About   Help   FAQ
Gene Expression Data
Assay Details
Assay
Reference: J:153498 Diez-Roux G, et al., A high-resolution anatomical atlas of the transcriptome in the mouse embryo. PLoS Biol. 2011;9(1):e1000582
Assay type: RNA in situ
MGI Accession ID: MGI:4828510
Gene symbol: Stmn3
Gene name: stathmin-like 3
Probe: IMAGE clone 388906
Probe preparation: Antisense labelled with digoxigenin RNA
Visualized with: Alkaline phosphatase
Assay notes: Cryosections of fresh frozen material were fixed in 4% paraformaldehyde for 20 min. before further processing. A tyramide-biotin/streptavidin amplification step was included in the in situ hybridization procedure.
Results
Specimen euxassay_000708_01: embryonic day 14.5 (more )
Structure Level Pattern Image Note
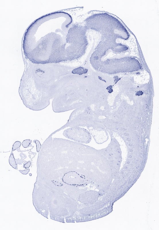
TS23: retina Moderate Regionally restricted euxassay_000708_01

Specimen euxassay_000708_02: embryonic day 14.5 (more )
Structure Level Pattern Image Note
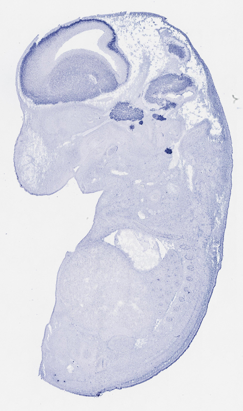
TS23: trigeminal ganglion Strong Uniform euxassay_000708_02
TS23: retina Moderate Regionally restricted euxassay_000708_02

Specimen euxassay_000708_03: embryonic day 14.5 (more )
Structure Level Pattern Image Note
TS23: trigeminal ganglion Strong Uniform euxassay_000708_03
TS23: retina Moderate Regionally restricted euxassay_000708_03

Specimen euxassay_000708_04: embryonic day 14.5 (more )
Structure Level Pattern Image Note
TS23: trigeminal ganglion Strong Uniform euxassay_000708_04
TS23: facial ganglion Strong Uniform euxassay_000708_04
TS23: vestibular ganglion Strong Uniform euxassay_000708_04

Specimen euxassay_000708_05: embryonic day 14.5 (more )
Structure Level Pattern Image Note
TS23: trigeminal ganglion Strong Uniform euxassay_000708_05
TS23: facial ganglion Strong Uniform euxassay_000708_05
TS23: vestibular ganglion Strong Uniform euxassay_000708_05

Specimen euxassay_000708_06: embryonic day 14.5 (more )
Structure Level Pattern Image Note
TS23: cochlear ganglion Strong Uniform euxassay_000708_06
TS23: vestibular ganglion Strong Uniform euxassay_000708_06
TS23: trigeminal ganglion Strong Uniform euxassay_000708_06
TS23: facial ganglion Strong Uniform euxassay_000708_06
TS23: inferior glossopharyngeal ganglion Strong Uniform euxassay_000708_06
TS23: superior glossopharyngeal ganglion Strong Uniform euxassay_000708_06

Specimen euxassay_000708_07: embryonic day 14.5 (more )
Structure Level Pattern Image Note
TS23: trigeminal ganglion Strong Uniform euxassay_000708_07
TS23: inferior glossopharyngeal ganglion Strong Uniform euxassay_000708_07
TS23: superior glossopharyngeal ganglion Strong Uniform euxassay_000708_07
TS23: vestibular ganglion Strong Uniform euxassay_000708_07

Specimen euxassay_000708_08: embryonic day 14.5 (more )
Structure Level Pattern Image Note
TS23: vagus ganglion Strong Uniform euxassay_000708_08
TS23: trigeminal ganglion Strong Uniform euxassay_000708_08
TS23: dorsal root ganglion Strong Regionally restricted euxassay_000708_08

Specimen euxassay_000708_09: embryonic day 14.5 (more )
Structure Level Pattern Image Note
TS23: vagus ganglion Weak Regionally restricted euxassay_000708_09
TS23: dorsal root ganglion Strong Regionally restricted euxassay_000708_09

Specimen euxassay_000708_10: embryonic day 14.5 (more )
Structure Level Pattern Image Note
TS23: dorsal root ganglion Strong Regionally restricted euxassay_000708_10
TS23: olfactory epithelium Weak Regionally restricted euxassay_000708_10

Specimen euxassay_000708_11: embryonic day 14.5 (more )
Structure Level Pattern Image Note
TS23: dorsal root ganglion Strong Regionally restricted euxassay_000708_11
TS23: olfactory epithelium Weak Regionally restricted euxassay_000708_11
TS23: hindgut Moderate Regionally restricted euxassay_000708_11

Specimen euxassay_000708_12: embryonic day 14.5 (more )
Structure Level Pattern Image Note
TS23: dorsal root ganglion Strong Regionally restricted euxassay_000708_12
TS23: hindgut Moderate Regionally restricted euxassay_000708_12

Specimen euxassay_000708_13: embryonic day 14.5 (more )
Structure Level Pattern Image Note
TS23: hindgut Moderate Regionally restricted euxassay_000708_13

Specimen euxassay_000708_14: embryonic day 14.5 (more )
Structure Level Pattern Image Note
TS23: olfactory epithelium Weak Regionally restricted euxassay_000708_14
TS23: hindgut Moderate Regionally restricted euxassay_000708_14

Specimen euxassay_000708_15: embryonic day 14.5 (more )
Structure Level Pattern Image Note
TS23: dorsal root ganglion Strong Regionally restricted euxassay_000708_15
TS23: olfactory epithelium Weak Regionally restricted euxassay_000708_15
TS23: hindgut Moderate Regionally restricted euxassay_000708_15

Specimen euxassay_000708_16: embryonic day 14.5 (more )
Structure Level Pattern Image Note
TS23: vagus ganglion Moderate Regionally restricted euxassay_000708_16
TS23: dorsal root ganglion Strong Regionally restricted euxassay_000708_16
TS23: olfactory epithelium Weak Regionally restricted euxassay_000708_16

Specimen euxassay_000708_17: embryonic day 14.5 (more )
Structure Level Pattern Image Note
TS23: trigeminal ganglion Strong Uniform euxassay_000708_17
TS23: vagus ganglion Strong Uniform euxassay_000708_17
TS23: vestibular ganglion Strong Uniform euxassay_000708_17
TS23: dorsal root ganglion Strong Regionally restricted euxassay_000708_17

Specimen euxassay_000708_18: embryonic day 14.5 (more )
Structure Level Pattern Image Note
TS23: inferior glossopharyngeal ganglion Strong Uniform euxassay_000708_18
TS23: superior glossopharyngeal ganglion Strong Uniform euxassay_000708_18
TS23: cochlear ganglion Strong Uniform euxassay_000708_18
TS23: vestibular ganglion Strong Uniform euxassay_000708_18
TS23: trigeminal ganglion Strong Uniform euxassay_000708_18
TS23: facial ganglion Strong Uniform euxassay_000708_18
TS23: dorsal root ganglion Strong Regionally restricted euxassay_000708_18

Specimen euxassay_000708_19: embryonic day 14.5 (more )
Structure Level Pattern Image Note
TS23: facial ganglion Strong Uniform euxassay_000708_19
TS23: trigeminal ganglion Strong Uniform euxassay_000708_19
TS23: vestibular ganglion Strong Uniform euxassay_000708_19

Specimen euxassay_000708_20: embryonic day 14.5 (more )
Structure Level Pattern Image Note
TS23: trigeminal ganglion Strong Uniform euxassay_000708_20
TS23: facial ganglion Strong Uniform euxassay_000708_20
TS23: vestibular ganglion Strong Uniform euxassay_000708_20

Specimen euxassay_000708_21: embryonic day 14.5 (more )
Structure Level Pattern Image Note
TS23: trigeminal ganglion Strong Uniform euxassay_000708_21
TS23: facial ganglion Strong Uniform euxassay_000708_21

Specimen euxassay_000708_22: embryonic day 14.5 (more )
Structure Level Pattern Image Note
TS23: trigeminal ganglion Strong Uniform euxassay_000708_22
TS23: retina Moderate Regionally restricted euxassay_000708_22


Contributing Projects:
Mouse Genome Database (MGD), Gene Expression Database (GXD), Mouse Models of Human Cancer database (MMHCdb) (formerly Mouse Tumor Biology (MTB)), Gene Ontology (GO)
Citing These Resources
Funding Information
Warranty Disclaimer, Privacy Notice, Licensing, & Copyright
Send questions and comments to User Support.
last database update
12/30/2025
MGI 6.24
The Jackson Laboratory