About   Help   FAQ
Gene Expression Data
Assay Details
Assay
Reference: J:153498 Diez-Roux G, et al., A high-resolution anatomical atlas of the transcriptome in the mouse embryo. PLoS Biol. 2011;9(1):e1000582
Assay type: RNA in situ
MGI Accession ID: MGI:4828428
Gene symbol: Sprr1a
Gene name: small proline-rich protein 1A
Probe: MGC clone 41213
Probe preparation: Antisense labelled with digoxigenin RNA
Visualized with: Alkaline phosphatase
Assay notes: Cryosections of fresh frozen material were fixed in 4% paraformaldehyde for 20 min. before further processing. A tyramide-biotin/streptavidin amplification step was included in the in situ hybridization procedure.
Results
Specimen euxassay_006906_01: embryonic day 14.5 (more )
Structure Level Pattern Image Note
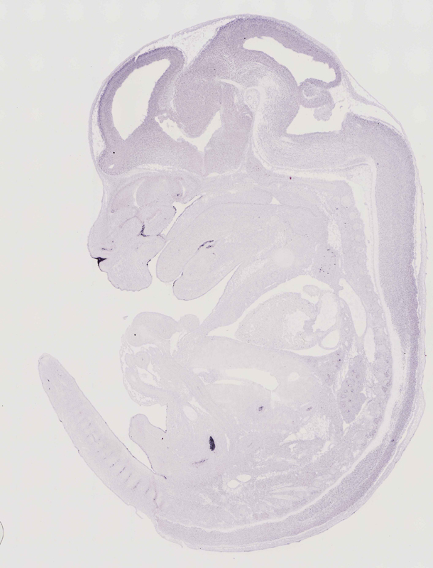
TS23: stomach Strong Spotted euxassay_006906_01

Specimen euxassay_006906_02: embryonic day 14.5 (more )
Structure Level Pattern Image Note
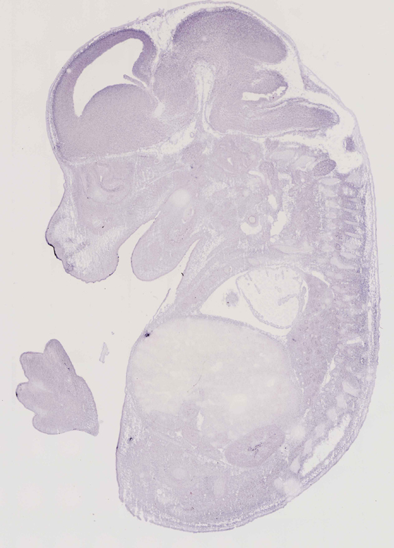
TS23: stomach Strong Spotted euxassay_006906_02
TS23: vibrissa Strong Regionally restricted euxassay_006906_02

Specimen euxassay_006906_03: embryonic day 14.5 (more )
Structure Level Pattern Image Note
TS23: stomach Strong Spotted euxassay_006906_03
TS23: vibrissa Strong Regionally restricted euxassay_006906_03

Specimen euxassay_006906_04: embryonic day 14.5 (more )
Structure Level Pattern Image Note
TS23: stomach Strong Spotted euxassay_006906_04
TS23: vibrissa Strong Regionally restricted euxassay_006906_04

Specimen euxassay_006906_05: embryonic day 14.5 (more )
Structure Level Pattern Image Note
TS23: stomach Strong Spotted euxassay_006906_05

Specimen euxassay_006906_06: embryonic day 14.5 (more )
Structure Level Pattern Image Note
TS23: stomach Strong Spotted euxassay_006906_06

Specimen euxassay_006906_07: embryonic day 14.5 (more )
Structure Level Pattern Image Note
TS23: stomach Strong Spotted euxassay_006906_07

Specimen euxassay_006906_08: embryonic day 14.5 (more )
Structure Level Pattern Image Note
TS23: stomach fundus Strong Spotted euxassay_006906_08
TS23: esophagus epithelium Strong Spotted euxassay_006906_08
TS23: renal pelvis Moderate Spotted euxassay_006906_08

Specimen euxassay_006906_09: embryonic day 14.5 (more )
Structure Level Pattern Image Note
TS23: stomach Moderate Spotted euxassay_006906_09
TS23: esophagus epithelium Moderate Spotted euxassay_006906_09
TS23: ureter Strong Regionally restricted euxassay_006906_09

Specimen euxassay_006906_10: embryonic day 14.5 (more )
Structure Level Pattern Image Note
TS23: esophagus epithelium Moderate Spotted euxassay_006906_10

Specimen euxassay_006906_11: embryonic day 14.5 (more )
Structure Level Pattern Image Note
TS23: esophagus epithelium Moderate Spotted euxassay_006906_11
TS23: bladder Strong Regionally restricted euxassay_006906_11
TS23: external naris Strong Regionally restricted euxassay_006906_11
TS23: anterior naris Strong Regionally restricted euxassay_006906_11
TS23: thymus primordium Strong Spotted euxassay_006906_11
TS23: frenulum Strong Regionally restricted euxassay_006906_11

Specimen euxassay_006906_12: embryonic day 14.5 (more )
Structure Level Pattern Image Note
TS23: esophagus epithelium Moderate Spotted euxassay_006906_12
TS23: bladder Strong Regionally restricted euxassay_006906_12
TS23: anterior naris Strong Regionally restricted euxassay_006906_12
TS23: thymus primordium Strong Spotted euxassay_006906_12
TS23: frenulum Strong Regionally restricted euxassay_006906_12

Specimen euxassay_006906_13: embryonic day 14.5 (more )
Structure Level Pattern Image Note
TS23: esophagus epithelium Moderate Spotted euxassay_006906_13
TS23: bladder Strong Regionally restricted euxassay_006906_13
TS23: anterior naris Strong Regionally restricted euxassay_006906_13

Specimen euxassay_006906_14: embryonic day 14.5 (more )
Structure Level Pattern Image Note
TS23: thymus primordium Strong Spotted euxassay_006906_14
TS23: frenulum Strong Regionally restricted euxassay_006906_14

Specimen euxassay_006906_15: embryonic day 14.5 (more )
Structure Level Pattern Image Note
TS23: anterior naris Strong Regionally restricted euxassay_006906_15
TS23: ureter Moderate Spotted euxassay_006906_15
TS23: thymus primordium Strong Spotted euxassay_006906_15
TS23: frenulum Strong Regionally restricted euxassay_006906_15

Specimen euxassay_006906_16: embryonic day 14.5 (more )
Structure Level Pattern Image Note
TS23: anterior naris Strong Regionally restricted euxassay_006906_16

Specimen euxassay_006906_17: embryonic day 14.5 (more )
Structure Level Pattern Image Note
TS23: external naris Strong Regionally restricted euxassay_006906_17
TS23: ureter Strong Spotted euxassay_006906_17

Specimen euxassay_006906_18: embryonic day 14.5 (more )
Structure Level Pattern Image Note
TS23: renal pelvis Strong Spotted euxassay_006906_18


Contributing Projects:
Mouse Genome Database (MGD), Gene Expression Database (GXD), Mouse Models of Human Cancer database (MMHCdb) (formerly Mouse Tumor Biology (MTB)), Gene Ontology (GO)
Citing These Resources
Funding Information
Warranty Disclaimer, Privacy Notice, Licensing, & Copyright
Send questions and comments to User Support.
last database update
01/06/2026
MGI 6.24
The Jackson Laboratory