About   Help   FAQ
Gene Expression Data
Assay Details
Assay
Reference: J:153498 Diez-Roux G, et al., A high-resolution anatomical atlas of the transcriptome in the mouse embryo. PLoS Biol. 2011;9(1):e1000582
Assay type: RNA in situ
MGI Accession ID: MGI:4828433
Gene symbol: Spry4
Gene name: sprouty RTK signaling antagonist 4
Probe: MGC clone 67021
Probe preparation: Antisense labelled with digoxigenin RNA
Visualized with: Alkaline phosphatase
Assay notes: Cryosections of fresh frozen material were fixed in 4% paraformaldehyde for 20 min. before further processing. A tyramide-biotin/streptavidin amplification step was included in the in situ hybridization procedure.
Results
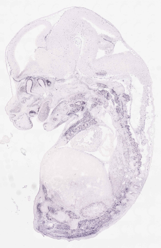
Specimen euxassay_005250_01: embryonic day 14.5 (more )
Structure Level Pattern Image Note
TS23: vertebral axis musculature Strong Regionally restricted euxassay_005250_01
TS23: diaphragm Strong Regionally restricted euxassay_005250_01
TS23: hand Strong Regionally restricted euxassay_005250_01
TS23: lower leg mesenchyme Strong Regionally restricted euxassay_005250_01
TS23: stomach Weak Regionally restricted euxassay_005250_01
TS23: brain Moderate Single cells euxassay_005250_01

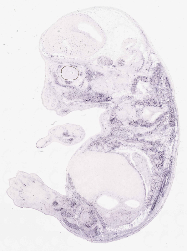
Specimen euxassay_005250_02: embryonic day 14.5 (more )
Structure Level Pattern Image Note
TS23: vertebral axis musculature Strong Regionally restricted euxassay_005250_02
TS23: diaphragm Strong Regionally restricted euxassay_005250_02
TS23: hand Strong Regionally restricted euxassay_005250_02
TS23: lower leg mesenchyme Moderate Regionally restricted euxassay_005250_02
TS23: foot Moderate Regionally restricted euxassay_005250_02
TS23: stomach Weak Regionally restricted euxassay_005250_02
TS23: brain Moderate Single cells euxassay_005250_02

Specimen euxassay_005250_03: embryonic day 14.5 (more )
Structure Level Pattern Image Note
TS23: diaphragm Strong Regionally restricted euxassay_005250_03
TS23: vertebral axis musculature Strong Regionally restricted euxassay_005250_03
TS23: naso-lacrimal duct Moderate Regionally restricted euxassay_005250_03
TS23: vibrissa Moderate Regionally restricted euxassay_005250_03
TS23: hand Strong Regionally restricted euxassay_005250_03
TS23: foot Moderate Regionally restricted euxassay_005250_03
TS23: lower leg mesenchyme Strong Regionally restricted euxassay_005250_03
TS23: stomach Moderate Regionally restricted euxassay_005250_03
TS23: trigeminal ganglion Moderate Spotted euxassay_005250_03
TS23: brain Moderate Single cells euxassay_005250_03

Specimen euxassay_005250_04: embryonic day 14.5 (more )
Structure Level Pattern Image Note
TS23: diaphragm Strong Regionally restricted euxassay_005250_04
TS23: vertebral axis musculature Strong Regionally restricted euxassay_005250_04
TS23: naso-lacrimal duct Moderate Regionally restricted euxassay_005250_04
TS23: vibrissa Moderate Regionally restricted euxassay_005250_04
TS23: hand Moderate Regionally restricted euxassay_005250_04
TS23: foot Moderate Regionally restricted euxassay_005250_04
TS23: stomach Moderate Regionally restricted euxassay_005250_04
TS23: trigeminal ganglion Moderate Spotted euxassay_005250_04
TS23: vestibulo-cochlear ganglion Moderate Spotted euxassay_005250_04
TS23: brain Moderate Single cells euxassay_005250_04

Specimen euxassay_005250_05: embryonic day 14.5 (more )
Structure Level Pattern Image Note
TS23: diaphragm Strong Regionally restricted euxassay_005250_05
TS23: vertebral axis musculature Strong Regionally restricted euxassay_005250_05
TS23: naso-lacrimal duct Strong Regionally restricted euxassay_005250_05
TS23: vibrissa Moderate Regionally restricted euxassay_005250_05
TS23: upper jaw molar Strong Uniform euxassay_005250_05
TS23: foot Strong Regionally restricted euxassay_005250_05
TS23: lung Moderate Regionally restricted euxassay_005250_05
TS23: renal cortex Moderate Regionally restricted euxassay_005250_05
TS23: stomach Moderate Regionally restricted euxassay_005250_05
TS23: trigeminal ganglion Moderate Spotted euxassay_005250_05
TS23: vestibulo-cochlear ganglion Moderate Spotted euxassay_005250_05
TS23: brain Moderate Single cells euxassay_005250_05

Specimen euxassay_005250_06: embryonic day 14.5 (more )
Structure Level Pattern Image Note
TS23: diaphragm Strong Regionally restricted euxassay_005250_06
TS23: vertebral axis musculature Strong Regionally restricted euxassay_005250_06
TS23: naso-lacrimal duct Strong Regionally restricted euxassay_005250_06
TS23: upper jaw molar Strong Uniform euxassay_005250_06
TS23: lower jaw molar Strong Uniform euxassay_005250_06
TS23: metanephros Moderate Regionally restricted euxassay_005250_06
TS23: lung Moderate Regionally restricted euxassay_005250_06
TS23: midgut Moderate Regionally restricted euxassay_005250_06
TS23: trigeminal ganglion Moderate Spotted euxassay_005250_06
TS23: vestibulo-cochlear ganglion Moderate Spotted euxassay_005250_06
TS23: glossopharyngeal ganglion Moderate Spotted euxassay_005250_06
TS23: submandibular gland primordium mesenchyme Strong Regionally restricted euxassay_005250_06
TS23: brain Moderate Single cells euxassay_005250_06

Specimen euxassay_005250_07: embryonic day 14.5 (more )
Structure Level Pattern Image Note
TS23: diaphragm Strong Regionally restricted euxassay_005250_07
TS23: vertebral axis musculature Strong Regionally restricted euxassay_005250_07
TS23: turbinate bone primordium Strong Regionally restricted euxassay_005250_07
TS23: naso-lacrimal duct Strong Regionally restricted euxassay_005250_07
TS23: metanephros Moderate Regionally restricted euxassay_005250_07
TS23: lung Moderate Regionally restricted euxassay_005250_07
TS23: midgut Moderate Regionally restricted euxassay_005250_07
TS23: trigeminal ganglion Moderate Spotted euxassay_005250_07
TS23: vestibulo-cochlear ganglion Moderate Spotted euxassay_005250_07
TS23: glossopharyngeal ganglion Moderate Spotted euxassay_005250_07
TS23: vagus ganglion Moderate Spotted euxassay_005250_07
TS23: submandibular gland primordium mesenchyme Strong Regionally restricted euxassay_005250_07
TS23: dorsal root ganglion Strong Regionally restricted euxassay_005250_07
TS23: brain Moderate Single cells euxassay_005250_07

Specimen euxassay_005250_08: embryonic day 14.5 (more )
Structure Level Pattern Image Note
TS23: diaphragm Strong Regionally restricted euxassay_005250_08
TS23: vertebral axis musculature Strong Regionally restricted euxassay_005250_08
TS23: turbinate bone primordium Strong Regionally restricted euxassay_005250_08
TS23: naso-lacrimal duct Moderate Regionally restricted euxassay_005250_08
TS23: tail mesenchyme Strong Regionally restricted euxassay_005250_08
TS23: lung Moderate Regionally restricted euxassay_005250_08
TS23: midgut Moderate Regionally restricted euxassay_005250_08
TS23: trigeminal ganglion Moderate Spotted euxassay_005250_08
TS23: vestibulo-cochlear ganglion Moderate Spotted euxassay_005250_08
TS23: submandibular gland primordium mesenchyme Strong Regionally restricted euxassay_005250_08
TS23: dorsal root ganglion Strong Regionally restricted euxassay_005250_08
TS23: brain Moderate Single cells euxassay_005250_08

Specimen euxassay_005250_09: embryonic day 14.5 (more )
Structure Level Pattern Image Note
TS23: vertebral axis musculature Strong Regionally restricted euxassay_005250_09
TS23: diaphragm Moderate Regionally restricted euxassay_005250_09
TS23: tongue Moderate Regionally restricted euxassay_005250_09
TS23: turbinate bone primordium Strong Regionally restricted euxassay_005250_09
TS23: upper jaw incisor Strong Uniform euxassay_005250_09
TS23: tail mesenchyme Strong Regionally restricted euxassay_005250_09
TS23: lung Moderate Regionally restricted euxassay_005250_09
TS23: midgut Moderate Regionally restricted euxassay_005250_09
TS23: submandibular gland primordium mesenchyme Strong Regionally restricted euxassay_005250_09
TS23: cervico-thoracic ganglion Strong Regionally restricted euxassay_005250_09
TS23: cervical ganglion Strong Regionally restricted euxassay_005250_09
TS23: brain Moderate Single cells euxassay_005250_09
TS23: spinal cord Moderate Single cells euxassay_005250_09

Specimen euxassay_005250_10: embryonic day 14.5 (more )
Structure Level Pattern Image Note
TS23: vertebral axis musculature Strong Regionally restricted euxassay_005250_10
TS23: diaphragm Moderate Regionally restricted euxassay_005250_10
TS23: tongue Strong Regionally restricted euxassay_005250_10
TS23: turbinate bone primordium Strong Regionally restricted euxassay_005250_10
TS23: naris Strong Regionally restricted euxassay_005250_10
TS23: lower jaw incisor Strong Uniform euxassay_005250_10
TS23: upper jaw incisor Strong Uniform euxassay_005250_10
TS23: tail mesenchyme Strong Regionally restricted euxassay_005250_10
TS23: lung Moderate Regionally restricted euxassay_005250_10
TS23: midgut Moderate Regionally restricted euxassay_005250_10
TS23: cervico-thoracic ganglion Strong Regionally restricted euxassay_005250_10
TS23: thoracic ganglion Strong Regionally restricted euxassay_005250_10
TS23: cervical ganglion Strong Regionally restricted euxassay_005250_10
TS23: brain Moderate Single cells euxassay_005250_10
TS23: spinal cord Moderate Single cells euxassay_005250_10

Specimen euxassay_005250_11: embryonic day 14.5 (more )
Structure Level Pattern Image Note
TS23: diaphragm Moderate Regionally restricted euxassay_005250_11
TS23: vertebral axis musculature Strong Regionally restricted euxassay_005250_11
TS23: tongue Strong Regionally restricted euxassay_005250_11
TS23: turbinate bone primordium Strong Regionally restricted euxassay_005250_11
TS23: naris Strong Regionally restricted euxassay_005250_11
TS23: lower jaw incisor Moderate Regionally restricted euxassay_005250_11
TS23: upper jaw incisor Moderate Regionally restricted euxassay_005250_11
TS23: tail mesenchyme Strong Regionally restricted euxassay_005250_11
TS23: lung Moderate Regionally restricted euxassay_005250_11
TS23: midgut Moderate Regionally restricted euxassay_005250_11
TS23: rectum Moderate Regionally restricted euxassay_005250_11
TS23: thoracic ganglion Strong Regionally restricted euxassay_005250_11
TS23: brain Moderate Single cells euxassay_005250_11
TS23: spinal cord Moderate Single cells euxassay_005250_11

Specimen euxassay_005250_12: embryonic day 14.5 (more )
Structure Level Pattern Image Note
TS23: vertebral axis musculature Strong Regionally restricted euxassay_005250_12
TS23: diaphragm Weak Regionally restricted euxassay_005250_12
TS23: tongue Strong Regionally restricted euxassay_005250_12
TS23: turbinate bone primordium Strong Regionally restricted euxassay_005250_12
TS23: naris Strong Regionally restricted euxassay_005250_12
TS23: tail mesenchyme Strong Regionally restricted euxassay_005250_12
TS23: lung Moderate Regionally restricted euxassay_005250_12
TS23: midgut Moderate Regionally restricted euxassay_005250_12
TS23: cervico-thoracic ganglion Strong Regionally restricted euxassay_005250_12
TS23: thoracic ganglion Strong Regionally restricted euxassay_005250_12
TS23: brain Moderate Single cells euxassay_005250_12
TS23: spinal cord Moderate Single cells euxassay_005250_12

Specimen euxassay_005250_13: embryonic day 14.5 (more )
Structure Level Pattern Image Note
TS23: vertebral axis musculature Strong Regionally restricted euxassay_005250_13
TS23: tongue Strong Regionally restricted euxassay_005250_13
TS23: naris Strong Regionally restricted euxassay_005250_13
TS23: turbinate bone primordium Strong Regionally restricted euxassay_005250_13
TS23: lower jaw incisor Strong Regionally restricted euxassay_005250_13
TS23: upper jaw incisor Strong Regionally restricted euxassay_005250_13
TS23: tail mesenchyme Strong Regionally restricted euxassay_005250_13
TS23: lung Moderate Regionally restricted euxassay_005250_13
TS23: midgut Moderate Regionally restricted euxassay_005250_13
TS23: cervico-thoracic ganglion Strong Regionally restricted euxassay_005250_13
TS23: brain Moderate Single cells euxassay_005250_13
TS23: spinal cord Moderate Single cells euxassay_005250_13

Specimen euxassay_005250_14: embryonic day 14.5 (more )
Structure Level Pattern Image Note
TS23: vertebral axis musculature Strong Regionally restricted euxassay_005250_14
TS23: diaphragm Moderate Regionally restricted euxassay_005250_14
TS23: turbinate bone primordium Strong Regionally restricted euxassay_005250_14
TS23: naris Strong Regionally restricted euxassay_005250_14
TS23: upper jaw incisor Strong Regionally restricted euxassay_005250_14
TS23: lung Moderate Regionally restricted euxassay_005250_14
TS23: metanephros Moderate Regionally restricted euxassay_005250_14
TS23: submandibular gland primordium mesenchyme Strong Regionally restricted euxassay_005250_14
TS23: dorsal root ganglion Strong Regionally restricted euxassay_005250_14
TS23: brain Moderate Single cells euxassay_005250_14
TS23: spinal cord Moderate Single cells euxassay_005250_14

Specimen euxassay_005250_15: embryonic day 14.5 (more )
Structure Level Pattern Image Note
TS23: vertebral axis musculature Strong Regionally restricted euxassay_005250_15
TS23: diaphragm Strong Regionally restricted euxassay_005250_15
TS23: turbinate bone primordium Strong Regionally restricted euxassay_005250_15
TS23: lung Moderate Regionally restricted euxassay_005250_15
TS23: metanephros Moderate Regionally restricted euxassay_005250_15
TS23: trigeminal ganglion Moderate Spotted euxassay_005250_15
TS23: vestibulo-cochlear ganglion Moderate Spotted euxassay_005250_15
TS23: submandibular gland primordium mesenchyme Strong Regionally restricted euxassay_005250_15
TS23: dorsal root ganglion Strong Regionally restricted euxassay_005250_15
TS23: brain Moderate Single cells euxassay_005250_15

Specimen euxassay_005250_16: embryonic day 14.5 (more )
Structure Level Pattern Image Note
TS23: diaphragm Strong Regionally restricted euxassay_005250_16
TS23: vertebral axis musculature Strong Regionally restricted euxassay_005250_16
TS23: turbinate bone primordium Strong Regionally restricted euxassay_005250_16
TS23: naso-lacrimal duct Strong Spotted euxassay_005250_16
TS23: foot Strong Regionally restricted euxassay_005250_16
TS23: lung Moderate Regionally restricted euxassay_005250_16
TS23: trigeminal ganglion Moderate Spotted euxassay_005250_16
TS23: glossopharyngeal ganglion Moderate Spotted euxassay_005250_16
TS23: vestibulo-cochlear ganglion Moderate Spotted euxassay_005250_16
TS23: vagus ganglion Moderate Spotted euxassay_005250_16
TS23: submandibular gland primordium mesenchyme Strong Regionally restricted euxassay_005250_16
TS23: dorsal root ganglion Strong Regionally restricted euxassay_005250_16
TS23: brain Moderate Single cells euxassay_005250_16

Specimen euxassay_005250_17: embryonic day 14.5 (more )
Structure Level Pattern Image Note
TS23: vertebral axis musculature Strong Regionally restricted euxassay_005250_17
TS23: diaphragm Strong Regionally restricted euxassay_005250_17
TS23: turbinate bone primordium Strong Regionally restricted euxassay_005250_17
TS23: naso-lacrimal duct Strong Spotted euxassay_005250_17
TS23: lower jaw molar Strong Regionally restricted euxassay_005250_17
TS23: upper jaw molar Strong Regionally restricted euxassay_005250_17
TS23: foot Strong Regionally restricted euxassay_005250_17
TS23: lung Moderate Regionally restricted euxassay_005250_17
TS23: trigeminal ganglion Moderate Spotted euxassay_005250_17
TS23: vestibulo-cochlear ganglion Moderate Spotted euxassay_005250_17
TS23: glossopharyngeal ganglion Moderate Spotted euxassay_005250_17
TS23: submandibular gland primordium mesenchyme Strong Regionally restricted euxassay_005250_17
TS23: brain Moderate Single cells euxassay_005250_17

Specimen euxassay_005250_18: embryonic day 14.5 (more )
Structure Level Pattern Image Note
TS23: diaphragm Strong Regionally restricted euxassay_005250_18
TS23: vertebral axis musculature Strong Regionally restricted euxassay_005250_18
TS23: upper jaw molar Strong Regionally restricted euxassay_005250_18
TS23: foot Weak Regionally restricted euxassay_005250_18
TS23: lung Moderate Regionally restricted euxassay_005250_18
TS23: trigeminal ganglion Moderate Spotted euxassay_005250_18
TS23: vestibulo-cochlear ganglion Moderate Spotted euxassay_005250_18
TS23: brain Moderate Single cells euxassay_005250_18

Specimen euxassay_005250_19: embryonic day 14.5 (more )
Structure Level Pattern Image Note
TS23: diaphragm Strong Regionally restricted euxassay_005250_19
TS23: vertebral axis musculature Strong Regionally restricted euxassay_005250_19
TS23: vibrissa Moderate Regionally restricted euxassay_005250_19
TS23: lower leg mesenchyme Strong Regionally restricted euxassay_005250_19
TS23: lung Moderate Regionally restricted euxassay_005250_19
TS23: trigeminal ganglion Moderate Spotted euxassay_005250_19
TS23: vestibulo-cochlear ganglion Moderate Spotted euxassay_005250_19
TS23: brain Moderate Single cells euxassay_005250_19

Specimen euxassay_005250_20: embryonic day 14.5 (more )
Structure Level Pattern Image Note
TS23: diaphragm Strong Regionally restricted euxassay_005250_20
TS23: vertebral axis musculature Strong Regionally restricted euxassay_005250_20
TS23: vibrissa Strong Spotted euxassay_005250_20
TS23: lower leg mesenchyme Strong Regionally restricted euxassay_005250_20
TS23: hand Strong Regionally restricted euxassay_005250_20
TS23: lung Moderate Regionally restricted euxassay_005250_20
TS23: trigeminal ganglion Moderate Spotted euxassay_005250_20
TS23: brain Moderate Single cells euxassay_005250_20

Specimen euxassay_005250_21: embryonic day 14.5 (more )
Structure Level Pattern Image Note
TS23: diaphragm Strong Regionally restricted euxassay_005250_21
TS23: vertebral axis musculature Strong Regionally restricted euxassay_005250_21
TS23: hand Strong Regionally restricted euxassay_005250_21
TS23: lower leg mesenchyme Strong Regionally restricted euxassay_005250_21
TS23: upper leg mesenchyme Strong Regionally restricted euxassay_005250_21
TS23: lung Moderate Regionally restricted euxassay_005250_21
TS23: brain Moderate Single cells euxassay_005250_21

Specimen euxassay_005250_22: embryonic day 14.5 (more )
Structure Level Pattern Image Note
TS23: diaphragm Strong Regionally restricted euxassay_005250_22
TS23: vertebral axis musculature Strong Regionally restricted euxassay_005250_22
TS23: hand Strong Regionally restricted euxassay_005250_22
TS23: forearm mesenchyme Strong Regionally restricted euxassay_005250_22
TS23: lower leg mesenchyme Strong Regionally restricted euxassay_005250_22
TS23: brain Moderate Single cells euxassay_005250_22


Contributing Projects:
Mouse Genome Database (MGD), Gene Expression Database (GXD), Mouse Models of Human Cancer database (MMHCdb) (formerly Mouse Tumor Biology (MTB)), Gene Ontology (GO)
Citing These Resources
Funding Information
Warranty Disclaimer, Privacy Notice, Licensing, & Copyright
Send questions and comments to User Support.
last database update
12/30/2025
MGI 6.24
The Jackson Laboratory