TS23: body cavity or lining Strong Regionally restricted euxassay_011794_05
TS23: limb Strong Regionally restricted euxassay_011794_05
TS23: embryo mesenchyme Strong Regionally restricted euxassay_011794_05
TS23: cardiovascular system Strong Regionally restricted euxassay_011794_05
TS23: gland Strong Regionally restricted euxassay_011794_05
TS23: integumental system Strong Regionally restricted euxassay_011794_05
TS23: visceral organ system Strong Regionally restricted euxassay_011794_05
TS23: skeleton Strong Regionally restricted euxassay_011794_05
TS23: tail Strong Regionally restricted euxassay_011794_05
TS23: vertebral axis musculature Strong Regionally restricted euxassay_011794_05
TS23: nervous system Strong Single cells euxassay_011794_05
TS23: sensory organ system Strong Single cells euxassay_011794_05

Specimen euxassay_011794_06: embryonic day 14.5 (more )
Structure Level Pattern Image Note
TS23: body cavity or lining Strong Regionally restricted euxassay_011794_06
TS23: limb Strong Regionally restricted euxassay_011794_06
TS23: embryo mesenchyme Strong Regionally restricted euxassay_011794_06
TS23: cardiovascular system Strong Regionally restricted euxassay_011794_06
TS23: gland Strong Regionally restricted euxassay_011794_06
TS23: integumental system Strong Regionally restricted euxassay_011794_06
TS23: visceral organ system Strong Regionally restricted euxassay_011794_06
TS23: skeleton Strong Regionally restricted euxassay_011794_06
TS23: tail Strong Regionally restricted euxassay_011794_06
TS23: vertebral axis musculature Strong Regionally restricted euxassay_011794_06
TS23: nervous system Strong Single cells euxassay_011794_06
TS23: sensory organ system Strong Single cells euxassay_011794_06

Specimen euxassay_011794_07: embryonic day 14.5 (more )
Structure Level Pattern Image Note
TS23: body cavity or lining Strong Regionally restricted euxassay_011794_07
TS23: limb Strong Regionally restricted euxassay_011794_07
TS23: embryo mesenchyme Strong Regionally restricted euxassay_011794_07
TS23: cardiovascular system Strong Regionally restricted euxassay_011794_07
TS23: gland Strong Regionally restricted euxassay_011794_07
TS23: integumental system Strong Regionally restricted euxassay_011794_07
TS23: visceral organ system Strong Regionally restricted euxassay_011794_07
TS23: skeleton Strong Regionally restricted euxassay_011794_07
TS23: tail Strong Regionally restricted euxassay_011794_07
TS23: vertebral axis musculature Strong Regionally restricted euxassay_011794_07
TS23: nervous system Strong Single cells euxassay_011794_07
TS23: sensory organ system Strong Single cells euxassay_011794_07

Specimen euxassay_011794_08: embryonic day 14.5 (more )
Structure Level Pattern Image Note
TS23: body cavity or lining Strong Regionally restricted euxassay_011794_08
TS23: limb Strong Regionally restricted euxassay_011794_08
TS23: embryo mesenchyme Strong Regionally restricted euxassay_011794_08
TS23: cardiovascular system Strong Regionally restricted euxassay_011794_08
TS23: gland Strong Regionally restricted euxassay_011794_08
TS23: integumental system Strong Regionally restricted euxassay_011794_08
TS23: visceral organ system Strong Regionally restricted euxassay_011794_08
TS23: skeleton Strong Regionally restricted euxassay_011794_08
TS23: tail Strong Regionally restricted euxassay_011794_08
TS23: vertebral axis musculature Strong Regionally restricted euxassay_011794_08
TS23: nervous system Strong Single cells euxassay_011794_08
TS23: sensory organ system Strong Single cells euxassay_011794_08

Specimen euxassay_011794_09: embryonic day 14.5 (more )
Structure Level Pattern Image Note
TS23: body cavity or lining Strong Regionally restricted euxassay_011794_09
TS23: limb Strong Regionally restricted euxassay_011794_09
TS23: embryo mesenchyme Strong Regionally restricted euxassay_011794_09
TS23: cardiovascular system Strong Regionally restricted euxassay_011794_09
TS23: gland Strong Regionally restricted euxassay_011794_09
TS23: integumental system Strong Regionally restricted euxassay_011794_09
TS23: visceral organ system Strong Regionally restricted euxassay_011794_09
TS23: skeleton Strong Regionally restricted euxassay_011794_09
TS23: tail Strong Regionally restricted euxassay_011794_09
TS23: vertebral axis musculature Strong Regionally restricted euxassay_011794_09
TS23: nervous system Strong Single cells euxassay_011794_09
TS23: sensory organ system Strong Single cells euxassay_011794_09

Specimen euxassay_011794_10: embryonic day 14.5 (more )
Structure Level Pattern Image Note
TS23: body cavity or lining Strong Regionally restricted euxassay_011794_10
TS23: limb Strong Regionally restricted euxassay_011794_10
TS23: embryo mesenchyme Strong Regionally restricted euxassay_011794_10
TS23: cardiovascular system Strong Regionally restricted euxassay_011794_10
TS23: gland Strong Regionally restricted euxassay_011794_10
TS23: integumental system Strong Regionally restricted euxassay_011794_10
TS23: visceral organ system Strong Regionally restricted euxassay_011794_10
TS23: skeleton Strong Regionally restricted euxassay_011794_10
TS23: tail Strong Regionally restricted euxassay_011794_10
TS23: vertebral axis musculature Strong Regionally restricted euxassay_011794_10
TS23: nervous system Moderate Single cells euxassay_011794_10
TS23: sensory organ system Moderate Single cells euxassay_011794_10

Specimen euxassay_011794_11: embryonic day 14.5 (more )
Structure Level Pattern Image Note
TS23: body cavity or lining Strong Regionally restricted euxassay_011794_11
TS23: limb Strong Regionally restricted euxassay_011794_11
TS23: embryo mesenchyme Strong Regionally restricted euxassay_011794_11
TS23: cardiovascular system Strong Regionally restricted euxassay_011794_11
TS23: gland Strong Regionally restricted euxassay_011794_11
TS23: integumental system Strong Regionally restricted euxassay_011794_11
TS23: visceral organ system Strong Regionally restricted euxassay_011794_11
TS23: skeleton Strong Regionally restricted euxassay_011794_11
TS23: tail Strong Regionally restricted euxassay_011794_11
TS23: vertebral axis musculature Strong Regionally restricted euxassay_011794_11
TS23: nervous system Moderate Single cells euxassay_011794_11
TS23: sensory organ system Moderate Single cells euxassay_011794_11

Specimen euxassay_011794_12: embryonic day 14.5 (more )
Structure Level Pattern Image Note
TS23: body cavity or lining Strong Regionally restricted euxassay_011794_12
TS23: limb Strong Regionally restricted euxassay_011794_12
TS23: embryo mesenchyme Strong Regionally restricted euxassay_011794_12
TS23: cardiovascular system Strong Regionally restricted euxassay_011794_12
TS23: gland Strong Regionally restricted euxassay_011794_12
TS23: integumental system Strong Regionally restricted euxassay_011794_12
TS23: visceral organ system Strong Regionally restricted euxassay_011794_12
TS23: skeleton Strong Regionally restricted euxassay_011794_12
TS23: tail Strong Regionally restricted euxassay_011794_12
TS23: vertebral axis musculature Strong Regionally restricted euxassay_011794_12
TS23: nervous system Moderate Single cells euxassay_011794_12
TS23: sensory organ system Moderate Single cells euxassay_011794_12

Specimen euxassay_011794_13: embryonic day 14.5 (more )
Structure Level Pattern Image Note
TS23: body cavity or lining Strong Regionally restricted euxassay_011794_13
TS23: limb Strong Regionally restricted euxassay_011794_13
TS23: embryo mesenchyme Strong Regionally restricted euxassay_011794_13
TS23: cardiovascular system Strong Regionally restricted euxassay_011794_13
TS23: gland Strong Regionally restricted euxassay_011794_13
TS23: integumental system Strong Regionally restricted euxassay_011794_13
TS23: visceral organ system Strong Regionally restricted euxassay_011794_13
TS23: skeleton Strong Regionally restricted euxassay_011794_13
TS23: tail Strong Regionally restricted euxassay_011794_13
TS23: vertebral axis musculature Strong Regionally restricted euxassay_011794_13

Specimen euxassay_011794_14: embryonic day 14.5 (more )
Structure Level Pattern Image Note
TS23: body cavity or lining Strong Regionally restricted euxassay_011794_14
TS23: limb Strong Regionally restricted euxassay_011794_14
TS23: embryo mesenchyme Strong Regionally restricted euxassay_011794_14
TS23: cardiovascular system Strong Regionally restricted euxassay_011794_14
TS23: gland Strong Regionally restricted euxassay_011794_14
TS23: integumental system Strong Regionally restricted euxassay_011794_14
TS23: visceral organ system Strong Regionally restricted euxassay_011794_14
TS23: skeleton Strong Regionally restricted euxassay_011794_14
TS23: tail Strong Regionally restricted euxassay_011794_14
TS23: vertebral axis musculature Strong Regionally restricted euxassay_011794_14
TS23: nervous system Moderate Single cells euxassay_011794_14
TS23: sensory organ system Moderate Single cells euxassay_011794_14

Specimen euxassay_011794_15: embryonic day 14.5 (more )
Structure Level Pattern Image Note
TS23: body cavity or lining Strong Regionally restricted euxassay_011794_15
TS23: limb Strong Regionally restricted euxassay_011794_15
TS23: embryo mesenchyme Strong Regionally restricted euxassay_011794_15
TS23: cardiovascular system Strong Regionally restricted euxassay_011794_15
TS23: gland Strong Regionally restricted euxassay_011794_15
TS23: integumental system Strong Regionally restricted euxassay_011794_15
TS23: visceral organ system Strong Regionally restricted euxassay_011794_15
TS23: skeleton Strong Regionally restricted euxassay_011794_15
TS23: tail Strong Regionally restricted euxassay_011794_15
TS23: vertebral axis musculature Strong Regionally restricted euxassay_011794_15
TS23: nervous system Moderate Single cells euxassay_011794_15
TS23: sensory organ system Moderate Single cells euxassay_011794_15

Specimen euxassay_011794_16: embryonic day 14.5 (more )
Structure Level Pattern Image Note
TS23: body cavity or lining Strong Regionally restricted euxassay_011794_16
TS23: limb Strong Regionally restricted euxassay_011794_16
TS23: embryo mesenchyme Strong Regionally restricted euxassay_011794_16
TS23: cardiovascular system Strong Regionally restricted euxassay_011794_16
TS23: gland Strong Regionally restricted euxassay_011794_16
TS23: integumental system Strong Regionally restricted euxassay_011794_16
TS23: visceral organ system Strong Regionally restricted euxassay_011794_16
TS23: skeleton Strong Regionally restricted euxassay_011794_16
TS23: tail Strong Regionally restricted euxassay_011794_16
TS23: vertebral axis musculature Strong Regionally restricted euxassay_011794_16
TS23: nervous system Strong Single cells euxassay_011794_16
TS23: sensory organ system Strong Single cells euxassay_011794_16

Specimen euxassay_011794_17: embryonic day 14.5 (more )
Structure Level Pattern Image Note
TS23: body cavity or lining Strong Regionally restricted euxassay_011794_17
TS23: limb Strong Regionally restricted euxassay_011794_17
TS23: embryo mesenchyme Strong Regionally restricted euxassay_011794_17
TS23: cardiovascular system Strong Regionally restricted euxassay_011794_17
TS23: gland Strong Regionally restricted euxassay_011794_17
TS23: integumental system Strong Regionally restricted euxassay_011794_17
TS23: visceral organ system Strong Regionally restricted euxassay_011794_17
TS23: skeleton Strong Regionally restricted euxassay_011794_17
TS23: tail Strong Regionally restricted euxassay_011794_17
TS23: vertebral axis musculature Strong Regionally restricted euxassay_011794_17
TS23: nervous system Strong Single cells euxassay_011794_17
TS23: sensory organ system Strong Single cells euxassay_011794_17


Contributing Projects:
Mouse Genome Database (MGD), Gene Expression Database (GXD), Mouse Models of Human Cancer database (MMHCdb) (formerly Mouse Tumor Biology (MTB)), Gene Ontology (GO)
Citing These Resources
Funding Information
Warranty Disclaimer, Privacy Notice, Licensing, & Copyright
Send questions and comments to User Support.
last database update
10/07/2025
MGI 6.24
The Jackson Laboratory