| Assay |
|
||||||||||||||||||||||||||||||||||||||||||||||||||||||||||||||||||||||||||||||||||||||||||||||||||||||||||||||||||||||||||||||||||||||||||||||||||||||||||||||||||||||||||||||||||||||||||||||||||||||||||||||||||||||||||||
| Results |
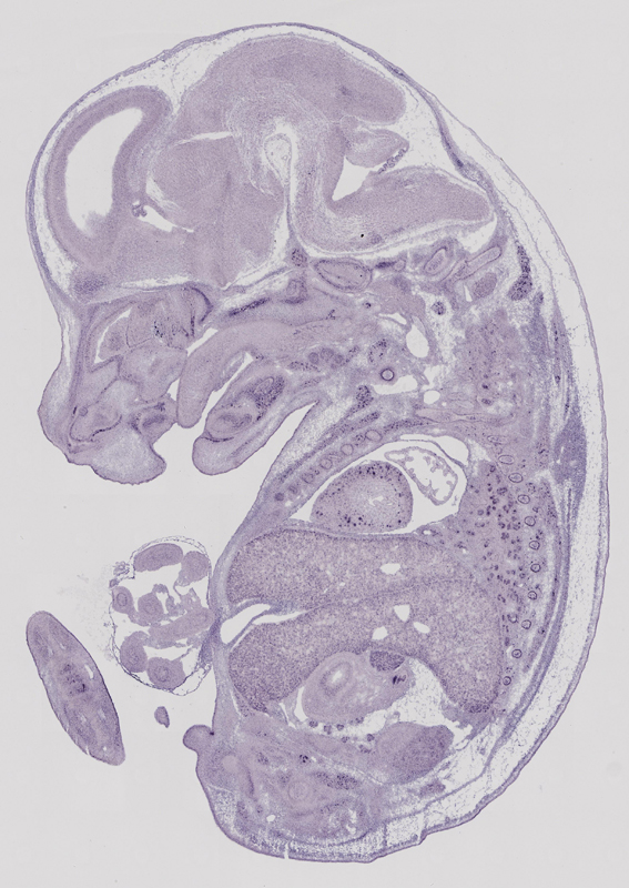
Specimen
euxassay_008166_02:
embryonic day 14.5
(more
)
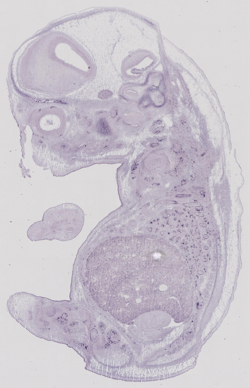
Specimen
euxassay_008166_03:
embryonic day 14.5
(more
)
Specimen
euxassay_008166_04:
embryonic day 14.5
(more
)
Specimen
euxassay_008166_05:
embryonic day 14.5
(more
)
Specimen
euxassay_008166_06:
embryonic day 14.5
(more
)
Specimen
euxassay_008166_07:
embryonic day 14.5
(more
)
Specimen
euxassay_008166_08:
embryonic day 14.5
(more
)
Specimen
euxassay_008166_09:
embryonic day 14.5
(more
)
Specimen
euxassay_008166_10:
embryonic day 14.5
(more
)
Specimen
euxassay_008166_11:
embryonic day 14.5
(more
)
Specimen
euxassay_008166_18:
embryonic day 14.5
(more
)
Specimen
euxassay_008166_19:
embryonic day 14.5
(more
)
Specimen
euxassay_008166_20:
embryonic day 14.5
(more
)
Specimen
euxassay_008166_21:
embryonic day 14.5
(more
)
Specimen
euxassay_008166_22:
embryonic day 14.5
(more
)
Specimen
euxassay_008166_23:
embryonic day 14.5
(more
)
Specimen
euxassay_008166_24:
embryonic day 14.5
(more
)
|
Mouse Genome Database (MGD), Gene Expression Database (GXD), Mouse Models of Human Cancer database (MMHCdb) (formerly Mouse Tumor Biology (MTB)), Gene Ontology (GO) |
||
|
Citing These Resources Funding Information Warranty Disclaimer, Privacy Notice, Licensing, & Copyright Send questions and comments to User Support. |
last database update 12/30/2025 MGI 6.24 |
|
|
|
||