About   Help   FAQ
Gene Expression Data
Assay Details
Assay
Reference: J:153498 Diez-Roux G, et al., A high-resolution anatomical atlas of the transcriptome in the mouse embryo. PLoS Biol. 2011;9(1):e1000582
Assay type: RNA in situ
MGI Accession ID: MGI:4828675
Gene symbol: Tfrc
Gene name: transferrin receptor
Probe: MGC clone 62189
Probe preparation: Antisense labelled with digoxigenin RNA
Visualized with: Alkaline phosphatase
Assay notes: Cryosections of fresh frozen material were fixed in 4% paraformaldehyde for 20 min. before further processing. A tyramide-biotin/streptavidin amplification step was included in the in situ hybridization procedure.
Results
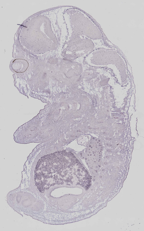
Specimen euxassay_005557_01: embryonic day 14.5 (more )
Structure Level Pattern Image Note
TS23: liver left lobe Strong Regionally restricted euxassay_005557_01
TS23: left lung Weak Regionally restricted euxassay_005557_01
TS23: spinal cord meninges Moderate Regionally restricted euxassay_005557_01
TS23: midbrain meninges Moderate Regionally restricted euxassay_005557_01
TS23: hindbrain meninges Moderate Regionally restricted euxassay_005557_01
TS23: telencephalon meninges Moderate Regionally restricted euxassay_005557_01

Specimen euxassay_005557_02: embryonic day 14.5 (more )
Structure Level Pattern Image Note
TS23: liver left lobe Strong Regionally restricted euxassay_005557_02
TS23: left lung Weak Regionally restricted euxassay_005557_02
TS23: spinal cord meninges Moderate Regionally restricted euxassay_005557_02
TS23: midbrain meninges Moderate Regionally restricted euxassay_005557_02
TS23: hindbrain meninges Moderate Regionally restricted euxassay_005557_02
TS23: telencephalon meninges Moderate Regionally restricted euxassay_005557_02
TS23: diencephalon meninges Moderate Regionally restricted euxassay_005557_02

Specimen euxassay_005557_03: embryonic day 14.5 (more )
Structure Level Pattern Image Note
TS23: liver left lobe Strong Regionally restricted euxassay_005557_03
TS23: left lung Weak Regionally restricted euxassay_005557_03
TS23: spinal cord meninges Moderate Regionally restricted euxassay_005557_03
TS23: midbrain meninges Moderate Regionally restricted euxassay_005557_03
TS23: hindbrain meninges Moderate Regionally restricted euxassay_005557_03
TS23: telencephalon meninges Moderate Regionally restricted euxassay_005557_03
TS23: diencephalon meninges Moderate Regionally restricted euxassay_005557_03

Specimen euxassay_005557_04: embryonic day 14.5 (more )
Structure Level Pattern Image Note
TS23: liver left lobe Strong Regionally restricted euxassay_005557_04
TS23: left lung Weak Regionally restricted euxassay_005557_04
TS23: stomach Weak Regionally restricted euxassay_005557_04
TS23: spinal cord meninges Moderate Regionally restricted euxassay_005557_04
TS23: midbrain meninges Moderate Regionally restricted euxassay_005557_04
TS23: hindbrain meninges Moderate Regionally restricted euxassay_005557_04
TS23: telencephalon meninges Moderate Regionally restricted euxassay_005557_04
TS23: diencephalon meninges Moderate Regionally restricted euxassay_005557_04

Specimen euxassay_005557_05: embryonic day 14.5 (more )
Structure Level Pattern Image Note
TS23: liver left lobe Strong Regionally restricted euxassay_005557_05
TS23: left lung Weak Regionally restricted euxassay_005557_05
TS23: stomach Weak Regionally restricted euxassay_005557_05
TS23: spinal cord meninges Moderate Regionally restricted euxassay_005557_05
TS23: midbrain meninges Moderate Regionally restricted euxassay_005557_05
TS23: hindbrain meninges Moderate Regionally restricted euxassay_005557_05
TS23: telencephalon meninges Moderate Regionally restricted euxassay_005557_05
TS23: diencephalon meninges Moderate Regionally restricted euxassay_005557_05

Specimen euxassay_005557_06: embryonic day 14.5 (more )
Structure Level Pattern Image Note
TS23: liver left lobe Strong Regionally restricted euxassay_005557_06
TS23: left lung Weak Regionally restricted euxassay_005557_06
TS23: stomach Weak Regionally restricted euxassay_005557_06
TS23: spinal cord meninges Moderate Regionally restricted euxassay_005557_06
TS23: midbrain meninges Moderate Regionally restricted euxassay_005557_06
TS23: hindbrain meninges Moderate Regionally restricted euxassay_005557_06
TS23: telencephalon meninges Moderate Regionally restricted euxassay_005557_06
TS23: diencephalon meninges Moderate Regionally restricted euxassay_005557_06
TS23: submandibular gland primordium Weak Regionally restricted euxassay_005557_06

Specimen euxassay_005557_07: embryonic day 14.5 (more )
Structure Level Pattern Image Note
TS23: liver left lobe Strong Regionally restricted euxassay_005557_07
TS23: left lung Weak Regionally restricted euxassay_005557_07
TS23: stomach Weak Regionally restricted euxassay_005557_07
TS23: spinal cord meninges Moderate Regionally restricted euxassay_005557_07
TS23: midbrain meninges Moderate Regionally restricted euxassay_005557_07
TS23: hindbrain meninges Moderate Regionally restricted euxassay_005557_07
TS23: telencephalon meninges Moderate Regionally restricted euxassay_005557_07
TS23: diencephalon meninges Moderate Regionally restricted euxassay_005557_07
TS23: submandibular gland primordium Weak Regionally restricted euxassay_005557_07

Specimen euxassay_005557_08: embryonic day 14.5 (more )
Structure Level Pattern Image Note
TS23: liver left lobe Strong Regionally restricted euxassay_005557_08
TS23: left lung Weak Regionally restricted euxassay_005557_08
TS23: stomach Weak Regionally restricted euxassay_005557_08
TS23: spinal cord meninges Moderate Regionally restricted euxassay_005557_08
TS23: midbrain meninges Moderate Regionally restricted euxassay_005557_08
TS23: hindbrain meninges Moderate Regionally restricted euxassay_005557_08
TS23: telencephalon meninges Moderate Regionally restricted euxassay_005557_08
TS23: diencephalon meninges Moderate Regionally restricted euxassay_005557_08
TS23: submandibular gland primordium Weak Regionally restricted euxassay_005557_08

Specimen euxassay_005557_09: embryonic day 14.5 (more )
Structure Level Pattern Image Note
TS23: liver left lobe Strong Regionally restricted euxassay_005557_09
TS23: left lung Weak Regionally restricted euxassay_005557_09
TS23: stomach Weak Regionally restricted euxassay_005557_09
TS23: spinal cord meninges Moderate Regionally restricted euxassay_005557_09
TS23: midbrain meninges Moderate Regionally restricted euxassay_005557_09
TS23: hindbrain meninges Moderate Regionally restricted euxassay_005557_09
TS23: telencephalon meninges Moderate Regionally restricted euxassay_005557_09
TS23: diencephalon meninges Moderate Regionally restricted euxassay_005557_09
TS23: submandibular gland primordium Weak Regionally restricted euxassay_005557_09

Specimen euxassay_005557_10: embryonic day 14.5 (more )
Structure Level Pattern Image Note
TS23: liver right lobe Strong Regionally restricted euxassay_005557_10
TS23: left lung Weak Regionally restricted euxassay_005557_10
TS23: midbrain meninges Moderate Regionally restricted euxassay_005557_10
TS23: hindbrain meninges Moderate Regionally restricted euxassay_005557_10
TS23: telencephalon meninges Moderate Regionally restricted euxassay_005557_10
TS23: diencephalon meninges Moderate Regionally restricted euxassay_005557_10

Specimen euxassay_005557_11: embryonic day 14.5 (more )
Structure Level Pattern Image Note
TS23: liver right lobe Strong Regionally restricted euxassay_005557_11
TS23: right lung Weak Regionally restricted euxassay_005557_11
TS23: midbrain meninges Moderate Regionally restricted euxassay_005557_11
TS23: hindbrain meninges Moderate Regionally restricted euxassay_005557_11
TS23: telencephalon meninges Moderate Regionally restricted euxassay_005557_11
TS23: diencephalon meninges Moderate Regionally restricted euxassay_005557_11

Specimen euxassay_005557_12: embryonic day 14.5 (more )
Structure Level Pattern Image Note
TS23: liver right lobe Strong Regionally restricted euxassay_005557_12
TS23: right lung Weak Regionally restricted euxassay_005557_12
TS23: midgut Weak Regionally restricted euxassay_005557_12
TS23: midbrain meninges Moderate Regionally restricted euxassay_005557_12
TS23: hindbrain meninges Moderate Regionally restricted euxassay_005557_12
TS23: telencephalon meninges Moderate Regionally restricted euxassay_005557_12
TS23: diencephalon meninges Moderate Regionally restricted euxassay_005557_12

Specimen euxassay_005557_13: embryonic day 14.5 (more )
Structure Level Pattern Image Note
TS23: liver right lobe Strong Regionally restricted euxassay_005557_13
TS23: right lung Weak Regionally restricted euxassay_005557_13
TS23: midgut Moderate Regionally restricted euxassay_005557_13
TS23: midbrain meninges Moderate Regionally restricted euxassay_005557_13
TS23: hindbrain meninges Moderate Regionally restricted euxassay_005557_13
TS23: telencephalon meninges Moderate Regionally restricted euxassay_005557_13
TS23: diencephalon meninges Moderate Regionally restricted euxassay_005557_13

Specimen euxassay_005557_14: embryonic day 14.5 (more )
Structure Level Pattern Image Note
TS23: liver right lobe Strong Regionally restricted euxassay_005557_14
TS23: right lung Weak Regionally restricted euxassay_005557_14
TS23: midgut Moderate Regionally restricted euxassay_005557_14
TS23: midbrain meninges Moderate Regionally restricted euxassay_005557_14
TS23: hindbrain meninges Moderate Regionally restricted euxassay_005557_14
TS23: telencephalon meninges Moderate Regionally restricted euxassay_005557_14
TS23: diencephalon meninges Moderate Regionally restricted euxassay_005557_14

Specimen euxassay_005557_15: embryonic day 14.5 (more )
Structure Level Pattern Image Note
TS23: liver right lobe Strong Regionally restricted euxassay_005557_15
TS23: right lung Weak Regionally restricted euxassay_005557_15
TS23: midgut Weak Regionally restricted euxassay_005557_15
TS23: hindbrain meninges Moderate Regionally restricted euxassay_005557_15
TS23: telencephalon meninges Moderate Regionally restricted euxassay_005557_15
TS23: diencephalon meninges Moderate Regionally restricted euxassay_005557_15

Specimen euxassay_005557_16: embryonic day 14.5 (more )
Structure Level Pattern Image Note
TS23: liver right lobe Strong Regionally restricted euxassay_005557_16
TS23: right lung Weak Regionally restricted euxassay_005557_16
TS23: midgut Weak Regionally restricted euxassay_005557_16
TS23: telencephalon meninges Moderate Regionally restricted euxassay_005557_16
TS23: diencephalon meninges Moderate Regionally restricted euxassay_005557_16
TS23: hindbrain meninges Moderate Regionally restricted euxassay_005557_16
TS23: submandibular gland primordium Weak Regionally restricted euxassay_005557_16

Specimen euxassay_005557_17: embryonic day 14.5 (more )
Structure Level Pattern Image Note
TS23: liver right lobe Strong Regionally restricted euxassay_005557_17
TS23: right lung Weak Regionally restricted euxassay_005557_17
TS23: midgut Moderate Regionally restricted euxassay_005557_17
TS23: telencephalon meninges Moderate Regionally restricted euxassay_005557_17
TS23: submandibular gland primordium Weak Regionally restricted euxassay_005557_17

Specimen euxassay_005557_18: embryonic day 14.5 (more )
Structure Level Pattern Image Note
TS23: liver right lobe Strong Regionally restricted euxassay_005557_18
TS23: right lung Weak Regionally restricted euxassay_005557_18
TS23: midgut Moderate Regionally restricted euxassay_005557_18
TS23: telencephalon meninges Moderate Regionally restricted euxassay_005557_18
TS23: submandibular gland primordium Weak Regionally restricted euxassay_005557_18

Specimen euxassay_005557_19: embryonic day 14.5 (more )
Structure Level Pattern Image Note
TS23: liver right lobe Strong Regionally restricted euxassay_005557_19
TS23: right lung Weak Regionally restricted euxassay_005557_19
TS23: midgut Moderate Regionally restricted euxassay_005557_19
TS23: telencephalon meninges Moderate Regionally restricted euxassay_005557_19
TS23: submandibular gland primordium Weak Regionally restricted euxassay_005557_19

Specimen euxassay_005557_20: embryonic day 14.5 (more )
Structure Level Pattern Image Note
TS23: liver right lobe Strong Regionally restricted euxassay_005557_20
TS23: telencephalon meninges Moderate Regionally restricted euxassay_005557_20

Specimen euxassay_005557_21: embryonic day 14.5 (more )
Structure Level Pattern Image Note
TS23: liver right lobe Strong Regionally restricted euxassay_005557_21
TS23: telencephalon meninges Moderate Regionally restricted euxassay_005557_21

Specimen euxassay_005557_22: embryonic day 14.5 (more )
Structure Level Pattern Image Note
TS23: liver right lobe Strong Regionally restricted euxassay_005557_22
TS23: telencephalon meninges Moderate Regionally restricted euxassay_005557_22

Specimen euxassay_005557_23: embryonic day 14.5 (more )
Structure Level Pattern Image Note
TS23: liver right lobe Strong Regionally restricted euxassay_005557_23
TS23: telencephalon meninges Moderate Regionally restricted euxassay_005557_23


Contributing Projects:
Mouse Genome Database (MGD), Gene Expression Database (GXD), Mouse Models of Human Cancer database (MMHCdb) (formerly Mouse Tumor Biology (MTB)), Gene Ontology (GO)
Citing These Resources
Funding Information
Warranty Disclaimer, Privacy Notice, Licensing, & Copyright
Send questions and comments to User Support.
last database update
01/06/2026
MGI 6.24
The Jackson Laboratory