About   Help   FAQ
Gene Expression Data
Assay Details
Assay
Reference: J:153498 Diez-Roux G, et al., A high-resolution anatomical atlas of the transcriptome in the mouse embryo. PLoS Biol. 2011;9(1):e1000582
Assay type: RNA in situ
MGI Accession ID: MGI:4828727
Gene symbol: Tinf2
Gene name: Terf1 (TRF1)-interacting nuclear factor 2
Probe: MGC clone 40660
Probe preparation: Antisense labelled with digoxigenin RNA
Visualized with: Alkaline phosphatase
Assay notes: Cryosections of fresh frozen material were fixed in 4% paraformaldehyde for 20 min. before further processing. A tyramide-biotin/streptavidin amplification step was included in the in situ hybridization procedure.
Results
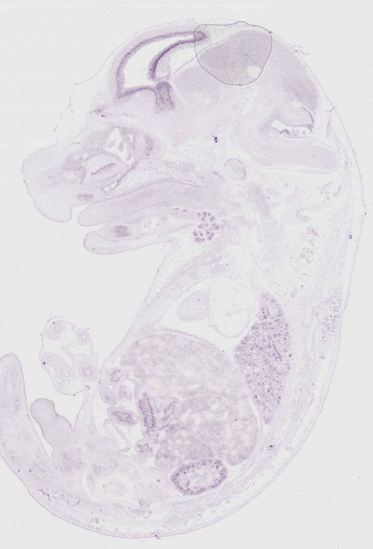
Specimen euxassay_002058_02: embryonic day 14.5 (more )
Structure Level Pattern Image Note
TS23: telencephalon ventricular layer Strong Uniform euxassay_002058_02

Specimen euxassay_002058_03: embryonic day 14.5 (more )
Structure Level Pattern Image Note
TS23: telencephalon ventricular layer Strong Uniform euxassay_002058_03

Specimen euxassay_002058_04: embryonic day 14.5 (more )
Structure Level Pattern Image Note
TS23: telencephalon ventricular layer Strong Uniform euxassay_002058_04
TS23: renal cortex Moderate Regionally restricted euxassay_002058_04

Specimen euxassay_002058_05: embryonic day 14.5 (more )
Structure Level Pattern Image Note
TS23: telencephalon ventricular layer Strong Uniform euxassay_002058_05
TS23: renal cortex Moderate Regionally restricted euxassay_002058_05

Specimen euxassay_002058_06: embryonic day 14.5 (more )
Structure Level Pattern Image Note
TS23: telencephalon ventricular layer Strong Uniform euxassay_002058_06
TS23: renal cortex Moderate Regionally restricted euxassay_002058_06
TS23: submandibular gland primordium Strong Regionally restricted euxassay_002058_06

Specimen euxassay_002058_07: embryonic day 14.5 (more )
Structure Level Pattern Image Note
TS23: telencephalon ventricular layer Strong Uniform euxassay_002058_07
TS23: midbrain ventricular layer Moderate Regionally restricted euxassay_002058_07
TS23: renal cortex Moderate Regionally restricted euxassay_002058_07
TS23: submandibular gland primordium Strong Regionally restricted euxassay_002058_07
TS23: vibrissa Weak Regionally restricted euxassay_002058_07

Specimen euxassay_002058_08: embryonic day 14.5 (more )
Structure Level Pattern Image Note
TS23: telencephalon ventricular layer Strong Uniform euxassay_002058_08
TS23: midbrain ventricular layer Moderate Regionally restricted euxassay_002058_08
TS23: submandibular gland primordium Moderate Regionally restricted euxassay_002058_08
TS23: vibrissa Moderate Regionally restricted euxassay_002058_08

Specimen euxassay_002058_09: embryonic day 14.5 (more )
Structure Level Pattern Image Note
TS23: telencephalon ventricular layer Strong Uniform euxassay_002058_09
TS23: midbrain ventricular layer Moderate Regionally restricted euxassay_002058_09
TS23: submandibular gland primordium Moderate Regionally restricted euxassay_002058_09
TS23: thymus primordium Moderate Uniform euxassay_002058_09
TS23: vibrissa Moderate Regionally restricted euxassay_002058_09
TS23: olfactory epithelium Weak Regionally restricted euxassay_002058_09

Specimen euxassay_002058_10: embryonic day 14.5 (more )
Structure Level Pattern Image Note
TS23: telencephalon ventricular layer Strong Uniform euxassay_002058_10
TS23: midbrain ventricular layer Moderate Regionally restricted euxassay_002058_10
TS23: thymus primordium Moderate Uniform euxassay_002058_10
TS23: olfactory epithelium Weak Regionally restricted euxassay_002058_10

Specimen euxassay_002058_11: embryonic day 14.5 (more )
Structure Level Pattern Image Note
TS23: telencephalon ventricular layer Strong Uniform euxassay_002058_11
TS23: olfactory cortex ventricular layer Strong Uniform euxassay_002058_11
TS23: midbrain ventricular layer Moderate Regionally restricted euxassay_002058_11
TS23: thymus primordium Weak Uniform euxassay_002058_11
TS23: olfactory epithelium Weak Regionally restricted euxassay_002058_11

Specimen euxassay_002058_12: embryonic day 14.5 (more )
Structure Level Pattern Image Note
TS23: olfactory cortex ventricular layer Strong Uniform euxassay_002058_12
TS23: telencephalon ventricular layer Strong Uniform euxassay_002058_12
TS23: midbrain ventricular layer Moderate Regionally restricted euxassay_002058_12
TS23: thymus primordium Weak Uniform euxassay_002058_12
TS23: olfactory epithelium Weak Regionally restricted euxassay_002058_12

Specimen euxassay_002058_13: embryonic day 14.5 (more )
Structure Level Pattern Image Note
TS23: telencephalon ventricular layer Strong Uniform euxassay_002058_13
TS23: midbrain ventricular layer Moderate Regionally restricted euxassay_002058_13
TS23: renal cortex Moderate Regionally restricted euxassay_002058_13
TS23: thymus primordium Weak Uniform euxassay_002058_13
TS23: olfactory epithelium Weak Regionally restricted euxassay_002058_13

Specimen euxassay_002058_14: embryonic day 14.5 (more )
Structure Level Pattern Image Note
TS23: telencephalon ventricular layer Strong Uniform euxassay_002058_14
TS23: midbrain ventricular layer Moderate Regionally restricted euxassay_002058_14
TS23: renal cortex Moderate Regionally restricted euxassay_002058_14
TS23: olfactory epithelium Weak Regionally restricted euxassay_002058_14

Specimen euxassay_002058_15: embryonic day 14.5 (more )
Structure Level Pattern Image Note
TS23: telencephalon ventricular layer Strong Uniform euxassay_002058_15
TS23: renal cortex Moderate Regionally restricted euxassay_002058_15
TS23: submandibular gland primordium Moderate Regionally restricted euxassay_002058_15
TS23: olfactory epithelium Weak Regionally restricted euxassay_002058_15

Specimen euxassay_002058_16: embryonic day 14.5 (more )
Structure Level Pattern Image Note
TS23: olfactory cortex ventricular layer Strong Uniform euxassay_002058_16
TS23: telencephalon ventricular layer Strong Uniform euxassay_002058_16
TS23: renal cortex Moderate Regionally restricted euxassay_002058_16
TS23: submandibular gland primordium Moderate Regionally restricted euxassay_002058_16
TS23: olfactory epithelium Weak Regionally restricted euxassay_002058_16

Specimen euxassay_002058_17: embryonic day 14.5 (more )
Structure Level Pattern Image Note
TS23: olfactory cortex ventricular layer Strong Uniform euxassay_002058_17
TS23: telencephalon ventricular layer Strong Uniform euxassay_002058_17
TS23: submandibular gland primordium Strong Regionally restricted euxassay_002058_17
TS23: olfactory epithelium Weak Regionally restricted euxassay_002058_17

Specimen euxassay_002058_18: embryonic day 14.5 (more )
Structure Level Pattern Image Note
TS23: telencephalon ventricular layer Strong Uniform euxassay_002058_18
TS23: submandibular gland primordium Moderate Regionally restricted euxassay_002058_18
TS23: olfactory epithelium Weak Regionally restricted euxassay_002058_18

Specimen euxassay_002058_19: embryonic day 14.5 (more )
Structure Level Pattern Image Note
TS23: telencephalon ventricular layer Strong Uniform euxassay_002058_19
TS23: vibrissa Moderate Regionally restricted euxassay_002058_19
TS23: olfactory epithelium Weak Regionally restricted euxassay_002058_19

Specimen euxassay_002058_20: embryonic day 14.5 (more )
Structure Level Pattern Image Note
TS23: telencephalon ventricular layer Strong Uniform euxassay_002058_20
TS23: vibrissa Moderate Regionally restricted euxassay_002058_20

Specimen euxassay_002058_21: embryonic day 14.5 (more )
Structure Level Pattern Image Note
TS23: telencephalon ventricular layer Strong Uniform euxassay_002058_21
TS23: vibrissa Moderate Regionally restricted euxassay_002058_21

Specimen euxassay_002058_22: embryonic day 14.5 (more )
Structure Level Pattern Image Note
TS23: telencephalon ventricular layer Strong Uniform euxassay_002058_22


Contributing Projects:
Mouse Genome Database (MGD), Gene Expression Database (GXD), Mouse Models of Human Cancer database (MMHCdb) (formerly Mouse Tumor Biology (MTB)), Gene Ontology (GO)
Citing These Resources
Funding Information
Warranty Disclaimer, Privacy Notice, Licensing, & Copyright
Send questions and comments to User Support.
last database update
01/20/2026
MGI 6.24
The Jackson Laboratory