About   Help   FAQ
Gene Expression Data
Assay Details
Assay
Reference: J:153498 Diez-Roux G, et al., A high-resolution anatomical atlas of the transcriptome in the mouse embryo. PLoS Biol. 2011;9(1):e1000582
Assay type: RNA in situ
MGI Accession ID: MGI:4828442
Gene symbol: Srgn
Gene name: serglycin
Probe: MGC clone 46886
Probe preparation: Antisense labelled with digoxigenin RNA
Visualized with: Alkaline phosphatase
Assay notes: Cryosections of fresh frozen material were fixed in 4% paraformaldehyde for 20 min. before further processing. A tyramide-biotin/streptavidin amplification step was included in the in situ hybridization procedure.
Results
Specimen euxassay_001204_01: embryonic day 14.5 (more )
Structure Level Pattern Image Note
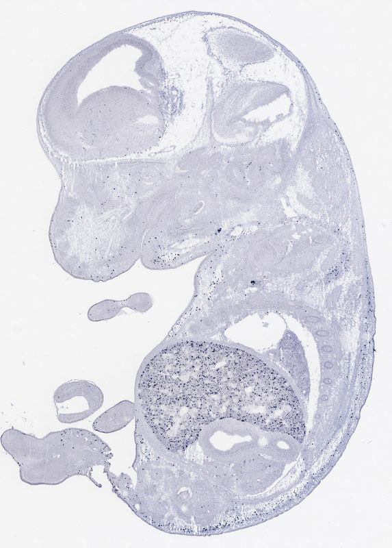
TS23: liver Weak Regionally restricted euxassay_001204_01

Specimen euxassay_001204_02: embryonic day 14.5 (more )
Structure Level Pattern Image Note
TS23: liver Weak Regionally restricted euxassay_001204_02

Specimen euxassay_001204_03: embryonic day 14.5 (more )
Structure Level Pattern Image Note
TS23: liver Weak Regionally restricted euxassay_001204_03

Specimen euxassay_001204_04: embryonic day 14.5 (more )
Structure Level Pattern Image Note
TS23: liver Weak Regionally restricted euxassay_001204_04

Specimen euxassay_001204_05: embryonic day 14.5 (more )
Structure Level Pattern Image Note
TS23: liver Weak Regionally restricted euxassay_001204_05

Specimen euxassay_001204_06: embryonic day 14.5 (more )
Structure Level Pattern Image Note
TS23: liver Weak Spotted euxassay_001204_06

Specimen euxassay_001204_07: embryonic day 14.5 (more )
Structure Level Pattern Image Note
TS23: liver Weak Spotted euxassay_001204_07

Specimen euxassay_001204_08: embryonic day 14.5 (more )
Structure Level Pattern Image Note
TS23: liver Weak Spotted euxassay_001204_08

Specimen euxassay_001204_09: embryonic day 14.5 (more )
Structure Level Pattern Image Note
TS23: liver Weak Spotted euxassay_001204_09
TS23: dorsal grey horn Weak Regionally restricted euxassay_001204_09

Specimen euxassay_001204_10: embryonic day 14.5 (more )
Note: Additional information for this specimen was included in the Eurexpress data submission file.
Structure Level Pattern Image Note
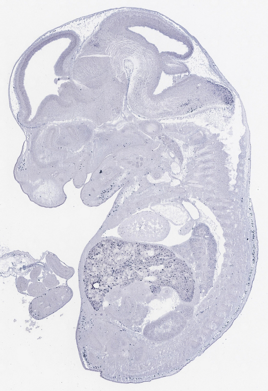
TS23: liver Weak Spotted euxassay_001204_10
TS23: dorsal grey horn Weak Regionally restricted euxassay_001204_10
TS23: diencephalon lateral wall mantle layer Weak Regionally restricted euxassay_001204_10
TS23: pretectum Present euxassay_001204_10

Specimen euxassay_001204_11: embryonic day 14.5 (more )
Note: Additional information for this specimen was included in the Eurexpress data submission file.
Structure Level Pattern Image Note
TS23: liver Weak Spotted euxassay_001204_11
TS23: dorsal grey horn Weak Regionally restricted euxassay_001204_11
TS23: diencephalon lateral wall mantle layer Weak Regionally restricted euxassay_001204_11
TS23: pretectum Present euxassay_001204_11

Specimen euxassay_001204_12: embryonic day 14.5 (more )
Structure Level Pattern Image Note
TS23: liver Weak Spotted euxassay_001204_12
TS23: thymus primordium Moderate Uniform euxassay_001204_12

Specimen euxassay_001204_13: embryonic day 14.5 (more )
Structure Level Pattern Image Note
TS23: liver Weak Spotted euxassay_001204_13
TS23: dorsal grey horn Weak Regionally restricted euxassay_001204_13

Specimen euxassay_001204_14: embryonic day 14.5 (more )
Note: Additional information for this specimen was included in the Eurexpress data submission file.
Structure Level Pattern Image Note
TS23: liver Weak Spotted euxassay_001204_14
TS23: thymus primordium Moderate Uniform euxassay_001204_14
TS23: dorsal grey horn Weak Regionally restricted euxassay_001204_14
TS23: diencephalon lateral wall mantle layer Weak Regionally restricted euxassay_001204_14
TS23: pretectum Present euxassay_001204_14

Specimen euxassay_001204_15: embryonic day 14.5 (more )
Structure Level Pattern Image Note
TS23: liver Weak Spotted euxassay_001204_15
TS23: thymus primordium Moderate Uniform euxassay_001204_15
TS23: dorsal grey horn Weak Regionally restricted euxassay_001204_15

Specimen euxassay_001204_16: embryonic day 14.5 (more )
Structure Level Pattern Image Note
TS23: liver Weak Regionally restricted euxassay_001204_16
TS23: thymus primordium Moderate Uniform euxassay_001204_16
TS23: dorsal grey horn Weak Regionally restricted euxassay_001204_16

Specimen euxassay_001204_17: embryonic day 14.5 (more )
Structure Level Pattern Image Note
TS23: liver Weak Spotted euxassay_001204_17

Specimen euxassay_001204_18: embryonic day 14.5 (more )
Structure Level Pattern Image Note
TS23: liver Weak Spotted euxassay_001204_18

Specimen euxassay_001204_19: embryonic day 14.5 (more )
Structure Level Pattern Image Note
TS23: liver Weak Spotted euxassay_001204_19

Specimen euxassay_001204_20: embryonic day 14.5 (more )
Structure Level Pattern Image Note
TS23: liver Weak Spotted euxassay_001204_20

Specimen euxassay_001204_21: embryonic day 14.5 (more )
Structure Level Pattern Image Note
TS23: liver Weak Spotted euxassay_001204_21

Specimen euxassay_001204_22: embryonic day 14.5 (more )
Structure Level Pattern Image Note
TS23: liver Weak Spotted euxassay_001204_22

Specimen euxassay_001204_23: embryonic day 14.5 (more )
Structure Level Pattern Image Note
TS23: liver Weak Spotted euxassay_001204_23

Specimen euxassay_001204_24: embryonic day 14.5 (more )
Structure Level Pattern Image Note
TS23: liver Weak Spotted euxassay_001204_24


Contributing Projects:
Mouse Genome Database (MGD), Gene Expression Database (GXD), Mouse Models of Human Cancer database (MMHCdb) (formerly Mouse Tumor Biology (MTB)), Gene Ontology (GO)
Citing These Resources
Funding Information
Warranty Disclaimer, Privacy Notice, Licensing, & Copyright
Send questions and comments to User Support.
last database update
09/30/2025
MGI 6.24
The Jackson Laboratory