About   Help   FAQ
Gene Expression Data
Assay Details
Assay
Reference: J:153498 Diez-Roux G, et al., A high-resolution anatomical atlas of the transcriptome in the mouse embryo. PLoS Biol. 2011;9(1):e1000582
Assay type: RNA in situ
MGI Accession ID: MGI:4828565
Gene symbol: Syt1
Gene name: synaptotagmin I
Probe: MGC clone 36169
Probe preparation: Antisense labelled with digoxigenin RNA
Visualized with: Alkaline phosphatase
Assay notes: Cryosections of fresh frozen material were fixed in 4% paraformaldehyde for 20 min. before further processing. A tyramide-biotin/streptavidin amplification step was included in the in situ hybridization procedure.
Results
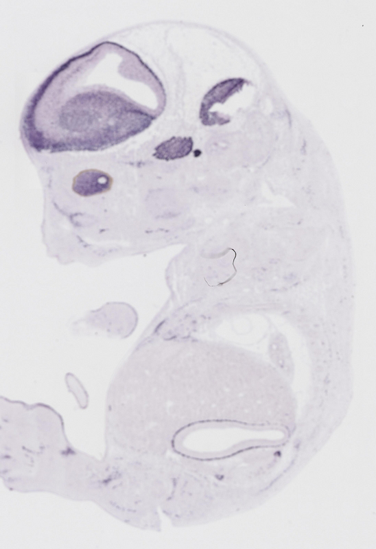
Specimen euxassay_001257_01: embryonic day 14.5 (more )
Structure Level Pattern Image Note
TS23: cornea stroma Strong Uniform euxassay_001257_01
TS23: retina Moderate Regionally restricted euxassay_001257_01
TS23: vertebral axis musculature Weak Regionally restricted euxassay_001257_01

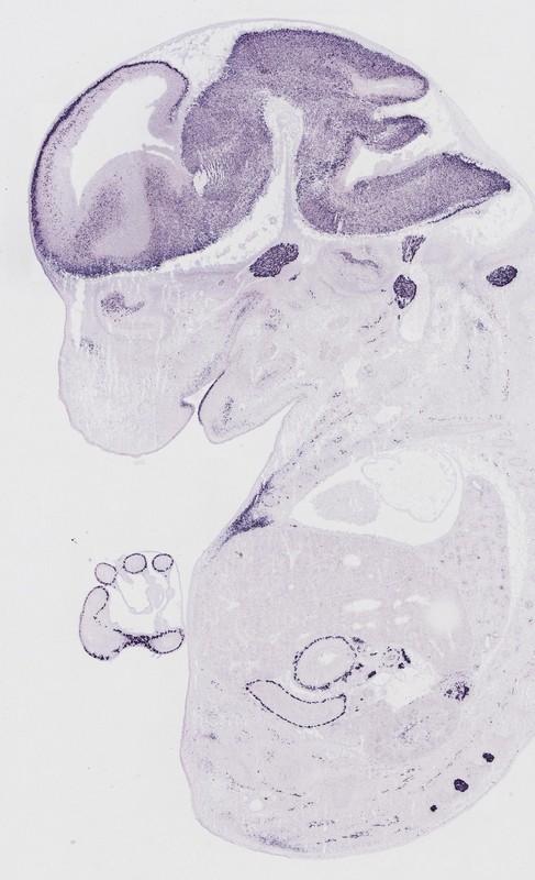
Specimen euxassay_001257_02: embryonic day 14.5 (more )
Structure Level Pattern Image Note
TS23: stomach Moderate Regionally restricted euxassay_001257_02
TS23: stomach fundus epithelium Moderate Regionally restricted euxassay_001257_02
TS23: cornea stroma Strong Uniform euxassay_001257_02
TS23: retina Moderate Regionally restricted euxassay_001257_02
TS23: vertebral axis musculature Weak Regionally restricted euxassay_001257_02
TS23: foot mesenchyme Weak Regionally restricted euxassay_001257_02

Specimen euxassay_001257_03: embryonic day 14.5 (more )
Structure Level Pattern Image Note
TS23: trigeminal ganglion Strong Regionally restricted euxassay_001257_03
TS23: telencephalon mantle layer Strong Uniform euxassay_001257_03
TS23: metencephalon rest of alar plate mantle layer Strong Uniform euxassay_001257_03
TS23: stomach fundus epithelium Moderate Regionally restricted euxassay_001257_03
TS23: cornea stroma Strong Uniform euxassay_001257_03
TS23: retina Moderate Regionally restricted euxassay_001257_03
TS23: vertebral axis musculature Weak Regionally restricted euxassay_001257_03
TS23: foot mesenchyme Weak Regionally restricted euxassay_001257_03

Specimen euxassay_001257_04: embryonic day 14.5 (more )
Structure Level Pattern Image Note
TS23: trigeminal ganglion Strong Regionally restricted euxassay_001257_04
TS23: facial ganglion Strong Regionally restricted euxassay_001257_04
TS23: metencephalon rest of alar plate mantle layer Strong Uniform euxassay_001257_04
TS23: telencephalon mantle layer Strong Uniform euxassay_001257_04
TS23: stomach fundus epithelium Moderate Regionally restricted euxassay_001257_04
TS23: retina Moderate Regionally restricted euxassay_001257_04
TS23: vertebral axis musculature Weak Regionally restricted euxassay_001257_04
TS23: foot mesenchyme Weak Regionally restricted euxassay_001257_04

Specimen euxassay_001257_05: embryonic day 14.5 (more )
Structure Level Pattern Image Note
TS23: trigeminal ganglion Strong Regionally restricted euxassay_001257_05
TS23: facial ganglion Strong Regionally restricted euxassay_001257_05
TS23: telencephalon mantle layer Strong Uniform euxassay_001257_05
TS23: metencephalon rest of alar plate mantle layer Strong Uniform euxassay_001257_05
TS23: midbrain mantle layer Strong Uniform euxassay_001257_05
TS23: stomach fundus epithelium Moderate Regionally restricted euxassay_001257_05
TS23: vertebral axis musculature Weak Regionally restricted euxassay_001257_05

Specimen euxassay_001257_06: embryonic day 14.5 (more )
Structure Level Pattern Image Note
TS23: trigeminal ganglion Strong Regionally restricted euxassay_001257_06
TS23: facial ganglion Strong Regionally restricted euxassay_001257_06
TS23: metencephalon rest of alar plate mantle layer Strong Uniform euxassay_001257_06
TS23: telencephalon mantle layer Strong Uniform euxassay_001257_06
TS23: midbrain mantle layer Strong Uniform euxassay_001257_06
TS23: stomach fundus epithelium Moderate Regionally restricted euxassay_001257_06
TS23: midgut loop epithelium Moderate Regionally restricted euxassay_001257_06
TS23: pectoralis major Weak Regionally restricted euxassay_001257_06
TS23: pectoralis minor Weak Regionally restricted euxassay_001257_06
TS23: oral epithelium Moderate Regionally restricted euxassay_001257_06
TS23: vertebral axis musculature Weak Regionally restricted euxassay_001257_06

Specimen euxassay_001257_07: embryonic day 14.5 (more )
Structure Level Pattern Image Note
TS23: trigeminal ganglion Strong Regionally restricted euxassay_001257_07
TS23: facial ganglion Strong Regionally restricted euxassay_001257_07
TS23: vestibulo-cochlear ganglion Strong Regionally restricted euxassay_001257_07
TS23: glossopharyngeal ganglion Strong Regionally restricted euxassay_001257_07
TS23: telencephalon mantle layer Strong Uniform euxassay_001257_07
TS23: metencephalon rest of alar plate mantle layer Strong Uniform euxassay_001257_07
TS23: medulla oblongata alar plate mantle layer Strong Uniform euxassay_001257_07
TS23: midbrain mantle layer Strong Uniform euxassay_001257_07
TS23: diencephalon lateral wall mantle layer Strong Uniform euxassay_001257_07
TS23: stomach fundus epithelium Moderate Regionally restricted euxassay_001257_07
TS23: midgut loop epithelium Moderate Regionally restricted euxassay_001257_07
TS23: adrenal gland Moderate Regionally restricted euxassay_001257_07
TS23: pectoralis major Moderate Regionally restricted euxassay_001257_07
TS23: pectoralis minor Moderate Regionally restricted euxassay_001257_07
TS23: oral epithelium Moderate Regionally restricted euxassay_001257_07
TS23: vertebral axis musculature Weak Regionally restricted euxassay_001257_07

Specimen euxassay_001257_08: embryonic day 14.5 (more )
Structure Level Pattern Image Note
TS23: trigeminal ganglion Strong Regionally restricted euxassay_001257_08
TS23: glossopharyngeal ganglion Strong Regionally restricted euxassay_001257_08
TS23: vestibulo-cochlear ganglion Weak Regionally restricted euxassay_001257_08
TS23: dorsal root ganglion Strong Regionally restricted euxassay_001257_08
TS23: telencephalon mantle layer Strong Uniform euxassay_001257_08
TS23: medulla oblongata alar plate mantle layer Strong Uniform euxassay_001257_08
TS23: metencephalon rest of alar plate mantle layer Strong Uniform euxassay_001257_08
TS23: telencephalon marginal layer Strong Uniform euxassay_001257_08
TS23: midbrain mantle layer Strong Uniform euxassay_001257_08
TS23: diencephalon lateral wall mantle layer Strong Uniform euxassay_001257_08
TS23: hypothalamus mantle layer Strong Uniform euxassay_001257_08
TS23: midgut loop epithelium Moderate Regionally restricted euxassay_001257_08
TS23: stomach fundus epithelium Moderate Regionally restricted euxassay_001257_08
TS23: adrenal gland Moderate Regionally restricted euxassay_001257_08
TS23: olfactory epithelium Weak Regionally restricted euxassay_001257_08
TS23: pectoralis minor Moderate Regionally restricted euxassay_001257_08
TS23: pectoralis major Moderate Regionally restricted euxassay_001257_08
TS23: oral epithelium Moderate Regionally restricted euxassay_001257_08
TS23: vertebral axis musculature Weak Regionally restricted euxassay_001257_08

Specimen euxassay_001257_09: embryonic day 14.5 (more )
Structure Level Pattern Image Note
TS23: vagus ganglion Strong Regionally restricted euxassay_001257_09
TS23: trigeminal ganglion Strong Regionally restricted euxassay_001257_09
TS23: dorsal root ganglion Strong Regionally restricted euxassay_001257_09
TS23: telencephalon mantle layer Strong Uniform euxassay_001257_09
TS23: medulla oblongata alar plate mantle layer Strong Uniform euxassay_001257_09
TS23: metencephalon rest of alar plate mantle layer Strong Uniform euxassay_001257_09
TS23: telencephalon marginal layer Strong Uniform euxassay_001257_09
TS23: midbrain mantle layer Strong Uniform euxassay_001257_09
TS23: hypothalamus mantle layer Strong Uniform euxassay_001257_09
TS23: diencephalon lateral wall mantle layer Strong Uniform euxassay_001257_09
TS23: spinal cord mantle layer Strong Uniform euxassay_001257_09
TS23: foregut-midgut junction epithelium Moderate Regionally restricted euxassay_001257_09
TS23: adrenal gland Moderate Regionally restricted euxassay_001257_09
TS23: ureter Moderate Regionally restricted euxassay_001257_09
TS23: olfactory epithelium Weak Regionally restricted euxassay_001257_09
TS23: pectoralis minor Moderate Regionally restricted euxassay_001257_09
TS23: pectoralis major Moderate Regionally restricted euxassay_001257_09
TS23: oral epithelium Moderate Regionally restricted euxassay_001257_09

Specimen euxassay_001257_10: embryonic day 14.5 (more )
Structure Level Pattern Image Note
TS23: dorsal root ganglion Strong Regionally restricted euxassay_001257_10
TS23: metencephalon rest of alar plate mantle layer Strong Uniform euxassay_001257_10
TS23: medulla oblongata alar plate mantle layer Strong Uniform euxassay_001257_10
TS23: telencephalon mantle layer Strong Uniform euxassay_001257_10
TS23: olfactory cortex marginal layer Strong Uniform euxassay_001257_10
TS23: telencephalon marginal layer Strong Uniform euxassay_001257_10
TS23: midbrain mantle layer Strong Uniform euxassay_001257_10
TS23: midbrain marginal layer Strong Uniform euxassay_001257_10
TS23: hypothalamus mantle layer Strong Uniform euxassay_001257_10
TS23: diencephalon lateral wall mantle layer Strong Uniform euxassay_001257_10
TS23: spinal cord mantle layer Strong Uniform euxassay_001257_10
TS23: foregut-midgut junction epithelium Moderate Regionally restricted euxassay_001257_10
TS23: midgut loop epithelium Moderate Regionally restricted euxassay_001257_10
TS23: duodenum caudal part epithelium Moderate Regionally restricted euxassay_001257_10
TS23: adrenal gland Moderate Regionally restricted euxassay_001257_10
TS23: ureter Moderate Regionally restricted euxassay_001257_10
TS23: olfactory epithelium Moderate Regionally restricted euxassay_001257_10
TS23: cervical ganglion Strong Regionally restricted euxassay_001257_10
TS23: pectoralis minor Moderate Regionally restricted euxassay_001257_10
TS23: pectoralis major Moderate Regionally restricted euxassay_001257_10
TS23: oral epithelium Moderate Regionally restricted euxassay_001257_10

Specimen euxassay_001257_11: embryonic day 14.5 (more )
Structure Level Pattern Image Note
TS23: dorsal root ganglion Strong Regionally restricted euxassay_001257_11
TS23: telencephalon mantle layer Strong Uniform euxassay_001257_11
TS23: medulla oblongata alar plate mantle layer Strong Uniform euxassay_001257_11
TS23: olfactory cortex marginal layer Strong Uniform euxassay_001257_11
TS23: telencephalon marginal layer Strong Uniform euxassay_001257_11
TS23: pons mantle layer Strong Uniform euxassay_001257_11
TS23: midbrain marginal layer Strong Uniform euxassay_001257_11
TS23: midbrain mantle layer Strong Uniform euxassay_001257_11
TS23: hypothalamus mantle layer Strong Uniform euxassay_001257_11
TS23: diencephalon lateral wall mantle layer Strong Uniform euxassay_001257_11
TS23: spinal cord mantle layer Strong Uniform euxassay_001257_11
TS23: duodenum caudal part epithelium Moderate Regionally restricted euxassay_001257_11
TS23: foregut-midgut junction epithelium Moderate Regionally restricted euxassay_001257_11
TS23: midgut epithelium Moderate Regionally restricted euxassay_001257_11
TS23: midgut loop epithelium Moderate Regionally restricted euxassay_001257_11
TS23: rectum epithelium Moderate Regionally restricted euxassay_001257_11
TS23: ureter Moderate Regionally restricted euxassay_001257_11
TS23: olfactory epithelium Moderate Regionally restricted euxassay_001257_11
TS23: cervico-thoracic ganglion Strong Regionally restricted euxassay_001257_11
TS23: pectoralis minor Weak Regionally restricted euxassay_001257_11
TS23: pectoralis major Weak Regionally restricted euxassay_001257_11
TS23: pituitary gland Moderate Regionally restricted euxassay_001257_11
TS23: upper jaw incisor Moderate Regionally restricted euxassay_001257_11
TS23: lower jaw incisor Moderate Regionally restricted euxassay_001257_11
TS23: oral epithelium Moderate Regionally restricted euxassay_001257_11
TS23: tongue Weak Regionally restricted euxassay_001257_11
TS23: urethra Strong Regionally restricted euxassay_001257_11 Originally this result was annotated to a male-specific term, but as the specimen was not sexed, it is likely the data annotator intended to use a non-sex specific term.

Specimen euxassay_001257_12: embryonic day 14.5 (more )
Structure Level Pattern Image Note
TS23: pons mantle layer Strong Uniform euxassay_001257_12
TS23: telencephalon mantle layer Strong Uniform euxassay_001257_12
TS23: telencephalon marginal layer Strong Uniform euxassay_001257_12
TS23: olfactory cortex marginal layer Strong Uniform euxassay_001257_12
TS23: medulla oblongata basal plate mantle layer Strong Uniform euxassay_001257_12
TS23: midbrain marginal layer Strong Uniform euxassay_001257_12
TS23: midbrain mantle layer Strong Uniform euxassay_001257_12
TS23: hypothalamus mantle layer Strong Uniform euxassay_001257_12
TS23: diencephalon lateral wall mantle layer Strong Uniform euxassay_001257_12
TS23: spinal cord mantle layer Strong Uniform euxassay_001257_12
TS23: foregut-midgut junction epithelium Moderate Regionally restricted euxassay_001257_12
TS23: midgut loop epithelium Moderate Regionally restricted euxassay_001257_12
TS23: duodenum caudal part epithelium Moderate Regionally restricted euxassay_001257_12
TS23: olfactory epithelium Moderate Regionally restricted euxassay_001257_12
TS23: thoracic ganglion Strong Regionally restricted euxassay_001257_12
TS23: esophagus Weak Regionally restricted euxassay_001257_12
TS23: pectoralis minor Weak Regionally restricted euxassay_001257_12
TS23: pectoralis major Weak Regionally restricted euxassay_001257_12
TS23: pituitary gland Moderate Regionally restricted euxassay_001257_12
TS23: lower jaw incisor Moderate Regionally restricted euxassay_001257_12
TS23: oral epithelium Moderate Regionally restricted euxassay_001257_12
TS23: tongue Weak Regionally restricted euxassay_001257_12
TS23: external naris Moderate Regionally restricted euxassay_001257_12
TS23: vertebral axis musculature Weak Regionally restricted euxassay_001257_12

Specimen euxassay_001257_13: embryonic day 14.5 (more )
Structure Level Pattern Image Note
TS23: telencephalon marginal layer Strong Uniform euxassay_001257_13
TS23: telencephalon mantle layer Strong Uniform euxassay_001257_13
TS23: pons mantle layer Strong Uniform euxassay_001257_13
TS23: olfactory cortex marginal layer Strong Uniform euxassay_001257_13
TS23: medulla oblongata basal plate mantle layer Strong Uniform euxassay_001257_13
TS23: midbrain marginal layer Strong Uniform euxassay_001257_13
TS23: hypothalamus mantle layer Strong Uniform euxassay_001257_13
TS23: diencephalon lateral wall mantle layer Strong Uniform euxassay_001257_13
TS23: spinal cord mantle layer Strong Uniform euxassay_001257_13
TS23: duodenum caudal part epithelium Moderate Regionally restricted euxassay_001257_13
TS23: midgut loop epithelium Moderate Regionally restricted euxassay_001257_13
TS23: foregut-midgut junction epithelium Moderate Regionally restricted euxassay_001257_13
TS23: olfactory epithelium Moderate Regionally restricted euxassay_001257_13
TS23: thoracic ganglion Strong Regionally restricted euxassay_001257_13
TS23: esophagus Weak Regionally restricted euxassay_001257_13
TS23: pectoralis minor Moderate Regionally restricted euxassay_001257_13
TS23: pectoralis major Moderate Regionally restricted euxassay_001257_13
TS23: pituitary gland Moderate Regionally restricted euxassay_001257_13
TS23: oral epithelium Moderate Regionally restricted euxassay_001257_13
TS23: tongue Weak Regionally restricted euxassay_001257_13
TS23: anterior naris epithelium Moderate Regionally restricted euxassay_001257_13
TS23: vertebral axis musculature Weak Regionally restricted euxassay_001257_13

Specimen euxassay_001257_14: embryonic day 14.5 (more )
Structure Level Pattern Image Note
TS23: pons mantle layer Strong Uniform euxassay_001257_14
TS23: medulla oblongata basal plate mantle layer Strong Uniform euxassay_001257_14
TS23: medulla oblongata alar plate mantle layer Strong Uniform euxassay_001257_14
TS23: telencephalon mantle layer Strong Uniform euxassay_001257_14
TS23: telencephalon marginal layer Strong Uniform euxassay_001257_14
TS23: midbrain mantle layer Strong Uniform euxassay_001257_14
TS23: hypothalamus mantle layer Strong Uniform euxassay_001257_14
TS23: diencephalon lateral wall mantle layer Strong Uniform euxassay_001257_14
TS23: spinal cord mantle layer Strong Uniform euxassay_001257_14
TS23: duodenum caudal part epithelium Moderate Regionally restricted euxassay_001257_14
TS23: midgut loop epithelium Moderate Regionally restricted euxassay_001257_14
TS23: foregut-midgut junction epithelium Moderate Regionally restricted euxassay_001257_14
TS23: esophagus Weak Regionally restricted euxassay_001257_14
TS23: pectoralis minor Moderate Regionally restricted euxassay_001257_14
TS23: pectoralis major Moderate Regionally restricted euxassay_001257_14
TS23: pituitary gland Moderate Regionally restricted euxassay_001257_14
TS23: oral epithelium Moderate Regionally restricted euxassay_001257_14
TS23: vertebral axis musculature Weak Regionally restricted euxassay_001257_14

Specimen euxassay_001257_15: embryonic day 14.5 (more )
Structure Level Pattern Image Note
TS23: dorsal root ganglion Strong Regionally restricted euxassay_001257_15
TS23: telencephalon mantle layer Strong Uniform euxassay_001257_15
TS23: telencephalon marginal layer Strong Uniform euxassay_001257_15
TS23: olfactory cortex marginal layer Strong Uniform euxassay_001257_15
TS23: medulla oblongata alar plate mantle layer Strong Uniform euxassay_001257_15
TS23: pons mantle layer Strong Uniform euxassay_001257_15
TS23: midbrain mantle layer Strong Uniform euxassay_001257_15
TS23: hypothalamus mantle layer Strong Uniform euxassay_001257_15
TS23: diencephalon lateral wall mantle layer Strong Uniform euxassay_001257_15
TS23: spinal cord mantle layer Strong Uniform euxassay_001257_15
TS23: midgut loop epithelium Moderate Regionally restricted euxassay_001257_15
TS23: duodenum caudal part epithelium Moderate Regionally restricted euxassay_001257_15
TS23: adrenal gland Moderate Regionally restricted euxassay_001257_15
TS23: ureter Moderate Regionally restricted euxassay_001257_15
TS23: olfactory epithelium Moderate Regionally restricted euxassay_001257_15
TS23: thoracic ganglion Strong Regionally restricted euxassay_001257_15
TS23: pectoralis minor Moderate Regionally restricted euxassay_001257_15
TS23: pectoralis major Moderate Regionally restricted euxassay_001257_15
TS23: pituitary gland Moderate Regionally restricted euxassay_001257_15
TS23: oral epithelium Moderate Regionally restricted euxassay_001257_15
TS23: tongue Weak Regionally restricted euxassay_001257_15
TS23: posterior naris epithelium Moderate Regionally restricted euxassay_001257_15
TS23: vertebral axis musculature Weak Regionally restricted euxassay_001257_15
TS23: urethra Strong Regionally restricted euxassay_001257_15 Originally this result was annotated to a male-specific term, but as the specimen was not sexed, it is likely the data annotator intended to use a non-sex specific term.

Specimen euxassay_001257_16: embryonic day 14.5 (more )
Structure Level Pattern Image Note
TS23: dorsal root ganglion Strong Regionally restricted euxassay_001257_16
TS23: pons mantle layer Strong Uniform euxassay_001257_16
TS23: medulla oblongata alar plate mantle layer Strong Uniform euxassay_001257_16
TS23: olfactory cortex marginal layer Strong Uniform euxassay_001257_16
TS23: telencephalon marginal layer Strong Uniform euxassay_001257_16
TS23: telencephalon mantle layer Strong Uniform euxassay_001257_16
TS23: midbrain mantle layer Strong Uniform euxassay_001257_16
TS23: hypothalamus mantle layer Strong Uniform euxassay_001257_16
TS23: diencephalon lateral wall mantle layer Strong Uniform euxassay_001257_16
TS23: spinal cord mantle layer Strong Uniform euxassay_001257_16
TS23: duodenum caudal part epithelium Moderate Regionally restricted euxassay_001257_16
TS23: midgut loop epithelium Moderate Regionally restricted euxassay_001257_16
TS23: adrenal gland Moderate Regionally restricted euxassay_001257_16
TS23: ureter Moderate Regionally restricted euxassay_001257_16
TS23: olfactory epithelium Moderate Regionally restricted euxassay_001257_16
TS23: cervico-thoracic ganglion Strong Regionally restricted euxassay_001257_16
TS23: pectoralis major Weak Regionally restricted euxassay_001257_16
TS23: pectoralis minor Weak Regionally restricted euxassay_001257_16
TS23: pituitary gland Moderate Regionally restricted euxassay_001257_16
TS23: lower jaw incisor Moderate Regionally restricted euxassay_001257_16
TS23: oral epithelium Moderate Regionally restricted euxassay_001257_16
TS23: tongue Weak Regionally restricted euxassay_001257_16
TS23: anterior naris epithelium Moderate Regionally restricted euxassay_001257_16
TS23: vertebral axis musculature Weak Regionally restricted euxassay_001257_16

Specimen euxassay_001257_17: embryonic day 14.5 (more )
Structure Level Pattern Image Note
TS23: dorsal root ganglion Strong Regionally restricted euxassay_001257_17
TS23: olfactory cortex marginal layer Strong Uniform euxassay_001257_17
TS23: telencephalon marginal layer Strong Uniform euxassay_001257_17
TS23: telencephalon mantle layer Strong Uniform euxassay_001257_17
TS23: metencephalon rest of alar plate mantle layer Strong Uniform euxassay_001257_17
TS23: pons mantle layer Strong Uniform euxassay_001257_17
TS23: midbrain mantle layer Strong Uniform euxassay_001257_17
TS23: hypothalamus mantle layer Strong Uniform euxassay_001257_17
TS23: diencephalon lateral wall mantle layer Strong Uniform euxassay_001257_17
TS23: spinal cord mantle layer Strong Uniform euxassay_001257_17
TS23: adrenal gland Moderate Regionally restricted euxassay_001257_17
TS23: ureter Moderate Regionally restricted euxassay_001257_17
TS23: olfactory epithelium Moderate Regionally restricted euxassay_001257_17
TS23: cervico-thoracic ganglion Strong Regionally restricted euxassay_001257_17
TS23: cervical ganglion Strong Regionally restricted euxassay_001257_17
TS23: pectoralis minor Weak Regionally restricted euxassay_001257_17
TS23: pectoralis major Weak Regionally restricted euxassay_001257_17
TS23: oral epithelium Moderate Regionally restricted euxassay_001257_17
TS23: external naris epithelium Moderate Regionally restricted euxassay_001257_17

Specimen euxassay_001257_18: embryonic day 14.5 (more )
Structure Level Pattern Image Note
TS23: vagus ganglion Strong Regionally restricted euxassay_001257_18
TS23: trigeminal ganglion Strong Regionally restricted euxassay_001257_18
TS23: vestibulo-cochlear ganglion Weak Regionally restricted euxassay_001257_18
TS23: dorsal root ganglion Strong Regionally restricted euxassay_001257_18
TS23: pons mantle layer Strong Uniform euxassay_001257_18
TS23: metencephalon rest of alar plate mantle layer Strong Uniform euxassay_001257_18
TS23: medulla oblongata alar plate mantle layer Strong Uniform euxassay_001257_18
TS23: olfactory cortex marginal layer Strong Uniform euxassay_001257_18
TS23: telencephalon marginal layer Strong Uniform euxassay_001257_18
TS23: telencephalon mantle layer Strong Uniform euxassay_001257_18
TS23: midbrain mantle layer Strong Uniform euxassay_001257_18
TS23: hypothalamus mantle layer Strong Uniform euxassay_001257_18
TS23: diencephalon lateral wall mantle layer Strong Uniform euxassay_001257_18
TS23: adrenal gland Moderate Regionally restricted euxassay_001257_18
TS23: olfactory epithelium Moderate Regionally restricted euxassay_001257_18
TS23: pectoralis minor Weak Regionally restricted euxassay_001257_18
TS23: pectoralis major Weak Regionally restricted euxassay_001257_18
TS23: lower jaw incisor Moderate Regionally restricted euxassay_001257_18
TS23: oral epithelium Moderate Regionally restricted euxassay_001257_18
TS23: external naris epithelium Weak Regionally restricted euxassay_001257_18

Specimen euxassay_001257_19: embryonic day 14.5 (more )
Structure Level Pattern Image Note
TS23: vestibulo-cochlear ganglion Weak Regionally restricted euxassay_001257_19
TS23: glossopharyngeal ganglion Strong Regionally restricted euxassay_001257_19
TS23: trigeminal ganglion Strong Regionally restricted euxassay_001257_19
TS23: dorsal root ganglion Strong Regionally restricted euxassay_001257_19
TS23: telencephalon mantle layer Strong Uniform euxassay_001257_19
TS23: telencephalon marginal layer Strong Uniform euxassay_001257_19
TS23: medulla oblongata alar plate mantle layer Strong Uniform euxassay_001257_19
TS23: metencephalon rest of alar plate mantle layer Strong Uniform euxassay_001257_19
TS23: pons mantle layer Strong Uniform euxassay_001257_19
TS23: midbrain mantle layer Strong Uniform euxassay_001257_19
TS23: diencephalon lateral wall mantle layer Strong Uniform euxassay_001257_19
TS23: olfactory epithelium Weak Regionally restricted euxassay_001257_19
TS23: pectoralis major Weak Regionally restricted euxassay_001257_19
TS23: pectoralis minor Weak Regionally restricted euxassay_001257_19
TS23: oral epithelium Moderate Regionally restricted euxassay_001257_19

Specimen euxassay_001257_20: embryonic day 14.5 (more )
Structure Level Pattern Image Note
TS23: trigeminal ganglion Strong Regionally restricted euxassay_001257_20
TS23: glossopharyngeal ganglion Strong Regionally restricted euxassay_001257_20
TS23: vestibulo-cochlear ganglion Weak Regionally restricted euxassay_001257_20
TS23: metencephalon rest of alar plate mantle layer Strong Uniform euxassay_001257_20
TS23: telencephalon mantle layer Strong Uniform euxassay_001257_20
TS23: telencephalon marginal layer Strong Uniform euxassay_001257_20
TS23: midbrain mantle layer Strong Uniform euxassay_001257_20
TS23: pectoralis major Weak Regionally restricted euxassay_001257_20
TS23: pectoralis minor Weak Regionally restricted euxassay_001257_20
TS23: oral epithelium Moderate Regionally restricted euxassay_001257_20
TS23: vertebral axis musculature Weak Regionally restricted euxassay_001257_20
TS23: foot mesenchyme Weak Regionally restricted euxassay_001257_20

Specimen euxassay_001257_21: embryonic day 14.5 (more )
Structure Level Pattern Image Note
TS23: trigeminal ganglion Strong Regionally restricted euxassay_001257_21
TS23: facial ganglion Strong Regionally restricted euxassay_001257_21
TS23: dorsal root ganglion Strong Regionally restricted euxassay_001257_21
TS23: telencephalon mantle layer Strong Uniform euxassay_001257_21
TS23: telencephalon marginal layer Strong Uniform euxassay_001257_21
TS23: metencephalon rest of alar plate mantle layer Strong Uniform euxassay_001257_21
TS23: pectoralis major Weak Regionally restricted euxassay_001257_21
TS23: pectoralis minor Weak Regionally restricted euxassay_001257_21
TS23: oral epithelium Moderate Regionally restricted euxassay_001257_21
TS23: vertebral axis musculature Weak Regionally restricted euxassay_001257_21

Specimen euxassay_001257_22: embryonic day 14.5 (more )
Structure Level Pattern Image Note
TS23: trigeminal ganglion Strong Regionally restricted euxassay_001257_22
TS23: facial ganglion Strong Regionally restricted euxassay_001257_22
TS23: metencephalon rest of alar plate mantle layer Strong Uniform euxassay_001257_22
TS23: telencephalon marginal layer Strong Uniform euxassay_001257_22
TS23: telencephalon mantle layer Strong Uniform euxassay_001257_22
TS23: pectoralis major Weak Regionally restricted euxassay_001257_22
TS23: pectoralis minor Weak Regionally restricted euxassay_001257_22
TS23: oral epithelium Moderate Regionally restricted euxassay_001257_22
TS23: vertebral axis musculature Weak Regionally restricted euxassay_001257_22
TS23: foot mesenchyme Weak Regionally restricted euxassay_001257_22

Specimen euxassay_001257_23: embryonic day 14.5 (more )
Structure Level Pattern Image Note
TS23: trigeminal ganglion Strong Regionally restricted euxassay_001257_23
TS23: telencephalon marginal layer Strong Uniform euxassay_001257_23
TS23: telencephalon mantle layer Strong Uniform euxassay_001257_23
TS23: pectoralis major Weak Regionally restricted euxassay_001257_23
TS23: pectoralis minor Weak Regionally restricted euxassay_001257_23
TS23: retina Moderate Regionally restricted euxassay_001257_23
TS23: vertebral axis musculature Weak Regionally restricted euxassay_001257_23
TS23: foot mesenchyme Weak Regionally restricted euxassay_001257_23

Specimen euxassay_001257_24: embryonic day 14.5 (more )
Structure Level Pattern Image Note
TS23: telencephalon marginal layer Strong Uniform euxassay_001257_24
TS23: telencephalon mantle layer Strong Uniform euxassay_001257_24
TS23: retina Moderate Regionally restricted euxassay_001257_24
TS23: cornea stroma Strong Uniform euxassay_001257_24
TS23: vertebral axis musculature Weak Regionally restricted euxassay_001257_24


Contributing Projects:
Mouse Genome Database (MGD), Gene Expression Database (GXD), Mouse Models of Human Cancer database (MMHCdb) (formerly Mouse Tumor Biology (MTB)), Gene Ontology (GO)
Citing These Resources
Funding Information
Warranty Disclaimer, Privacy Notice, Licensing, & Copyright
Send questions and comments to User Support.
last database update
01/06/2026
MGI 6.24
The Jackson Laboratory