About   Help   FAQ
Gene Expression Data
Assay Details
Assay
Reference: J:153498 Diez-Roux G, et al., A high-resolution anatomical atlas of the transcriptome in the mouse embryo. PLoS Biol. 2011;9(1):e1000582
Assay type: RNA in situ
MGI Accession ID: MGI:4828519
Gene symbol: Strn4
Gene name: striatin, calmodulin binding protein 4
Probe: MGC clone 90576
Probe preparation: Antisense labelled with digoxigenin RNA
Visualized with: Alkaline phosphatase
Assay notes: Cryosections of fresh frozen material were fixed in 4% paraformaldehyde for 20 min. before further processing. A tyramide-biotin/streptavidin amplification step was included in the in situ hybridization procedure.
Results
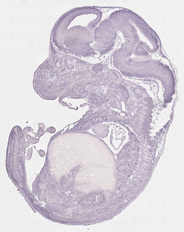
Specimen euxassay_004734_01: embryonic day 14.5 (more )
Structure Level Pattern Image Note
TS23: body cavity or lining Moderate Regionally restricted euxassay_004734_01
TS23: limb Moderate Regionally restricted euxassay_004734_01
TS23: cardiovascular system Moderate Regionally restricted euxassay_004734_01
TS23: gland Moderate Regionally restricted euxassay_004734_01
TS23: integumental system Moderate Regionally restricted euxassay_004734_01
TS23: nervous system Moderate Regionally restricted euxassay_004734_01
TS23: sensory organ system Moderate Regionally restricted euxassay_004734_01
TS23: alimentary system Moderate Regionally restricted euxassay_004734_01
TS23: urinary system Moderate Regionally restricted euxassay_004734_01
TS23: reproductive system Moderate Regionally restricted euxassay_004734_01
TS23: respiratory system Moderate Regionally restricted euxassay_004734_01
TS23: skeleton Moderate Regionally restricted euxassay_004734_01
TS23: tail Moderate Regionally restricted euxassay_004734_01
TS23: vertebral axis musculature Moderate Regionally restricted euxassay_004734_01

Specimen euxassay_004734_02: embryonic day 14.5 (more )
Structure Level Pattern Image Note
TS23: body cavity or lining Moderate Regionally restricted euxassay_004734_02
TS23: limb Moderate Regionally restricted euxassay_004734_02
TS23: cardiovascular system Moderate Regionally restricted euxassay_004734_02
TS23: gland Moderate Regionally restricted euxassay_004734_02
TS23: integumental system Moderate Regionally restricted euxassay_004734_02
TS23: nervous system Moderate Regionally restricted euxassay_004734_02
TS23: sensory organ system Moderate Regionally restricted euxassay_004734_02
TS23: alimentary system Moderate Regionally restricted euxassay_004734_02
TS23: urinary system Moderate Regionally restricted euxassay_004734_02
TS23: reproductive system Moderate Regionally restricted euxassay_004734_02
TS23: respiratory system Moderate Regionally restricted euxassay_004734_02
TS23: skeleton Moderate Regionally restricted euxassay_004734_02
TS23: tail Moderate Regionally restricted euxassay_004734_02
TS23: vertebral axis musculature Moderate Regionally restricted euxassay_004734_02

Specimen euxassay_004734_03: embryonic day 14.5 (more )
Structure Level Pattern Image Note
TS23: body cavity or lining Moderate Regionally restricted euxassay_004734_03
TS23: limb Moderate Regionally restricted euxassay_004734_03
TS23: cardiovascular system Moderate Regionally restricted euxassay_004734_03
TS23: gland Moderate Regionally restricted euxassay_004734_03
TS23: integumental system Moderate Regionally restricted euxassay_004734_03
TS23: nervous system Moderate Regionally restricted euxassay_004734_03
TS23: sensory organ system Moderate Regionally restricted euxassay_004734_03
TS23: alimentary system Moderate Regionally restricted euxassay_004734_03
TS23: urinary system Moderate Regionally restricted euxassay_004734_03
TS23: reproductive system Moderate Regionally restricted euxassay_004734_03
TS23: respiratory system Moderate Regionally restricted euxassay_004734_03
TS23: skeleton Moderate Regionally restricted euxassay_004734_03
TS23: tail Moderate Regionally restricted euxassay_004734_03
TS23: vertebral axis musculature Moderate Regionally restricted euxassay_004734_03

Specimen euxassay_004734_04: embryonic day 14.5 (more )
Structure Level Pattern Image Note
TS23: body cavity or lining Moderate Regionally restricted euxassay_004734_04
TS23: limb Moderate Regionally restricted euxassay_004734_04
TS23: cardiovascular system Moderate Regionally restricted euxassay_004734_04
TS23: gland Moderate Regionally restricted euxassay_004734_04
TS23: integumental system Moderate Regionally restricted euxassay_004734_04
TS23: nervous system Moderate Regionally restricted euxassay_004734_04
TS23: sensory organ system Moderate Regionally restricted euxassay_004734_04
TS23: alimentary system Moderate Regionally restricted euxassay_004734_04
TS23: urinary system Moderate Regionally restricted euxassay_004734_04
TS23: reproductive system Moderate Regionally restricted euxassay_004734_04
TS23: respiratory system Moderate Regionally restricted euxassay_004734_04
TS23: skeleton Moderate Regionally restricted euxassay_004734_04
TS23: tail Moderate Regionally restricted euxassay_004734_04
TS23: vertebral axis musculature Moderate Regionally restricted euxassay_004734_04

Specimen euxassay_004734_05: embryonic day 14.5 (more )
Structure Level Pattern Image Note
TS23: body cavity or lining Moderate Regionally restricted euxassay_004734_05
TS23: limb Moderate Regionally restricted euxassay_004734_05
TS23: cardiovascular system Moderate Regionally restricted euxassay_004734_05
TS23: gland Moderate Regionally restricted euxassay_004734_05
TS23: integumental system Moderate Regionally restricted euxassay_004734_05
TS23: nervous system Moderate Regionally restricted euxassay_004734_05
TS23: sensory organ system Moderate Regionally restricted euxassay_004734_05
TS23: alimentary system Moderate Regionally restricted euxassay_004734_05
TS23: urinary system Moderate Regionally restricted euxassay_004734_05
TS23: reproductive system Moderate Regionally restricted euxassay_004734_05
TS23: respiratory system Moderate Regionally restricted euxassay_004734_05
TS23: skeleton Moderate Regionally restricted euxassay_004734_05
TS23: tail Moderate Regionally restricted euxassay_004734_05
TS23: vertebral axis musculature Moderate Regionally restricted euxassay_004734_05

Specimen euxassay_004734_06: embryonic day 14.5 (more )
Structure Level Pattern Image Note
TS23: body cavity or lining Moderate Regionally restricted euxassay_004734_06
TS23: limb Moderate Regionally restricted euxassay_004734_06
TS23: cardiovascular system Moderate Regionally restricted euxassay_004734_06
TS23: gland Moderate Regionally restricted euxassay_004734_06
TS23: integumental system Moderate Regionally restricted euxassay_004734_06
TS23: nervous system Moderate Regionally restricted euxassay_004734_06
TS23: sensory organ system Moderate Regionally restricted euxassay_004734_06
TS23: alimentary system Moderate Regionally restricted euxassay_004734_06
TS23: urinary system Moderate Regionally restricted euxassay_004734_06
TS23: reproductive system Moderate Regionally restricted euxassay_004734_06
TS23: respiratory system Moderate Regionally restricted euxassay_004734_06
TS23: skeleton Moderate Regionally restricted euxassay_004734_06
TS23: tail Moderate Regionally restricted euxassay_004734_06
TS23: vertebral axis musculature Moderate Regionally restricted euxassay_004734_06

Specimen euxassay_004734_07: embryonic day 14.5 (more )
Structure Level Pattern Image Note
TS23: body cavity or lining Moderate Regionally restricted euxassay_004734_07
TS23: limb Moderate Regionally restricted euxassay_004734_07
TS23: cardiovascular system Moderate Regionally restricted euxassay_004734_07
TS23: gland Moderate Regionally restricted euxassay_004734_07
TS23: integumental system Moderate Regionally restricted euxassay_004734_07
TS23: nervous system Moderate Regionally restricted euxassay_004734_07
TS23: sensory organ system Moderate Regionally restricted euxassay_004734_07
TS23: alimentary system Moderate Regionally restricted euxassay_004734_07
TS23: urinary system Moderate Regionally restricted euxassay_004734_07
TS23: reproductive system Moderate Regionally restricted euxassay_004734_07
TS23: respiratory system Moderate Regionally restricted euxassay_004734_07
TS23: skeleton Moderate Regionally restricted euxassay_004734_07
TS23: tail Moderate Regionally restricted euxassay_004734_07
TS23: vertebral axis musculature Moderate Regionally restricted euxassay_004734_07

Specimen euxassay_004734_08: embryonic day 14.5 (more )
Structure Level Pattern Image Note
TS23: body cavity or lining Moderate Regionally restricted euxassay_004734_08
TS23: limb Moderate Regionally restricted euxassay_004734_08
TS23: cardiovascular system Moderate Regionally restricted euxassay_004734_08
TS23: gland Moderate Regionally restricted euxassay_004734_08
TS23: integumental system Moderate Regionally restricted euxassay_004734_08
TS23: nervous system Moderate Regionally restricted euxassay_004734_08
TS23: sensory organ system Moderate Regionally restricted euxassay_004734_08
TS23: alimentary system Moderate Regionally restricted euxassay_004734_08
TS23: urinary system Moderate Regionally restricted euxassay_004734_08
TS23: reproductive system Moderate Regionally restricted euxassay_004734_08
TS23: respiratory system Moderate Regionally restricted euxassay_004734_08
TS23: skeleton Moderate Regionally restricted euxassay_004734_08
TS23: tail Moderate Regionally restricted euxassay_004734_08
TS23: vertebral axis musculature Moderate Regionally restricted euxassay_004734_08

Specimen euxassay_004734_09: embryonic day 14.5 (more )
Structure Level Pattern Image Note
TS23: body cavity or lining Moderate Regionally restricted euxassay_004734_09
TS23: limb Moderate Regionally restricted euxassay_004734_09
TS23: cardiovascular system Moderate Regionally restricted euxassay_004734_09
TS23: gland Moderate Regionally restricted euxassay_004734_09
TS23: integumental system Moderate Regionally restricted euxassay_004734_09
TS23: nervous system Moderate Regionally restricted euxassay_004734_09
TS23: alimentary system Moderate Regionally restricted euxassay_004734_09
TS23: urinary system Moderate Regionally restricted euxassay_004734_09
TS23: reproductive system Moderate Regionally restricted euxassay_004734_09
TS23: respiratory system Moderate Regionally restricted euxassay_004734_09
TS23: tail Moderate Regionally restricted euxassay_004734_09
TS23: skeleton Moderate Regionally restricted euxassay_004734_09
TS23: vertebral axis musculature Moderate Regionally restricted euxassay_004734_09

Specimen euxassay_004734_10: embryonic day 14.5 (more )
Structure Level Pattern Image Note
TS23: body cavity or lining Moderate Regionally restricted euxassay_004734_10
TS23: limb Moderate Regionally restricted euxassay_004734_10
TS23: cardiovascular system Moderate Regionally restricted euxassay_004734_10
TS23: gland Moderate Regionally restricted euxassay_004734_10
TS23: integumental system Moderate Regionally restricted euxassay_004734_10
TS23: nervous system Moderate Regionally restricted euxassay_004734_10
TS23: sensory organ system Moderate Regionally restricted euxassay_004734_10
TS23: alimentary system Moderate Regionally restricted euxassay_004734_10
TS23: urinary system Moderate Regionally restricted euxassay_004734_10
TS23: reproductive system Moderate Regionally restricted euxassay_004734_10
TS23: respiratory system Moderate Regionally restricted euxassay_004734_10
TS23: skeleton Moderate Regionally restricted euxassay_004734_10
TS23: tail Moderate Regionally restricted euxassay_004734_10
TS23: vertebral axis musculature Moderate Regionally restricted euxassay_004734_10

Specimen euxassay_004734_11: embryonic day 14.5 (more )
Structure Level Pattern Image Note
TS23: body cavity or lining Moderate Regionally restricted euxassay_004734_11
TS23: limb Moderate Regionally restricted euxassay_004734_11
TS23: cardiovascular system Moderate Regionally restricted euxassay_004734_11
TS23: gland Moderate Regionally restricted euxassay_004734_11
TS23: integumental system Moderate Regionally restricted euxassay_004734_11
TS23: nervous system Moderate Regionally restricted euxassay_004734_11
TS23: sensory organ system Moderate Regionally restricted euxassay_004734_11
TS23: alimentary system Moderate Regionally restricted euxassay_004734_11
TS23: urinary system Moderate Regionally restricted euxassay_004734_11
TS23: reproductive system Moderate Regionally restricted euxassay_004734_11
TS23: respiratory system Moderate Regionally restricted euxassay_004734_11
TS23: skeleton Moderate Regionally restricted euxassay_004734_11
TS23: tail Moderate Regionally restricted euxassay_004734_11
TS23: vertebral axis musculature Moderate Regionally restricted euxassay_004734_11

Specimen euxassay_004734_12: embryonic day 14.5 (more )
Structure Level Pattern Image Note
TS23: body cavity or lining Moderate Regionally restricted euxassay_004734_12
TS23: limb Moderate Regionally restricted euxassay_004734_12
TS23: cardiovascular system Moderate Regionally restricted euxassay_004734_12
TS23: integumental system Moderate Regionally restricted euxassay_004734_12
TS23: gland Moderate Regionally restricted euxassay_004734_12
TS23: nervous system Moderate Regionally restricted euxassay_004734_12
TS23: sensory organ system Moderate Regionally restricted euxassay_004734_12
TS23: alimentary system Moderate Regionally restricted euxassay_004734_12
TS23: urinary system Moderate Regionally restricted euxassay_004734_12
TS23: reproductive system Moderate Regionally restricted euxassay_004734_12
TS23: respiratory system Moderate Regionally restricted euxassay_004734_12
TS23: skeleton Moderate Regionally restricted euxassay_004734_12
TS23: tail Moderate Regionally restricted euxassay_004734_12
TS23: vertebral axis musculature Moderate Regionally restricted euxassay_004734_12

Specimen euxassay_004734_13: embryonic day 14.5 (more )
Structure Level Pattern Image Note
TS23: body cavity or lining Moderate Regionally restricted euxassay_004734_13
TS23: limb Moderate Regionally restricted euxassay_004734_13
TS23: cardiovascular system Moderate Regionally restricted euxassay_004734_13
TS23: gland Moderate Regionally restricted euxassay_004734_13
TS23: integumental system Moderate Regionally restricted euxassay_004734_13
TS23: nervous system Moderate Regionally restricted euxassay_004734_13
TS23: sensory organ system Moderate Regionally restricted euxassay_004734_13
TS23: alimentary system Moderate Regionally restricted euxassay_004734_13
TS23: urinary system Moderate Regionally restricted euxassay_004734_13
TS23: reproductive system Moderate Regionally restricted euxassay_004734_13
TS23: respiratory system Moderate Regionally restricted euxassay_004734_13
TS23: skeleton Moderate Regionally restricted euxassay_004734_13
TS23: tail Moderate Regionally restricted euxassay_004734_13
TS23: vertebral axis musculature Moderate Regionally restricted euxassay_004734_13

Specimen euxassay_004734_14: embryonic day 14.5 (more )
Structure Level Pattern Image Note
TS23: body cavity or lining Moderate Regionally restricted euxassay_004734_14
TS23: limb Moderate Regionally restricted euxassay_004734_14
TS23: cardiovascular system Moderate Regionally restricted euxassay_004734_14
TS23: gland Moderate Regionally restricted euxassay_004734_14
TS23: integumental system Moderate Regionally restricted euxassay_004734_14
TS23: nervous system Moderate Regionally restricted euxassay_004734_14
TS23: sensory organ system Moderate Regionally restricted euxassay_004734_14
TS23: alimentary system Moderate Regionally restricted euxassay_004734_14
TS23: urinary system Moderate Regionally restricted euxassay_004734_14
TS23: reproductive system Moderate Regionally restricted euxassay_004734_14
TS23: respiratory system Moderate Regionally restricted euxassay_004734_14
TS23: skeleton Moderate Regionally restricted euxassay_004734_14
TS23: tail Moderate Regionally restricted euxassay_004734_14
TS23: vertebral axis musculature Moderate Regionally restricted euxassay_004734_14

Specimen euxassay_004734_15: embryonic day 14.5 (more )
Structure Level Pattern Image Note
TS23: body cavity or lining Moderate Regionally restricted euxassay_004734_15
TS23: limb Moderate Regionally restricted euxassay_004734_15
TS23: cardiovascular system Moderate Regionally restricted euxassay_004734_15
TS23: gland Moderate Regionally restricted euxassay_004734_15
TS23: integumental system Moderate Regionally restricted euxassay_004734_15
TS23: nervous system Moderate Regionally restricted euxassay_004734_15
TS23: sensory organ system Moderate Regionally restricted euxassay_004734_15
TS23: alimentary system Moderate Regionally restricted euxassay_004734_15
TS23: urinary system Moderate Regionally restricted euxassay_004734_15
TS23: reproductive system Moderate Regionally restricted euxassay_004734_15
TS23: respiratory system Moderate Regionally restricted euxassay_004734_15
TS23: skeleton Moderate Regionally restricted euxassay_004734_15
TS23: tail Moderate Regionally restricted euxassay_004734_15
TS23: vertebral axis musculature Moderate Regionally restricted euxassay_004734_15

Specimen euxassay_004734_16: embryonic day 14.5 (more )
Structure Level Pattern Image Note
TS23: body cavity or lining Moderate Regionally restricted euxassay_004734_16
TS23: limb Moderate Regionally restricted euxassay_004734_16
TS23: cardiovascular system Moderate Regionally restricted euxassay_004734_16
TS23: gland Moderate Regionally restricted euxassay_004734_16
TS23: integumental system Moderate Regionally restricted euxassay_004734_16
TS23: nervous system Moderate Regionally restricted euxassay_004734_16
TS23: sensory organ system Moderate Regionally restricted euxassay_004734_16
TS23: alimentary system Moderate Regionally restricted euxassay_004734_16
TS23: urinary system Moderate Regionally restricted euxassay_004734_16
TS23: reproductive system Moderate Regionally restricted euxassay_004734_16
TS23: respiratory system Moderate Regionally restricted euxassay_004734_16
TS23: skeleton Moderate Regionally restricted euxassay_004734_16
TS23: tail Moderate Regionally restricted euxassay_004734_16
TS23: extraembryonic component Moderate Regionally restricted euxassay_004734_16

Specimen euxassay_004734_17: embryonic day 14.5 (more )
Structure Level Pattern Image Note
TS23: body cavity or lining Moderate Regionally restricted euxassay_004734_17
TS23: limb Moderate Regionally restricted euxassay_004734_17
TS23: cardiovascular system Moderate Regionally restricted euxassay_004734_17
TS23: gland Moderate Regionally restricted euxassay_004734_17
TS23: integumental system Moderate Regionally restricted euxassay_004734_17
TS23: nervous system Moderate Regionally restricted euxassay_004734_17
TS23: sensory organ system Moderate Regionally restricted euxassay_004734_17
TS23: alimentary system Moderate Regionally restricted euxassay_004734_17
TS23: urinary system Moderate Regionally restricted euxassay_004734_17
TS23: reproductive system Moderate Regionally restricted euxassay_004734_17
TS23: respiratory system Moderate Regionally restricted euxassay_004734_17
TS23: skeleton Moderate Regionally restricted euxassay_004734_17
TS23: tail Moderate Regionally restricted euxassay_004734_17
TS23: vertebral axis musculature Moderate Regionally restricted euxassay_004734_17

Specimen euxassay_004734_18: embryonic day 14.5 (more )
Structure Level Pattern Image Note
TS23: body cavity or lining Moderate Regionally restricted euxassay_004734_18
TS23: limb Moderate Regionally restricted euxassay_004734_18
TS23: cardiovascular system Moderate Regionally restricted euxassay_004734_18
TS23: gland Moderate Regionally restricted euxassay_004734_18
TS23: integumental system Moderate Regionally restricted euxassay_004734_18
TS23: nervous system Moderate Regionally restricted euxassay_004734_18
TS23: sensory organ system Moderate Regionally restricted euxassay_004734_18
TS23: alimentary system Moderate Regionally restricted euxassay_004734_18
TS23: urinary system Moderate Regionally restricted euxassay_004734_18
TS23: reproductive system Moderate Regionally restricted euxassay_004734_18
TS23: respiratory system Moderate Regionally restricted euxassay_004734_18
TS23: skeleton Moderate Regionally restricted euxassay_004734_18
TS23: tail Moderate Regionally restricted euxassay_004734_18
TS23: vertebral axis musculature Moderate Regionally restricted euxassay_004734_18

Specimen euxassay_004734_19: embryonic day 14.5 (more )
Structure Level Pattern Image Note
TS23: body cavity or lining Moderate Regionally restricted euxassay_004734_19
TS23: limb Moderate Regionally restricted euxassay_004734_19
TS23: cardiovascular system Moderate Regionally restricted euxassay_004734_19
TS23: gland Moderate Regionally restricted euxassay_004734_19
TS23: integumental system Moderate Regionally restricted euxassay_004734_19
TS23: nervous system Moderate Regionally restricted euxassay_004734_19
TS23: sensory organ system Moderate Regionally restricted euxassay_004734_19
TS23: alimentary system Moderate Regionally restricted euxassay_004734_19
TS23: urinary system Moderate Regionally restricted euxassay_004734_19
TS23: reproductive system Moderate Regionally restricted euxassay_004734_19
TS23: respiratory system Moderate Regionally restricted euxassay_004734_19
TS23: skeleton Moderate Regionally restricted euxassay_004734_19
TS23: tail Moderate Regionally restricted euxassay_004734_19
TS23: vertebral axis musculature Moderate Regionally restricted euxassay_004734_19

Specimen euxassay_004734_20: embryonic day 14.5 (more )
Structure Level Pattern Image Note
TS23: body cavity or lining Moderate Regionally restricted euxassay_004734_20
TS23: limb Moderate Regionally restricted euxassay_004734_20
TS23: cardiovascular system Moderate Regionally restricted euxassay_004734_20
TS23: gland Moderate Regionally restricted euxassay_004734_20
TS23: integumental system Moderate Regionally restricted euxassay_004734_20
TS23: nervous system Moderate Regionally restricted euxassay_004734_20
TS23: sensory organ system Moderate Regionally restricted euxassay_004734_20
TS23: alimentary system Moderate Regionally restricted euxassay_004734_20
TS23: urinary system Moderate Regionally restricted euxassay_004734_20
TS23: reproductive system Moderate Regionally restricted euxassay_004734_20
TS23: respiratory system Moderate Regionally restricted euxassay_004734_20
TS23: skeleton Moderate Regionally restricted euxassay_004734_20
TS23: tail Moderate Regionally restricted euxassay_004734_20
TS23: vertebral axis musculature Moderate Regionally restricted euxassay_004734_20

Specimen euxassay_004734_21: embryonic day 14.5 (more )
Structure Level Pattern Image Note
TS23: body cavity or lining Moderate Regionally restricted euxassay_004734_21
TS23: limb Moderate Regionally restricted euxassay_004734_21
TS23: cardiovascular system Moderate Regionally restricted euxassay_004734_21
TS23: gland Moderate Regionally restricted euxassay_004734_21
TS23: integumental system Moderate Regionally restricted euxassay_004734_21
TS23: nervous system Moderate Regionally restricted euxassay_004734_21
TS23: sensory organ system Moderate Regionally restricted euxassay_004734_21
TS23: alimentary system Moderate Regionally restricted euxassay_004734_21
TS23: urinary system Moderate Regionally restricted euxassay_004734_21
TS23: reproductive system Moderate Regionally restricted euxassay_004734_21
TS23: respiratory system Moderate Regionally restricted euxassay_004734_21
TS23: skeleton Moderate Regionally restricted euxassay_004734_21
TS23: tail Moderate Regionally restricted euxassay_004734_21
TS23: vertebral axis musculature Moderate Regionally restricted euxassay_004734_21

Specimen euxassay_004734_22: embryonic day 14.5 (more )
Structure Level Pattern Image Note
TS23: body cavity or lining Moderate Regionally restricted euxassay_004734_22
TS23: limb Moderate Regionally restricted euxassay_004734_22
TS23: cardiovascular system Moderate Regionally restricted euxassay_004734_22
TS23: gland Moderate Regionally restricted euxassay_004734_22
TS23: integumental system Moderate Regionally restricted euxassay_004734_22
TS23: nervous system Moderate Regionally restricted euxassay_004734_22
TS23: sensory organ system Moderate Regionally restricted euxassay_004734_22
TS23: alimentary system Moderate Regionally restricted euxassay_004734_22
TS23: urinary system Moderate Regionally restricted euxassay_004734_22
TS23: reproductive system Moderate Regionally restricted euxassay_004734_22
TS23: respiratory system Moderate Regionally restricted euxassay_004734_22
TS23: skeleton Moderate Regionally restricted euxassay_004734_22
TS23: tail Moderate Regionally restricted euxassay_004734_22
TS23: vertebral axis musculature Moderate Regionally restricted euxassay_004734_22

Specimen euxassay_004734_23: embryonic day 14.5 (more )
Structure Level Pattern Image Note
TS23: body cavity or lining Moderate Regionally restricted euxassay_004734_23
TS23: limb Moderate Regionally restricted euxassay_004734_23
TS23: cardiovascular system Moderate Regionally restricted euxassay_004734_23
TS23: gland Moderate Regionally restricted euxassay_004734_23
TS23: integumental system Moderate Regionally restricted euxassay_004734_23
TS23: nervous system Moderate Regionally restricted euxassay_004734_23
TS23: sensory organ system Moderate Regionally restricted euxassay_004734_23
TS23: alimentary system Moderate Regionally restricted euxassay_004734_23
TS23: urinary system Moderate Regionally restricted euxassay_004734_23
TS23: reproductive system Moderate Regionally restricted euxassay_004734_23
TS23: respiratory system Moderate Regionally restricted euxassay_004734_23
TS23: skeleton Moderate Regionally restricted euxassay_004734_23
TS23: tail Moderate Regionally restricted euxassay_004734_23
TS23: vertebral axis musculature Moderate Regionally restricted euxassay_004734_23

Specimen euxassay_004734_24: embryonic day 14.5 (more )
Structure Level Pattern Image Note
TS23: body cavity or lining Moderate Regionally restricted euxassay_004734_24
TS23: limb Moderate Regionally restricted euxassay_004734_24
TS23: gland Moderate Regionally restricted euxassay_004734_24
TS23: cardiovascular system Moderate Regionally restricted euxassay_004734_24
TS23: integumental system Moderate Regionally restricted euxassay_004734_24
TS23: nervous system Moderate Regionally restricted euxassay_004734_24
TS23: sensory organ system Moderate Regionally restricted euxassay_004734_24
TS23: alimentary system Moderate Regionally restricted euxassay_004734_24
TS23: urinary system Moderate Regionally restricted euxassay_004734_24
TS23: reproductive system Moderate Regionally restricted euxassay_004734_24
TS23: respiratory system Moderate Regionally restricted euxassay_004734_24
TS23: skeleton Moderate Regionally restricted euxassay_004734_24
TS23: tail Moderate Regionally restricted euxassay_004734_24
TS23: vertebral axis musculature Moderate Regionally restricted euxassay_004734_24


Contributing Projects:
Mouse Genome Database (MGD), Gene Expression Database (GXD), Mouse Models of Human Cancer database (MMHCdb) (formerly Mouse Tumor Biology (MTB)), Gene Ontology (GO)
Citing These Resources
Funding Information
Warranty Disclaimer, Privacy Notice, Licensing, & Copyright
Send questions and comments to User Support.
last database update
09/30/2025
MGI 6.24
The Jackson Laboratory