About   Help   FAQ
Gene Expression Data
Assay Details
Assay
Reference: J:153498 Diez-Roux G, et al., A high-resolution anatomical atlas of the transcriptome in the mouse embryo. PLoS Biol. 2011;9(1):e1000582
Assay type: RNA in situ
MGI Accession ID: MGI:4828408
Gene symbol: Spart
Gene name: spartin
Probe: IMAGE clone 3025916
Probe preparation: Antisense labelled with digoxigenin RNA
Visualized with: Alkaline phosphatase
Assay notes: Cryosections of fresh frozen material were fixed in 4% paraformaldehyde for 20 min. before further processing. A tyramide-biotin/streptavidin amplification step was included in the in situ hybridization procedure.
Results
Specimen euxassay_002395_03: embryonic day 14.5 (more )
Structure Level Pattern Image Note
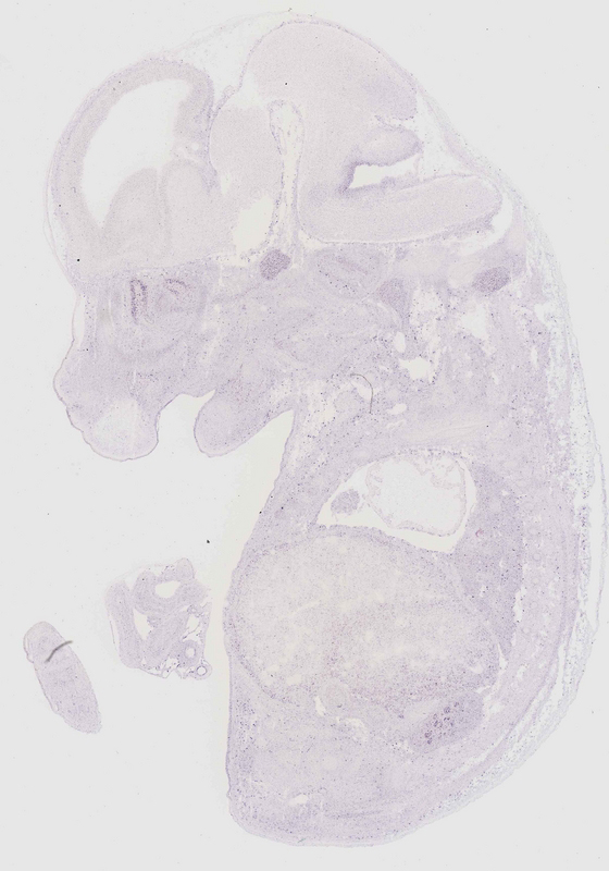
TS23: trigeminal ganglion Moderate Regionally restricted euxassay_002395_03

Specimen euxassay_002395_04: embryonic day 14.5 (more )
Structure Level Pattern Image Note
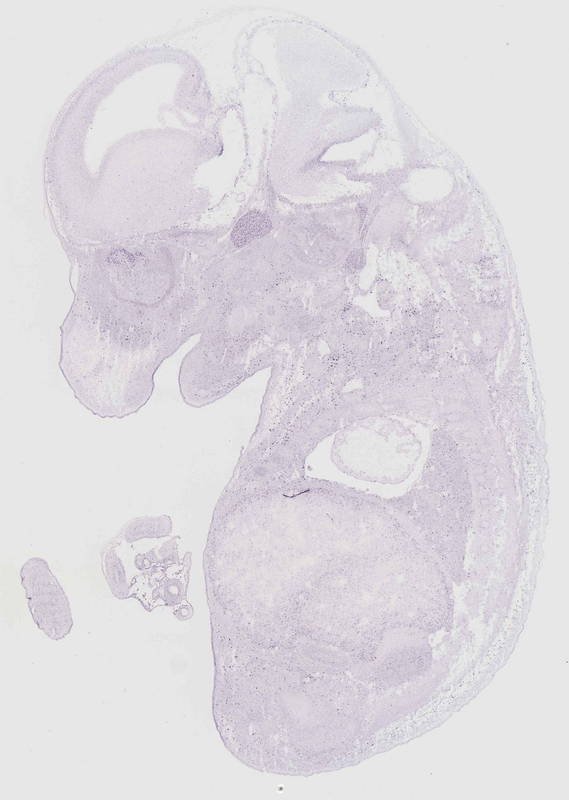
TS23: trigeminal ganglion Moderate Regionally restricted euxassay_002395_04

Specimen euxassay_002395_05: embryonic day 14.5 (more )
Structure Level Pattern Image Note
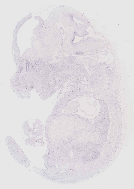
TS23: trigeminal ganglion Moderate Regionally restricted euxassay_002395_05

Specimen euxassay_002395_06: embryonic day 14.5 (more )
Structure Level Pattern Image Note
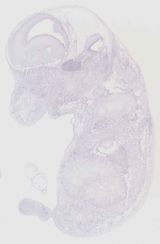
TS23: trigeminal ganglion Moderate Regionally restricted euxassay_002395_06
TS23: dorsal root ganglion Moderate Regionally restricted euxassay_002395_06

Specimen euxassay_002395_07: embryonic day 14.5 (more )
Structure Level Pattern Image Note
TS23: trigeminal ganglion Moderate Regionally restricted euxassay_002395_07
TS23: dorsal root ganglion Moderate Regionally restricted euxassay_002395_07

Specimen euxassay_002395_08: embryonic day 14.5 (more )
Structure Level Pattern Image Note
TS23: trigeminal ganglion Moderate Regionally restricted euxassay_002395_08
TS23: dorsal root ganglion Moderate Regionally restricted euxassay_002395_08

Specimen euxassay_002395_10: embryonic day 14.5 (more )
Structure Level Pattern Image Note
TS23: olfactory epithelium Weak Regionally restricted euxassay_002395_10

Specimen euxassay_002395_11: embryonic day 14.5 (more )
Structure Level Pattern Image Note
TS23: olfactory epithelium Moderate Regionally restricted euxassay_002395_11

Specimen euxassay_002395_12: embryonic day 14.5 (more )
Structure Level Pattern Image Note
TS23: olfactory epithelium Moderate Regionally restricted euxassay_002395_12

Specimen euxassay_002395_13: embryonic day 14.5 (more )
Structure Level Pattern Image Note
TS23: dorsal root ganglion Moderate Regionally restricted euxassay_002395_13

Specimen euxassay_002395_14: embryonic day 14.5 (more )
Structure Level Pattern Image Note
TS23: dorsal root ganglion Moderate Regionally restricted euxassay_002395_14
TS23: olfactory epithelium Moderate Regionally restricted euxassay_002395_14

Specimen euxassay_002395_15: embryonic day 14.5 (more )
Structure Level Pattern Image Note
TS23: dorsal root ganglion Moderate Regionally restricted euxassay_002395_15
TS23: olfactory epithelium Moderate Regionally restricted euxassay_002395_15

Specimen euxassay_002395_16: embryonic day 14.5 (more )
Structure Level Pattern Image Note
TS23: olfactory epithelium Moderate Regionally restricted euxassay_002395_16

Specimen euxassay_002395_17: embryonic day 14.5 (more )
Structure Level Pattern Image Note
TS23: trigeminal ganglion Weak Regionally restricted euxassay_002395_17

Specimen euxassay_002395_18: embryonic day 14.5 (more )
Structure Level Pattern Image Note
TS23: trigeminal ganglion Weak Regionally restricted euxassay_002395_18

Specimen euxassay_002395_19: embryonic day 14.5 (more )
Structure Level Pattern Image Note
TS23: trigeminal ganglion Moderate Regionally restricted euxassay_002395_19

Specimen euxassay_002395_20: embryonic day 14.5 (more )
Structure Level Pattern Image Note
TS23: trigeminal ganglion Moderate Regionally restricted euxassay_002395_20

Specimen euxassay_002395_21: embryonic day 14.5 (more )
Structure Level Pattern Image Note
TS23: trigeminal ganglion Weak Regionally restricted euxassay_002395_21

Specimen euxassay_002395_22: embryonic day 14.5 (more )
Structure Level Pattern Image Note
TS23: trigeminal ganglion Weak Regionally restricted euxassay_002395_22


Contributing Projects:
Mouse Genome Database (MGD), Gene Expression Database (GXD), Mouse Models of Human Cancer database (MMHCdb) (formerly Mouse Tumor Biology (MTB)), Gene Ontology (GO)
Citing These Resources
Funding Information
Warranty Disclaimer, Privacy Notice, Licensing, & Copyright
Send questions and comments to User Support.
last database update
12/30/2025
MGI 6.24
The Jackson Laboratory