About   Help   FAQ
Gene Expression Data
Assay Details
Assay
Reference: J:153498 Diez-Roux G, et al., A high-resolution anatomical atlas of the transcriptome in the mouse embryo. PLoS Biol. 2011;9(1):e1000582
Assay type: RNA in situ
MGI Accession ID: MGI:4828617
Gene symbol: Tbrg1
Gene name: transforming growth factor beta regulated gene 1
Probe: IMAGE clone 1890714
Probe preparation: Antisense labelled with digoxigenin RNA
Visualized with: Alkaline phosphatase
Assay notes: Cryosections of fresh frozen material were fixed in 4% paraformaldehyde for 20 min. before further processing. A tyramide-biotin/streptavidin amplification step was included in the in situ hybridization procedure.
Results
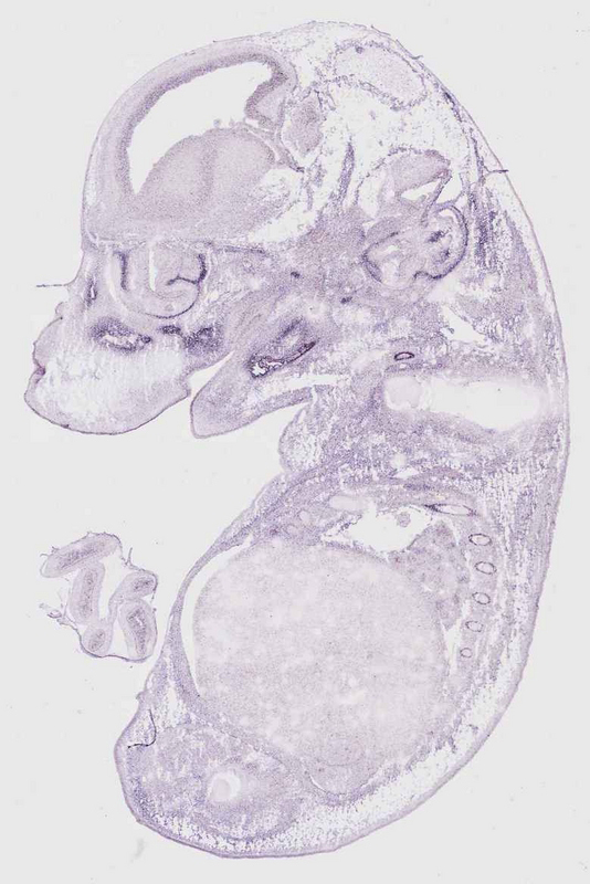
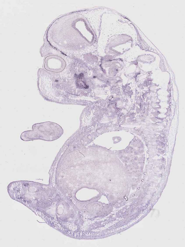
Specimen euxassay_001972_01: embryonic day 14.5 (more )
Structure Level Pattern Image Note
TS23: frontal bone primordium Strong Regionally restricted euxassay_001972_01
TS23: orbito-sphenoid Strong Regionally restricted euxassay_001972_01
TS23: Meckel's cartilage Strong Regionally restricted euxassay_001972_01

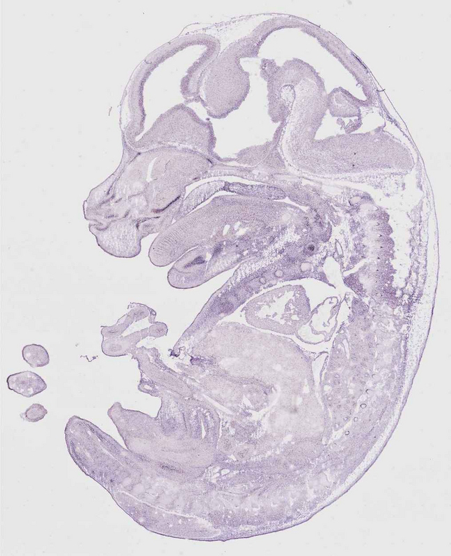
Specimen euxassay_001972_02: embryonic day 14.5 (more )
Structure Level Pattern Image Note
TS23: orbito-sphenoid Strong Regionally restricted euxassay_001972_02
TS23: frontal bone primordium Strong Regionally restricted euxassay_001972_02
TS23: Meckel's cartilage Strong Regionally restricted euxassay_001972_02

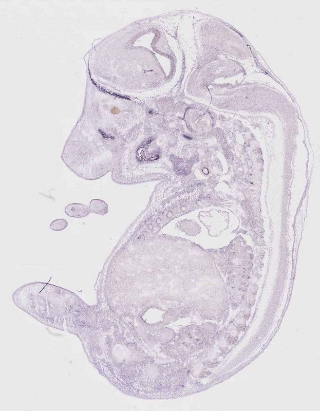
Specimen euxassay_001972_03: embryonic day 14.5 (more )
Structure Level Pattern Image Note
TS23: orbito-sphenoid Strong Regionally restricted euxassay_001972_03
TS23: frontal bone primordium Strong Regionally restricted euxassay_001972_03
TS23: Meckel's cartilage Strong Regionally restricted euxassay_001972_03

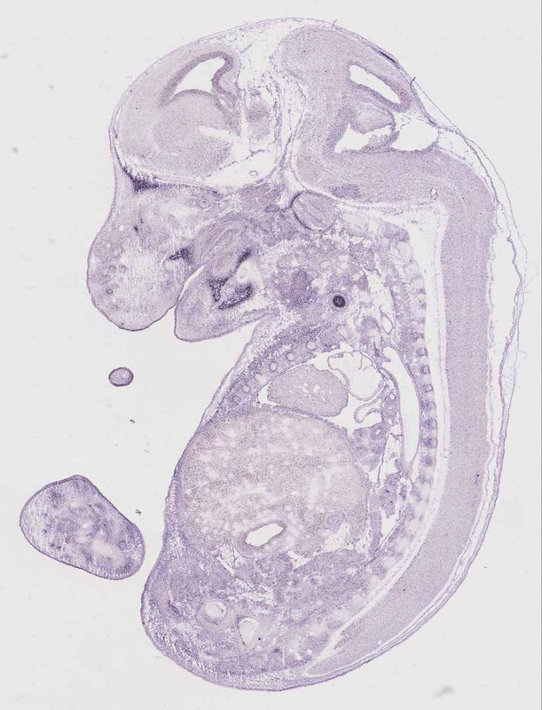
Specimen euxassay_001972_04: embryonic day 14.5 (more )
Structure Level Pattern Image Note
TS23: frontal bone primordium Strong Regionally restricted euxassay_001972_04
TS23: orbito-sphenoid Strong Regionally restricted euxassay_001972_04
TS23: Meckel's cartilage Strong Regionally restricted euxassay_001972_04
TS23: upper jaw molar Strong Regionally restricted euxassay_001972_04
TS23: lower jaw molar Strong Regionally restricted euxassay_001972_04

Specimen euxassay_001972_05: embryonic day 14.5 (more )
Structure Level Pattern Image Note
TS23: orbito-sphenoid Strong Regionally restricted euxassay_001972_05
TS23: basisphenoid bone Strong Regionally restricted euxassay_001972_05
TS23: upper jaw incisor Strong Regionally restricted euxassay_001972_05
TS23: lower jaw incisor Strong Regionally restricted euxassay_001972_05
TS23: lower jaw molar Strong Regionally restricted euxassay_001972_05
TS23: Meckel's cartilage Strong Regionally restricted euxassay_001972_05

Specimen euxassay_001972_06: embryonic day 14.5 (more )
Structure Level Pattern Image Note
TS23: basisphenoid bone Strong Regionally restricted euxassay_001972_06
TS23: orbito-sphenoid Strong Regionally restricted euxassay_001972_06
TS23: upper jaw incisor Strong Regionally restricted euxassay_001972_06
TS23: lower jaw incisor Strong Regionally restricted euxassay_001972_06
TS23: Meckel's cartilage Strong Regionally restricted euxassay_001972_06

Specimen euxassay_001972_07: embryonic day 14.5 (more )
Structure Level Pattern Image Note
TS23: turbinate bone primordium Strong Regionally restricted euxassay_001972_07
TS23: orbito-sphenoid Strong Regionally restricted euxassay_001972_07
TS23: lower jaw incisor Strong Regionally restricted euxassay_001972_07
TS23: upper jaw molar Strong Regionally restricted euxassay_001972_07

Specimen euxassay_001972_08: embryonic day 14.5 (more )
Structure Level Pattern Image Note
TS23: turbinate bone primordium Strong Regionally restricted euxassay_001972_08
TS23: lower jaw incisor Strong Regionally restricted euxassay_001972_08

Specimen euxassay_001972_09: embryonic day 14.5 (more )
Structure Level Pattern Image Note
TS23: turbinate bone primordium Strong Regionally restricted euxassay_001972_09

Specimen euxassay_001972_10: embryonic day 14.5 (more )
Structure Level Pattern Image Note
TS23: lower jaw incisor Strong Regionally restricted euxassay_001972_10
TS23: upper jaw incisor Strong Regionally restricted euxassay_001972_10

Specimen euxassay_001972_11: embryonic day 14.5 (more )
Structure Level Pattern Image Note
TS23: turbinate bone primordium Strong Regionally restricted euxassay_001972_11
TS23: upper jaw incisor Strong Regionally restricted euxassay_001972_11
TS23: lower jaw incisor Strong Regionally restricted euxassay_001972_11

Specimen euxassay_001972_12: embryonic day 14.5 (more )
Structure Level Pattern Image Note
TS23: turbinate bone primordium Strong Regionally restricted euxassay_001972_12
TS23: lower jaw incisor Strong Regionally restricted euxassay_001972_12
TS23: upper jaw incisor Strong Regionally restricted euxassay_001972_12
TS23: Meckel's cartilage Strong Regionally restricted euxassay_001972_12

Specimen euxassay_001972_13: embryonic day 14.5 (more )
Structure Level Pattern Image Note
TS23: turbinate bone primordium Strong Regionally restricted euxassay_001972_13
TS23: orbito-sphenoid Strong Regionally restricted euxassay_001972_13
TS23: basisphenoid bone Strong Regionally restricted euxassay_001972_13
TS23: upper jaw incisor Strong Regionally restricted euxassay_001972_13
TS23: lower jaw incisor Strong Regionally restricted euxassay_001972_13
TS23: Meckel's cartilage Strong Regionally restricted euxassay_001972_13
TS23: upper jaw molar Strong Regionally restricted euxassay_001972_13
TS23: lower jaw molar Strong Regionally restricted euxassay_001972_13

Specimen euxassay_001972_14: embryonic day 14.5 (more )
Structure Level Pattern Image Note
TS23: turbinate bone primordium Strong Regionally restricted euxassay_001972_14
TS23: upper jaw molar Strong Regionally restricted euxassay_001972_14
TS23: lower jaw molar Strong Regionally restricted euxassay_001972_14
TS23: Meckel's cartilage Strong Regionally restricted euxassay_001972_14

Specimen euxassay_001972_15: embryonic day 14.5 (more )
Structure Level Pattern Image Note
TS23: turbinate bone primordium Strong Regionally restricted euxassay_001972_15
TS23: basisphenoid bone Strong Regionally restricted euxassay_001972_15
TS23: orbito-sphenoid Strong Regionally restricted euxassay_001972_15
TS23: Meckel's cartilage Strong Regionally restricted euxassay_001972_15
TS23: lower jaw molar Strong Regionally restricted euxassay_001972_15
TS23: upper jaw molar Strong Regionally restricted euxassay_001972_15

Specimen euxassay_001972_16: embryonic day 14.5 (more )
Structure Level Pattern Image Note
TS23: turbinate bone primordium Strong Regionally restricted euxassay_001972_16
TS23: orbito-sphenoid Strong Regionally restricted euxassay_001972_16
TS23: basisphenoid bone Strong Regionally restricted euxassay_001972_16
TS23: upper jaw molar Strong Regionally restricted euxassay_001972_16
TS23: Meckel's cartilage Strong Regionally restricted euxassay_001972_16
TS23: lower jaw molar Strong Regionally restricted euxassay_001972_16

Specimen euxassay_001972_17: embryonic day 14.5 (more )
Structure Level Pattern Image Note
TS23: orbito-sphenoid Strong Regionally restricted euxassay_001972_17
TS23: Meckel's cartilage Strong Regionally restricted euxassay_001972_17
TS23: upper jaw molar Strong Regionally restricted euxassay_001972_17

Specimen euxassay_001972_18: embryonic day 14.5 (more )
Structure Level Pattern Image Note
TS23: orbito-sphenoid Strong Regionally restricted euxassay_001972_18

Specimen euxassay_001972_19: embryonic day 14.5 (more )
Structure Level Pattern Image Note
TS23: orbito-sphenoid Strong Regionally restricted euxassay_001972_19

Specimen euxassay_001972_20: embryonic day 14.5 (more )
Structure Level Pattern Image Note
TS23: orbito-sphenoid Strong Regionally restricted euxassay_001972_20
TS23: frontal bone primordium Strong Regionally restricted euxassay_001972_20


Contributing Projects:
Mouse Genome Database (MGD), Gene Expression Database (GXD), Mouse Models of Human Cancer database (MMHCdb) (formerly Mouse Tumor Biology (MTB)), Gene Ontology (GO)
Citing These Resources
Funding Information
Warranty Disclaimer, Privacy Notice, Licensing, & Copyright
Send questions and comments to User Support.
last database update
01/20/2026
MGI 6.24
The Jackson Laboratory