About   Help   FAQ
Gene Expression Data
Assay Details
Assay
Reference: J:153498 Diez-Roux G, et al., A high-resolution anatomical atlas of the transcriptome in the mouse embryo. PLoS Biol. 2011;9(1):e1000582
Assay type: RNA in situ
MGI Accession ID: MGI:4828495
Gene symbol: Stc2
Gene name: stanniocalcin 2
Probe: MGC clone 18329
Probe preparation: Antisense labelled with digoxigenin RNA
Visualized with: Alkaline phosphatase
Assay notes: Cryosections of fresh frozen material were fixed in 4% paraformaldehyde for 20 min. before further processing. A tyramide-biotin/streptavidin amplification step was included in the in situ hybridization procedure.
Results
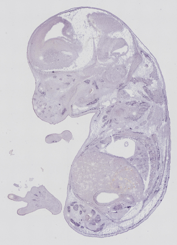
Specimen euxassay_003589_01: embryonic day 14.5 (more )
Structure Level Pattern Image Note
TS23: vertebral axis musculature Moderate Regionally restricted euxassay_003589_01

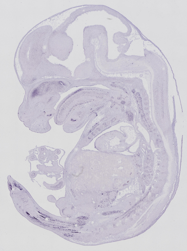
Specimen euxassay_003589_02: embryonic day 14.5 (more )
Structure Level Pattern Image Note
TS23: vertebral axis musculature Moderate Regionally restricted euxassay_003589_02
TS23: head mesenchyme Moderate Regionally restricted euxassay_003589_02

Specimen euxassay_003589_03: embryonic day 14.5 (more )
Structure Level Pattern Image Note
TS23: vertebral axis musculature Moderate Regionally restricted euxassay_003589_03
TS23: head mesenchyme Moderate Regionally restricted euxassay_003589_03

Specimen euxassay_003589_04: embryonic day 14.5 (more )
Structure Level Pattern Image Note
TS23: vertebral axis musculature Moderate Regionally restricted euxassay_003589_04
TS23: head mesenchyme Moderate Regionally restricted euxassay_003589_04

Specimen euxassay_003589_05: embryonic day 14.5 (more )
Structure Level Pattern Image Note
TS23: vertebral axis musculature Moderate Regionally restricted euxassay_003589_05
TS23: head mesenchyme Moderate Regionally restricted euxassay_003589_05

Specimen euxassay_003589_06: embryonic day 14.5 (more )
Structure Level Pattern Image Note
TS23: vertebral axis musculature Moderate Regionally restricted euxassay_003589_06
TS23: embryo mesenchyme Moderate Regionally restricted euxassay_003589_06
TS23: testis Moderate Regionally restricted euxassay_003589_06

Specimen euxassay_003589_07: embryonic day 14.5 (more )
Structure Level Pattern Image Note
TS23: vertebral axis musculature Moderate Regionally restricted euxassay_003589_07
TS23: head mesenchyme Moderate Regionally restricted euxassay_003589_07
TS23: testis Moderate Regionally restricted euxassay_003589_07

Specimen euxassay_003589_08: embryonic day 14.5 (more )
Structure Level Pattern Image Note
TS23: vertebral axis musculature Moderate Regionally restricted euxassay_003589_08
TS23: testis Moderate Regionally restricted euxassay_003589_08

Specimen euxassay_003589_09: embryonic day 14.5 (more )
Structure Level Pattern Image Note
TS23: vertebral axis musculature Moderate Regionally restricted euxassay_003589_09
TS23: tail mesenchyme Moderate Regionally restricted euxassay_003589_09
TS23: olfactory epithelium Moderate Regionally restricted euxassay_003589_09
TS23: testis Moderate Regionally restricted euxassay_003589_09

Specimen euxassay_003589_10: embryonic day 14.5 (more )
Structure Level Pattern Image Note
TS23: vertebral axis musculature Moderate Regionally restricted euxassay_003589_10
TS23: tail mesenchyme Moderate Regionally restricted euxassay_003589_10
TS23: olfactory epithelium Moderate Regionally restricted euxassay_003589_10
TS23: pancreas Weak Regionally restricted euxassay_003589_10

Specimen euxassay_003589_11: embryonic day 14.5 (more )
Structure Level Pattern Image Note
TS23: vertebral axis musculature Moderate Regionally restricted euxassay_003589_11
TS23: tail mesenchyme Moderate Regionally restricted euxassay_003589_11
TS23: tongue muscle Weak Regionally restricted euxassay_003589_11
TS23: olfactory epithelium Weak Regionally restricted euxassay_003589_11
TS23: pancreas Weak Regionally restricted euxassay_003589_11

Specimen euxassay_003589_12: embryonic day 14.5 (more )
Structure Level Pattern Image Note
TS23: vertebral axis musculature Moderate Regionally restricted euxassay_003589_12
TS23: tail mesenchyme Moderate Regionally restricted euxassay_003589_12
TS23: tongue muscle Weak Regionally restricted euxassay_003589_12
TS23: thymus primordium Weak Uniform euxassay_003589_12
TS23: olfactory epithelium Moderate Regionally restricted euxassay_003589_12
TS23: pancreas Weak Regionally restricted euxassay_003589_12

Specimen euxassay_003589_13: embryonic day 14.5 (more )
Structure Level Pattern Image Note
TS23: vertebral axis musculature Moderate Regionally restricted euxassay_003589_13
TS23: tail mesenchyme Moderate Regionally restricted euxassay_003589_13
TS23: tongue muscle Weak Regionally restricted euxassay_003589_13
TS23: thymus primordium Moderate Uniform euxassay_003589_13
TS23: pancreas Weak Regionally restricted euxassay_003589_13

Specimen euxassay_003589_14: embryonic day 14.5 (more )
Structure Level Pattern Image Note
TS23: vertebral axis musculature Moderate Regionally restricted euxassay_003589_14
TS23: tail mesenchyme Moderate Regionally restricted euxassay_003589_14
TS23: tongue muscle Weak Regionally restricted euxassay_003589_14
TS23: thymus primordium Weak Uniform euxassay_003589_14

Specimen euxassay_003589_15: embryonic day 14.5 (more )
Structure Level Pattern Image Note
TS23: vertebral axis musculature Moderate Regionally restricted euxassay_003589_15
TS23: tail mesenchyme Moderate Regionally restricted euxassay_003589_15
TS23: tongue muscle Weak Regionally restricted euxassay_003589_15
TS23: thymus primordium Moderate Uniform euxassay_003589_15
TS23: olfactory epithelium Moderate Regionally restricted euxassay_003589_15

Specimen euxassay_003589_16: embryonic day 14.5 (more )
Structure Level Pattern Image Note
TS23: vertebral axis musculature Moderate Regionally restricted euxassay_003589_16
TS23: tail mesenchyme Moderate Regionally restricted euxassay_003589_16
TS23: tongue Weak Regionally restricted euxassay_003589_16
TS23: tongue muscle Weak Regionally restricted euxassay_003589_16
TS23: thymus primordium Moderate Uniform euxassay_003589_16
TS23: olfactory epithelium Moderate Regionally restricted euxassay_003589_16
TS23: pancreas Weak Regionally restricted euxassay_003589_16

Specimen euxassay_003589_17: embryonic day 14.5 (more )
Structure Level Pattern Image Note
TS23: vertebral axis musculature Moderate Regionally restricted euxassay_003589_17
TS23: tail mesenchyme Moderate Regionally restricted euxassay_003589_17
TS23: olfactory epithelium Moderate Regionally restricted euxassay_003589_17
TS23: pancreas Weak Regionally restricted euxassay_003589_17

Specimen euxassay_003589_18: embryonic day 14.5 (more )
Structure Level Pattern Image Note
TS23: vertebral axis musculature Moderate Regionally restricted euxassay_003589_18
TS23: olfactory epithelium Moderate Regionally restricted euxassay_003589_18
TS23: pancreas Weak Regionally restricted euxassay_003589_18

Specimen euxassay_003589_19: embryonic day 14.5 (more )
Structure Level Pattern Image Note
TS23: vertebral axis musculature Moderate Regionally restricted euxassay_003589_19
TS23: testis Moderate Regionally restricted euxassay_003589_19

Specimen euxassay_003589_20: embryonic day 14.5 (more )
Structure Level Pattern Image Note
TS23: vertebral axis musculature Moderate Regionally restricted euxassay_003589_20
TS23: testis Moderate Regionally restricted euxassay_003589_20

Specimen euxassay_003589_21: embryonic day 14.5 (more )
Structure Level Pattern Image Note
TS23: vertebral axis musculature Moderate Regionally restricted euxassay_003589_21
TS23: head mesenchyme Moderate Regionally restricted euxassay_003589_21
TS23: testis Moderate Regionally restricted euxassay_003589_21

Specimen euxassay_003589_22: embryonic day 14.5 (more )
Structure Level Pattern Image Note
TS23: vertebral axis musculature Moderate Regionally restricted euxassay_003589_22
TS23: head mesenchyme Moderate Regionally restricted euxassay_003589_22
TS23: testis Moderate Regionally restricted euxassay_003589_22

Specimen euxassay_003589_23: embryonic day 14.5 (more )
Structure Level Pattern Image Note
TS23: vertebral axis musculature Moderate Regionally restricted euxassay_003589_23
TS23: head mesenchyme Moderate Regionally restricted euxassay_003589_23


Contributing Projects:
Mouse Genome Database (MGD), Gene Expression Database (GXD), Mouse Models of Human Cancer database (MMHCdb) (formerly Mouse Tumor Biology (MTB)), Gene Ontology (GO)
Citing These Resources
Funding Information
Warranty Disclaimer, Privacy Notice, Licensing, & Copyright
Send questions and comments to User Support.
last database update
01/06/2026
MGI 6.24
The Jackson Laboratory