About   Help   FAQ
Gene Expression Data
Assay Details
Assay
Reference: J:153498 Diez-Roux G, et al., A high-resolution anatomical atlas of the transcriptome in the mouse embryo. PLoS Biol. 2011;9(1):e1000582
Assay type: RNA in situ
MGI Accession ID: MGI:4828676
Gene symbol: Tg
Gene name: thyroglobulin
Probe: T37133
Probe preparation: Antisense labelled with digoxigenin RNA
Visualized with: Alkaline phosphatase
Assay notes: Cryosections of fresh frozen material were fixed in 4% paraformaldehyde for 20 min. before further processing. A tyramide-biotin/streptavidin amplification step was included in the in situ hybridization procedure.
Results
Specimen euxassay_011756_11: embryonic day 14.5 (more )
Structure Level Pattern Image Note
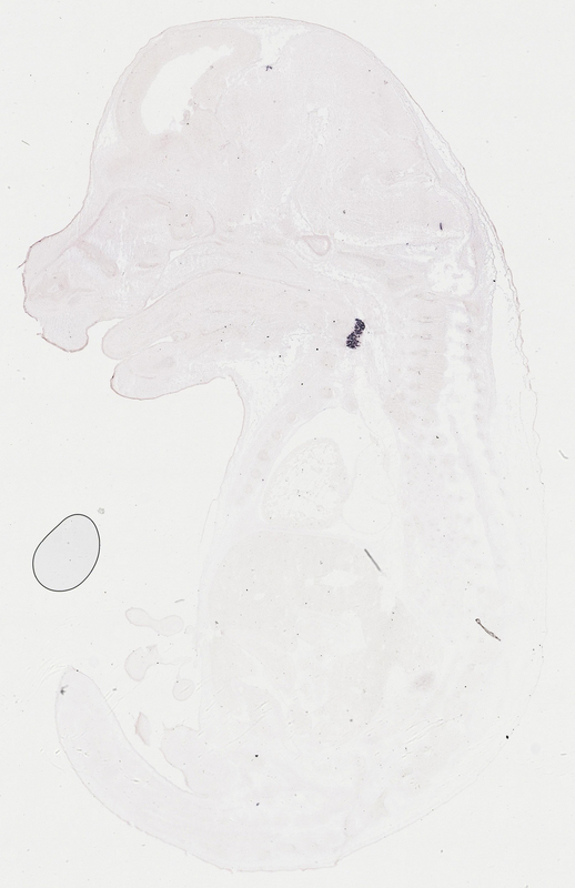
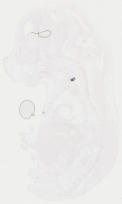
TS23: thyroid gland Strong Uniform euxassay_011756_11

Specimen euxassay_011756_12: embryonic day 14.5 (more )
Structure Level Pattern Image Note
TS23: thyroid gland Strong Uniform euxassay_011756_12

Specimen euxassay_011756_13: embryonic day 14.5 (more )
Structure Level Pattern Image Note
TS23: thyroid gland Strong Uniform euxassay_011756_13

Specimen euxassay_011756_15: embryonic day 14.5 (more )
Structure Level Pattern Image Note
TS23: thyroid gland Strong Uniform euxassay_011756_15

Specimen euxassay_011756_16: embryonic day 14.5 (more )
Structure Level Pattern Image Note
TS23: thyroid gland Strong Uniform euxassay_011756_16

Specimen euxassay_011756_17: embryonic day 14.5 (more )
Structure Level Pattern Image Note
TS23: thyroid gland Strong Uniform euxassay_011756_17

Specimen euxassay_011756_18: embryonic day 14.5 (more )
Structure Level Pattern Image Note
TS23: thyroid gland Strong Uniform euxassay_011756_18


Contributing Projects:
Mouse Genome Database (MGD), Gene Expression Database (GXD), Mouse Models of Human Cancer database (MMHCdb) (formerly Mouse Tumor Biology (MTB)), Gene Ontology (GO)
Citing These Resources
Funding Information
Warranty Disclaimer, Privacy Notice, Licensing, & Copyright
Send questions and comments to User Support.
last database update
03/24/2026
MGI 6.24
The Jackson Laboratory