About   Help   FAQ
Gene Expression Data
Assay Details
Assay
Reference: J:153498 Diez-Roux G, et al., A high-resolution anatomical atlas of the transcriptome in the mouse embryo. PLoS Biol. 2011;9(1):e1000582
Assay type: RNA in situ
MGI Accession ID: MGI:4828591
Gene symbol: Tagln2
Gene name: transgelin 2
Probe: IMAGE clone 2159706
Probe preparation: Antisense labelled with digoxigenin RNA
Visualized with: Alkaline phosphatase
Assay notes: Cryosections of fresh frozen material were fixed in 4% paraformaldehyde for 20 min. before further processing. A tyramide-biotin/streptavidin amplification step was included in the in situ hybridization procedure.
Results
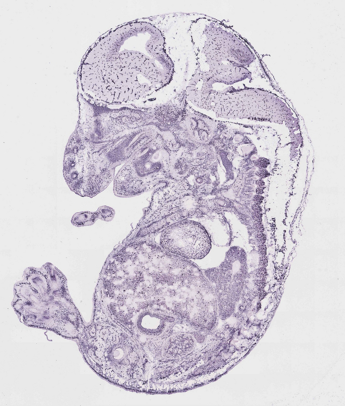
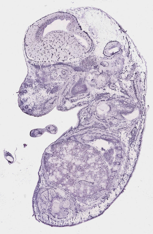
Specimen euxassay_001884_05: embryonic day 14.5 (more )
Structure Level Pattern Image Note
TS23: cerebral cortex ventricular layer Moderate Regionally restricted euxassay_001884_05

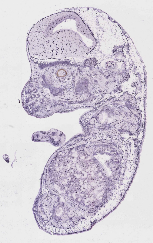
Specimen euxassay_001884_06: embryonic day 14.5 (more )
Structure Level Pattern Image Note
TS23: cerebral cortex ventricular layer Moderate Regionally restricted euxassay_001884_06

Specimen euxassay_001884_07: embryonic day 14.5 (more )
Structure Level Pattern Image Note
TS23: cerebral cortex ventricular layer Moderate Regionally restricted euxassay_001884_07

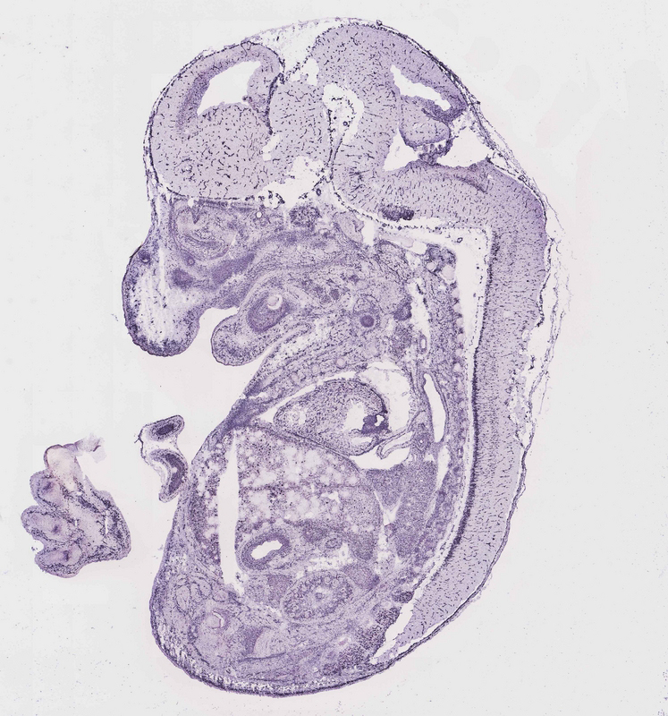
Specimen euxassay_001884_08: embryonic day 14.5 (more )
Structure Level Pattern Image Note
TS23: telencephalon ventricular layer Moderate Regionally restricted euxassay_001884_08
TS23: cerebral cortex ventricular layer Moderate Regionally restricted euxassay_001884_08

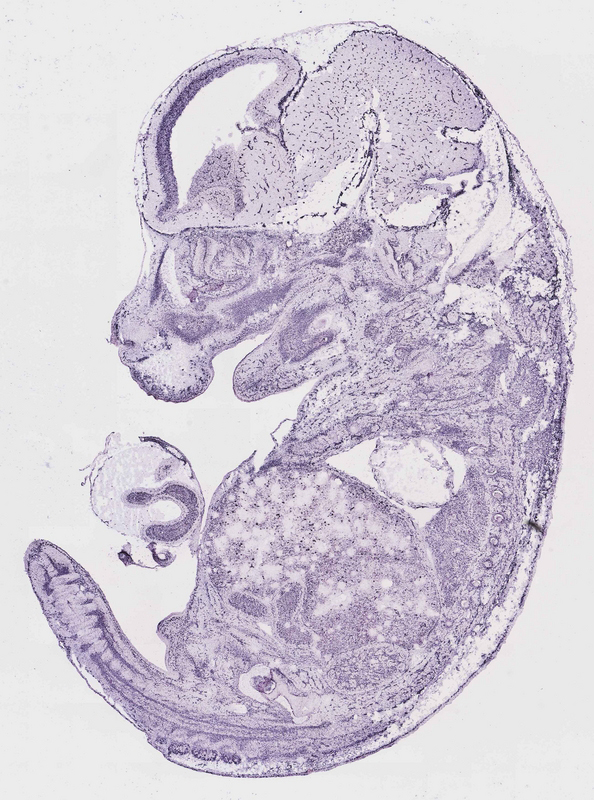
Specimen euxassay_001884_09: embryonic day 14.5 (more )
Structure Level Pattern Image Note
TS23: cerebral cortex ventricular layer Moderate Regionally restricted euxassay_001884_09
TS23: telencephalon ventricular layer Moderate Regionally restricted euxassay_001884_09

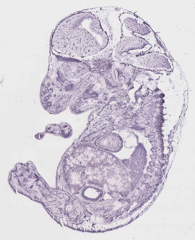
Specimen euxassay_001884_10: embryonic day 14.5 (more )
Structure Level Pattern Image Note
TS23: telencephalon ventricular layer Moderate Regionally restricted euxassay_001884_10
TS23: olfactory cortex ventricular layer Moderate Regionally restricted euxassay_001884_10
TS23: cerebral cortex ventricular layer Strong Uniform euxassay_001884_10

Specimen euxassay_001884_11: embryonic day 14.5 (more )
Structure Level Pattern Image Note
TS23: cerebral cortex ventricular layer Strong Uniform euxassay_001884_11
TS23: telencephalon ventricular layer Moderate Regionally restricted euxassay_001884_11
TS23: olfactory cortex ventricular layer Moderate Regionally restricted euxassay_001884_11

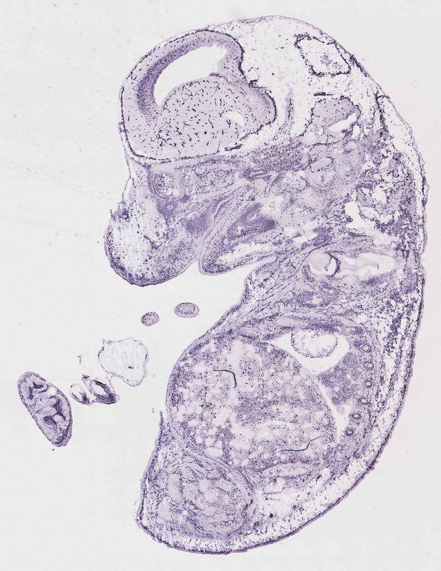
Specimen euxassay_001884_12: embryonic day 14.5 (more )
Structure Level Pattern Image Note
TS23: telencephalon ventricular layer Moderate Uniform euxassay_001884_12
TS23: olfactory cortex ventricular layer Moderate Uniform euxassay_001884_12
TS23: cerebral cortex ventricular layer Strong Uniform euxassay_001884_12

Specimen euxassay_001884_13: embryonic day 14.5 (more )
Structure Level Pattern Image Note
TS23: cerebral cortex ventricular layer Moderate Uniform euxassay_001884_13
TS23: olfactory cortex ventricular layer Moderate Uniform euxassay_001884_13
TS23: telencephalon ventricular layer Moderate Uniform euxassay_001884_13

Specimen euxassay_001884_14: embryonic day 14.5 (more )
Structure Level Pattern Image Note
TS23: cerebral cortex ventricular layer Moderate Uniform euxassay_001884_14

Specimen euxassay_001884_15: embryonic day 14.5 (more )
Structure Level Pattern Image Note
TS23: cerebral cortex ventricular layer Moderate Uniform euxassay_001884_15

Specimen euxassay_001884_16: embryonic day 14.5 (more )
Structure Level Pattern Image Note
TS23: cerebral cortex ventricular layer Moderate Uniform euxassay_001884_16


Contributing Projects:
Mouse Genome Database (MGD), Gene Expression Database (GXD), Mouse Models of Human Cancer database (MMHCdb) (formerly Mouse Tumor Biology (MTB)), Gene Ontology (GO)
Citing These Resources
Funding Information
Warranty Disclaimer, Privacy Notice, Licensing, & Copyright
Send questions and comments to User Support.
last database update
01/20/2026
MGI 6.24
The Jackson Laboratory