About   Help   FAQ
Gene Expression Data
Assay Details
Assay
Reference: J:153498 Diez-Roux G, et al., A high-resolution anatomical atlas of the transcriptome in the mouse embryo. PLoS Biol. 2011;9(1):e1000582
Assay type: RNA in situ
MGI Accession ID: MGI:4828720
Gene symbol: Timm8b
Gene name: translocase of inner mitochondrial membrane 8B
Probe: MGC clone 35981
Probe preparation: Antisense labelled with digoxigenin RNA
Visualized with: Alkaline phosphatase
Assay notes: Cryosections of fresh frozen material were fixed in 4% paraformaldehyde for 20 min. before further processing. A tyramide-biotin/streptavidin amplification step was included in the in situ hybridization procedure.
Results
Specimen euxassay_005088_02: embryonic day 14.5 (more )
Structure Level Pattern Image Note
TS23: telencephalon marginal layer Weak Regionally restricted euxassay_005088_02

Specimen euxassay_005088_03: embryonic day 14.5 (more )
Structure Level Pattern Image Note
TS23: axial musculature Moderate Regionally restricted euxassay_005088_03
TS23: telencephalon ventricular layer Weak Regionally restricted euxassay_005088_03
TS23: telencephalon marginal layer Weak Regionally restricted euxassay_005088_03

Specimen euxassay_005088_04: embryonic day 14.5 (more )
Structure Level Pattern Image Note
TS23: testis Moderate Regionally restricted euxassay_005088_04
TS23: axial musculature Moderate Regionally restricted euxassay_005088_04
TS23: trigeminal ganglion Weak Regionally restricted euxassay_005088_04
TS23: renal cortex Weak Regionally restricted euxassay_005088_04
TS23: telencephalon ventricular layer Weak Regionally restricted euxassay_005088_04
TS23: telencephalon marginal layer Weak Regionally restricted euxassay_005088_04

Specimen euxassay_005088_05: embryonic day 14.5 (more )
Structure Level Pattern Image Note
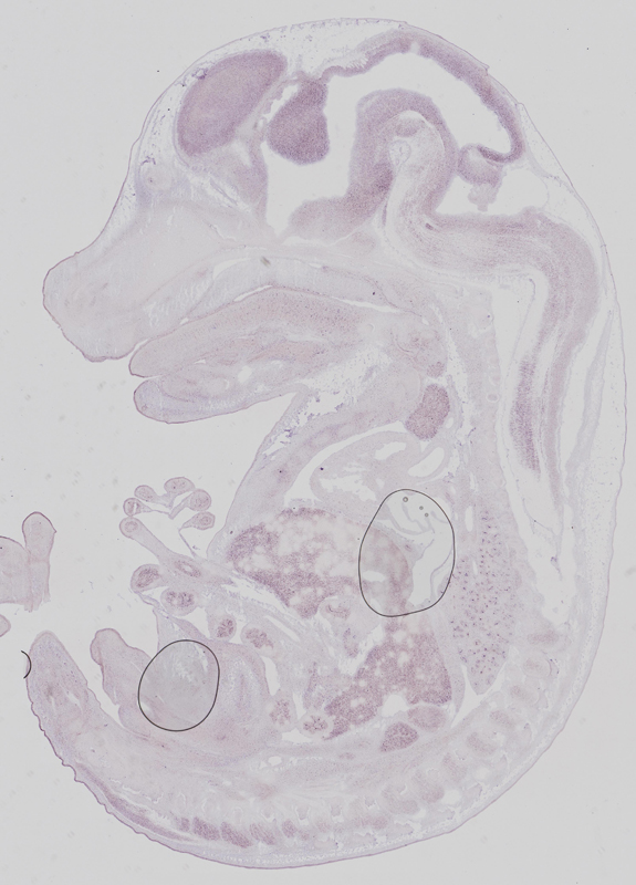
TS23: testis Moderate Regionally restricted euxassay_005088_05
TS23: axial musculature Moderate Regionally restricted euxassay_005088_05
TS23: trigeminal ganglion Weak Regionally restricted euxassay_005088_05
TS23: renal cortex Weak Regionally restricted euxassay_005088_05
TS23: telencephalon ventricular layer Weak Regionally restricted euxassay_005088_05
TS23: telencephalon marginal layer Weak Regionally restricted euxassay_005088_05

Specimen euxassay_005088_06: embryonic day 14.5 (more )
Structure Level Pattern Image Note
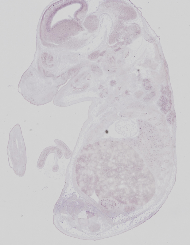
TS23: testis Moderate Regionally restricted euxassay_005088_06
TS23: glossopharyngeal ganglion Weak Regionally restricted euxassay_005088_06
TS23: trigeminal ganglion Weak Regionally restricted euxassay_005088_06
TS23: submandibular gland primordium Weak Regionally restricted euxassay_005088_06
TS23: renal cortex Weak Regionally restricted euxassay_005088_06
TS23: telencephalon ventricular layer Weak Regionally restricted euxassay_005088_06
TS23: telencephalon marginal layer Weak Regionally restricted euxassay_005088_06

Specimen euxassay_005088_07: embryonic day 14.5 (more )
Note: Additional information for this specimen was included in the Eurexpress data submission file.
Structure Level Pattern Image Note
TS23: vagus ganglion Weak Regionally restricted euxassay_005088_07
TS23: trigeminal ganglion Weak Regionally restricted euxassay_005088_07
TS23: submandibular gland primordium Weak Regionally restricted euxassay_005088_07
TS23: renal cortex Weak Regionally restricted euxassay_005088_07
TS23: upper jaw molar Moderate Regionally restricted euxassay_005088_07
TS23: lower jaw molar Moderate Regionally restricted euxassay_005088_07
TS23: telencephalon ventricular layer Weak Regionally restricted euxassay_005088_07
TS23: telencephalon marginal layer Weak Regionally restricted euxassay_005088_07
TS23: pons mantle layer Moderate Regionally restricted euxassay_005088_07 facial motor nucleus

Specimen euxassay_005088_08: embryonic day 14.5 (more )
Note: Additional information for this specimen was included in the Eurexpress data submission file.
Structure Level Pattern Image Note
TS23: vagus ganglion Weak Regionally restricted euxassay_005088_08
TS23: trigeminal ganglion Weak Regionally restricted euxassay_005088_08
TS23: submandibular gland primordium Weak Regionally restricted euxassay_005088_08
TS23: renal cortex Weak Regionally restricted euxassay_005088_08
TS23: olfactory epithelium Moderate Regionally restricted euxassay_005088_08
TS23: telencephalon ventricular layer Weak Regionally restricted euxassay_005088_08
TS23: telencephalon marginal layer Weak Regionally restricted euxassay_005088_08
TS23: medulla oblongata basal plate mantle layer Moderate Regionally restricted euxassay_005088_08 trigeminal motor nucleus

Specimen euxassay_005088_09: embryonic day 14.5 (more )
Note: Additional information for this specimen was included in the Eurexpress data submission file.
Structure Level Pattern Image Note
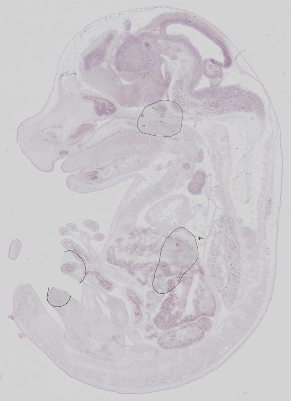
TS23: submandibular gland primordium Weak Regionally restricted euxassay_005088_09
TS23: renal cortex Weak Regionally restricted euxassay_005088_09
TS23: olfactory epithelium Moderate Regionally restricted euxassay_005088_09
TS23: thymus primordium Moderate Regionally restricted euxassay_005088_09
TS23: telencephalon ventricular layer Weak Regionally restricted euxassay_005088_09
TS23: telencephalon marginal layer Weak Regionally restricted euxassay_005088_09
TS23: medulla oblongata basal plate mantle layer Moderate Regionally restricted euxassay_005088_09 trigeminal motor nucleus

Specimen euxassay_005088_10: embryonic day 14.5 (more )
Structure Level Pattern Image Note
TS23: submandibular gland primordium Weak Regionally restricted euxassay_005088_10
TS23: olfactory epithelium Moderate Regionally restricted euxassay_005088_10
TS23: lower jaw incisor Moderate Regionally restricted euxassay_005088_10
TS23: thymus primordium Moderate Regionally restricted euxassay_005088_10
TS23: telencephalon ventricular layer Weak Regionally restricted euxassay_005088_10
TS23: telencephalon marginal layer Weak Regionally restricted euxassay_005088_10

Specimen euxassay_005088_11: embryonic day 14.5 (more )
Structure Level Pattern Image Note
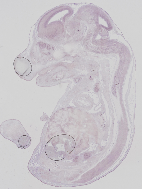
TS23: olfactory epithelium Moderate Regionally restricted euxassay_005088_11
TS23: nasal cavity respiratory epithelium Moderate Regionally restricted euxassay_005088_11
TS23: upper jaw incisor Moderate Regionally restricted euxassay_005088_11
TS23: thymus primordium Moderate Regionally restricted euxassay_005088_11
TS23: telencephalon ventricular layer Weak Regionally restricted euxassay_005088_11
TS23: telencephalon marginal layer Weak Regionally restricted euxassay_005088_11

Specimen euxassay_005088_12: embryonic day 14.5 (more )
Structure Level Pattern Image Note
TS23: nasal cavity respiratory epithelium Moderate Regionally restricted euxassay_005088_12
TS23: olfactory epithelium Moderate Regionally restricted euxassay_005088_12
TS23: upper jaw incisor Moderate Regionally restricted euxassay_005088_12
TS23: thymus primordium Moderate Regionally restricted euxassay_005088_12
TS23: telencephalon ventricular layer Weak Regionally restricted euxassay_005088_12

Specimen euxassay_005088_13: embryonic day 14.5 (more )
Structure Level Pattern Image Note
TS23: thymus primordium Moderate Regionally restricted euxassay_005088_13

Specimen euxassay_005088_14: embryonic day 14.5 (more )
Structure Level Pattern Image Note
TS23: renal cortex Weak Regionally restricted euxassay_005088_14
TS23: olfactory epithelium Moderate Regionally restricted euxassay_005088_14
TS23: nasal cavity respiratory epithelium Moderate Regionally restricted euxassay_005088_14
TS23: upper jaw incisor Moderate Regionally restricted euxassay_005088_14
TS23: lower jaw incisor Moderate Regionally restricted euxassay_005088_14
TS23: thymus primordium Moderate Regionally restricted euxassay_005088_14
TS23: telencephalon ventricular layer Weak Regionally restricted euxassay_005088_14

Specimen euxassay_005088_15: embryonic day 14.5 (more )
Note: Additional information for this specimen was included in the Eurexpress data submission file.
Structure Level Pattern Image Note
TS23: submandibular gland primordium Weak Regionally restricted euxassay_005088_15
TS23: renal cortex Weak Regionally restricted euxassay_005088_15
TS23: olfactory epithelium Moderate Regionally restricted euxassay_005088_15
TS23: nasal cavity respiratory epithelium Moderate Regionally restricted euxassay_005088_15
TS23: upper jaw incisor Moderate Regionally restricted euxassay_005088_15
TS23: lower jaw incisor Moderate Regionally restricted euxassay_005088_15
TS23: telencephalon ventricular layer Weak Regionally restricted euxassay_005088_15
TS23: telencephalon marginal layer Weak Regionally restricted euxassay_005088_15
TS23: medulla oblongata basal plate mantle layer Moderate Regionally restricted euxassay_005088_15 trigeminal motor nucleus

Specimen euxassay_005088_16: embryonic day 14.5 (more )
Note: Additional information for this specimen was included in the Eurexpress data submission file.
Structure Level Pattern Image Note
TS23: submandibular gland primordium Weak Regionally restricted euxassay_005088_16
TS23: renal cortex Weak Regionally restricted euxassay_005088_16
TS23: olfactory epithelium Moderate Regionally restricted euxassay_005088_16
TS23: nasal cavity respiratory epithelium Moderate Regionally restricted euxassay_005088_16
TS23: upper jaw incisor Moderate Regionally restricted euxassay_005088_16
TS23: lower jaw incisor Moderate Regionally restricted euxassay_005088_16
TS23: telencephalon ventricular layer Weak Regionally restricted euxassay_005088_16
TS23: medulla oblongata basal plate mantle layer Moderate Regionally restricted euxassay_005088_16 trigeminal motor nucleus

Specimen euxassay_005088_17: embryonic day 14.5 (more )
Note: Additional information for this specimen was included in the Eurexpress data submission file.
Structure Level Pattern Image Note
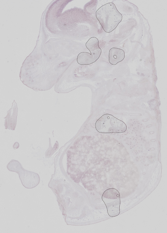
TS23: testis Moderate Regionally restricted euxassay_005088_17
TS23: axial musculature Moderate Regionally restricted euxassay_005088_17
TS23: trigeminal ganglion Weak Regionally restricted euxassay_005088_17
TS23: vagus ganglion Weak Regionally restricted euxassay_005088_17
TS23: submandibular gland primordium Weak Regionally restricted euxassay_005088_17
TS23: renal cortex Weak Regionally restricted euxassay_005088_17
TS23: olfactory epithelium Moderate Regionally restricted euxassay_005088_17
TS23: telencephalon ventricular layer Weak Regionally restricted euxassay_005088_17
TS23: pons mantle layer Moderate Regionally restricted euxassay_005088_17 facial motor nucleus

Specimen euxassay_005088_18: embryonic day 14.5 (more )
Structure Level Pattern Image Note
TS23: testis Moderate Regionally restricted euxassay_005088_18
TS23: axial musculature Moderate Regionally restricted euxassay_005088_18
TS23: glossopharyngeal ganglion Weak Regionally restricted euxassay_005088_18
TS23: trigeminal ganglion Weak Regionally restricted euxassay_005088_18
TS23: submandibular gland primordium Weak Regionally restricted euxassay_005088_18
TS23: renal cortex Weak Regionally restricted euxassay_005088_18
TS23: olfactory epithelium Weak Regionally restricted euxassay_005088_18
TS23: upper jaw molar Moderate Regionally restricted euxassay_005088_18
TS23: lower jaw molar Moderate Regionally restricted euxassay_005088_18
TS23: telencephalon ventricular layer Weak Regionally restricted euxassay_005088_18

Specimen euxassay_005088_19: embryonic day 14.5 (more )
Structure Level Pattern Image Note
TS23: testis Moderate Regionally restricted euxassay_005088_19
TS23: axial musculature Moderate Regionally restricted euxassay_005088_19
TS23: trigeminal ganglion Weak Regionally restricted euxassay_005088_19
TS23: submandibular gland primordium Weak Regionally restricted euxassay_005088_19
TS23: olfactory epithelium Weak Regionally restricted euxassay_005088_19
TS23: upper jaw molar Moderate Regionally restricted euxassay_005088_19
TS23: telencephalon ventricular layer Weak Regionally restricted euxassay_005088_19
TS23: telencephalon marginal layer Weak Regionally restricted euxassay_005088_19

Specimen euxassay_005088_20: embryonic day 14.5 (more )
Structure Level Pattern Image Note
TS23: axial musculature Moderate Regionally restricted euxassay_005088_20
TS23: trigeminal ganglion Weak Regionally restricted euxassay_005088_20
TS23: telencephalon ventricular layer Weak Regionally restricted euxassay_005088_20
TS23: telencephalon marginal layer Weak Regionally restricted euxassay_005088_20

Specimen euxassay_005088_21: embryonic day 14.5 (more )
Structure Level Pattern Image Note
TS23: axial musculature Moderate Regionally restricted euxassay_005088_21
TS23: trigeminal ganglion Weak Regionally restricted euxassay_005088_21
TS23: telencephalon ventricular layer Weak Regionally restricted euxassay_005088_21
TS23: telencephalon marginal layer Weak Regionally restricted euxassay_005088_21

Specimen euxassay_005088_22: embryonic day 14.5 (more )
Structure Level Pattern Image Note
TS23: telencephalon ventricular layer Weak Regionally restricted euxassay_005088_22
TS23: telencephalon marginal layer Weak Regionally restricted euxassay_005088_22

Specimen euxassay_005088_23: embryonic day 14.5 (more )
Structure Level Pattern Image Note
TS23: telencephalon ventricular layer Weak Regionally restricted euxassay_005088_23
TS23: telencephalon marginal layer Weak Regionally restricted euxassay_005088_23

Specimen euxassay_005088_24: embryonic day 14.5 (more )
Structure Level Pattern Image Note
TS23: telencephalon ventricular layer Weak Regionally restricted euxassay_005088_24
TS23: telencephalon marginal layer Weak Regionally restricted euxassay_005088_24


Contributing Projects:
Mouse Genome Database (MGD), Gene Expression Database (GXD), Mouse Models of Human Cancer database (MMHCdb) (formerly Mouse Tumor Biology (MTB)), Gene Ontology (GO)
Citing These Resources
Funding Information
Warranty Disclaimer, Privacy Notice, Licensing, & Copyright
Send questions and comments to User Support.
last database update
12/30/2025
MGI 6.24
The Jackson Laboratory