About   Help   FAQ
Gene Expression Data
Assay Details
Assay
Reference: J:153498 Diez-Roux G, et al., A high-resolution anatomical atlas of the transcriptome in the mouse embryo. PLoS Biol. 2011;9(1):e1000582
Assay type: RNA in situ
MGI Accession ID: MGI:4828710
Gene symbol: Thy1
Gene name: thymus cell antigen 1, theta
Probe: T30404
Probe preparation: Antisense labelled with digoxigenin RNA
Visualized with: Alkaline phosphatase
Assay notes: Cryosections of fresh frozen material were fixed in 4% paraformaldehyde for 20 min. before further processing. A tyramide-biotin/streptavidin amplification step was included in the in situ hybridization procedure.
Results
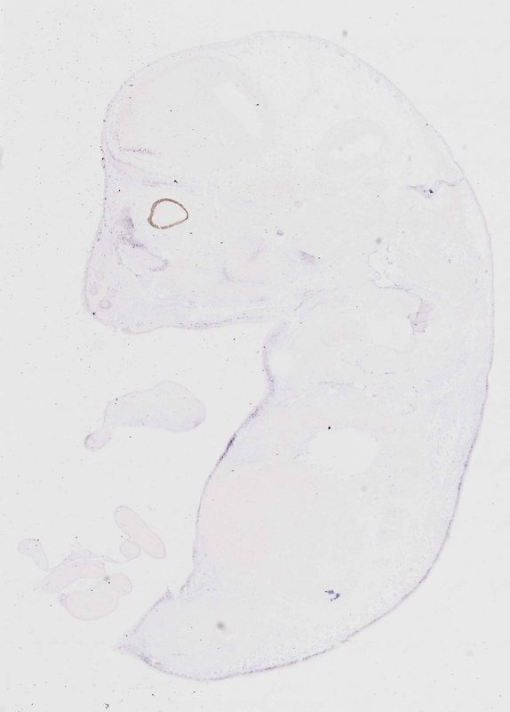
Specimen euxassay_012502_01: embryonic day 14.5 (more )
Structure Level Pattern Image Note
TS23: dermis Strong Regionally restricted euxassay_012502_01
TS23: telencephalon mantle layer Strong Regionally restricted euxassay_012502_01

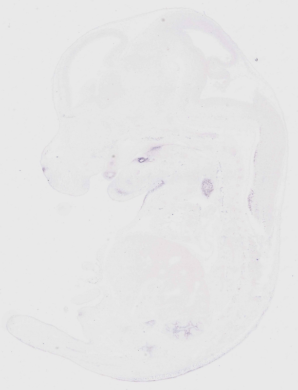
Specimen euxassay_012502_02: embryonic day 14.5 (more )
Note: Additional information for this specimen was included in the Eurexpress data submission file.
Structure Level Pattern Image Note
TS23: dermis Strong Regionally restricted euxassay_012502_02
TS23: urinary system Strong Regionally restricted euxassay_012502_02
TS23: mesonephros Present euxassay_012502_02
TS23: telencephalon mantle layer Strong Regionally restricted euxassay_012502_02

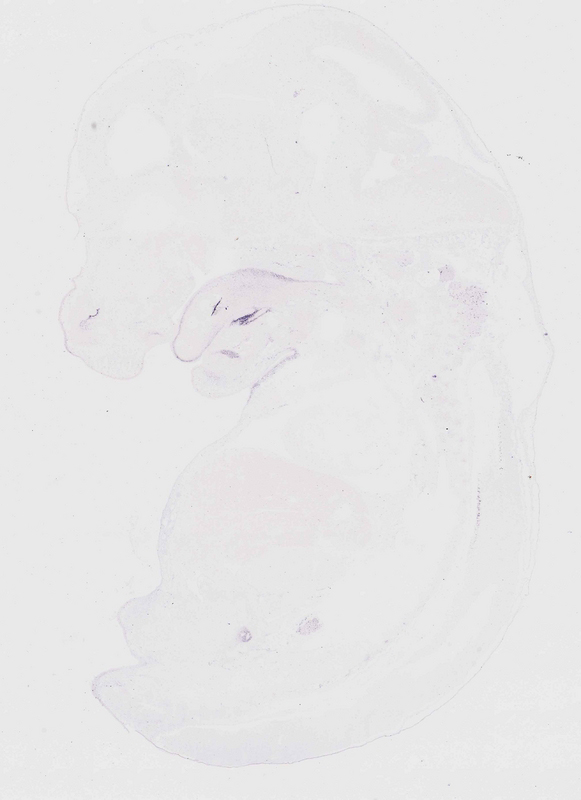
Specimen euxassay_012502_03: embryonic day 14.5 (more )
Note: Additional information for this specimen was included in the Eurexpress data submission file.
Structure Level Pattern Image Note
TS23: dermis Strong Regionally restricted euxassay_012502_03
TS23: vibrissa Strong Regionally restricted euxassay_012502_03
TS23: urinary system Strong Regionally restricted euxassay_012502_03
TS23: mesonephros Present euxassay_012502_03
TS23: telencephalon mantle layer Strong Regionally restricted euxassay_012502_03

Specimen euxassay_012502_04: embryonic day 14.5 (more )
Note: Additional information for this specimen was included in the Eurexpress data submission file.
Structure Level Pattern Image Note
TS23: dermis Strong Regionally restricted euxassay_012502_04
TS23: vibrissa Strong Regionally restricted euxassay_012502_04
TS23: urinary system Strong Regionally restricted euxassay_012502_04
TS23: mesonephros Present euxassay_012502_04
TS23: telencephalon mantle layer Strong Regionally restricted euxassay_012502_04

Specimen euxassay_012502_05: embryonic day 14.5 (more )
Note: Additional information for this specimen was included in the Eurexpress data submission file.
Structure Level Pattern Image Note
TS23: dermis Strong Regionally restricted euxassay_012502_05
TS23: vibrissa Strong Regionally restricted euxassay_012502_05
TS23: urinary system Strong Regionally restricted euxassay_012502_05
TS23: mesonephros Present euxassay_012502_05
TS23: telencephalon mantle layer Strong Regionally restricted euxassay_012502_05

Specimen euxassay_012502_06: embryonic day 14.5 (more )
Structure Level Pattern Image Note
TS23: dermis Strong Regionally restricted euxassay_012502_06
TS23: vibrissa Strong Regionally restricted euxassay_012502_06
TS23: renal calyx Strong Regionally restricted euxassay_012502_06

Specimen euxassay_012502_07: embryonic day 14.5 (more )
Structure Level Pattern Image Note
TS23: vibrissa Strong Regionally restricted euxassay_012502_07
TS23: dermis Strong Regionally restricted euxassay_012502_07
TS23: renal calyx Strong Regionally restricted euxassay_012502_07

Specimen euxassay_012502_08: embryonic day 14.5 (more )
Structure Level Pattern Image Note
TS23: dermis Strong Regionally restricted euxassay_012502_08
TS23: ureter Strong Regionally restricted euxassay_012502_08

Specimen euxassay_012502_09: embryonic day 14.5 (more )
Structure Level Pattern Image Note
TS23: dermis Strong Regionally restricted euxassay_012502_09

Specimen euxassay_012502_10: embryonic day 14.5 (more )
Structure Level Pattern Image Note
TS23: dermis Strong Regionally restricted euxassay_012502_10
TS23: sublingual gland primordium Strong Regionally restricted euxassay_012502_10
TS23: anterior naris Strong Regionally restricted euxassay_012502_10

Specimen euxassay_012502_11: embryonic day 14.5 (more )
Structure Level Pattern Image Note
TS23: dermis Strong Regionally restricted euxassay_012502_11
TS23: thymus primordium Strong Regionally restricted euxassay_012502_11
TS23: anterior naris Strong Regionally restricted euxassay_012502_11

Specimen euxassay_012502_12: embryonic day 14.5 (more )
Structure Level Pattern Image Note
TS23: dermis Strong Regionally restricted euxassay_012502_12
TS23: thymus primordium Strong Regionally restricted euxassay_012502_12
TS23: anterior naris Strong Regionally restricted euxassay_012502_12

Specimen euxassay_012502_13: embryonic day 14.5 (more )
Structure Level Pattern Image Note
TS23: dermis Strong Regionally restricted euxassay_012502_13
TS23: anterior naris Strong Regionally restricted euxassay_012502_13

Specimen euxassay_012502_14: embryonic day 14.5 (more )
Structure Level Pattern Image Note
TS23: dermis Strong Regionally restricted euxassay_012502_14
TS23: thymus primordium Strong Regionally restricted euxassay_012502_14
TS23: sublingual gland primordium Strong Regionally restricted euxassay_012502_14
TS23: renal calyx Strong Regionally restricted euxassay_012502_14

Specimen euxassay_012502_15: embryonic day 14.5 (more )
Structure Level Pattern Image Note
TS23: dermis Strong Regionally restricted euxassay_012502_15
TS23: thymus primordium Strong Regionally restricted euxassay_012502_15
TS23: sublingual gland primordium Strong Regionally restricted euxassay_012502_15
TS23: renal pelvis Strong Regionally restricted euxassay_012502_15
TS23: renal calyx Strong Regionally restricted euxassay_012502_15

Specimen euxassay_012502_16: embryonic day 14.5 (more )
Structure Level Pattern Image Note
TS23: dermis Strong Regionally restricted euxassay_012502_16
TS23: metanephros Strong Regionally restricted euxassay_012502_16
TS23: renal calyx Strong Regionally restricted euxassay_012502_16

Specimen euxassay_012502_17: embryonic day 14.5 (more )
Structure Level Pattern Image Note
TS23: vibrissa Strong Regionally restricted euxassay_012502_17
TS23: dermis Strong Regionally restricted euxassay_012502_17

Specimen euxassay_012502_18: embryonic day 14.5 (more )
Note: Additional information for this specimen was included in the Eurexpress data submission file.
Structure Level Pattern Image Note
TS23: dermis Strong Regionally restricted euxassay_012502_18
TS23: vibrissa Strong Regionally restricted euxassay_012502_18
TS23: urinary system Strong Regionally restricted euxassay_012502_18
TS23: mesonephros Present euxassay_012502_18
TS23: telencephalon mantle layer Strong Regionally restricted euxassay_012502_18

Specimen euxassay_012502_19: embryonic day 14.5 (more )
Note: Additional information for this specimen was included in the Eurexpress data submission file.
Structure Level Pattern Image Note
TS23: dermis Strong Regionally restricted euxassay_012502_19
TS23: vibrissa Strong Regionally restricted euxassay_012502_19
TS23: urinary system Strong Regionally restricted euxassay_012502_19
TS23: mesonephros Present euxassay_012502_19
TS23: telencephalon mantle layer Strong Regionally restricted euxassay_012502_19

Specimen euxassay_012502_20: embryonic day 14.5 (more )
Note: Additional information for this specimen was included in the Eurexpress data submission file.
Structure Level Pattern Image Note
TS23: dermis Strong Regionally restricted euxassay_012502_20
TS23: vibrissa Strong Regionally restricted euxassay_012502_20
TS23: urinary system Strong Regionally restricted euxassay_012502_20
TS23: mesonephros Present euxassay_012502_20
TS23: telencephalon mantle layer Strong Regionally restricted euxassay_012502_20

Specimen euxassay_012502_21: embryonic day 14.5 (more )
Note: Additional information for this specimen was included in the Eurexpress data submission file.
Structure Level Pattern Image Note
TS23: dermis Strong Regionally restricted euxassay_012502_21
TS23: vibrissa Strong Regionally restricted euxassay_012502_21
TS23: urinary system Strong Regionally restricted euxassay_012502_21
TS23: mesonephros Present euxassay_012502_21
TS23: telencephalon mantle layer Strong Regionally restricted euxassay_012502_21

Specimen euxassay_012502_22: embryonic day 14.5 (more )
Structure Level Pattern Image Note
TS23: dermis Strong Regionally restricted euxassay_012502_22
TS23: vibrissa Strong Regionally restricted euxassay_012502_22
TS23: telencephalon mantle layer Strong Regionally restricted euxassay_012502_22

Specimen euxassay_012502_23: embryonic day 14.5 (more )
Structure Level Pattern Image Note
TS23: dermis Strong Regionally restricted euxassay_012502_23
TS23: vibrissa Strong Regionally restricted euxassay_012502_23
TS23: telencephalon mantle layer Strong Regionally restricted euxassay_012502_23


Contributing Projects:
Mouse Genome Database (MGD), Gene Expression Database (GXD), Mouse Models of Human Cancer database (MMHCdb) (formerly Mouse Tumor Biology (MTB)), Gene Ontology (GO)
Citing These Resources
Funding Information
Warranty Disclaimer, Privacy Notice, Licensing, & Copyright
Send questions and comments to User Support.
last database update
12/30/2025
MGI 6.24
The Jackson Laboratory