About   Help   FAQ
Gene Expression Data
Assay Details
Assay
Reference: J:153498 Diez-Roux G, et al., A high-resolution anatomical atlas of the transcriptome in the mouse embryo. PLoS Biol. 2011;9(1):e1000582
Assay type: RNA in situ
MGI Accession ID: MGI:4828518
Gene symbol: Strbp
Gene name: spermatid perinuclear RNA binding protein
Probe: T38866
Probe preparation: Antisense labelled with digoxigenin RNA
Visualized with: Alkaline phosphatase
Assay notes: Cryosections of fresh frozen material were fixed in 4% paraformaldehyde for 20 min. before further processing. A tyramide-biotin/streptavidin amplification step was included in the in situ hybridization procedure.
Results
Specimen euxassay_012970_01: embryonic day 14.5 (more )
Structure Level Pattern Image Note
TS23: brain Moderate Regionally restricted euxassay_012970_01
TS23: neural retina Moderate Regionally restricted euxassay_012970_01

Specimen euxassay_012970_02: embryonic day 14.5 (more )
Structure Level Pattern Image Note
TS23: brain Moderate Regionally restricted euxassay_012970_02
TS23: neural retina Moderate Regionally restricted euxassay_012970_02

Specimen euxassay_012970_03: embryonic day 14.5 (more )
Structure Level Pattern Image Note
TS23: brain Moderate Regionally restricted euxassay_012970_03
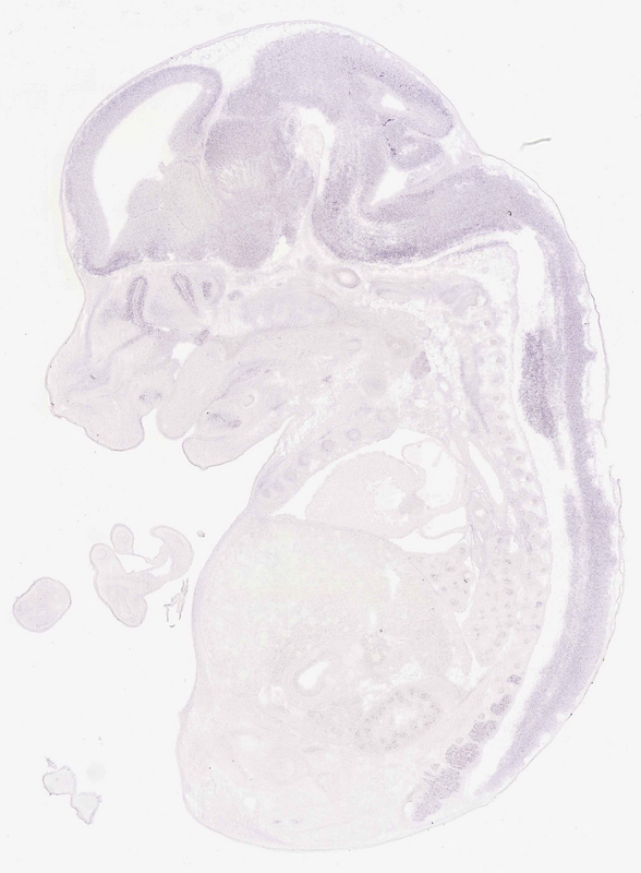
TS23: trigeminal ganglion Moderate Regionally restricted euxassay_012970_03
TS23: facial ganglion Moderate Regionally restricted euxassay_012970_03

Specimen euxassay_012970_04: embryonic day 14.5 (more )
Structure Level Pattern Image Note
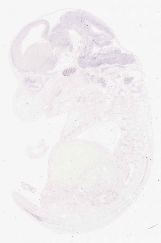
TS23: brain Moderate Regionally restricted euxassay_012970_04
TS23: trigeminal ganglion Moderate Regionally restricted euxassay_012970_04
TS23: facial ganglion Moderate Regionally restricted euxassay_012970_04

Specimen euxassay_012970_05: embryonic day 14.5 (more )
Structure Level Pattern Image Note
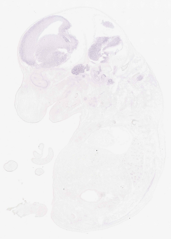
TS23: brain Moderate Regionally restricted euxassay_012970_05
TS23: trigeminal ganglion Moderate Regionally restricted euxassay_012970_05
TS23: facial ganglion Moderate Regionally restricted euxassay_012970_05
TS23: vestibulo-cochlear ganglion Moderate Regionally restricted euxassay_012970_05

Specimen euxassay_012970_06: embryonic day 14.5 (more )
Structure Level Pattern Image Note
TS23: brain Moderate Regionally restricted euxassay_012970_06
TS23: trigeminal ganglion Moderate Regionally restricted euxassay_012970_06
TS23: vestibulo-cochlear ganglion Moderate Regionally restricted euxassay_012970_06
TS23: vagus ganglion Moderate Regionally restricted euxassay_012970_06
TS23: glossopharyngeal ganglion Moderate Regionally restricted euxassay_012970_06
TS23: facial ganglion Moderate Regionally restricted euxassay_012970_06
TS23: dorsal root ganglion Moderate Regionally restricted euxassay_012970_06

Specimen euxassay_012970_07: embryonic day 14.5 (more )
Structure Level Pattern Image Note
TS23: brain Moderate Regionally restricted euxassay_012970_07
TS23: trigeminal ganglion Moderate Regionally restricted euxassay_012970_07
TS23: vestibulo-cochlear ganglion Moderate Regionally restricted euxassay_012970_07
TS23: vagus ganglion Moderate Regionally restricted euxassay_012970_07
TS23: glossopharyngeal ganglion Moderate Regionally restricted euxassay_012970_07
TS23: olfactory epithelium Moderate Regionally restricted euxassay_012970_07
TS23: dorsal root ganglion Moderate Regionally restricted euxassay_012970_07
TS23: metanephros Weak Regionally restricted euxassay_012970_07

Specimen euxassay_012970_08: embryonic day 14.5 (more )
Structure Level Pattern Image Note
TS23: brain Moderate Regionally restricted euxassay_012970_08
TS23: trigeminal ganglion Moderate Regionally restricted euxassay_012970_08
TS23: olfactory epithelium Moderate Regionally restricted euxassay_012970_08
TS23: dorsal root ganglion Moderate Regionally restricted euxassay_012970_08
TS23: metanephros Weak Regionally restricted euxassay_012970_08

Specimen euxassay_012970_09: embryonic day 14.5 (more )
Structure Level Pattern Image Note
TS23: brain Moderate Regionally restricted euxassay_012970_09
TS23: spinal cord Moderate Regionally restricted euxassay_012970_09
TS23: olfactory epithelium Moderate Regionally restricted euxassay_012970_09
TS23: dorsal root ganglion Moderate Regionally restricted euxassay_012970_09
TS23: metanephros Weak Regionally restricted euxassay_012970_09

Specimen euxassay_012970_10: embryonic day 14.5 (more )
Structure Level Pattern Image Note
TS23: brain Moderate Regionally restricted euxassay_012970_10
TS23: spinal cord Moderate Regionally restricted euxassay_012970_10
TS23: olfactory epithelium Moderate Regionally restricted euxassay_012970_10
TS23: vomeronasal organ Moderate Regionally restricted euxassay_012970_10
TS23: dorsal root ganglion Moderate Regionally restricted euxassay_012970_10
TS23: metanephros Weak Regionally restricted euxassay_012970_10

Specimen euxassay_012970_11: embryonic day 14.5 (more )
Structure Level Pattern Image Note
TS23: brain Moderate Regionally restricted euxassay_012970_11
TS23: spinal cord Moderate Regionally restricted euxassay_012970_11
TS23: olfactory epithelium Moderate Regionally restricted euxassay_012970_11
TS23: dorsal root ganglion Moderate Regionally restricted euxassay_012970_11

Specimen euxassay_012970_12: embryonic day 14.5 (more )
Structure Level Pattern Image Note
TS23: brain Moderate Regionally restricted euxassay_012970_12
TS23: spinal cord Moderate Regionally restricted euxassay_012970_12
TS23: dorsal root ganglion Moderate Regionally restricted euxassay_012970_12

Specimen euxassay_012970_13: embryonic day 14.5 (more )
Structure Level Pattern Image Note
TS23: brain Moderate Regionally restricted euxassay_012970_13
TS23: spinal cord Moderate Regionally restricted euxassay_012970_13
TS23: olfactory epithelium Moderate Regionally restricted euxassay_012970_13
TS23: vomeronasal organ Moderate Regionally restricted euxassay_012970_13

Specimen euxassay_012970_14: embryonic day 14.5 (more )
Structure Level Pattern Image Note
TS23: brain Moderate Regionally restricted euxassay_012970_14
TS23: spinal cord Moderate Regionally restricted euxassay_012970_14
TS23: olfactory epithelium Moderate Regionally restricted euxassay_012970_14
TS23: dorsal root ganglion Moderate Regionally restricted euxassay_012970_14

Specimen euxassay_012970_15: embryonic day 14.5 (more )
Structure Level Pattern Image Note
TS23: brain Moderate Regionally restricted euxassay_012970_15
TS23: spinal cord Moderate Regionally restricted euxassay_012970_15
TS23: trigeminal nerve Moderate Regionally restricted euxassay_012970_15
TS23: olfactory epithelium Moderate Regionally restricted euxassay_012970_15
TS23: dorsal root ganglion Moderate Regionally restricted euxassay_012970_15
TS23: metanephros Weak Regionally restricted euxassay_012970_15

Specimen euxassay_012970_16: embryonic day 14.5 (more )
Structure Level Pattern Image Note
TS23: brain Moderate Regionally restricted euxassay_012970_16
TS23: trigeminal ganglion Moderate Regionally restricted euxassay_012970_16
TS23: vestibulo-cochlear ganglion Moderate Regionally restricted euxassay_012970_16
TS23: olfactory epithelium Moderate Regionally restricted euxassay_012970_16
TS23: dorsal root ganglion Moderate Regionally restricted euxassay_012970_16
TS23: metanephros Weak Regionally restricted euxassay_012970_16

Specimen euxassay_012970_17: embryonic day 14.5 (more )
Structure Level Pattern Image Note
TS23: brain Moderate Regionally restricted euxassay_012970_17
TS23: trigeminal ganglion Moderate Regionally restricted euxassay_012970_17
TS23: vagus ganglion Moderate Regionally restricted euxassay_012970_17
TS23: glossopharyngeal ganglion Moderate Regionally restricted euxassay_012970_17
TS23: vestibulo-cochlear ganglion Moderate Regionally restricted euxassay_012970_17
TS23: olfactory epithelium Moderate Regionally restricted euxassay_012970_17
TS23: dorsal root ganglion Moderate Regionally restricted euxassay_012970_17
TS23: metanephros Weak Regionally restricted euxassay_012970_17

Specimen euxassay_012970_18: embryonic day 14.5 (more )
Structure Level Pattern Image Note
TS23: brain Moderate Regionally restricted euxassay_012970_18
TS23: trigeminal ganglion Moderate Regionally restricted euxassay_012970_18
TS23: vestibulo-cochlear ganglion Moderate Regionally restricted euxassay_012970_18
TS23: glossopharyngeal ganglion Moderate Regionally restricted euxassay_012970_18
TS23: metanephros Weak Regionally restricted euxassay_012970_18

Specimen euxassay_012970_19: embryonic day 14.5 (more )
Structure Level Pattern Image Note
TS23: brain Moderate Regionally restricted euxassay_012970_19
TS23: trigeminal ganglion Moderate Regionally restricted euxassay_012970_19
TS23: vestibulo-cochlear ganglion Moderate Regionally restricted euxassay_012970_19
TS23: facial ganglion Moderate Regionally restricted euxassay_012970_19
TS23: metanephros Weak Regionally restricted euxassay_012970_19

Specimen euxassay_012970_20: embryonic day 14.5 (more )
Structure Level Pattern Image Note
TS23: brain Moderate Regionally restricted euxassay_012970_20
TS23: trigeminal ganglion Moderate Regionally restricted euxassay_012970_20
TS23: facial ganglion Moderate Regionally restricted euxassay_012970_20

Specimen euxassay_012970_21: embryonic day 14.5 (more )
Structure Level Pattern Image Note
TS23: brain Moderate Regionally restricted euxassay_012970_21
TS23: trigeminal ganglion Moderate Regionally restricted euxassay_012970_21
TS23: facial ganglion Moderate Regionally restricted euxassay_012970_21
TS23: neural retina Moderate Regionally restricted euxassay_012970_21

Specimen euxassay_012970_22: embryonic day 14.5 (more )
Structure Level Pattern Image Note
TS23: brain Moderate Regionally restricted euxassay_012970_22
TS23: trigeminal ganglion Moderate Regionally restricted euxassay_012970_22
TS23: facial ganglion Moderate Regionally restricted euxassay_012970_22
TS23: neural retina Moderate Regionally restricted euxassay_012970_22

Specimen euxassay_012970_23: embryonic day 14.5 (more )
Structure Level Pattern Image Note
TS23: brain Moderate Regionally restricted euxassay_012970_23
TS23: neural retina Moderate Regionally restricted euxassay_012970_23

Specimen euxassay_012970_24: embryonic day 14.5 (more )
Structure Level Pattern Image Note
TS23: brain Moderate Regionally restricted euxassay_012970_24
TS23: neural retina Moderate Regionally restricted euxassay_012970_24


Contributing Projects:
Mouse Genome Database (MGD), Gene Expression Database (GXD), Mouse Models of Human Cancer database (MMHCdb) (formerly Mouse Tumor Biology (MTB)), Gene Ontology (GO)
Citing These Resources
Funding Information
Warranty Disclaimer, Privacy Notice, Licensing, & Copyright
Send questions and comments to User Support.
last database update
01/20/2026
MGI 6.24
The Jackson Laboratory