About   Help   FAQ
Gene Expression Data
Assay Details
Assay
Reference: J:153498 Diez-Roux G, et al., A high-resolution anatomical atlas of the transcriptome in the mouse embryo. PLoS Biol. 2011;9(1):e1000582
Assay type: RNA in situ
MGI Accession ID: MGI:4828453
Gene symbol: Ssbp2
Gene name: single-stranded DNA binding protein 2
Probe: MGC clone 7345
Probe preparation: Antisense labelled with digoxigenin RNA
Visualized with: Alkaline phosphatase
Assay notes: Cryosections of fresh frozen material were fixed in 4% paraformaldehyde for 20 min. before further processing. A tyramide-biotin/streptavidin amplification step was included in the in situ hybridization procedure.
Results
Specimen euxassay_002180_01: embryonic day 14.5 (more )
Structure Level Pattern Image Note
TS23: telencephalon mantle layer Moderate Regionally restricted euxassay_002180_01
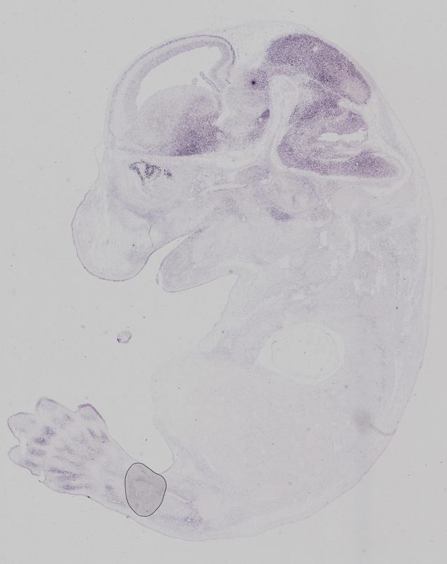
TS23: foot mesenchyme Moderate Regionally restricted euxassay_002180_01

Specimen euxassay_002180_02: embryonic day 14.5 (more )
Structure Level Pattern Image Note
TS23: telencephalon mantle layer Moderate Regionally restricted euxassay_002180_02
TS23: foot mesenchyme Moderate Regionally restricted euxassay_002180_02

Specimen euxassay_002180_03: embryonic day 14.5 (more )
Structure Level Pattern Image Note
TS23: telencephalon mantle layer Moderate Regionally restricted euxassay_002180_03
TS23: foot mesenchyme Moderate Regionally restricted euxassay_002180_03

Specimen euxassay_002180_04: embryonic day 14.5 (more )
Structure Level Pattern Image Note
TS23: telencephalon mantle layer Moderate Regionally restricted euxassay_002180_04
TS23: telencephalon marginal layer Moderate Regionally restricted euxassay_002180_04
TS23: spinal cord Moderate Uniform euxassay_002180_04
TS23: hindbrain Moderate Uniform euxassay_002180_04

Specimen euxassay_002180_05: embryonic day 14.5 (more )
Structure Level Pattern Image Note
TS23: telencephalon mantle layer Moderate Regionally restricted euxassay_002180_05
TS23: telencephalon marginal layer Moderate Regionally restricted euxassay_002180_05
TS23: spinal cord Moderate Uniform euxassay_002180_05
TS23: hindbrain Moderate Uniform euxassay_002180_05

Specimen euxassay_002180_06: embryonic day 14.5 (more )
Structure Level Pattern Image Note
TS23: telencephalon mantle layer Moderate Regionally restricted euxassay_002180_06
TS23: telencephalon marginal layer Moderate Regionally restricted euxassay_002180_06
TS23: midbrain Moderate Uniform euxassay_002180_06
TS23: hindbrain Moderate Uniform euxassay_002180_06
TS23: spinal cord Moderate Uniform euxassay_002180_06

Specimen euxassay_002180_07: embryonic day 14.5 (more )
Structure Level Pattern Image Note
TS23: telencephalon mantle layer Moderate Regionally restricted euxassay_002180_07
TS23: telencephalon marginal layer Moderate Regionally restricted euxassay_002180_07
TS23: spinal cord Moderate Uniform euxassay_002180_07
TS23: midbrain Moderate Uniform euxassay_002180_07
TS23: hindbrain Moderate Uniform euxassay_002180_07
TS23: diencephalon Moderate Uniform euxassay_002180_07

Specimen euxassay_002180_08: embryonic day 14.5 (more )
Structure Level Pattern Image Note
TS23: telencephalon mantle layer Moderate Regionally restricted euxassay_002180_08
TS23: telencephalon marginal layer Moderate Regionally restricted euxassay_002180_08
TS23: spinal cord Moderate Uniform euxassay_002180_08
TS23: midbrain Moderate Uniform euxassay_002180_08
TS23: hindbrain Moderate Uniform euxassay_002180_08
TS23: diencephalon Moderate Uniform euxassay_002180_08
TS23: olfactory epithelium Strong Regionally restricted euxassay_002180_08

Specimen euxassay_002180_09: embryonic day 14.5 (more )
Structure Level Pattern Image Note
TS23: telencephalon mantle layer Moderate Regionally restricted euxassay_002180_09
TS23: telencephalon marginal layer Moderate Regionally restricted euxassay_002180_09
TS23: midbrain Moderate Uniform euxassay_002180_09
TS23: hindbrain Moderate Uniform euxassay_002180_09
TS23: spinal cord Moderate Uniform euxassay_002180_09
TS23: diencephalon Moderate Uniform euxassay_002180_09
TS23: olfactory epithelium Strong Regionally restricted euxassay_002180_09

Specimen euxassay_002180_10: embryonic day 14.5 (more )
Structure Level Pattern Image Note
TS23: telencephalon marginal layer Moderate Regionally restricted euxassay_002180_10
TS23: spinal cord Moderate Uniform euxassay_002180_10
TS23: midbrain Moderate Uniform euxassay_002180_10
TS23: hindbrain Moderate Uniform euxassay_002180_10
TS23: diencephalon Moderate Uniform euxassay_002180_10

Specimen euxassay_002180_11: embryonic day 14.5 (more )
Structure Level Pattern Image Note
TS23: telencephalon marginal layer Moderate Regionally restricted euxassay_002180_11
TS23: telencephalon mantle layer Moderate Regionally restricted euxassay_002180_11
TS23: spinal cord Moderate Uniform euxassay_002180_11
TS23: midbrain Moderate Uniform euxassay_002180_11
TS23: hindbrain Moderate Uniform euxassay_002180_11
TS23: diencephalon Moderate Uniform euxassay_002180_11
TS23: olfactory epithelium Strong Regionally restricted euxassay_002180_11

Specimen euxassay_002180_12: embryonic day 14.5 (more )
Structure Level Pattern Image Note
TS23: telencephalon marginal layer Moderate Regionally restricted euxassay_002180_12
TS23: midbrain Moderate Uniform euxassay_002180_12
TS23: hindbrain Moderate Uniform euxassay_002180_12
TS23: diencephalon Moderate Uniform euxassay_002180_12
TS23: spinal cord Moderate Uniform euxassay_002180_12
TS23: olfactory epithelium Strong Regionally restricted euxassay_002180_12

Specimen euxassay_002180_13: embryonic day 14.5 (more )
Structure Level Pattern Image Note
TS23: midbrain Moderate Uniform euxassay_002180_13
TS23: hindbrain Moderate Uniform euxassay_002180_13
TS23: diencephalon Moderate Uniform euxassay_002180_13
TS23: olfactory epithelium Strong Regionally restricted euxassay_002180_13

Specimen euxassay_002180_14: embryonic day 14.5 (more )
Structure Level Pattern Image Note
TS23: telencephalon marginal layer Moderate Regionally restricted euxassay_002180_14
TS23: midbrain Moderate Uniform euxassay_002180_14
TS23: hindbrain Moderate Uniform euxassay_002180_14
TS23: diencephalon Moderate Uniform euxassay_002180_14
TS23: foot mesenchyme Moderate Regionally restricted euxassay_002180_14
TS23: olfactory epithelium Strong Regionally restricted euxassay_002180_14

Specimen euxassay_002180_15: embryonic day 14.5 (more )
Structure Level Pattern Image Note
TS23: telencephalon marginal layer Moderate Regionally restricted euxassay_002180_15
TS23: telencephalon mantle layer Moderate Regionally restricted euxassay_002180_15
TS23: hindbrain Moderate Uniform euxassay_002180_15
TS23: midbrain Moderate Uniform euxassay_002180_15
TS23: foot mesenchyme Moderate Regionally restricted euxassay_002180_15
TS23: olfactory epithelium Strong Regionally restricted euxassay_002180_15

Specimen euxassay_002180_16: embryonic day 14.5 (more )
Structure Level Pattern Image Note
TS23: telencephalon marginal layer Moderate Regionally restricted euxassay_002180_16
TS23: telencephalon mantle layer Moderate Regionally restricted euxassay_002180_16
TS23: hindbrain Moderate Uniform euxassay_002180_16
TS23: midbrain Moderate Uniform euxassay_002180_16
TS23: foot mesenchyme Moderate Regionally restricted euxassay_002180_16

Specimen euxassay_002180_17: embryonic day 14.5 (more )
Structure Level Pattern Image Note
TS23: telencephalon marginal layer Moderate Regionally restricted euxassay_002180_17
TS23: telencephalon mantle layer Moderate Regionally restricted euxassay_002180_17
TS23: foot mesenchyme Moderate Regionally restricted euxassay_002180_17

Specimen euxassay_002180_18: embryonic day 14.5 (more )
Structure Level Pattern Image Note
TS23: telencephalon marginal layer Moderate Regionally restricted euxassay_002180_18
TS23: telencephalon mantle layer Moderate Regionally restricted euxassay_002180_18

Specimen euxassay_002180_19: embryonic day 14.5 (more )
Structure Level Pattern Image Note
TS23: telencephalon marginal layer Moderate Regionally restricted euxassay_002180_19
TS23: telencephalon mantle layer Moderate Regionally restricted euxassay_002180_19


Contributing Projects:
Mouse Genome Database (MGD), Gene Expression Database (GXD), Mouse Models of Human Cancer database (MMHCdb) (formerly Mouse Tumor Biology (MTB)), Gene Ontology (GO)
Citing These Resources
Funding Information
Warranty Disclaimer, Privacy Notice, Licensing, & Copyright
Send questions and comments to User Support.
last database update
01/20/2026
MGI 6.24
The Jackson Laboratory