About   Help   FAQ
Gene Expression Data
Assay Details
Assay
Reference: J:153498 Diez-Roux G, et al., A high-resolution anatomical atlas of the transcriptome in the mouse embryo. PLoS Biol. 2011;9(1):e1000582
Assay type: RNA in situ
MGI Accession ID: MGI:4828702
Gene symbol: Thop1
Gene name: thimet oligopeptidase 1
Probe: MGC clone 25784
Probe preparation: Antisense labelled with digoxigenin RNA
Visualized with: Alkaline phosphatase
Assay notes: Cryosections of fresh frozen material were fixed in 4% paraformaldehyde for 20 min. before further processing. A tyramide-biotin/streptavidin amplification step was included in the in situ hybridization procedure.
Results
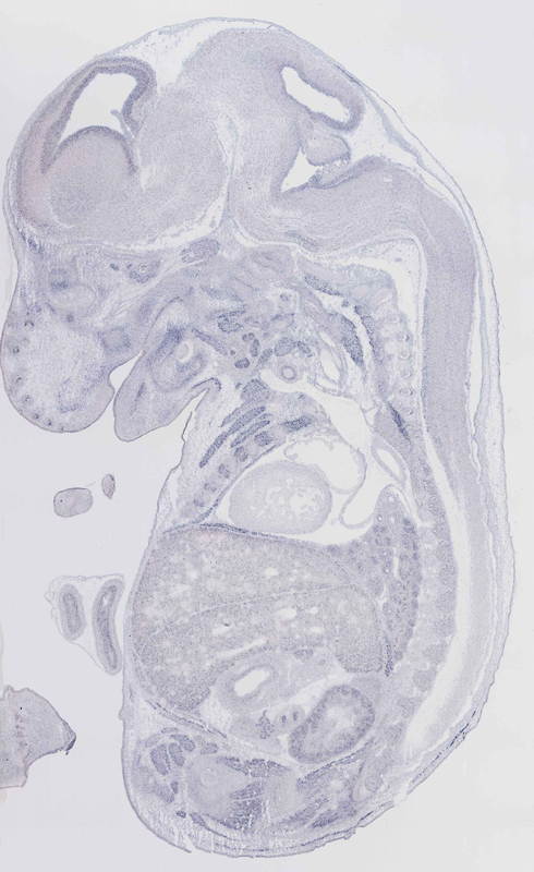
Specimen euxassay_006611_01: embryonic day 14.5 (more )
Structure Level Pattern Image Note
TS23: vertebral axis musculature Moderate Regionally restricted euxassay_006611_01
TS23: head mesenchyme Moderate Regionally restricted euxassay_006611_01

Specimen euxassay_006611_02: embryonic day 14.5 (more )
Structure Level Pattern Image Note
TS23: vertebral axis musculature Moderate Regionally restricted euxassay_006611_02
TS23: head mesenchyme Moderate Regionally restricted euxassay_006611_02

Specimen euxassay_006611_03: embryonic day 14.5 (more )
Structure Level Pattern Image Note
TS23: vertebral axis musculature Moderate Regionally restricted euxassay_006611_03
TS23: head mesenchyme Weak Regionally restricted euxassay_006611_03

Specimen euxassay_006611_04: embryonic day 14.5 (more )
Structure Level Pattern Image Note
TS23: vertebral axis musculature Moderate Regionally restricted euxassay_006611_04
TS23: head mesenchyme Moderate Regionally restricted euxassay_006611_04

Specimen euxassay_006611_05: embryonic day 14.5 (more )
Structure Level Pattern Image Note
TS23: vertebral axis musculature Moderate Regionally restricted euxassay_006611_05
TS23: head mesenchyme Moderate Regionally restricted euxassay_006611_05

Specimen euxassay_006611_06: embryonic day 14.5 (more )
Structure Level Pattern Image Note
TS23: vertebral axis musculature Moderate Regionally restricted euxassay_006611_06
TS23: head mesenchyme Moderate Regionally restricted euxassay_006611_06

Specimen euxassay_006611_07: embryonic day 14.5 (more )
Structure Level Pattern Image Note
TS23: vertebral axis musculature Moderate Regionally restricted euxassay_006611_07

Specimen euxassay_006611_08: embryonic day 14.5 (more )
Structure Level Pattern Image Note
TS23: vertebral axis musculature Moderate Regionally restricted euxassay_006611_08

Specimen euxassay_006611_09: embryonic day 14.5 (more )
Structure Level Pattern Image Note
TS23: vertebral axis musculature Moderate Regionally restricted euxassay_006611_09

Specimen euxassay_006611_10: embryonic day 14.5 (more )
Structure Level Pattern Image Note
TS23: vertebral axis musculature Moderate Regionally restricted euxassay_006611_10

Specimen euxassay_006611_11: embryonic day 14.5 (more )
Structure Level Pattern Image Note
TS23: vertebral axis musculature Moderate Regionally restricted euxassay_006611_11

Specimen euxassay_006611_12: embryonic day 14.5 (more )
Structure Level Pattern Image Note
TS23: vertebral axis musculature Moderate Regionally restricted euxassay_006611_12

Specimen euxassay_006611_13: embryonic day 14.5 (more )
Structure Level Pattern Image Note
TS23: vertebral axis musculature Moderate Regionally restricted euxassay_006611_13

Specimen euxassay_006611_14: embryonic day 14.5 (more )
Structure Level Pattern Image Note
TS23: vertebral axis musculature Moderate Regionally restricted euxassay_006611_14

Specimen euxassay_006611_15: embryonic day 14.5 (more )
Structure Level Pattern Image Note
TS23: vertebral axis musculature Moderate Regionally restricted euxassay_006611_15

Specimen euxassay_006611_16: embryonic day 14.5 (more )
Structure Level Pattern Image Note
TS23: vertebral axis musculature Moderate Regionally restricted euxassay_006611_16

Specimen euxassay_006611_17: embryonic day 14.5 (more )
Structure Level Pattern Image Note
TS23: vertebral axis musculature Moderate Regionally restricted euxassay_006611_17

Specimen euxassay_006611_18: embryonic day 14.5 (more )
Structure Level Pattern Image Note
TS23: vertebral axis musculature Moderate Regionally restricted euxassay_006611_18
TS23: head mesenchyme Weak Regionally restricted euxassay_006611_18

Specimen euxassay_006611_19: embryonic day 14.5 (more )
Structure Level Pattern Image Note
TS23: vertebral axis musculature Moderate Regionally restricted euxassay_006611_19
TS23: head mesenchyme Weak Regionally restricted euxassay_006611_19

Specimen euxassay_006611_20: embryonic day 14.5 (more )
Structure Level Pattern Image Note
TS23: vertebral axis musculature Moderate Regionally restricted euxassay_006611_20
TS23: head mesenchyme Weak Regionally restricted euxassay_006611_20

Specimen euxassay_006611_21: embryonic day 14.5 (more )
Structure Level Pattern Image Note
TS23: vertebral axis musculature Moderate Regionally restricted euxassay_006611_21
TS23: head mesenchyme Weak Regionally restricted euxassay_006611_21

Specimen euxassay_006611_22: embryonic day 14.5 (more )
Structure Level Pattern Image Note
TS23: vertebral axis musculature Moderate Regionally restricted euxassay_006611_22
TS23: head mesenchyme Weak Regionally restricted euxassay_006611_22

Specimen euxassay_006611_23: embryonic day 14.5 (more )
Structure Level Pattern Image Note
TS23: vertebral axis musculature Moderate Regionally restricted euxassay_006611_23
TS23: head mesenchyme Weak Regionally restricted euxassay_006611_23

Specimen euxassay_006611_24: embryonic day 14.5 (more )
Structure Level Pattern Image Note
TS23: vertebral axis musculature Moderate Regionally restricted euxassay_006611_24
TS23: head mesenchyme Moderate Regionally restricted euxassay_006611_24


Contributing Projects:
Mouse Genome Database (MGD), Gene Expression Database (GXD), Mouse Models of Human Cancer database (MMHCdb) (formerly Mouse Tumor Biology (MTB)), Gene Ontology (GO)
Citing These Resources
Funding Information
Warranty Disclaimer, Privacy Notice, Licensing, & Copyright
Send questions and comments to User Support.
last database update
12/30/2025
MGI 6.24
The Jackson Laboratory