About   Help   FAQ
Gene Expression Data
Assay Details
Assay
Reference: J:153498 Diez-Roux G, et al., A high-resolution anatomical atlas of the transcriptome in the mouse embryo. PLoS Biol. 2011;9(1):e1000582
Assay type: RNA in situ
MGI Accession ID: MGI:4828562
Gene symbol: Synpr
Gene name: synaptoporin
Probe: MGC clone 31661
Probe preparation: Antisense labelled with digoxigenin RNA
Visualized with: Alkaline phosphatase
Assay notes: Cryosections of fresh frozen material were fixed in 4% paraformaldehyde for 20 min. before further processing. A tyramide-biotin/streptavidin amplification step was included in the in situ hybridization procedure.
Results
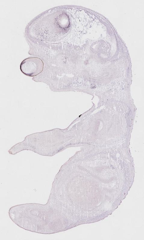
Specimen euxassay_003004_01: embryonic day 14.5 (more )
Structure Level Pattern Image Note
TS23: telencephalon ventricular layer Strong Regionally restricted euxassay_003004_01
TS23: telencephalon mantle layer Strong Regionally restricted euxassay_003004_01

Specimen euxassay_003004_02: embryonic day 14.5 (more )
Structure Level Pattern Image Note
TS23: telencephalon ventricular layer Strong Regionally restricted euxassay_003004_02
TS23: telencephalon mantle layer Strong Regionally restricted euxassay_003004_02

Specimen euxassay_003004_03: embryonic day 14.5 (more )
Structure Level Pattern Image Note
TS23: telencephalon ventricular layer Strong Regionally restricted euxassay_003004_03
TS23: telencephalon mantle layer Strong Regionally restricted euxassay_003004_03

Specimen euxassay_003004_04: embryonic day 14.5 (more )
Structure Level Pattern Image Note
TS23: telencephalon ventricular layer Strong Regionally restricted euxassay_003004_04
TS23: telencephalon mantle layer Strong Regionally restricted euxassay_003004_04
TS23: trigeminal ganglion Moderate Regionally restricted euxassay_003004_04
TS23: facial ganglion Moderate Regionally restricted euxassay_003004_04

Specimen euxassay_003004_05: embryonic day 14.5 (more )
Structure Level Pattern Image Note
TS23: telencephalon ventricular layer Strong Regionally restricted euxassay_003004_05
TS23: telencephalon mantle layer Strong Regionally restricted euxassay_003004_05
TS23: trigeminal ganglion Moderate Regionally restricted euxassay_003004_05
TS23: facial ganglion Moderate Regionally restricted euxassay_003004_05
TS23: hindbrain Strong Regionally restricted euxassay_003004_05

Specimen euxassay_003004_06: embryonic day 14.5 (more )
Structure Level Pattern Image Note
TS23: telencephalon ventricular layer Strong Regionally restricted euxassay_003004_06
TS23: telencephalon mantle layer Strong Regionally restricted euxassay_003004_06
TS23: trigeminal ganglion Moderate Regionally restricted euxassay_003004_06
TS23: facial ganglion Moderate Regionally restricted euxassay_003004_06
TS23: vestibulo-cochlear ganglion Moderate Regionally restricted euxassay_003004_06
TS23: hindbrain Strong Regionally restricted euxassay_003004_06

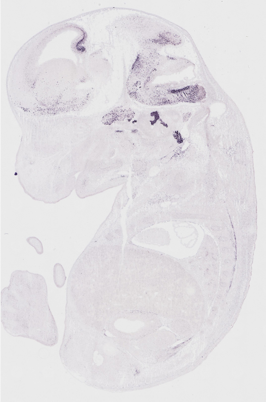
Specimen euxassay_003004_07: embryonic day 14.5 (more )
Structure Level Pattern Image Note
TS23: telencephalon ventricular layer Strong Regionally restricted euxassay_003004_07
TS23: telencephalon mantle layer Strong Regionally restricted euxassay_003004_07
TS23: glossopharyngeal ganglion Moderate Regionally restricted euxassay_003004_07
TS23: trigeminal ganglion Moderate Regionally restricted euxassay_003004_07
TS23: facial ganglion Moderate Regionally restricted euxassay_003004_07
TS23: vestibulo-cochlear ganglion Moderate Regionally restricted euxassay_003004_07
TS23: midbrain Strong Regionally restricted euxassay_003004_07
TS23: hindbrain Strong Regionally restricted euxassay_003004_07

Specimen euxassay_003004_08: embryonic day 14.5 (more )
Structure Level Pattern Image Note
TS23: telencephalon ventricular layer Strong Regionally restricted euxassay_003004_08
TS23: telencephalon mantle layer Strong Regionally restricted euxassay_003004_08
TS23: vestibulo-cochlear ganglion Moderate Regionally restricted euxassay_003004_08
TS23: trigeminal ganglion Moderate Regionally restricted euxassay_003004_08
TS23: glossopharyngeal ganglion Moderate Regionally restricted euxassay_003004_08
TS23: diencephalon Strong Regionally restricted euxassay_003004_08
TS23: hindbrain Strong Regionally restricted euxassay_003004_08
TS23: midbrain Strong Regionally restricted euxassay_003004_08

Specimen euxassay_003004_09: embryonic day 14.5 (more )
Structure Level Pattern Image Note
TS23: telencephalon ventricular layer Strong Regionally restricted euxassay_003004_09
TS23: telencephalon mantle layer Strong Regionally restricted euxassay_003004_09
TS23: trigeminal ganglion Moderate Regionally restricted euxassay_003004_09
TS23: vestibulo-cochlear ganglion Moderate Regionally restricted euxassay_003004_09
TS23: glossopharyngeal ganglion Moderate Regionally restricted euxassay_003004_09
TS23: dorsal root ganglion Moderate Regionally restricted euxassay_003004_09
TS23: diencephalon Strong Regionally restricted euxassay_003004_09
TS23: hindbrain Strong Regionally restricted euxassay_003004_09
TS23: midbrain Strong Regionally restricted euxassay_003004_09

Specimen euxassay_003004_10: embryonic day 14.5 (more )
Structure Level Pattern Image Note
TS23: telencephalon ventricular layer Strong Regionally restricted euxassay_003004_10
TS23: telencephalon mantle layer Strong Regionally restricted euxassay_003004_10
TS23: dorsal root ganglion Moderate Regionally restricted euxassay_003004_10
TS23: diencephalon Strong Regionally restricted euxassay_003004_10
TS23: hindbrain Strong Regionally restricted euxassay_003004_10
TS23: midbrain Strong Regionally restricted euxassay_003004_10
TS23: ventral grey horn Strong Regionally restricted euxassay_003004_10
TS23: dorsal grey horn Strong Regionally restricted euxassay_003004_10

Specimen euxassay_003004_11: embryonic day 14.5 (more )
Structure Level Pattern Image Note
TS23: olfactory cortex marginal layer Strong Regionally restricted euxassay_003004_11
TS23: telencephalon marginal layer Strong Regionally restricted euxassay_003004_11
TS23: telencephalon mantle layer Strong Regionally restricted euxassay_003004_11
TS23: dorsal root ganglion Moderate Regionally restricted euxassay_003004_11
TS23: diencephalon Strong Regionally restricted euxassay_003004_11
TS23: hindbrain Strong Regionally restricted euxassay_003004_11
TS23: midbrain Strong Regionally restricted euxassay_003004_11
TS23: ventral grey horn Strong Regionally restricted euxassay_003004_11
TS23: dorsal grey horn Strong Regionally restricted euxassay_003004_11

Specimen euxassay_003004_12: embryonic day 14.5 (more )
Structure Level Pattern Image Note
TS23: telencephalon marginal layer Strong Regionally restricted euxassay_003004_12
TS23: olfactory cortex marginal layer Strong Regionally restricted euxassay_003004_12
TS23: telencephalon mantle layer Strong Regionally restricted euxassay_003004_12
TS23: dorsal root ganglion Moderate Regionally restricted euxassay_003004_12
TS23: diencephalon Strong Regionally restricted euxassay_003004_12
TS23: hindbrain Strong Regionally restricted euxassay_003004_12
TS23: midbrain Strong Regionally restricted euxassay_003004_12
TS23: ventral grey horn Strong Regionally restricted euxassay_003004_12
TS23: dorsal grey horn Strong Regionally restricted euxassay_003004_12
TS23: thymus primordium Moderate Regionally restricted euxassay_003004_12

Specimen euxassay_003004_13: embryonic day 14.5 (more )
Structure Level Pattern Image Note
TS23: olfactory cortex marginal layer Strong Regionally restricted euxassay_003004_13
TS23: telencephalon mantle layer Strong Regionally restricted euxassay_003004_13
TS23: diencephalon Strong Regionally restricted euxassay_003004_13
TS23: ventral grey horn Strong Regionally restricted euxassay_003004_13
TS23: dorsal grey horn Strong Regionally restricted euxassay_003004_13
TS23: thymus primordium Moderate Regionally restricted euxassay_003004_13

Specimen euxassay_003004_14: embryonic day 14.5 (more )
Structure Level Pattern Image Note
TS23: telencephalon mantle layer Strong Regionally restricted euxassay_003004_14
TS23: midbrain Strong Regionally restricted euxassay_003004_14
TS23: hindbrain Strong Regionally restricted euxassay_003004_14
TS23: diencephalon Strong Regionally restricted euxassay_003004_14
TS23: ventral grey horn Strong Regionally restricted euxassay_003004_14
TS23: dorsal grey horn Strong Regionally restricted euxassay_003004_14

Specimen euxassay_003004_15: embryonic day 14.5 (more )
Structure Level Pattern Image Note
TS23: olfactory cortex marginal layer Strong Regionally restricted euxassay_003004_15
TS23: telencephalon mantle layer Strong Regionally restricted euxassay_003004_15
TS23: midbrain Strong Regionally restricted euxassay_003004_15
TS23: hindbrain Strong Regionally restricted euxassay_003004_15
TS23: diencephalon Strong Regionally restricted euxassay_003004_15
TS23: ventral grey horn Strong Regionally restricted euxassay_003004_15
TS23: dorsal grey horn Strong Regionally restricted euxassay_003004_15
TS23: thymus primordium Moderate Regionally restricted euxassay_003004_15

Specimen euxassay_003004_16: embryonic day 14.5 (more )
Structure Level Pattern Image Note
TS23: olfactory cortex marginal layer Strong Regionally restricted euxassay_003004_16
TS23: telencephalon marginal layer Strong Regionally restricted euxassay_003004_16
TS23: telencephalon mantle layer Strong Regionally restricted euxassay_003004_16
TS23: midbrain Strong Regionally restricted euxassay_003004_16
TS23: hindbrain Strong Regionally restricted euxassay_003004_16
TS23: diencephalon Strong Regionally restricted euxassay_003004_16
TS23: ventral grey horn Strong Regionally restricted euxassay_003004_16
TS23: dorsal grey horn Strong Regionally restricted euxassay_003004_16

Specimen euxassay_003004_17: embryonic day 14.5 (more )
Structure Level Pattern Image Note
TS23: olfactory cortex marginal layer Strong Regionally restricted euxassay_003004_17
TS23: telencephalon marginal layer Strong Regionally restricted euxassay_003004_17
TS23: telencephalon mantle layer Strong Regionally restricted euxassay_003004_17
TS23: dorsal root ganglion Moderate Regionally restricted euxassay_003004_17
TS23: diencephalon Strong Regionally restricted euxassay_003004_17
TS23: hindbrain Strong Regionally restricted euxassay_003004_17
TS23: midbrain Strong Regionally restricted euxassay_003004_17
TS23: ventral grey horn Strong Regionally restricted euxassay_003004_17
TS23: dorsal grey horn Strong Regionally restricted euxassay_003004_17

Specimen euxassay_003004_18: embryonic day 14.5 (more )
Structure Level Pattern Image Note
TS23: telencephalon marginal layer Strong Regionally restricted euxassay_003004_18
TS23: olfactory cortex marginal layer Strong Regionally restricted euxassay_003004_18
TS23: telencephalon mantle layer Strong Regionally restricted euxassay_003004_18
TS23: trigeminal ganglion Moderate Regionally restricted euxassay_003004_18
TS23: vestibulo-cochlear ganglion Moderate Regionally restricted euxassay_003004_18
TS23: glossopharyngeal ganglion Moderate Regionally restricted euxassay_003004_18
TS23: dorsal root ganglion Moderate Regionally restricted euxassay_003004_18
TS23: medulla oblongata Strong Regionally restricted euxassay_003004_18
TS23: metencephalon Strong Regionally restricted euxassay_003004_18
TS23: midbrain Strong Regionally restricted euxassay_003004_18
TS23: diencephalon Strong Regionally restricted euxassay_003004_18

Specimen euxassay_003004_19: embryonic day 14.5 (more )
Structure Level Pattern Image Note
TS23: dorsal root ganglion Moderate Regionally restricted euxassay_003004_19
TS23: metencephalon basal plate Strong Regionally restricted euxassay_003004_19
TS23: metencephalon alar plate Strong Regionally restricted euxassay_003004_19
TS23: midbrain Strong Regionally restricted euxassay_003004_19
TS23: medulla oblongata Strong Regionally restricted euxassay_003004_19
TS23: diencephalon Strong Regionally restricted euxassay_003004_19

Specimen euxassay_003004_20: embryonic day 14.5 (more )
Structure Level Pattern Image Note
TS23: telencephalon marginal layer Strong Regionally restricted euxassay_003004_20
TS23: telencephalon mantle layer Strong Regionally restricted euxassay_003004_20
TS23: trigeminal ganglion Moderate Regionally restricted euxassay_003004_20
TS23: vestibulo-cochlear ganglion Moderate Regionally restricted euxassay_003004_20
TS23: glossopharyngeal ganglion Moderate Regionally restricted euxassay_003004_20
TS23: metencephalon basal plate Strong Regionally restricted euxassay_003004_20

Specimen euxassay_003004_21: embryonic day 14.5 (more )
Structure Level Pattern Image Note
TS23: telencephalon mantle layer Strong Regionally restricted euxassay_003004_21
TS23: telencephalon marginal layer Strong Regionally restricted euxassay_003004_21
TS23: telencephalon ventricular layer Strong Regionally restricted euxassay_003004_21
TS23: trigeminal ganglion Moderate Regionally restricted euxassay_003004_21
TS23: facial ganglion Moderate Regionally restricted euxassay_003004_21

Specimen euxassay_003004_22: embryonic day 14.5 (more )
Structure Level Pattern Image Note
TS23: telencephalon ventricular layer Strong Regionally restricted euxassay_003004_22
TS23: telencephalon mantle layer Strong Regionally restricted euxassay_003004_22
TS23: trigeminal ganglion Moderate Regionally restricted euxassay_003004_22
TS23: facial ganglion Moderate Regionally restricted euxassay_003004_22

Specimen euxassay_003004_23: embryonic day 14.5 (more )
Structure Level Pattern Image Note
TS23: telencephalon mantle layer Strong Regionally restricted euxassay_003004_23
TS23: telencephalon ventricular layer Strong Regionally restricted euxassay_003004_23
TS23: trigeminal ganglion Moderate Regionally restricted euxassay_003004_23
TS23: facial ganglion Moderate Regionally restricted euxassay_003004_23

Specimen euxassay_003004_24: embryonic day 14.5 (more )
Structure Level Pattern Image Note
TS23: telencephalon mantle layer Strong Regionally restricted euxassay_003004_24
TS23: telencephalon ventricular layer Strong Regionally restricted euxassay_003004_24


Contributing Projects:
Mouse Genome Database (MGD), Gene Expression Database (GXD), Mouse Models of Human Cancer database (MMHCdb) (formerly Mouse Tumor Biology (MTB)), Gene Ontology (GO)
Citing These Resources
Funding Information
Warranty Disclaimer, Privacy Notice, Licensing, & Copyright
Send questions and comments to User Support.
last database update
12/30/2025
MGI 6.24
The Jackson Laboratory