About   Help   FAQ
Gene Expression Data
Assay Details
Assay
Reference: J:153498 Diez-Roux G, et al., A high-resolution anatomical atlas of the transcriptome in the mouse embryo. PLoS Biol. 2011;9(1):e1000582
Assay type: RNA in situ
MGI Accession ID: MGI:4828527
Gene symbol: Stx2
Gene name: syntaxin 2
Probe: MGC clone 54718
Probe preparation: Antisense labelled with digoxigenin RNA
Visualized with: Alkaline phosphatase
Assay notes: Cryosections of fresh frozen material were fixed in 4% paraformaldehyde for 20 min. before further processing. A tyramide-biotin/streptavidin amplification step was included in the in situ hybridization procedure.
Results
Specimen euxassay_004202_01: embryonic day 14.5 (more )
Structure Level Pattern Image Note
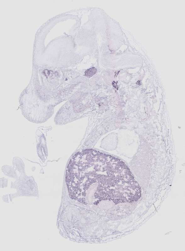
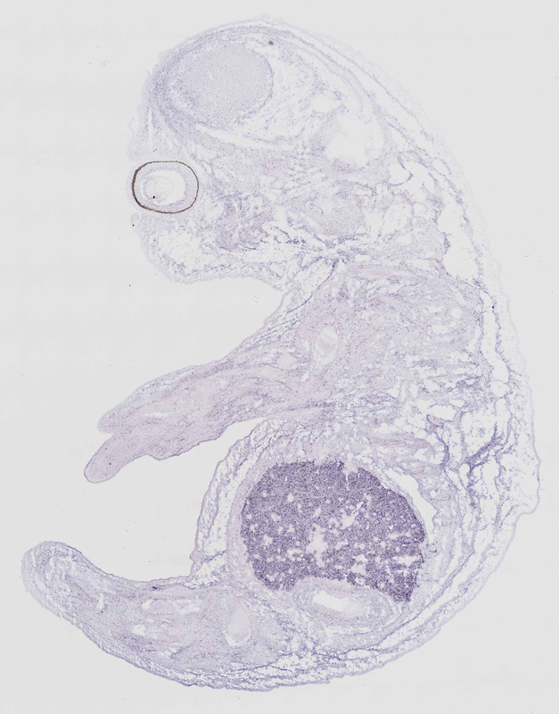
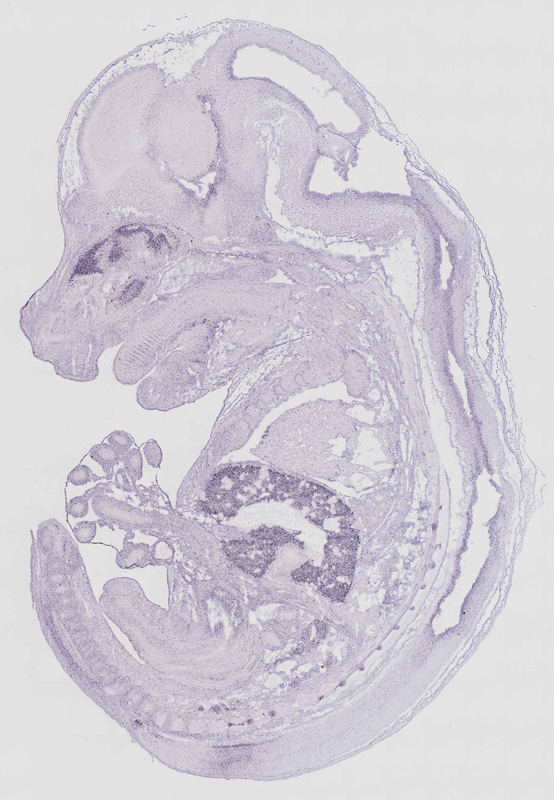
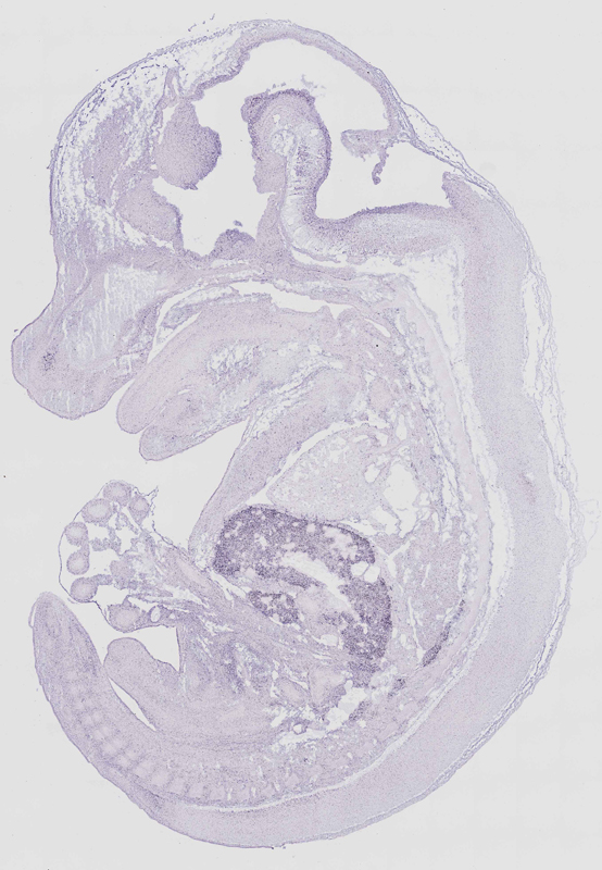
TS23: liver Moderate Regionally restricted euxassay_004202_01

Specimen euxassay_004202_02: embryonic day 14.5 (more )
Structure Level Pattern Image Note
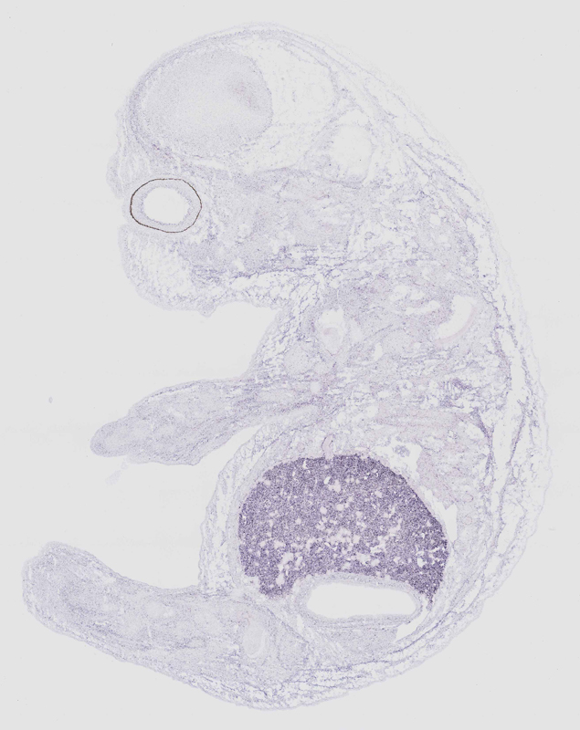
TS23: liver Moderate Regionally restricted euxassay_004202_02

Specimen euxassay_004202_03: embryonic day 14.5 (more )
Structure Level Pattern Image Note
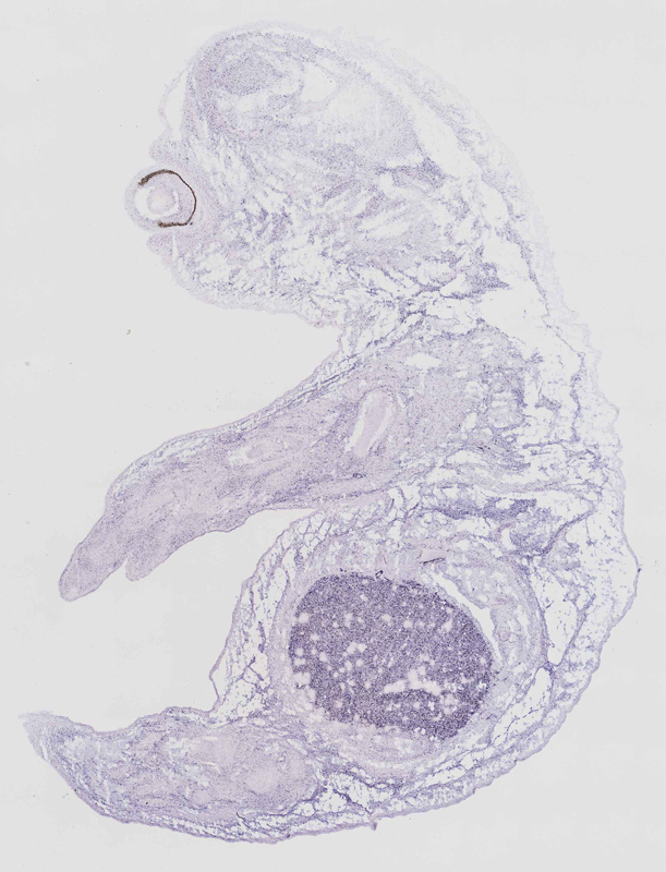
TS23: liver Moderate Regionally restricted euxassay_004202_03

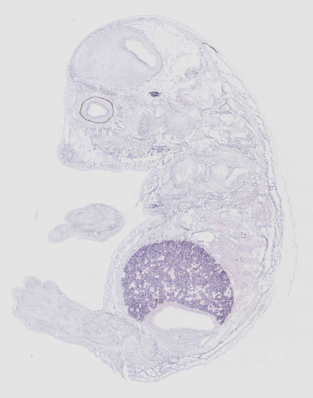
Specimen euxassay_004202_04: embryonic day 14.5 (more )
Structure Level Pattern Image Note
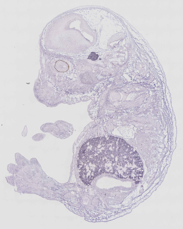
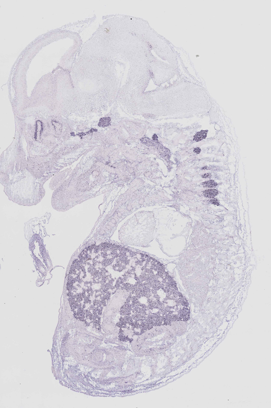
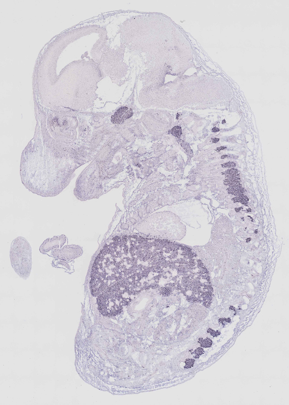
TS23: liver Moderate Regionally restricted euxassay_004202_04
TS23: trigeminal ganglion Moderate Regionally restricted euxassay_004202_04

Specimen euxassay_004202_05: embryonic day 14.5 (more )
Structure Level Pattern Image Note
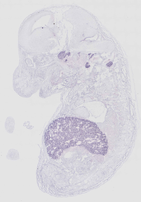
TS23: liver Moderate Regionally restricted euxassay_004202_05
TS23: trigeminal ganglion Moderate Regionally restricted euxassay_004202_05

Specimen euxassay_004202_06: embryonic day 14.5 (more )
Structure Level Pattern Image Note
TS23: liver Moderate Regionally restricted euxassay_004202_06
TS23: trigeminal ganglion Moderate Regionally restricted euxassay_004202_06

Specimen euxassay_004202_07: embryonic day 14.5 (more )
Structure Level Pattern Image Note
TS23: liver Moderate Regionally restricted euxassay_004202_07
TS23: trigeminal ganglion Moderate Regionally restricted euxassay_004202_07

Specimen euxassay_004202_08: embryonic day 14.5 (more )
Structure Level Pattern Image Note
TS23: liver Moderate Regionally restricted euxassay_004202_08
TS23: dorsal root ganglion Moderate Regionally restricted euxassay_004202_08
TS23: trigeminal ganglion Moderate Regionally restricted euxassay_004202_08
TS23: facial ganglion Moderate Regionally restricted euxassay_004202_08
TS23: glossopharyngeal ganglion Moderate Regionally restricted euxassay_004202_08

Specimen euxassay_004202_09: embryonic day 14.5 (more )
Structure Level Pattern Image Note
TS23: liver Moderate Regionally restricted euxassay_004202_09
TS23: olfactory epithelium Moderate Regionally restricted euxassay_004202_09

Specimen euxassay_004202_10: embryonic day 14.5 (more )
Structure Level Pattern Image Note
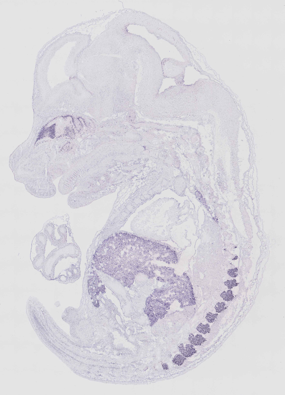
TS23: liver Moderate Regionally restricted euxassay_004202_10
TS23: thoracic ganglion Moderate Regionally restricted euxassay_004202_10

Specimen euxassay_004202_11: embryonic day 14.5 (more )
Structure Level Pattern Image Note
TS23: liver Moderate Regionally restricted euxassay_004202_11
TS23: dorsal root ganglion Moderate Regionally restricted euxassay_004202_11
TS23: olfactory epithelium Moderate Regionally restricted euxassay_004202_11
TS23: cervico-thoracic ganglion Moderate Regionally restricted euxassay_004202_11

Specimen euxassay_004202_12: embryonic day 14.5 (more )
Structure Level Pattern Image Note
TS23: liver Moderate Regionally restricted euxassay_004202_12
TS23: dorsal root ganglion Moderate Regionally restricted euxassay_004202_12
TS23: olfactory epithelium Moderate Regionally restricted euxassay_004202_12
TS23: cervico-thoracic ganglion Moderate Regionally restricted euxassay_004202_12

Specimen euxassay_004202_13: embryonic day 14.5 (more )
Structure Level Pattern Image Note
TS23: liver Moderate Regionally restricted euxassay_004202_13
TS23: dorsal root ganglion Moderate Regionally restricted euxassay_004202_13
TS23: trigeminal ganglion Moderate Regionally restricted euxassay_004202_13
TS23: glossopharyngeal ganglion Moderate Regionally restricted euxassay_004202_13
TS23: olfactory epithelium Moderate Regionally restricted euxassay_004202_13
TS23: cervical ganglion Moderate Regionally restricted euxassay_004202_13

Specimen euxassay_004202_14: embryonic day 14.5 (more )
Structure Level Pattern Image Note
TS23: liver Moderate Regionally restricted euxassay_004202_14
TS23: dorsal root ganglion Moderate Regionally restricted euxassay_004202_14
TS23: trigeminal ganglion Moderate Regionally restricted euxassay_004202_14
TS23: olfactory epithelium Moderate Regionally restricted euxassay_004202_14
TS23: cervical ganglion Moderate Regionally restricted euxassay_004202_14
TS23: cervico-thoracic ganglion Moderate Regionally restricted euxassay_004202_14

Specimen euxassay_004202_15: embryonic day 14.5 (more )
Structure Level Pattern Image Note
TS23: liver Moderate Regionally restricted euxassay_004202_15
TS23: olfactory epithelium Moderate Regionally restricted euxassay_004202_15
TS23: thoracic ganglion Moderate Regionally restricted euxassay_004202_15

Specimen euxassay_004202_16: embryonic day 14.5 (more )
Structure Level Pattern Image Note
TS23: liver Moderate Regionally restricted euxassay_004202_16
TS23: dorsal root ganglion Moderate Regionally restricted euxassay_004202_16
TS23: olfactory epithelium Moderate Regionally restricted euxassay_004202_16
TS23: cervico-thoracic ganglion Moderate Regionally restricted euxassay_004202_16

Specimen euxassay_004202_17: embryonic day 14.5 (more )
Structure Level Pattern Image Note
TS23: liver Moderate Regionally restricted euxassay_004202_17
TS23: dorsal root ganglion Moderate Regionally restricted euxassay_004202_17
TS23: trigeminal ganglion Moderate Regionally restricted euxassay_004202_17
TS23: olfactory epithelium Moderate Regionally restricted euxassay_004202_17
TS23: cervical ganglion Moderate Regionally restricted euxassay_004202_17

Specimen euxassay_004202_18: embryonic day 14.5 (more )
Structure Level Pattern Image Note
TS23: liver Moderate Regionally restricted euxassay_004202_18
TS23: dorsal root ganglion Moderate Regionally restricted euxassay_004202_18
TS23: trigeminal ganglion Moderate Regionally restricted euxassay_004202_18
TS23: glossopharyngeal ganglion Moderate Regionally restricted euxassay_004202_18
TS23: olfactory epithelium Moderate Regionally restricted euxassay_004202_18
TS23: cervical ganglion Moderate Regionally restricted euxassay_004202_18

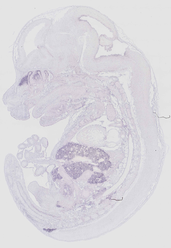
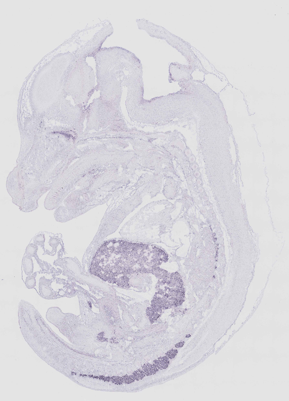
Specimen euxassay_004202_19: embryonic day 14.5 (more )
Structure Level Pattern Image Note
TS23: liver Moderate Regionally restricted euxassay_004202_19
TS23: trigeminal ganglion Moderate Regionally restricted euxassay_004202_19

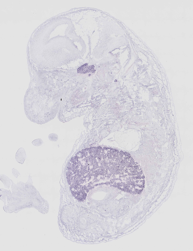
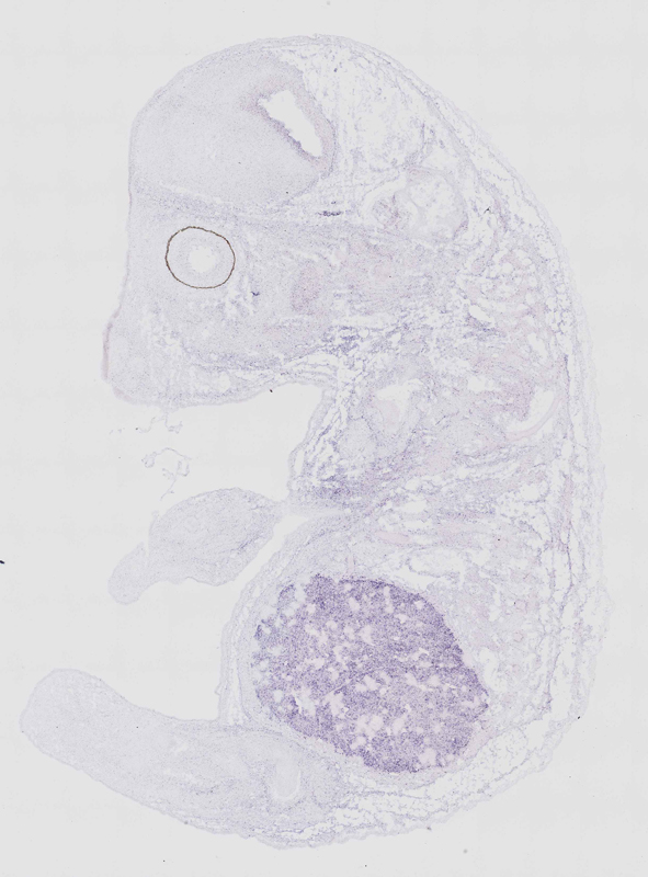
Specimen euxassay_004202_23: embryonic day 14.5 (more )
Structure Level Pattern Image Note
TS23: liver Moderate Regionally restricted euxassay_004202_23


Contributing Projects:
Mouse Genome Database (MGD), Gene Expression Database (GXD), Mouse Models of Human Cancer database (MMHCdb) (formerly Mouse Tumor Biology (MTB)), Gene Ontology (GO)
Citing These Resources
Funding Information
Warranty Disclaimer, Privacy Notice, Licensing, & Copyright
Send questions and comments to User Support.
last database update
01/20/2026
MGI 6.24
The Jackson Laboratory