About   Help   FAQ
Gene Expression Data
Assay Details
Assay
Reference: J:153498 Diez-Roux G, et al., A high-resolution anatomical atlas of the transcriptome in the mouse embryo. PLoS Biol. 2011;9(1):e1000582
Assay type: RNA in situ
MGI Accession ID: MGI:4828590
Gene symbol: Tagln
Gene name: transgelin
Probe: IMAGE clone 3025841
Probe preparation: Antisense labelled with digoxigenin RNA
Visualized with: Alkaline phosphatase
Assay notes: Cryosections of fresh frozen material were fixed in 4% paraformaldehyde for 20 min. before further processing. A tyramide-biotin/streptavidin amplification step was included in the in situ hybridization procedure.
Results
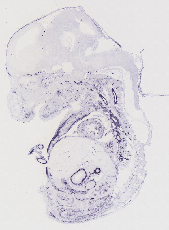
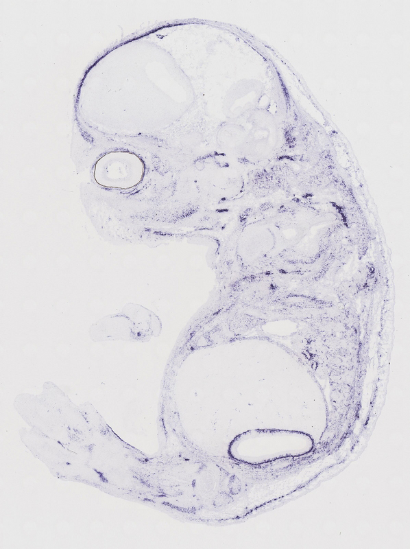
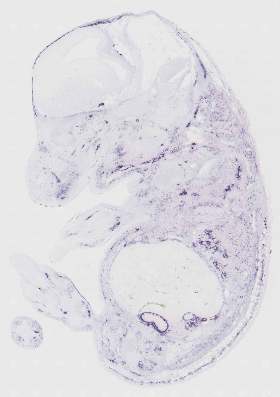
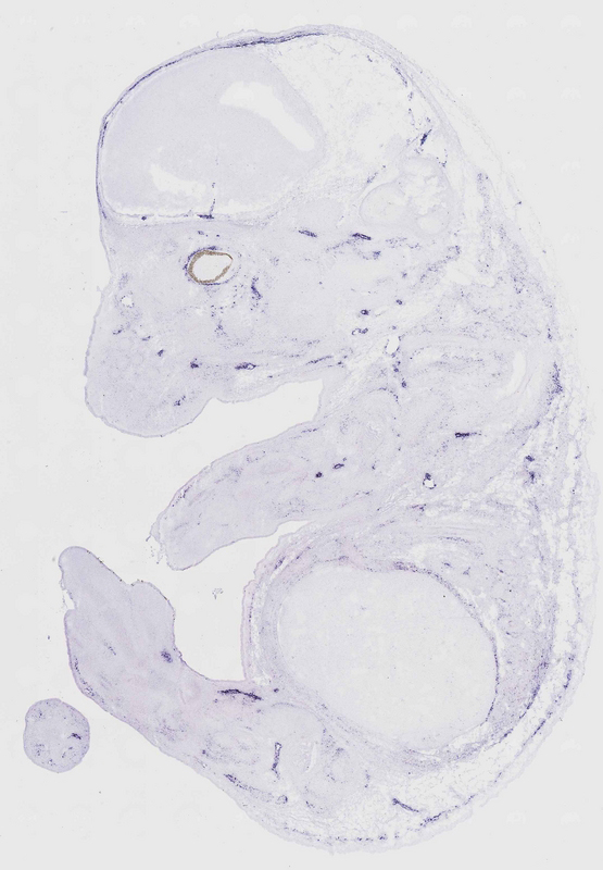
Specimen euxassay_002411_01: embryonic day 14.5 (more )
Structure Level Pattern Image Note
TS23: cranium Strong Regionally restricted euxassay_002411_01
TS23: body wall mesenchyme Strong Regionally restricted euxassay_002411_01
TS23: diaphragm Weak Regionally restricted euxassay_002411_01
TS23: foot mesenchyme Strong Regionally restricted euxassay_002411_01
TS23: hand mesenchyme Strong Regionally restricted euxassay_002411_01

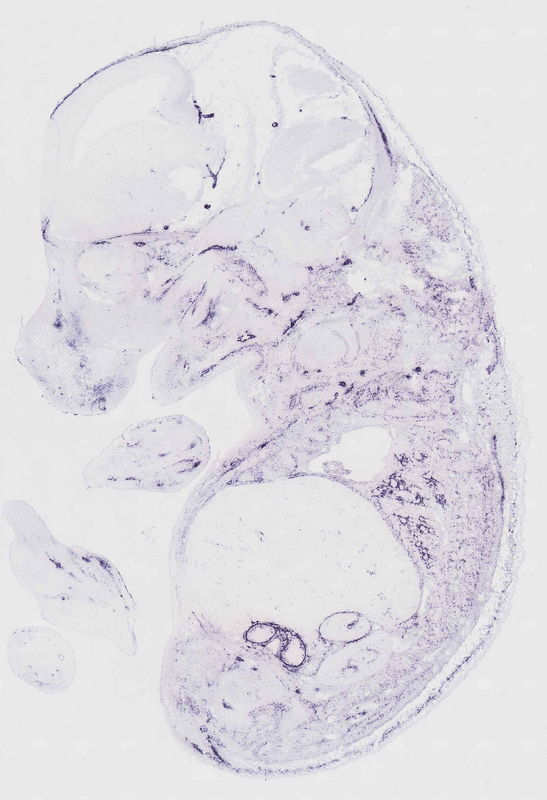
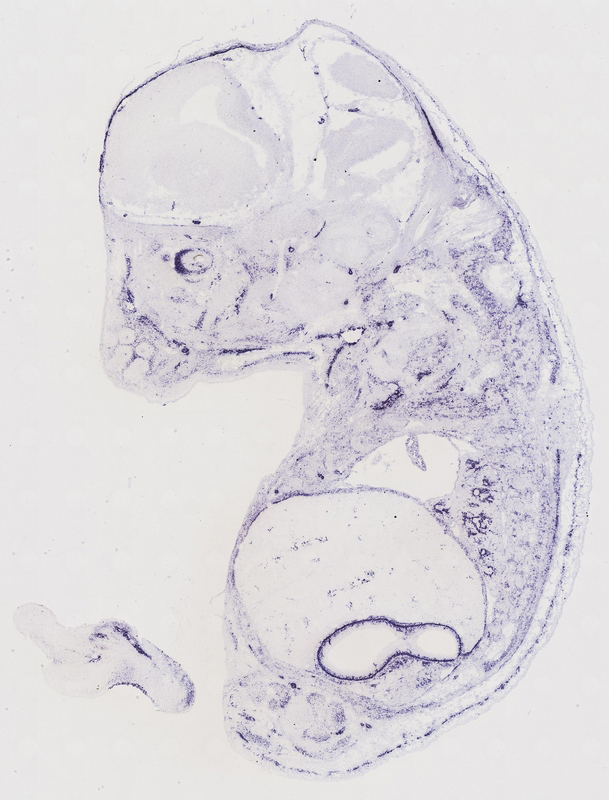
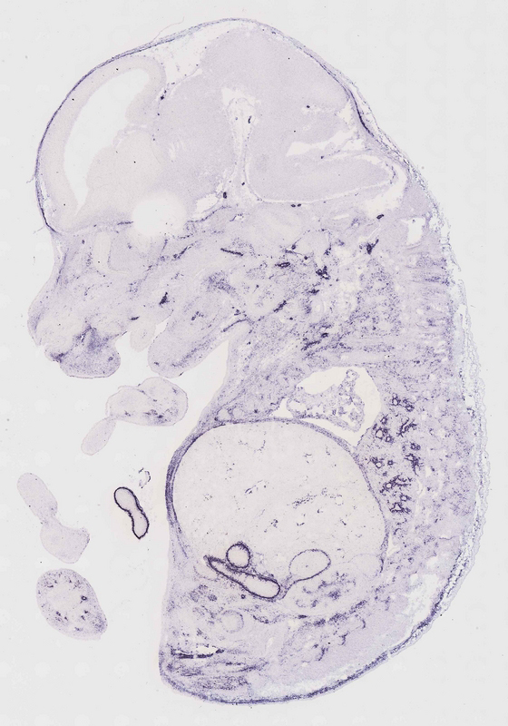
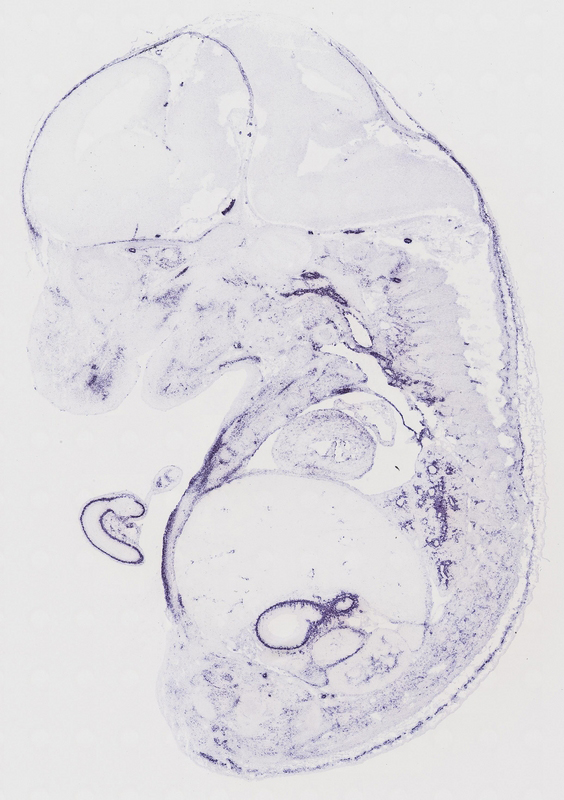
Specimen euxassay_002411_02: embryonic day 14.5 (more )
Note: Additional information for this specimen was included in the Eurexpress data submission file.
Structure Level Pattern Image Note
TS23: cranium Strong Regionally restricted euxassay_002411_02
TS23: body wall mesenchyme Strong Regionally restricted euxassay_002411_02
TS23: stomach Strong Regionally restricted euxassay_002411_02 smooth muscle
TS23: smooth muscle tissue Present euxassay_002411_02
TS23: diaphragm Weak Regionally restricted euxassay_002411_02
TS23: foot mesenchyme Strong Regionally restricted euxassay_002411_02
TS23: hand mesenchyme Strong Regionally restricted euxassay_002411_02

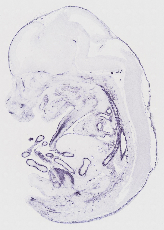
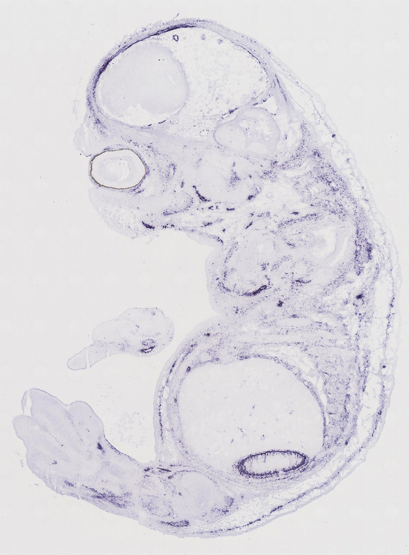
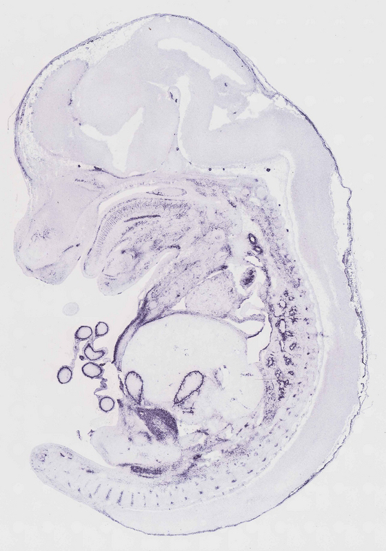
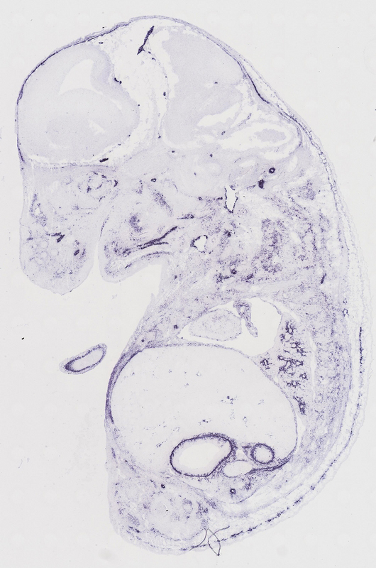
Specimen euxassay_002411_03: embryonic day 14.5 (more )
Note: Additional information for this specimen was included in the Eurexpress data submission file.
Structure Level Pattern Image Note
TS23: cranium Strong Regionally restricted euxassay_002411_03
TS23: body wall mesenchyme Strong Regionally restricted euxassay_002411_03
TS23: stomach Strong Regionally restricted euxassay_002411_03 smooth muscle
TS23: smooth muscle tissue Present euxassay_002411_03
TS23: lung Strong Regionally restricted euxassay_002411_03
TS23: diaphragm Weak Regionally restricted euxassay_002411_03
TS23: hand mesenchyme Strong Regionally restricted euxassay_002411_03
TS23: foot mesenchyme Strong Regionally restricted euxassay_002411_03

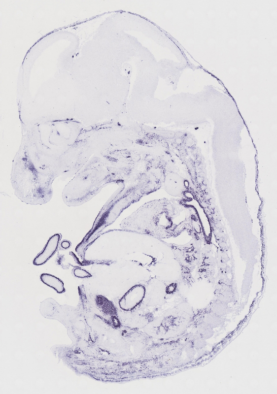
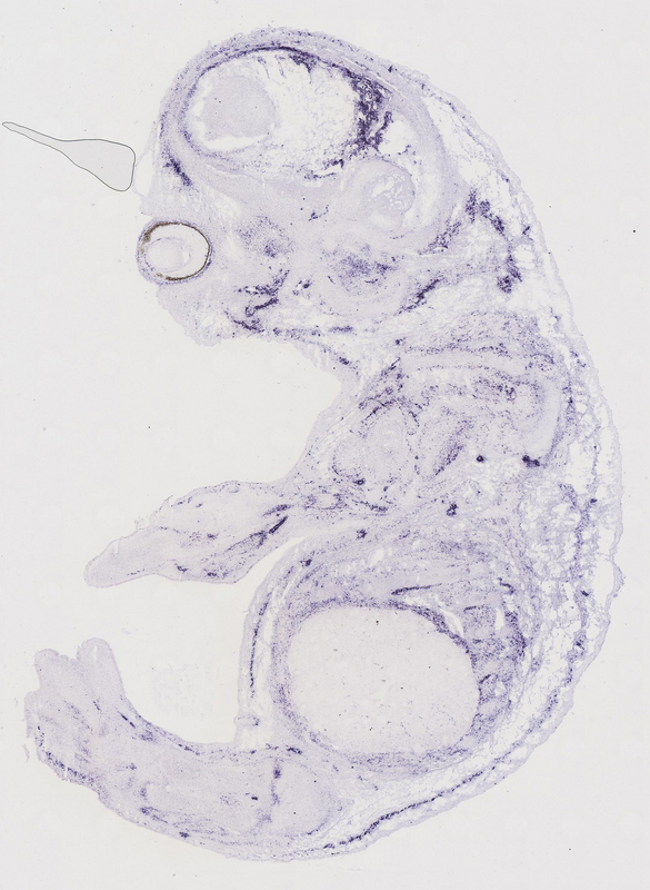
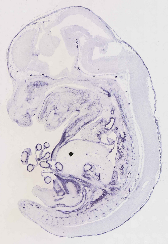
Specimen euxassay_002411_04: embryonic day 14.5 (more )
Note: Additional information for this specimen was included in the Eurexpress data submission file.
Structure Level Pattern Image Note
TS23: cranium Strong Regionally restricted euxassay_002411_04
TS23: body wall mesenchyme Strong Regionally restricted euxassay_002411_04
TS23: stomach Strong Regionally restricted euxassay_002411_04 smooth muscle
TS23: smooth muscle tissue Present euxassay_002411_04
TS23: lung Strong Regionally restricted euxassay_002411_04
TS23: diaphragm Weak Regionally restricted euxassay_002411_04
TS23: foot mesenchyme Strong Regionally restricted euxassay_002411_04

Specimen euxassay_002411_05: embryonic day 14.5 (more )
Note: Additional information for this specimen was included in the Eurexpress data submission file.
Structure Level Pattern Image Note
TS23: cranium Strong Regionally restricted euxassay_002411_05
TS23: body wall mesenchyme Strong Regionally restricted euxassay_002411_05
TS23: stomach Strong Regionally restricted euxassay_002411_05 smooth muscle
TS23: smooth muscle tissue Present euxassay_002411_05
TS23: lung Strong Regionally restricted euxassay_002411_05
TS23: diaphragm Weak Regionally restricted euxassay_002411_05
TS23: foot mesenchyme Strong Regionally restricted euxassay_002411_05

Specimen euxassay_002411_06: embryonic day 14.5 (more )
Note: Additional information for this specimen was included in the Eurexpress data submission file.
Structure Level Pattern Image Note
TS23: cranium Strong Regionally restricted euxassay_002411_06
TS23: body wall mesenchyme Strong Regionally restricted euxassay_002411_06
TS23: stomach Strong Regionally restricted euxassay_002411_06 smooth muscle
TS23: smooth muscle tissue Present euxassay_002411_06
TS23: midgut Strong Regionally restricted euxassay_002411_06 smooth muscle
TS23: lung Strong Regionally restricted euxassay_002411_06
TS23: diaphragm Weak Regionally restricted euxassay_002411_06

Specimen euxassay_002411_07: embryonic day 14.5 (more )
Note: Additional information for this specimen was included in the Eurexpress data submission file.
Structure Level Pattern Image Note
TS23: cranium Strong Regionally restricted euxassay_002411_07
TS23: body wall mesenchyme Strong Regionally restricted euxassay_002411_07
TS23: stomach Strong Regionally restricted euxassay_002411_07 smooth muscle
TS23: smooth muscle tissue Present euxassay_002411_07
TS23: midgut Strong Regionally restricted euxassay_002411_07 smooth muscle
TS23: lung Strong Regionally restricted euxassay_002411_07
TS23: diaphragm Weak Regionally restricted euxassay_002411_07

Specimen euxassay_002411_08: embryonic day 14.5 (more )
Note: Additional information for this specimen was included in the Eurexpress data submission file.
Structure Level Pattern Image Note
TS23: cranium Strong Regionally restricted euxassay_002411_08
TS23: body wall mesenchyme Strong Regionally restricted euxassay_002411_08
TS23: stomach Strong Regionally restricted euxassay_002411_08 smooth muscle
TS23: smooth muscle tissue Present euxassay_002411_08
TS23: midgut Strong Regionally restricted euxassay_002411_08 smooth muscle
TS23: lung Strong Regionally restricted euxassay_002411_08
TS23: diaphragm Weak Regionally restricted euxassay_002411_08

Specimen euxassay_002411_09: embryonic day 14.5 (more )
Note: Additional information for this specimen was included in the Eurexpress data submission file.
Structure Level Pattern Image Note
TS23: cranium Strong Regionally restricted euxassay_002411_09
TS23: body wall mesenchyme Strong Regionally restricted euxassay_002411_09
TS23: stomach Strong Regionally restricted euxassay_002411_09 smooth muscle
TS23: smooth muscle tissue Present euxassay_002411_09
TS23: midgut Strong Regionally restricted euxassay_002411_09 smooth muscle
TS23: lung Strong Regionally restricted euxassay_002411_09
TS23: esophagus Strong Regionally restricted euxassay_002411_09
TS23: diaphragm Weak Regionally restricted euxassay_002411_09

Specimen euxassay_002411_10: embryonic day 14.5 (more )
Note: Additional information for this specimen was included in the Eurexpress data submission file.
Structure Level Pattern Image Note
TS23: cranium Strong Regionally restricted euxassay_002411_10
TS23: body wall mesenchyme Strong Regionally restricted euxassay_002411_10
TS23: stomach Strong Regionally restricted euxassay_002411_10 smooth muscle
TS23: smooth muscle tissue Present euxassay_002411_10
TS23: midgut Strong Regionally restricted euxassay_002411_10 smooth muscle
TS23: lung Strong Regionally restricted euxassay_002411_10
TS23: esophagus Strong Regionally restricted euxassay_002411_10
TS23: bladder wall Strong Regionally restricted euxassay_002411_10
TS23: diaphragm Weak Regionally restricted euxassay_002411_10
TS23: aorta Strong Regionally restricted euxassay_002411_10

Specimen euxassay_002411_11: embryonic day 14.5 (more )
Note: Additional information for this specimen was included in the Eurexpress data submission file.
Structure Level Pattern Image Note
TS23: cranium Strong Regionally restricted euxassay_002411_11
TS23: body wall mesenchyme Strong Regionally restricted euxassay_002411_11
TS23: stomach Strong Regionally restricted euxassay_002411_11 smooth muscle
TS23: smooth muscle tissue Present euxassay_002411_11
TS23: midgut Strong Regionally restricted euxassay_002411_11 smooth muscle
TS23: esophagus Strong Regionally restricted euxassay_002411_11
TS23: bladder wall Strong Regionally restricted euxassay_002411_11
TS23: tongue Moderate Regionally restricted euxassay_002411_11
TS23: diaphragm Weak Regionally restricted euxassay_002411_11
TS23: aorta Strong Regionally restricted euxassay_002411_11
TS23: tail mesenchyme Strong Regionally restricted euxassay_002411_11

Specimen euxassay_002411_12: embryonic day 14.5 (more )
Structure Level Pattern Image Note
TS23: cranium Strong Regionally restricted euxassay_002411_12
TS23: body wall mesenchyme Strong Regionally restricted euxassay_002411_12

Specimen euxassay_002411_13: embryonic day 14.5 (more )
Note: Additional information for this specimen was included in the Eurexpress data submission file.
Structure Level Pattern Image Note
TS23: cranium Strong Regionally restricted euxassay_002411_13
TS23: body wall mesenchyme Strong Regionally restricted euxassay_002411_13
TS23: midgut Strong Regionally restricted euxassay_002411_13 smooth muscle
TS23: hindgut Strong Regionally restricted euxassay_002411_13 smooth muscle
TS23: smooth muscle tissue Present euxassay_002411_13
TS23: rectum Strong Regionally restricted euxassay_002411_13 smooth muscle
TS23: lung Strong Regionally restricted euxassay_002411_13
TS23: esophagus Strong Regionally restricted euxassay_002411_13
TS23: bladder wall Strong Regionally restricted euxassay_002411_13
TS23: tongue Moderate Regionally restricted euxassay_002411_13
TS23: diaphragm Weak Regionally restricted euxassay_002411_13
TS23: aorta Strong Regionally restricted euxassay_002411_13
TS23: tail mesenchyme Strong Regionally restricted euxassay_002411_13

Specimen euxassay_002411_14: embryonic day 14.5 (more )
Note: Additional information for this specimen was included in the Eurexpress data submission file.
Structure Level Pattern Image Note
TS23: cranium Strong Regionally restricted euxassay_002411_14
TS23: body wall mesenchyme Strong Regionally restricted euxassay_002411_14
TS23: rectum Strong Regionally restricted euxassay_002411_14 smooth muscle
TS23: hindgut Strong Regionally restricted euxassay_002411_14 smooth muscle
TS23: smooth muscle tissue Present euxassay_002411_14
TS23: midgut Strong Regionally restricted euxassay_002411_14 smooth muscle
TS23: lung Strong Regionally restricted euxassay_002411_14
TS23: bladder Strong Regionally restricted euxassay_002411_14
TS23: bladder wall Strong Regionally restricted euxassay_002411_14
TS23: tongue Moderate Regionally restricted euxassay_002411_14
TS23: diaphragm Weak Regionally restricted euxassay_002411_14
TS23: aorta Strong Regionally restricted euxassay_002411_14
TS23: tail mesenchyme Strong Regionally restricted euxassay_002411_14

Specimen euxassay_002411_15: embryonic day 14.5 (more )
Note: Additional information for this specimen was included in the Eurexpress data submission file.
Structure Level Pattern Image Note
TS23: cranium Strong Regionally restricted euxassay_002411_15
TS23: body wall mesenchyme Strong Regionally restricted euxassay_002411_15
TS23: midgut Strong Regionally restricted euxassay_002411_15 smooth muscle
TS23: smooth muscle tissue Present euxassay_002411_15
TS23: lung Strong Regionally restricted euxassay_002411_15
TS23: tongue Moderate Regionally restricted euxassay_002411_15
TS23: diaphragm Weak Regionally restricted euxassay_002411_15
TS23: tail mesenchyme Strong Regionally restricted euxassay_002411_15

Specimen euxassay_002411_16: embryonic day 14.5 (more )
Note: Additional information for this specimen was included in the Eurexpress data submission file.
Structure Level Pattern Image Note
TS23: cranium Strong Regionally restricted euxassay_002411_16
TS23: body wall mesenchyme Strong Regionally restricted euxassay_002411_16
TS23: midgut Strong Regionally restricted euxassay_002411_16 smooth muscle
TS23: smooth muscle tissue Present euxassay_002411_16
TS23: lung Strong Regionally restricted euxassay_002411_16
TS23: tongue Moderate Regionally restricted euxassay_002411_16
TS23: diaphragm Weak Regionally restricted euxassay_002411_16
TS23: tail mesenchyme Strong Regionally restricted euxassay_002411_16

Specimen euxassay_002411_17: embryonic day 14.5 (more )
Note: Additional information for this specimen was included in the Eurexpress data submission file.
Structure Level Pattern Image Note
TS23: cranium Strong Regionally restricted euxassay_002411_17
TS23: body wall mesenchyme Strong Regionally restricted euxassay_002411_17
TS23: midgut Strong Regionally restricted euxassay_002411_17 smooth muscle
TS23: smooth muscle tissue Present euxassay_002411_17
TS23: lung Strong Regionally restricted euxassay_002411_17
TS23: diaphragm Weak Regionally restricted euxassay_002411_17
TS23: tail mesenchyme Strong Regionally restricted euxassay_002411_17

Specimen euxassay_002411_18: embryonic day 14.5 (more )
Note: Additional information for this specimen was included in the Eurexpress data submission file.
Structure Level Pattern Image Note
TS23: cranium Strong Regionally restricted euxassay_002411_18
TS23: body wall mesenchyme Strong Regionally restricted euxassay_002411_18
TS23: midgut Strong Regionally restricted euxassay_002411_18 smooth muscle
TS23: smooth muscle tissue Present euxassay_002411_18
TS23: lung Strong Regionally restricted euxassay_002411_18
TS23: diaphragm Weak Regionally restricted euxassay_002411_18
TS23: foot mesenchyme Strong Regionally restricted euxassay_002411_18
TS23: hand mesenchyme Strong Regionally restricted euxassay_002411_18

Specimen euxassay_002411_19: embryonic day 14.5 (more )
Note: Additional information for this specimen was included in the Eurexpress data submission file.
Structure Level Pattern Image Note
TS23: cranium Strong Regionally restricted euxassay_002411_19
TS23: body wall mesenchyme Strong Regionally restricted euxassay_002411_19
TS23: midgut Strong Regionally restricted euxassay_002411_19 smooth muscle
TS23: smooth muscle tissue Present euxassay_002411_19
TS23: lung Strong Regionally restricted euxassay_002411_19
TS23: diaphragm Weak Regionally restricted euxassay_002411_19
TS23: foot mesenchyme Strong Regionally restricted euxassay_002411_19
TS23: hand mesenchyme Strong Regionally restricted euxassay_002411_19

Specimen euxassay_002411_20: embryonic day 14.5 (more )
Note: Additional information for this specimen was included in the Eurexpress data submission file.
Structure Level Pattern Image Note
TS23: cranium Strong Regionally restricted euxassay_002411_20
TS23: body wall mesenchyme Strong Regionally restricted euxassay_002411_20
TS23: midgut Strong Regionally restricted euxassay_002411_20 smooth muscle
TS23: smooth muscle tissue Present euxassay_002411_20
TS23: lung Strong Regionally restricted euxassay_002411_20
TS23: diaphragm Weak Regionally restricted euxassay_002411_20
TS23: hand mesenchyme Strong Regionally restricted euxassay_002411_20
TS23: foot mesenchyme Strong Regionally restricted euxassay_002411_20

Specimen euxassay_002411_21: embryonic day 14.5 (more )
Structure Level Pattern Image Note
TS23: cranium Strong Regionally restricted euxassay_002411_21
TS23: body wall mesenchyme Strong Regionally restricted euxassay_002411_21
TS23: lung Strong Regionally restricted euxassay_002411_21
TS23: diaphragm Weak Regionally restricted euxassay_002411_21
TS23: foot mesenchyme Strong Regionally restricted euxassay_002411_21
TS23: hand mesenchyme Strong Regionally restricted euxassay_002411_21

Specimen euxassay_002411_22: embryonic day 14.5 (more )
Structure Level Pattern Image Note
TS23: cranium Strong Regionally restricted euxassay_002411_22
TS23: body wall mesenchyme Strong Regionally restricted euxassay_002411_22
TS23: diaphragm Weak Regionally restricted euxassay_002411_22
TS23: foot mesenchyme Strong Regionally restricted euxassay_002411_22
TS23: hand mesenchyme Strong Regionally restricted euxassay_002411_22

Specimen euxassay_002411_23: embryonic day 14.5 (more )
Structure Level Pattern Image Note
TS23: cranium Strong Regionally restricted euxassay_002411_23
TS23: body wall mesenchyme Strong Regionally restricted euxassay_002411_23
TS23: hand mesenchyme Strong Regionally restricted euxassay_002411_23
TS23: foot mesenchyme Strong Regionally restricted euxassay_002411_23

Specimen euxassay_002411_24: embryonic day 14.5 (more )
Structure Level Pattern Image Note
TS23: cranium Strong Regionally restricted euxassay_002411_24
TS23: body wall mesenchyme Strong Regionally restricted euxassay_002411_24
TS23: foot mesenchyme Strong Regionally restricted euxassay_002411_24
TS23: hand mesenchyme Strong Regionally restricted euxassay_002411_24


Contributing Projects:
Mouse Genome Database (MGD), Gene Expression Database (GXD), Mouse Models of Human Cancer database (MMHCdb) (formerly Mouse Tumor Biology (MTB)), Gene Ontology (GO)
Citing These Resources
Funding Information
Warranty Disclaimer, Privacy Notice, Licensing, & Copyright
Send questions and comments to User Support.
last database update
01/20/2026
MGI 6.24
The Jackson Laboratory