About   Help   FAQ
Gene Expression Data
Assay Details
Assay
Reference: J:153498 Diez-Roux G, et al., A high-resolution anatomical atlas of the transcriptome in the mouse embryo. PLoS Biol. 2011;9(1):e1000582
Assay type: RNA in situ
MGI Accession ID: MGI:4828693
Gene symbol: Thbs1
Gene name: thrombospondin 1
Probe: MGC clone 63222
Probe preparation: Antisense labelled with digoxigenin RNA
Visualized with: Alkaline phosphatase
Assay notes: Cryosections of fresh frozen material were fixed in 4% paraformaldehyde for 20 min. before further processing. A tyramide-biotin/streptavidin amplification step was included in the in situ hybridization procedure.
Results
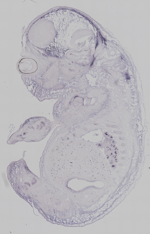
Specimen euxassay_005711_01: embryonic day 14.5 (more )
Structure Level Pattern Image Note
TS23: embryo mesenchyme Strong Regionally restricted euxassay_005711_01
TS23: left lung Strong Regionally restricted euxassay_005711_01
TS23: liver Strong Spotted euxassay_005711_01
TS23: cranium Strong Regionally restricted euxassay_005711_01
TS23: lower leg rest of mesenchyme Moderate Regionally restricted euxassay_005711_01
TS23: hand Moderate Regionally restricted euxassay_005711_01
TS23: forearm mesenchyme Moderate Regionally restricted euxassay_005711_01
TS23: upper arm mesenchyme Moderate Regionally restricted euxassay_005711_01

Specimen euxassay_005711_02: embryonic day 14.5 (more )
Structure Level Pattern Image Note
TS23: embryo mesenchyme Moderate Regionally restricted euxassay_005711_02
TS23: left lung Strong Regionally restricted euxassay_005711_02
TS23: liver Strong Spotted euxassay_005711_02
TS23: cranium Strong Regionally restricted euxassay_005711_02
TS23: upper lip Moderate Regionally restricted euxassay_005711_02
TS23: lower lip Moderate Regionally restricted euxassay_005711_02
TS23: lower leg rest of mesenchyme Moderate Regionally restricted euxassay_005711_02
TS23: upper leg mesenchyme Moderate Regionally restricted euxassay_005711_02
TS23: hand Moderate Regionally restricted euxassay_005711_02
TS23: upper arm mesenchyme Moderate Regionally restricted euxassay_005711_02

Specimen euxassay_005711_03: embryonic day 14.5 (more )
Structure Level Pattern Image Note
TS23: embryo mesenchyme Moderate Regionally restricted euxassay_005711_03
TS23: left lung Strong Regionally restricted euxassay_005711_03
TS23: liver Strong Spotted euxassay_005711_03
TS23: cranium Strong Regionally restricted euxassay_005711_03
TS23: lower lip Moderate Regionally restricted euxassay_005711_03
TS23: upper lip Moderate Regionally restricted euxassay_005711_03
TS23: lower leg rest of mesenchyme Moderate Regionally restricted euxassay_005711_03
TS23: upper leg mesenchyme Moderate Regionally restricted euxassay_005711_03
TS23: hand Moderate Regionally restricted euxassay_005711_03
TS23: upper arm mesenchyme Moderate Regionally restricted euxassay_005711_03

Specimen euxassay_005711_04: embryonic day 14.5 (more )
Structure Level Pattern Image Note
TS23: embryo mesenchyme Moderate Regionally restricted euxassay_005711_04
TS23: left lung Strong Regionally restricted euxassay_005711_04
TS23: liver Strong Spotted euxassay_005711_04
TS23: cranium Strong Regionally restricted euxassay_005711_04
TS23: lower lip Moderate Regionally restricted euxassay_005711_04
TS23: upper lip Moderate Regionally restricted euxassay_005711_04
TS23: foot Moderate Regionally restricted euxassay_005711_04
TS23: upper leg mesenchyme Moderate Regionally restricted euxassay_005711_04
TS23: upper arm mesenchyme Moderate Regionally restricted euxassay_005711_04
TS23: hand Moderate Regionally restricted euxassay_005711_04

Specimen euxassay_005711_05: embryonic day 14.5 (more )
Structure Level Pattern Image Note
TS23: embryo mesenchyme Moderate Regionally restricted euxassay_005711_05
TS23: left lung Strong Regionally restricted euxassay_005711_05
TS23: liver Strong Spotted euxassay_005711_05
TS23: cranium Strong Regionally restricted euxassay_005711_05
TS23: lower lip Moderate Regionally restricted euxassay_005711_05
TS23: upper lip Moderate Regionally restricted euxassay_005711_05
TS23: foot Moderate Regionally restricted euxassay_005711_05
TS23: upper leg mesenchyme Moderate Regionally restricted euxassay_005711_05
TS23: hand Moderate Regionally restricted euxassay_005711_05

Specimen euxassay_005711_06: embryonic day 14.5 (more )
Structure Level Pattern Image Note
TS23: embryo mesenchyme Moderate Regionally restricted euxassay_005711_06
TS23: left lung Strong Regionally restricted euxassay_005711_06
TS23: liver Strong Spotted euxassay_005711_06
TS23: cranium Strong Regionally restricted euxassay_005711_06
TS23: lower lip Moderate Regionally restricted euxassay_005711_06
TS23: upper lip Moderate Regionally restricted euxassay_005711_06
TS23: upper leg mesenchyme Moderate Regionally restricted euxassay_005711_06
TS23: foot Moderate Regionally restricted euxassay_005711_06
TS23: hand Moderate Regionally restricted euxassay_005711_06

Specimen euxassay_005711_07: embryonic day 14.5 (more )
Structure Level Pattern Image Note
TS23: embryo mesenchyme Moderate Regionally restricted euxassay_005711_07
TS23: left lung Strong Regionally restricted euxassay_005711_07
TS23: liver Strong Spotted euxassay_005711_07
TS23: cranium Strong Regionally restricted euxassay_005711_07
TS23: axial skeleton Strong Regionally restricted euxassay_005711_07
TS23: lower lip Moderate Regionally restricted euxassay_005711_07
TS23: upper lip Moderate Regionally restricted euxassay_005711_07
TS23: clavicle Strong Regionally restricted euxassay_005711_07
TS23: foot Moderate Regionally restricted euxassay_005711_07
TS23: upper leg mesenchyme Moderate Regionally restricted euxassay_005711_07

Specimen euxassay_005711_08: embryonic day 14.5 (more )
Structure Level Pattern Image Note
TS23: embryo mesenchyme Moderate Regionally restricted euxassay_005711_08
TS23: left lung Strong Regionally restricted euxassay_005711_08
TS23: liver Strong Spotted euxassay_005711_08
TS23: cranium Strong Regionally restricted euxassay_005711_08
TS23: axial skeleton Strong Regionally restricted euxassay_005711_08
TS23: lower lip Moderate Regionally restricted euxassay_005711_08
TS23: upper lip Moderate Regionally restricted euxassay_005711_08
TS23: naris Strong Regionally restricted euxassay_005711_08
TS23: turbinate bone primordium Strong Regionally restricted euxassay_005711_08
TS23: sternum Strong Regionally restricted euxassay_005711_08
TS23: foot Moderate Regionally restricted euxassay_005711_08
TS23: upper leg mesenchyme Moderate Regionally restricted euxassay_005711_08

Specimen euxassay_005711_09: embryonic day 14.5 (more )
Structure Level Pattern Image Note
TS23: embryo mesenchyme Moderate Regionally restricted euxassay_005711_09
TS23: left lung Strong Regionally restricted euxassay_005711_09
TS23: liver Strong Spotted euxassay_005711_09
TS23: cranium Strong Regionally restricted euxassay_005711_09
TS23: axial skeleton Strong Regionally restricted euxassay_005711_09
TS23: lower lip Moderate Regionally restricted euxassay_005711_09
TS23: upper lip Moderate Regionally restricted euxassay_005711_09
TS23: naris Strong Regionally restricted euxassay_005711_09
TS23: turbinate bone primordium Strong Regionally restricted euxassay_005711_09
TS23: sternum Strong Regionally restricted euxassay_005711_09
TS23: foot Moderate Regionally restricted euxassay_005711_09

Specimen euxassay_005711_10: embryonic day 14.5 (more )
Structure Level Pattern Image Note
TS23: embryo mesenchyme Moderate Regionally restricted euxassay_005711_10
TS23: right lung Strong Regionally restricted euxassay_005711_10
TS23: liver Strong Spotted euxassay_005711_10
TS23: cranium Strong Regionally restricted euxassay_005711_10
TS23: axial skeleton Strong Regionally restricted euxassay_005711_10
TS23: axial skeleton tail region Strong Regionally restricted euxassay_005711_10
TS23: lower lip Moderate Regionally restricted euxassay_005711_10
TS23: upper lip Moderate Regionally restricted euxassay_005711_10
TS23: naris Strong Regionally restricted euxassay_005711_10
TS23: turbinate bone primordium Strong Regionally restricted euxassay_005711_10
TS23: sternum Strong Regionally restricted euxassay_005711_10

Specimen euxassay_005711_11: embryonic day 14.5 (more )
Structure Level Pattern Image Note
TS23: embryo mesenchyme Moderate Regionally restricted euxassay_005711_11
TS23: right lung Strong Regionally restricted euxassay_005711_11
TS23: liver Strong Spotted euxassay_005711_11
TS23: cranium Strong Regionally restricted euxassay_005711_11
TS23: axial skeleton Strong Regionally restricted euxassay_005711_11
TS23: axial skeleton tail region Strong Regionally restricted euxassay_005711_11
TS23: lower lip Moderate Regionally restricted euxassay_005711_11
TS23: upper lip Moderate Regionally restricted euxassay_005711_11
TS23: turbinate bone primordium Strong Regionally restricted euxassay_005711_11
TS23: naris Strong Regionally restricted euxassay_005711_11
TS23: sternum Strong Regionally restricted euxassay_005711_11

Specimen euxassay_005711_12: embryonic day 14.5 (more )
Structure Level Pattern Image Note
TS23: embryo mesenchyme Moderate Regionally restricted euxassay_005711_12
TS23: right lung Strong Regionally restricted euxassay_005711_12
TS23: liver Strong Spotted euxassay_005711_12
TS23: cranium Strong Regionally restricted euxassay_005711_12
TS23: axial skeleton tail region Strong Regionally restricted euxassay_005711_12
TS23: lower lip Moderate Regionally restricted euxassay_005711_12
TS23: upper lip Moderate Regionally restricted euxassay_005711_12
TS23: naris Strong Regionally restricted euxassay_005711_12
TS23: turbinate bone primordium Strong Regionally restricted euxassay_005711_12
TS23: sternum Strong Regionally restricted euxassay_005711_12

Specimen euxassay_005711_13: embryonic day 14.5 (more )
Structure Level Pattern Image Note
TS23: embryo mesenchyme Moderate Regionally restricted euxassay_005711_13
TS23: right lung Strong Regionally restricted euxassay_005711_13
TS23: liver Strong Spotted euxassay_005711_13
TS23: cranium Strong Regionally restricted euxassay_005711_13
TS23: axial skeleton tail region Strong Regionally restricted euxassay_005711_13
TS23: lower lip Moderate Regionally restricted euxassay_005711_13
TS23: upper lip Moderate Regionally restricted euxassay_005711_13
TS23: naris Strong Regionally restricted euxassay_005711_13
TS23: turbinate bone primordium Strong Regionally restricted euxassay_005711_13
TS23: sternum Strong Regionally restricted euxassay_005711_13

Specimen euxassay_005711_14: embryonic day 14.5 (more )
Structure Level Pattern Image Note
TS23: embryo mesenchyme Moderate Regionally restricted euxassay_005711_14
TS23: right lung Strong Regionally restricted euxassay_005711_14
TS23: liver Strong Spotted euxassay_005711_14
TS23: cranium Strong Regionally restricted euxassay_005711_14
TS23: axial skeleton tail region Strong Regionally restricted euxassay_005711_14
TS23: lower lip Moderate Regionally restricted euxassay_005711_14
TS23: upper lip Moderate Regionally restricted euxassay_005711_14
TS23: naris Strong Regionally restricted euxassay_005711_14
TS23: turbinate bone primordium Strong Regionally restricted euxassay_005711_14
TS23: clavicle Strong Regionally restricted euxassay_005711_14
TS23: sternum Strong Regionally restricted euxassay_005711_14

Specimen euxassay_005711_15: embryonic day 14.5 (more )
Structure Level Pattern Image Note
TS23: embryo mesenchyme Moderate Regionally restricted euxassay_005711_15
TS23: right lung Strong Regionally restricted euxassay_005711_15
TS23: liver Strong Spotted euxassay_005711_15
TS23: cranium Strong Regionally restricted euxassay_005711_15
TS23: lower lip Moderate Regionally restricted euxassay_005711_15
TS23: upper lip Moderate Regionally restricted euxassay_005711_15
TS23: naris Strong Regionally restricted euxassay_005711_15
TS23: turbinate bone primordium Strong Regionally restricted euxassay_005711_15
TS23: sternum Strong Regionally restricted euxassay_005711_15
TS23: upper leg mesenchyme Moderate Regionally restricted euxassay_005711_15

Specimen euxassay_005711_16: embryonic day 14.5 (more )
Structure Level Pattern Image Note
TS23: embryo mesenchyme Moderate Regionally restricted euxassay_005711_16
TS23: right lung Strong Regionally restricted euxassay_005711_16
TS23: liver Strong Spotted euxassay_005711_16
TS23: cranium Strong Regionally restricted euxassay_005711_16
TS23: lower lip Moderate Regionally restricted euxassay_005711_16
TS23: upper lip Moderate Regionally restricted euxassay_005711_16
TS23: naris Strong Regionally restricted euxassay_005711_16
TS23: turbinate bone primordium Strong Regionally restricted euxassay_005711_16
TS23: sternum Strong Regionally restricted euxassay_005711_16
TS23: upper leg mesenchyme Moderate Regionally restricted euxassay_005711_16

Specimen euxassay_005711_17: embryonic day 14.5 (more )
Structure Level Pattern Image Note
TS23: embryo mesenchyme Moderate Regionally restricted euxassay_005711_17
TS23: right lung Strong Regionally restricted euxassay_005711_17
TS23: liver Strong Spotted euxassay_005711_17
TS23: cranium Strong Regionally restricted euxassay_005711_17
TS23: lower lip Moderate Regionally restricted euxassay_005711_17
TS23: upper lip Moderate Regionally restricted euxassay_005711_17
TS23: naris Strong Regionally restricted euxassay_005711_17
TS23: turbinate bone primordium Strong Regionally restricted euxassay_005711_17
TS23: foot Moderate Regionally restricted euxassay_005711_17
TS23: upper leg mesenchyme Moderate Regionally restricted euxassay_005711_17

Specimen euxassay_005711_18: embryonic day 14.5 (more )
Structure Level Pattern Image Note
TS23: embryo mesenchyme Moderate Regionally restricted euxassay_005711_18
TS23: right lung Strong Regionally restricted euxassay_005711_18
TS23: liver Strong Spotted euxassay_005711_18
TS23: cranium Strong Regionally restricted euxassay_005711_18
TS23: lower lip Moderate Regionally restricted euxassay_005711_18
TS23: upper lip Moderate Regionally restricted euxassay_005711_18
TS23: turbinate bone primordium Strong Regionally restricted euxassay_005711_18
TS23: naris Strong Regionally restricted euxassay_005711_18
TS23: foot Moderate Regionally restricted euxassay_005711_18
TS23: lower leg mesenchyme Moderate Regionally restricted euxassay_005711_18
TS23: upper leg mesenchyme Moderate Regionally restricted euxassay_005711_18

Specimen euxassay_005711_19: embryonic day 14.5 (more )
Structure Level Pattern Image Note
TS23: embryo mesenchyme Moderate Regionally restricted euxassay_005711_19
TS23: right lung Strong Regionally restricted euxassay_005711_19
TS23: liver Strong Spotted euxassay_005711_19
TS23: cranium Strong Regionally restricted euxassay_005711_19
TS23: lower lip Moderate Regionally restricted euxassay_005711_19
TS23: upper lip Moderate Regionally restricted euxassay_005711_19
TS23: turbinate bone primordium Strong Regionally restricted euxassay_005711_19
TS23: foot Moderate Regionally restricted euxassay_005711_19
TS23: upper leg mesenchyme Moderate Regionally restricted euxassay_005711_19
TS23: lower leg mesenchyme Moderate Regionally restricted euxassay_005711_19

Specimen euxassay_005711_20: embryonic day 14.5 (more )
Structure Level Pattern Image Note
TS23: embryo mesenchyme Moderate Regionally restricted euxassay_005711_20
TS23: right lung Strong Regionally restricted euxassay_005711_20
TS23: liver Strong Spotted euxassay_005711_20
TS23: cranium Strong Regionally restricted euxassay_005711_20
TS23: lower lip Moderate Regionally restricted euxassay_005711_20
TS23: upper lip Moderate Regionally restricted euxassay_005711_20
TS23: turbinate bone primordium Strong Regionally restricted euxassay_005711_20
TS23: foot Moderate Regionally restricted euxassay_005711_20
TS23: upper leg mesenchyme Moderate Regionally restricted euxassay_005711_20

Specimen euxassay_005711_21: embryonic day 14.5 (more )
Structure Level Pattern Image Note
TS23: embryo mesenchyme Moderate Regionally restricted euxassay_005711_21
TS23: liver Moderate Spotted euxassay_005711_21
TS23: cranium Strong Regionally restricted euxassay_005711_21
TS23: lower lip Moderate Regionally restricted euxassay_005711_21
TS23: upper lip Moderate Regionally restricted euxassay_005711_21
TS23: turbinate bone primordium Strong Regionally restricted euxassay_005711_21
TS23: lower leg mesenchyme Moderate Regionally restricted euxassay_005711_21
TS23: upper leg mesenchyme Moderate Regionally restricted euxassay_005711_21
TS23: foot Moderate Regionally restricted euxassay_005711_21

Specimen euxassay_005711_22: embryonic day 14.5 (more )
Structure Level Pattern Image Note
TS23: embryo mesenchyme Moderate Regionally restricted euxassay_005711_22
TS23: liver Moderate Spotted euxassay_005711_22
TS23: cranium Strong Regionally restricted euxassay_005711_22
TS23: lower lip Moderate Regionally restricted euxassay_005711_22
TS23: upper lip Moderate Regionally restricted euxassay_005711_22
TS23: lower leg mesenchyme Moderate Regionally restricted euxassay_005711_22


Contributing Projects:
Mouse Genome Database (MGD), Gene Expression Database (GXD), Mouse Models of Human Cancer database (MMHCdb) (formerly Mouse Tumor Biology (MTB)), Gene Ontology (GO)
Citing These Resources
Funding Information
Warranty Disclaimer, Privacy Notice, Licensing, & Copyright
Send questions and comments to User Support.
last database update
01/20/2026
MGI 6.24
The Jackson Laboratory