About   Help   FAQ
Gene Expression Data
Assay Details
Assay
Reference: J:153498 Diez-Roux G, et al., A high-resolution anatomical atlas of the transcriptome in the mouse embryo. PLoS Biol. 2011;9(1):e1000582
Assay type: RNA in situ
MGI Accession ID: MGI:4828484
Gene symbol: Stat1
Gene name: signal transducer and activator of transcription 1
Probe: MGC clone 6411
Probe preparation: Antisense labelled with digoxigenin RNA
Visualized with: Alkaline phosphatase
Assay notes: Cryosections of fresh frozen material were fixed in 4% paraformaldehyde for 20 min. before further processing. A tyramide-biotin/streptavidin amplification step was included in the in situ hybridization procedure.
Results
Specimen euxassay_004660_03: embryonic day 14.5 (more )
Structure Level Pattern Image Note
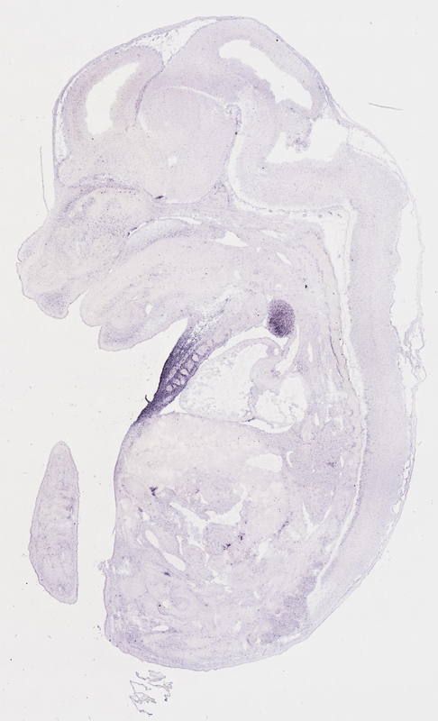
TS23: axial musculature Moderate Regionally restricted euxassay_004660_03

Specimen euxassay_004660_04: embryonic day 14.5 (more )
Structure Level Pattern Image Note
TS23: axial musculature Moderate Regionally restricted euxassay_004660_04

Specimen euxassay_004660_05: embryonic day 14.5 (more )
Structure Level Pattern Image Note
TS23: axial musculature Moderate Regionally restricted euxassay_004660_05

Specimen euxassay_004660_06: embryonic day 14.5 (more )
Structure Level Pattern Image Note
TS23: axial musculature Moderate Regionally restricted euxassay_004660_06

Specimen euxassay_004660_07: embryonic day 14.5 (more )
Structure Level Pattern Image Note
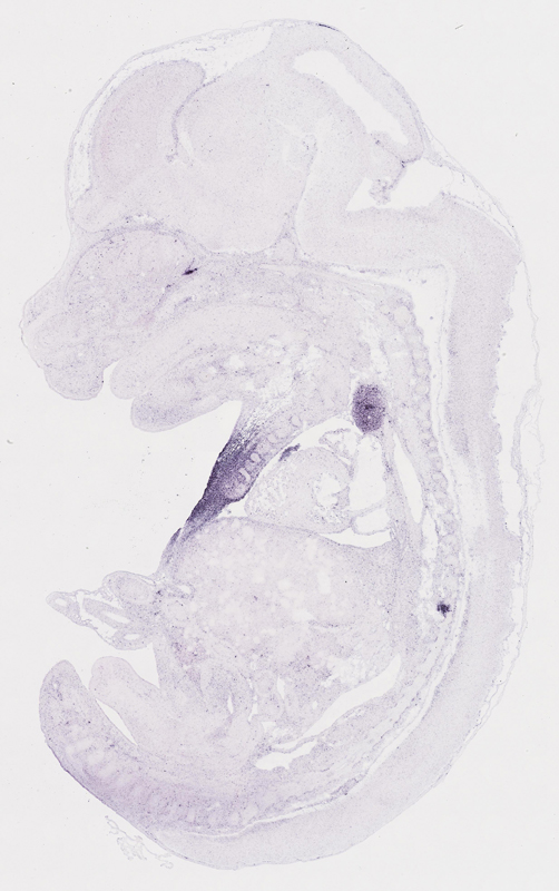
TS23: pectoral girdle and thoracic body wall muscle Strong Regionally restricted euxassay_004660_07
TS23: axial musculature Weak Regionally restricted euxassay_004660_07

Specimen euxassay_004660_08: embryonic day 14.5 (more )
Note: Additional information for this specimen was included in the Eurexpress data submission file.
Structure Level Pattern Image Note
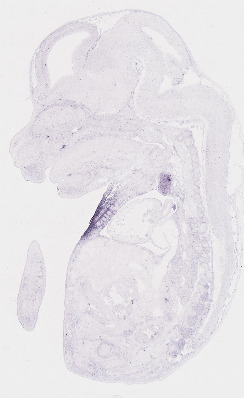
TS23: pectoral girdle and thoracic body wall muscle Strong Regionally restricted euxassay_004660_08
TS23: pons mantle layer Weak Regionally restricted euxassay_004660_08 trigeminal motor nucleus

Specimen euxassay_004660_09: embryonic day 14.5 (more )
Note: Additional information for this specimen was included in the Eurexpress data submission file.
Structure Level Pattern Image Note
TS23: pectoral girdle and thoracic body wall muscle Strong Regionally restricted euxassay_004660_09
TS23: medulla oblongata basal plate mantle layer Weak Regionally restricted euxassay_004660_09 facial motor nucleus

Specimen euxassay_004660_10: embryonic day 14.5 (more )
Note: Additional information for this specimen was included in the Eurexpress data submission file.
Structure Level Pattern Image Note
TS23: pectoral girdle and thoracic body wall muscle Strong Regionally restricted euxassay_004660_10
TS23: medulla oblongata basal plate mantle layer Weak Regionally restricted euxassay_004660_10 facial motor nucleus

Specimen euxassay_004660_11: embryonic day 14.5 (more )
Structure Level Pattern Image Note
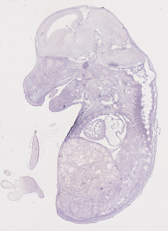
TS23: thymus primordium Strong Uniform euxassay_004660_11
TS23: pectoral girdle and thoracic body wall muscle Strong Regionally restricted euxassay_004660_11

Specimen euxassay_004660_12: embryonic day 14.5 (more )
Structure Level Pattern Image Note
TS23: thymus primordium Strong Uniform euxassay_004660_12
TS23: pectoral girdle and thoracic body wall muscle Strong Regionally restricted euxassay_004660_12

Specimen euxassay_004660_13: embryonic day 14.5 (more )
Structure Level Pattern Image Note
TS23: thymus primordium Strong Uniform euxassay_004660_13
TS23: pectoral girdle and thoracic body wall muscle Strong Regionally restricted euxassay_004660_13

Specimen euxassay_004660_14: embryonic day 14.5 (more )
Structure Level Pattern Image Note
TS23: thymus primordium Strong Uniform euxassay_004660_14
TS23: pectoral girdle and thoracic body wall muscle Strong Regionally restricted euxassay_004660_14

Specimen euxassay_004660_15: embryonic day 14.5 (more )
Structure Level Pattern Image Note
TS23: thymus primordium Strong Uniform euxassay_004660_15
TS23: pectoral girdle and thoracic body wall muscle Strong Regionally restricted euxassay_004660_15

Specimen euxassay_004660_16: embryonic day 14.5 (more )
Note: Additional information for this specimen was included in the Eurexpress data submission file.
Structure Level Pattern Image Note
TS23: pectoral girdle and thoracic body wall muscle Strong Regionally restricted euxassay_004660_16
TS23: medulla oblongata basal plate mantle layer Weak Regionally restricted euxassay_004660_16 facial motor nucleus

Specimen euxassay_004660_17: embryonic day 14.5 (more )
Note: Additional information for this specimen was included in the Eurexpress data submission file.
Structure Level Pattern Image Note
TS23: pectoral girdle and thoracic body wall muscle Strong Regionally restricted euxassay_004660_17
TS23: medulla oblongata basal plate mantle layer Weak Regionally restricted euxassay_004660_17 facial motor nucleus

Specimen euxassay_004660_18: embryonic day 14.5 (more )
Note: Additional information for this specimen was included in the Eurexpress data submission file.
Structure Level Pattern Image Note
TS23: pons mantle layer Weak Regionally restricted euxassay_004660_18 trigeminal motor nucleus

Specimen euxassay_004660_20: embryonic day 14.5 (more )
Structure Level Pattern Image Note
TS23: axial musculature Moderate Regionally restricted euxassay_004660_20

Specimen euxassay_004660_21: embryonic day 14.5 (more )
Structure Level Pattern Image Note
TS23: axial musculature Moderate Regionally restricted euxassay_004660_21

Specimen euxassay_004660_22: embryonic day 14.5 (more )
Structure Level Pattern Image Note
TS23: axial muscle Moderate Regionally restricted euxassay_004660_22


Contributing Projects:
Mouse Genome Database (MGD), Gene Expression Database (GXD), Mouse Models of Human Cancer database (MMHCdb) (formerly Mouse Tumor Biology (MTB)), Gene Ontology (GO)
Citing These Resources
Funding Information
Warranty Disclaimer, Privacy Notice, Licensing, & Copyright
Send questions and comments to User Support.
last database update
01/06/2026
MGI 6.24
The Jackson Laboratory