About   Help   FAQ
Gene Expression Data
Assay Details
Assay
Reference: J:153498 Diez-Roux G, et al., A high-resolution anatomical atlas of the transcriptome in the mouse embryo. PLoS Biol. 2011;9(1):e1000582
Assay type: RNA in situ
MGI Accession ID: MGI:4828601
Gene symbol: Tars1
Gene name: threonyl-tRNA synthetase 1
Probe: IMAGE clone 1886765
Probe preparation: Antisense labelled with digoxigenin RNA
Visualized with: Alkaline phosphatase
Assay notes: Cryosections of fresh frozen material were fixed in 4% paraformaldehyde for 20 min. before further processing. A tyramide-biotin/streptavidin amplification step was included in the in situ hybridization procedure.
Results
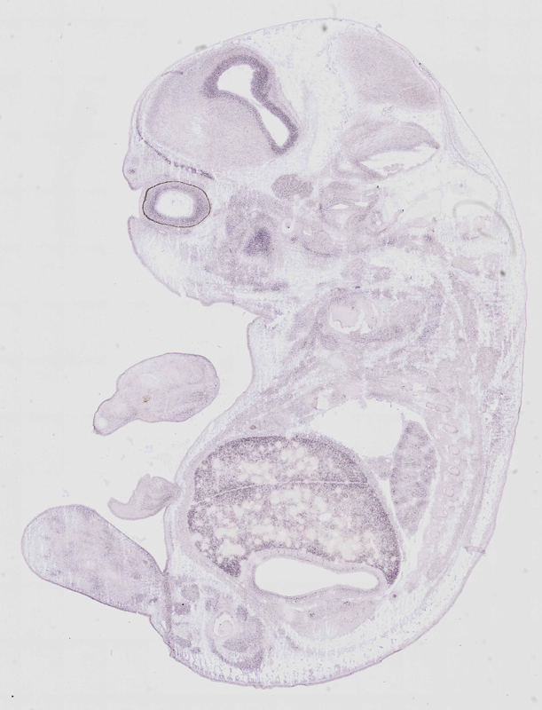
Specimen euxassay_006234_01: embryonic day 14.5 (more )
Structure Level Pattern Image Note
TS23: liver left lobe Moderate Regionally restricted euxassay_006234_01
TS23: orbito-sphenoid Moderate Regionally restricted euxassay_006234_01
TS23: vertebral axis musculature Weak Regionally restricted euxassay_006234_01

Specimen euxassay_006234_02: embryonic day 14.5 (more )
Structure Level Pattern Image Note
TS23: liver left lobe Moderate Regionally restricted euxassay_006234_02
TS23: telencephalon ventricular layer Moderate Uniform euxassay_006234_02
TS23: vertebral axis musculature Weak Regionally restricted euxassay_006234_02

Specimen euxassay_006234_03: embryonic day 14.5 (more )
Structure Level Pattern Image Note
TS23: liver left lobe Moderate Regionally restricted euxassay_006234_03
TS23: telencephalon ventricular layer Moderate Uniform euxassay_006234_03
TS23: orbito-sphenoid Moderate Regionally restricted euxassay_006234_03
TS23: vertebral axis musculature Weak Regionally restricted euxassay_006234_03

Specimen euxassay_006234_04: embryonic day 14.5 (more )
Structure Level Pattern Image Note
TS23: liver left lobe Moderate Regionally restricted euxassay_006234_04
TS23: telencephalon ventricular layer Moderate Uniform euxassay_006234_04
TS23: orbito-sphenoid Moderate Regionally restricted euxassay_006234_04
TS23: vertebral axis musculature Weak Regionally restricted euxassay_006234_04

Specimen euxassay_006234_05: embryonic day 14.5 (more )
Structure Level Pattern Image Note
TS23: liver left lobe Moderate Regionally restricted euxassay_006234_05
TS23: telencephalon ventricular layer Moderate Uniform euxassay_006234_05
TS23: midbrain ventricular layer Moderate Regionally restricted euxassay_006234_05
TS23: renal cortex Moderate Regionally restricted euxassay_006234_05
TS23: orbito-sphenoid Strong Regionally restricted euxassay_006234_05
TS23: vertebral axis musculature Weak Regionally restricted euxassay_006234_05

Specimen euxassay_006234_06: embryonic day 14.5 (more )
Structure Level Pattern Image Note
TS23: liver left lobe Moderate Regionally restricted euxassay_006234_06
TS23: telencephalon ventricular layer Moderate Uniform euxassay_006234_06
TS23: midbrain ventricular layer Moderate Regionally restricted euxassay_006234_06
TS23: submandibular gland primordium Moderate Regionally restricted euxassay_006234_06
TS23: renal cortex Moderate Regionally restricted euxassay_006234_06
TS23: orbito-sphenoid Moderate Regionally restricted euxassay_006234_06
TS23: vertebral axis musculature Weak Regionally restricted euxassay_006234_06

Specimen euxassay_006234_07: embryonic day 14.5 (more )
Structure Level Pattern Image Note
TS23: liver left lobe Moderate Regionally restricted euxassay_006234_07
TS23: telencephalon ventricular layer Moderate Uniform euxassay_006234_07
TS23: midbrain ventricular layer Moderate Regionally restricted euxassay_006234_07
TS23: vibrissa Moderate Regionally restricted euxassay_006234_07
TS23: submandibular gland primordium Moderate Regionally restricted euxassay_006234_07
TS23: renal cortex Moderate Regionally restricted euxassay_006234_07
TS23: vertebral axis musculature Weak Regionally restricted euxassay_006234_07

Specimen euxassay_006234_08: embryonic day 14.5 (more )
Structure Level Pattern Image Note
TS23: liver left lobe Moderate Regionally restricted euxassay_006234_08
TS23: telencephalon ventricular layer Moderate Uniform euxassay_006234_08
TS23: midbrain ventricular layer Moderate Regionally restricted euxassay_006234_08
TS23: vibrissa Moderate Regionally restricted euxassay_006234_08
TS23: submandibular gland primordium Moderate Regionally restricted euxassay_006234_08
TS23: renal cortex Moderate Regionally restricted euxassay_006234_08
TS23: vertebral axis musculature Weak Regionally restricted euxassay_006234_08

Specimen euxassay_006234_09: embryonic day 14.5 (more )
Structure Level Pattern Image Note
TS23: liver left lobe Moderate Regionally restricted euxassay_006234_09
TS23: thymus primordium Moderate Regionally restricted euxassay_006234_09
TS23: telencephalon ventricular layer Moderate Uniform euxassay_006234_09
TS23: midbrain ventricular layer Moderate Regionally restricted euxassay_006234_09
TS23: vibrissa Weak Regionally restricted euxassay_006234_09
TS23: submandibular gland primordium Moderate Regionally restricted euxassay_006234_09
TS23: renal cortex Moderate Regionally restricted euxassay_006234_09
TS23: vertebral axis musculature Weak Regionally restricted euxassay_006234_09

Specimen euxassay_006234_10: embryonic day 14.5 (more )
Structure Level Pattern Image Note
TS23: liver right lobe Moderate Regionally restricted euxassay_006234_10
TS23: thymus primordium Moderate Regionally restricted euxassay_006234_10
TS23: telencephalon ventricular layer Moderate Uniform euxassay_006234_10
TS23: hypothalamus ventricular layer Moderate Regionally restricted euxassay_006234_10
TS23: diencephalon lateral wall ventricular layer Moderate Regionally restricted euxassay_006234_10
TS23: midbrain ventricular layer Moderate Regionally restricted euxassay_006234_10
TS23: vibrissa Weak Regionally restricted euxassay_006234_10

Specimen euxassay_006234_11: embryonic day 14.5 (more )
Structure Level Pattern Image Note
TS23: liver right lobe Moderate Regionally restricted euxassay_006234_11
TS23: thymus primordium Moderate Regionally restricted euxassay_006234_11
TS23: telencephalon ventricular layer Moderate Uniform euxassay_006234_11
TS23: diencephalon lateral wall ventricular layer Moderate Regionally restricted euxassay_006234_11
TS23: hypothalamus ventricular layer Moderate Regionally restricted euxassay_006234_11
TS23: midbrain ventricular layer Moderate Regionally restricted euxassay_006234_11

Specimen euxassay_006234_12: embryonic day 14.5 (more )
Structure Level Pattern Image Note
TS23: liver right lobe Moderate Regionally restricted euxassay_006234_12
TS23: thymus primordium Moderate Regionally restricted euxassay_006234_12
TS23: telencephalon ventricular layer Moderate Uniform euxassay_006234_12
TS23: olfactory cortex ventricular layer Moderate Uniform euxassay_006234_12
TS23: midbrain ventricular layer Moderate Regionally restricted euxassay_006234_12
TS23: hypothalamus ventricular layer Moderate Regionally restricted euxassay_006234_12
TS23: diencephalon lateral wall ventricular layer Moderate Regionally restricted euxassay_006234_12
TS23: vertebral axis musculature Weak Regionally restricted euxassay_006234_12

Specimen euxassay_006234_13: embryonic day 14.5 (more )
Structure Level Pattern Image Note
TS23: liver right lobe Moderate Regionally restricted euxassay_006234_13
TS23: thymus primordium Moderate Regionally restricted euxassay_006234_13
TS23: telencephalon ventricular layer Moderate Uniform euxassay_006234_13
TS23: midbrain ventricular layer Moderate Regionally restricted euxassay_006234_13
TS23: vertebral axis musculature Weak Regionally restricted euxassay_006234_13

Specimen euxassay_006234_14: embryonic day 14.5 (more )
Structure Level Pattern Image Note
TS23: liver right lobe Moderate Regionally restricted euxassay_006234_14
TS23: telencephalon ventricular layer Moderate Uniform euxassay_006234_14
TS23: renal cortex Moderate Regionally restricted euxassay_006234_14
TS23: vertebral axis musculature Weak Regionally restricted euxassay_006234_14

Specimen euxassay_006234_15: embryonic day 14.5 (more )
Structure Level Pattern Image Note
TS23: liver right lobe Moderate Regionally restricted euxassay_006234_15
TS23: telencephalon ventricular layer Moderate Uniform euxassay_006234_15
TS23: submandibular gland primordium Moderate Regionally restricted euxassay_006234_15
TS23: renal cortex Moderate Regionally restricted euxassay_006234_15
TS23: vertebral axis musculature Weak Regionally restricted euxassay_006234_15

Specimen euxassay_006234_16: embryonic day 14.5 (more )
Structure Level Pattern Image Note
TS23: liver right lobe Moderate Regionally restricted euxassay_006234_16
TS23: telencephalon ventricular layer Moderate Uniform euxassay_006234_16
TS23: submandibular gland primordium Moderate Regionally restricted euxassay_006234_16
TS23: renal cortex Moderate Regionally restricted euxassay_006234_16
TS23: vertebral axis musculature Weak Regionally restricted euxassay_006234_16

Specimen euxassay_006234_17: embryonic day 14.5 (more )
Structure Level Pattern Image Note
TS23: liver right lobe Moderate Regionally restricted euxassay_006234_17
TS23: telencephalon ventricular layer Moderate Uniform euxassay_006234_17
TS23: olfactory cortex ventricular layer Moderate Uniform euxassay_006234_17
TS23: submandibular gland primordium Moderate Regionally restricted euxassay_006234_17
TS23: renal cortex Moderate Regionally restricted euxassay_006234_17
TS23: vertebral axis musculature Weak Regionally restricted euxassay_006234_17

Specimen euxassay_006234_18: embryonic day 14.5 (more )
Structure Level Pattern Image Note
TS23: liver right lobe Moderate Regionally restricted euxassay_006234_18
TS23: telencephalon ventricular layer Moderate Uniform euxassay_006234_18
TS23: submandibular gland primordium Moderate Regionally restricted euxassay_006234_18
TS23: renal cortex Moderate Regionally restricted euxassay_006234_18
TS23: vertebral axis musculature Weak Regionally restricted euxassay_006234_18

Specimen euxassay_006234_19: embryonic day 14.5 (more )
Structure Level Pattern Image Note
TS23: liver right lobe Moderate Regionally restricted euxassay_006234_19
TS23: telencephalon ventricular layer Moderate Uniform euxassay_006234_19
TS23: vertebral axis musculature Weak Regionally restricted euxassay_006234_19

Specimen euxassay_006234_20: embryonic day 14.5 (more )
Structure Level Pattern Image Note
TS23: liver right lobe Moderate Regionally restricted euxassay_006234_20
TS23: telencephalon ventricular layer Moderate Uniform euxassay_006234_20
TS23: vertebral axis musculature Weak Regionally restricted euxassay_006234_20

Specimen euxassay_006234_21: embryonic day 14.5 (more )
Structure Level Pattern Image Note
TS23: liver right lobe Moderate Regionally restricted euxassay_006234_21
TS23: telencephalon ventricular layer Moderate Uniform euxassay_006234_21
TS23: vibrissa Moderate Regionally restricted euxassay_006234_21
TS23: orbito-sphenoid Moderate Regionally restricted euxassay_006234_21
TS23: vertebral axis musculature Weak Regionally restricted euxassay_006234_21

Specimen euxassay_006234_22: embryonic day 14.5 (more )
Structure Level Pattern Image Note
TS23: liver right lobe Moderate Regionally restricted euxassay_006234_22
TS23: vibrissa Moderate Regionally restricted euxassay_006234_22
TS23: orbito-sphenoid Moderate Regionally restricted euxassay_006234_22
TS23: vertebral axis musculature Weak Regionally restricted euxassay_006234_22


Contributing Projects:
Mouse Genome Database (MGD), Gene Expression Database (GXD), Mouse Models of Human Cancer database (MMHCdb) (formerly Mouse Tumor Biology (MTB)), Gene Ontology (GO)
Citing These Resources
Funding Information
Warranty Disclaimer, Privacy Notice, Licensing, & Copyright
Send questions and comments to User Support.
last database update
01/20/2026
MGI 6.24
The Jackson Laboratory