About   Help   FAQ
Gene Expression Data
Assay Details
Assay
Reference: J:153498 Diez-Roux G, et al., A high-resolution anatomical atlas of the transcriptome in the mouse embryo. PLoS Biol. 2011;9(1):e1000582
Assay type: RNA in situ
MGI Accession ID: MGI:4828688
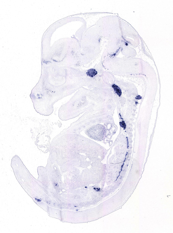
Gene symbol: Th
Gene name: tyrosine hydroxylase
Probe: T50020
Probe preparation: Antisense labelled with digoxigenin RNA
Visualized with: Alkaline phosphatase
Assay notes: Cryosections of fresh frozen material were fixed in 4% paraformaldehyde for 20 min. before further processing. A tyramide-biotin/streptavidin amplification step was included in the in situ hybridization procedure.
Results
Specimen euxassay_007178_01: embryonic day 14.5 (more )
Structure Level Pattern Image Note
TS23: telencephalon mantle layer Strong Single cells euxassay_007178_01

Specimen euxassay_007178_02: embryonic day 14.5 (more )
Structure Level Pattern Image Note
TS23: trigeminal ganglion Strong Regionally restricted euxassay_007178_02
TS23: telencephalon mantle layer Strong Single cells euxassay_007178_02

Specimen euxassay_007178_03: embryonic day 14.5 (more )
Structure Level Pattern Image Note
TS23: trigeminal ganglion Strong Regionally restricted euxassay_007178_03
TS23: telencephalon mantle layer Strong Single cells euxassay_007178_03

Specimen euxassay_007178_04: embryonic day 14.5 (more )
Structure Level Pattern Image Note
TS23: trigeminal ganglion Strong Regionally restricted euxassay_007178_04
TS23: telencephalon mantle layer Strong Single cells euxassay_007178_04

Specimen euxassay_007178_05: embryonic day 14.5 (more )
Structure Level Pattern Image Note
TS23: trigeminal ganglion Strong Regionally restricted euxassay_007178_05
TS23: telencephalon mantle layer Strong Single cells euxassay_007178_05

Specimen euxassay_007178_06: embryonic day 14.5 (more )
Structure Level Pattern Image Note
TS23: trigeminal ganglion Strong Regionally restricted euxassay_007178_06
TS23: telencephalon mantle layer Strong Single cells euxassay_007178_06

Specimen euxassay_007178_07: embryonic day 14.5 (more )
Structure Level Pattern Image Note
TS23: trigeminal ganglion Strong Regionally restricted euxassay_007178_07
TS23: telencephalon mantle layer Strong Single cells euxassay_007178_07
TS23: metencephalon Moderate Single cells euxassay_007178_07

Specimen euxassay_007178_08: embryonic day 14.5 (more )
Structure Level Pattern Image Note
TS23: trigeminal ganglion Strong Regionally restricted euxassay_007178_08
TS23: glossopharyngeal ganglion Strong Regionally restricted euxassay_007178_08
TS23: telencephalon mantle layer Strong Single cells euxassay_007178_08
TS23: diencephalon lateral wall mantle layer Moderate Single cells euxassay_007178_08
TS23: metencephalon Strong Regionally restricted euxassay_007178_08

Specimen euxassay_007178_09: embryonic day 14.5 (more )
Structure Level Pattern Image Note
TS23: trigeminal ganglion Strong Regionally restricted euxassay_007178_09
TS23: glossopharyngeal ganglion Strong Regionally restricted euxassay_007178_09
TS23: telencephalon mantle layer Strong Single cells euxassay_007178_09
TS23: diencephalon lateral wall mantle layer Moderate Single cells euxassay_007178_09
TS23: metencephalon Strong Regionally restricted euxassay_007178_09
TS23: medulla oblongata Strong Regionally restricted euxassay_007178_09

Specimen euxassay_007178_10: embryonic day 14.5 (more )
Structure Level Pattern Image Note
TS23: trigeminal ganglion Strong Regionally restricted euxassay_007178_10
TS23: glossopharyngeal ganglion Strong Regionally restricted euxassay_007178_10
TS23: vagus ganglion Moderate Regionally restricted euxassay_007178_10
TS23: dorsal root ganglion Strong Regionally restricted euxassay_007178_10
TS23: telencephalon mantle layer Strong Single cells euxassay_007178_10
TS23: diencephalon lateral wall mantle layer Strong Single cells euxassay_007178_10
TS23: midbrain mantle layer Strong Regionally restricted euxassay_007178_10
TS23: medulla oblongata Strong Regionally restricted euxassay_007178_10
TS23: metencephalon Strong Regionally restricted euxassay_007178_10

Specimen euxassay_007178_11: embryonic day 14.5 (more )
Structure Level Pattern Image Note
TS23: vagus ganglion Moderate Regionally restricted euxassay_007178_11
TS23: trigeminal ganglion Strong Regionally restricted euxassay_007178_11
TS23: glossopharyngeal ganglion Strong Regionally restricted euxassay_007178_11
TS23: dorsal root ganglion Strong Regionally restricted euxassay_007178_11
TS23: telencephalon mantle layer Strong Single cells euxassay_007178_11
TS23: olfactory lobe Strong Single cells euxassay_007178_11
TS23: diencephalon lateral wall mantle layer Strong Single cells euxassay_007178_11
TS23: midbrain mantle layer Strong Regionally restricted euxassay_007178_11
TS23: medulla oblongata Strong Single cells euxassay_007178_11
TS23: metencephalon Strong Single cells euxassay_007178_11

Specimen euxassay_007178_12: embryonic day 14.5 (more )
Structure Level Pattern Image Note
TS23: trigeminal ganglion Strong Regionally restricted euxassay_007178_12
TS23: dorsal root ganglion Strong Regionally restricted euxassay_007178_12
TS23: cervical ganglion Strong Regionally restricted euxassay_007178_12
TS23: heart Moderate Spotted euxassay_007178_12
TS23: telencephalon mantle layer Strong Single cells euxassay_007178_12
TS23: telencephalon ventricular layer Strong Single cells euxassay_007178_12
TS23: diencephalon lateral wall mantle layer Strong Single cells euxassay_007178_12
TS23: midbrain mantle layer Strong Regionally restricted euxassay_007178_12
TS23: medulla oblongata Strong Single cells euxassay_007178_12
TS23: metencephalon Strong Single cells euxassay_007178_12

Specimen euxassay_007178_13: embryonic day 14.5 (more )
Structure Level Pattern Image Note
TS23: dorsal root ganglion Strong Regionally restricted euxassay_007178_13
TS23: cervical ganglion Strong Regionally restricted euxassay_007178_13
TS23: adrenal gland Strong Regionally restricted euxassay_007178_13
TS23: heart Moderate Spotted euxassay_007178_13
TS23: telencephalon mantle layer Strong Single cells euxassay_007178_13
TS23: olfactory lobe Strong Single cells euxassay_007178_13
TS23: diencephalon lateral wall mantle layer Strong Single cells euxassay_007178_13
TS23: midbrain mantle layer Strong Regionally restricted euxassay_007178_13
TS23: medulla oblongata Strong Single cells euxassay_007178_13
TS23: metencephalon Strong Single cells euxassay_007178_13

Specimen euxassay_007178_14: embryonic day 14.5 (more )
Structure Level Pattern Image Note
TS23: dorsal root ganglion Strong Regionally restricted euxassay_007178_14
TS23: cervico-thoracic ganglion Strong Regionally restricted euxassay_007178_14
TS23: adrenal gland Strong Regionally restricted euxassay_007178_14
TS23: heart Moderate Spotted euxassay_007178_14
TS23: telencephalon mantle layer Strong Single cells euxassay_007178_14
TS23: olfactory lobe Strong Single cells euxassay_007178_14
TS23: diencephalon lateral wall mantle layer Strong Single cells euxassay_007178_14
TS23: midbrain mantle layer Strong Regionally restricted euxassay_007178_14
TS23: medulla oblongata Strong Single cells euxassay_007178_14

Specimen euxassay_007178_15: embryonic day 14.5 (more )
Structure Level Pattern Image Note
TS23: dorsal root ganglion Strong Regionally restricted euxassay_007178_15
TS23: cervico-thoracic ganglion Strong Regionally restricted euxassay_007178_15
TS23: adrenal gland Strong Regionally restricted euxassay_007178_15
TS23: heart Moderate Spotted euxassay_007178_15
TS23: telencephalon mantle layer Strong Single cells euxassay_007178_15
TS23: olfactory lobe Strong Single cells euxassay_007178_15
TS23: diencephalon lateral wall mantle layer Strong Single cells euxassay_007178_15
TS23: midbrain mantle layer Strong Regionally restricted euxassay_007178_15
TS23: medulla oblongata Strong Single cells euxassay_007178_15

Specimen euxassay_007178_16: embryonic day 14.5 (more )
Structure Level Pattern Image Note
TS23: dorsal root ganglion Strong Regionally restricted euxassay_007178_16
TS23: cervico-thoracic ganglion Strong Regionally restricted euxassay_007178_16
TS23: adrenal gland Strong Regionally restricted euxassay_007178_16
TS23: heart Moderate Spotted euxassay_007178_16
TS23: telencephalon mantle layer Strong Single cells euxassay_007178_16
TS23: olfactory lobe Strong Single cells euxassay_007178_16
TS23: midbrain mantle layer Strong Regionally restricted euxassay_007178_16

Specimen euxassay_007178_17: embryonic day 14.5 (more )
Structure Level Pattern Image Note
TS23: dorsal root ganglion Strong Regionally restricted euxassay_007178_17
TS23: cervico-thoracic ganglion Strong Regionally restricted euxassay_007178_17
TS23: thoracic ganglion Strong Regionally restricted euxassay_007178_17
TS23: heart Moderate Spotted euxassay_007178_17
TS23: telencephalon mantle layer Strong Single cells euxassay_007178_17
TS23: midbrain mantle layer Strong Regionally restricted euxassay_007178_17
TS23: medulla oblongata Strong Regionally restricted euxassay_007178_17

Specimen euxassay_007178_18: embryonic day 14.5 (more )
Structure Level Pattern Image Note
TS23: dorsal root ganglion Strong Regionally restricted euxassay_007178_18
TS23: thoracic ganglion Strong Regionally restricted euxassay_007178_18
TS23: esophagus Strong Regionally restricted euxassay_007178_18
TS23: heart Moderate Spotted euxassay_007178_18
TS23: telencephalon mantle layer Strong Single cells euxassay_007178_18
TS23: diencephalon lateral wall mantle layer Strong Single cells euxassay_007178_18
TS23: midbrain mantle layer Strong Regionally restricted euxassay_007178_18
TS23: spinal cord floor plate Strong Regionally restricted euxassay_007178_18

Specimen euxassay_007178_19: embryonic day 14.5 (more )
Structure Level Pattern Image Note
TS23: dorsal root ganglion Strong Regionally restricted euxassay_007178_19
TS23: thoracic ganglion Strong Regionally restricted euxassay_007178_19
TS23: esophagus Strong Regionally restricted euxassay_007178_19
TS23: heart Moderate Spotted euxassay_007178_19
TS23: telencephalon mantle layer Strong Single cells euxassay_007178_19
TS23: olfactory lobe Strong Single cells euxassay_007178_19
TS23: diencephalon lateral wall mantle layer Strong Single cells euxassay_007178_19
TS23: midbrain mantle layer Strong Regionally restricted euxassay_007178_19
TS23: spinal cord floor plate Strong Regionally restricted euxassay_007178_19

Specimen euxassay_007178_20: embryonic day 14.5 (more )
Structure Level Pattern Image Note
TS23: thoracic ganglion Strong Regionally restricted euxassay_007178_20
TS23: esophagus Strong Regionally restricted euxassay_007178_20
TS23: heart Moderate Spotted euxassay_007178_20
TS23: olfactory lobe Strong Single cells euxassay_007178_20
TS23: telencephalon mantle layer Strong Single cells euxassay_007178_20
TS23: diencephalon lateral wall mantle layer Strong Single cells euxassay_007178_20
TS23: midbrain mantle layer Strong Regionally restricted euxassay_007178_20
TS23: medulla oblongata Moderate Single cells euxassay_007178_20
TS23: metencephalon Moderate Single cells euxassay_007178_20

Specimen euxassay_007178_21: embryonic day 14.5 (more )
Structure Level Pattern Image Note
TS23: thoracic ganglion Strong Regionally restricted euxassay_007178_21
TS23: heart Moderate Spotted euxassay_007178_21
TS23: telencephalon mantle layer Strong Single cells euxassay_007178_21
TS23: olfactory lobe Strong Single cells euxassay_007178_21
TS23: diencephalon lateral wall mantle layer Moderate Single cells euxassay_007178_21
TS23: medulla oblongata Moderate Single cells euxassay_007178_21
TS23: metencephalon Moderate Single cells euxassay_007178_21

Specimen euxassay_007178_22: embryonic day 14.5 (more )
Structure Level Pattern Image Note
TS23: thoracic ganglion Strong Regionally restricted euxassay_007178_22
TS23: heart Moderate Spotted euxassay_007178_22
TS23: telencephalon mantle layer Strong Single cells euxassay_007178_22
TS23: olfactory lobe Strong Single cells euxassay_007178_22
TS23: diencephalon lateral wall mantle layer Moderate Single cells euxassay_007178_22
TS23: midbrain mantle layer Moderate Regionally restricted euxassay_007178_22
TS23: medulla oblongata Strong Single cells euxassay_007178_22
TS23: metencephalon Strong Single cells euxassay_007178_22

Specimen euxassay_007178_23: embryonic day 14.5 (more )
Structure Level Pattern Image Note
TS23: trigeminal ganglion Strong Regionally restricted euxassay_007178_23
TS23: thoracic ganglion Strong Regionally restricted euxassay_007178_23
TS23: cervical ganglion Strong Regionally restricted euxassay_007178_23
TS23: heart Moderate Spotted euxassay_007178_23
TS23: olfactory lobe Strong Single cells euxassay_007178_23
TS23: telencephalon mantle layer Strong Single cells euxassay_007178_23
TS23: diencephalon lateral wall mantle layer Moderate Single cells euxassay_007178_23
TS23: midbrain mantle layer Strong Regionally restricted euxassay_007178_23
TS23: medulla oblongata Strong Single cells euxassay_007178_23
TS23: metencephalon Strong Single cells euxassay_007178_23
TS23: spinal cord floor plate Strong Regionally restricted euxassay_007178_23

Specimen euxassay_007178_24: embryonic day 14.5 (more )
Structure Level Pattern Image Note
TS23: trigeminal ganglion Strong Regionally restricted euxassay_007178_24
TS23: dorsal root ganglion Strong Regionally restricted euxassay_007178_24
TS23: thoracic ganglion Strong Regionally restricted euxassay_007178_24
TS23: cervico-thoracic ganglion Strong Regionally restricted euxassay_007178_24
TS23: cervical ganglion Strong Regionally restricted euxassay_007178_24
TS23: adrenal gland Strong Regionally restricted euxassay_007178_24
TS23: heart Moderate Spotted euxassay_007178_24
TS23: telencephalon mantle layer Strong Single cells euxassay_007178_24
TS23: olfactory lobe Strong Single cells euxassay_007178_24
TS23: diencephalon lateral wall mantle layer Moderate Single cells euxassay_007178_24
TS23: midbrain mantle layer Strong Regionally restricted euxassay_007178_24
TS23: medulla oblongata Strong Single cells euxassay_007178_24
TS23: metencephalon Strong Single cells euxassay_007178_24

Specimen euxassay_007178_25: embryonic day 14.5 (more )
Structure Level Pattern Image Note
TS23: trigeminal ganglion Strong Regionally restricted euxassay_007178_25
TS23: dorsal root ganglion Strong Regionally restricted euxassay_007178_25
TS23: cervico-thoracic ganglion Strong Regionally restricted euxassay_007178_25
TS23: cervical ganglion Strong Regionally restricted euxassay_007178_25
TS23: adrenal gland Strong Regionally restricted euxassay_007178_25
TS23: heart Moderate Spotted euxassay_007178_25
TS23: telencephalon mantle layer Strong Single cells euxassay_007178_25
TS23: midbrain mantle layer Strong Regionally restricted euxassay_007178_25
TS23: metencephalon Strong Regionally restricted euxassay_007178_25

Specimen euxassay_007178_26: embryonic day 14.5 (more )
Structure Level Pattern Image Note
TS23: trigeminal ganglion Strong Regionally restricted euxassay_007178_26
TS23: vagus ganglion Moderate Regionally restricted euxassay_007178_26
TS23: glossopharyngeal ganglion Strong Regionally restricted euxassay_007178_26
TS23: dorsal root ganglion Strong Regionally restricted euxassay_007178_26
TS23: adrenal gland Strong Regionally restricted euxassay_007178_26
TS23: heart Moderate Spotted euxassay_007178_26
TS23: telencephalon mantle layer Strong Single cells euxassay_007178_26
TS23: midbrain mantle layer Moderate Regionally restricted euxassay_007178_26
TS23: metencephalon Strong Single cells euxassay_007178_26
TS23: medulla oblongata Strong Single cells euxassay_007178_26

Specimen euxassay_007178_27: embryonic day 14.5 (more )
Structure Level Pattern Image Note
TS23: trigeminal ganglion Strong Regionally restricted euxassay_007178_27
TS23: glossopharyngeal ganglion Strong Regionally restricted euxassay_007178_27
TS23: dorsal root ganglion Strong Regionally restricted euxassay_007178_27
TS23: adrenal gland Strong Regionally restricted euxassay_007178_27
TS23: telencephalon mantle layer Strong Single cells euxassay_007178_27

Specimen euxassay_007178_28: embryonic day 14.5 (more )
Structure Level Pattern Image Note
TS23: trigeminal ganglion Strong Regionally restricted euxassay_007178_28
TS23: glossopharyngeal ganglion Moderate Regionally restricted euxassay_007178_28
TS23: dorsal root ganglion Strong Regionally restricted euxassay_007178_28
TS23: adrenal gland Strong Regionally restricted euxassay_007178_28
TS23: telencephalon mantle layer Strong Single cells euxassay_007178_28


Contributing Projects:
Mouse Genome Database (MGD), Gene Expression Database (GXD), Mouse Models of Human Cancer database (MMHCdb) (formerly Mouse Tumor Biology (MTB)), Gene Ontology (GO)
Citing These Resources
Funding Information
Warranty Disclaimer, Privacy Notice, Licensing, & Copyright
Send questions and comments to User Support.
last database update
12/30/2025
MGI 6.24
The Jackson Laboratory