About   Help   FAQ
Gene Expression Data
Assay Details
Assay
Reference: J:153498 Diez-Roux G, et al., A high-resolution anatomical atlas of the transcriptome in the mouse embryo. PLoS Biol. 2011;9(1):e1000582
Assay type: RNA in situ
MGI Accession ID: MGI:4828394
Gene symbol: Sox9
Gene name: SRY (sex determining region Y)-box 9
Probe: MGC clone 38472
Probe preparation: Antisense labelled with digoxigenin RNA
Visualized with: Alkaline phosphatase
Assay notes: Cryosections of fresh frozen material were fixed in 4% paraformaldehyde for 20 min. before further processing. A tyramide-biotin/streptavidin amplification step was included in the in situ hybridization procedure.
Results
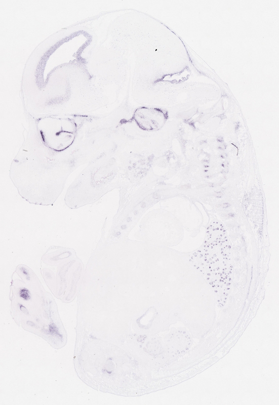
Specimen euxassay_002633_01: embryonic day 14.5 (more )
Structure Level Pattern Image Note
TS23: telencephalon ventricular layer Strong Uniform euxassay_002633_01
TS23: exoccipital bone Strong Regionally restricted euxassay_002633_01
TS23: orbito-sphenoid Strong Regionally restricted euxassay_002633_01
TS23: basisphenoid bone Strong Regionally restricted euxassay_002633_01
TS23: pharyngo-tympanic tube Strong Regionally restricted euxassay_002633_01
TS23: lung Moderate Spotted euxassay_002633_01

Specimen euxassay_002633_02: embryonic day 14.5 (more )
Structure Level Pattern Image Note
TS23: telencephalon ventricular layer Strong Uniform euxassay_002633_02
TS23: exoccipital bone Moderate Regionally restricted euxassay_002633_02
TS23: basisphenoid bone Moderate Regionally restricted euxassay_002633_02
TS23: orbito-sphenoid Weak Regionally restricted euxassay_002633_02
TS23: pharyngo-tympanic tube Strong Regionally restricted euxassay_002633_02
TS23: vibrissa Moderate Regionally restricted euxassay_002633_02
TS23: lung Moderate Spotted euxassay_002633_02

Specimen euxassay_002633_03: embryonic day 14.5 (more )
Structure Level Pattern Image Note
TS23: telencephalon ventricular layer Strong Uniform euxassay_002633_03
TS23: rest of cerebellum ventricular layer Weak Regionally restricted euxassay_002633_03
TS23: orbito-sphenoid Moderate Regionally restricted euxassay_002633_03
TS23: exoccipital bone Moderate Regionally restricted euxassay_002633_03
TS23: basisphenoid bone Moderate Regionally restricted euxassay_002633_03
TS23: vibrissa Moderate Regionally restricted euxassay_002633_03
TS23: lung Moderate Spotted euxassay_002633_03

Specimen euxassay_002633_04: embryonic day 14.5 (more )
Structure Level Pattern Image Note
TS23: telencephalon ventricular layer Strong Uniform euxassay_002633_04
TS23: rest of cerebellum ventricular layer Moderate Regionally restricted euxassay_002633_04
TS23: orbito-sphenoid Moderate Regionally restricted euxassay_002633_04
TS23: exoccipital bone Moderate Regionally restricted euxassay_002633_04
TS23: basisphenoid bone Moderate Regionally restricted euxassay_002633_04
TS23: vibrissa Weak Regionally restricted euxassay_002633_04
TS23: lung Moderate Spotted euxassay_002633_04
TS23: hindlimb digit 1 mesenchyme Strong Regionally restricted euxassay_002633_04
TS23: hindlimb digit 2 mesenchyme Strong Regionally restricted euxassay_002633_04
TS23: hindlimb digit 3 mesenchyme Strong Regionally restricted euxassay_002633_04

Specimen euxassay_002633_05: embryonic day 14.5 (more )
Structure Level Pattern Image Note
TS23: telencephalon ventricular layer Strong Uniform euxassay_002633_05
TS23: rest of cerebellum ventricular layer Moderate Regionally restricted euxassay_002633_05
TS23: orbito-sphenoid Weak Regionally restricted euxassay_002633_05
TS23: basisphenoid bone Moderate Regionally restricted euxassay_002633_05
TS23: exoccipital bone Moderate Regionally restricted euxassay_002633_05
TS23: lung Moderate Spotted euxassay_002633_05

Specimen euxassay_002633_06: embryonic day 14.5 (more )
Structure Level Pattern Image Note
TS23: telencephalon ventricular layer Strong Uniform euxassay_002633_06
TS23: rest of cerebellum ventricular layer Moderate Regionally restricted euxassay_002633_06
TS23: orbito-sphenoid Moderate Regionally restricted euxassay_002633_06
TS23: turbinate bone primordium Moderate Regionally restricted euxassay_002633_06
TS23: basisphenoid bone Moderate Regionally restricted euxassay_002633_06
TS23: exoccipital bone Moderate Regionally restricted euxassay_002633_06
TS23: lung Moderate Spotted euxassay_002633_06
TS23: hindlimb digit 2 mesenchyme Strong Regionally restricted euxassay_002633_06
TS23: hindlimb digit 3 mesenchyme Strong Regionally restricted euxassay_002633_06
TS23: hindlimb digit 4 mesenchyme Strong Regionally restricted euxassay_002633_06

Specimen euxassay_002633_07: embryonic day 14.5 (more )
Structure Level Pattern Image Note
TS23: telencephalon ventricular layer Strong Uniform euxassay_002633_07
TS23: rest of cerebellum ventricular layer Moderate Regionally restricted euxassay_002633_07
TS23: basisphenoid bone Moderate Regionally restricted euxassay_002633_07
TS23: orbito-sphenoid Moderate Regionally restricted euxassay_002633_07
TS23: turbinate bone primordium Moderate Regionally restricted euxassay_002633_07
TS23: exoccipital bone Moderate Regionally restricted euxassay_002633_07
TS23: lung Moderate Spotted euxassay_002633_07
TS23: hindlimb digit 2 mesenchyme Strong Regionally restricted euxassay_002633_07
TS23: hindlimb digit 3 mesenchyme Strong Regionally restricted euxassay_002633_07
TS23: hindlimb digit 4 mesenchyme Strong Regionally restricted euxassay_002633_07
TS23: femur Weak Regionally restricted euxassay_002633_07
TS23: renal calyx Weak Regionally restricted euxassay_002633_07

Specimen euxassay_002633_08: embryonic day 14.5 (more )
Structure Level Pattern Image Note
TS23: telencephalon ventricular layer Strong Uniform euxassay_002633_08
TS23: olfactory cortex ventricular layer Strong Uniform euxassay_002633_08
TS23: pons ventricular layer Moderate Regionally restricted euxassay_002633_08
TS23: rest of cerebellum ventricular layer Moderate Regionally restricted euxassay_002633_08
TS23: midbrain ventricular layer Moderate Regionally restricted euxassay_002633_08
TS23: turbinate bone primordium Strong Regionally restricted euxassay_002633_08
TS23: basisphenoid bone Moderate Regionally restricted euxassay_002633_08
TS23: orbito-sphenoid Moderate Regionally restricted euxassay_002633_08
TS23: pectoral girdle and thoracic body wall musculature Weak Regionally restricted euxassay_002633_08
TS23: lung Moderate Spotted euxassay_002633_08
TS23: hindlimb digit 2 mesenchyme Strong Regionally restricted euxassay_002633_08
TS23: hindlimb digit 3 mesenchyme Strong Regionally restricted euxassay_002633_08
TS23: hindlimb digit 4 mesenchyme Strong Regionally restricted euxassay_002633_08
TS23: pancreas Weak Regionally restricted euxassay_002633_08
TS23: femur Moderate Regionally restricted euxassay_002633_08
TS23: renal calyx Weak Regionally restricted euxassay_002633_08

Specimen euxassay_002633_09: embryonic day 14.5 (more )
Structure Level Pattern Image Note
TS23: pons ventricular layer Strong Regionally restricted euxassay_002633_09
TS23: rest of cerebellum ventricular layer Strong Regionally restricted euxassay_002633_09
TS23: midbrain ventricular layer Strong Regionally restricted euxassay_002633_09
TS23: pectoral girdle and thoracic body wall musculature Strong Regionally restricted euxassay_002633_09
TS23: lung Moderate Spotted euxassay_002633_09
TS23: hindlimb digit 2 mesenchyme Weak Regionally restricted euxassay_002633_09
TS23: hindlimb digit 3 mesenchyme Weak Regionally restricted euxassay_002633_09
TS23: hindlimb digit 4 mesenchyme Weak Regionally restricted euxassay_002633_09
TS23: pancreas Moderate Regionally restricted euxassay_002633_09
TS23: femur Moderate Regionally restricted euxassay_002633_09
TS23: renal calyx Weak Regionally restricted euxassay_002633_09

Specimen euxassay_002633_10: embryonic day 14.5 (more )
Structure Level Pattern Image Note
TS23: olfactory cortex ventricular layer Strong Uniform euxassay_002633_10
TS23: telencephalon ventricular layer Strong Uniform euxassay_002633_10
TS23: medulla oblongata alar plate ventricular layer Weak Regionally restricted euxassay_002633_10
TS23: medulla oblongata basal plate ventricular layer Weak Regionally restricted euxassay_002633_10
TS23: pons ventricular layer Weak Regionally restricted euxassay_002633_10
TS23: midbrain ventricular layer Strong Regionally restricted euxassay_002633_10
TS23: pectoral girdle and thoracic body wall musculature Strong Regionally restricted euxassay_002633_10
TS23: nucleus pulposus Moderate Regionally restricted euxassay_002633_10
TS23: lung Moderate Spotted euxassay_002633_10
TS23: hindlimb digit 2 mesenchyme Strong Regionally restricted euxassay_002633_10
TS23: hindlimb digit 3 mesenchyme Strong Regionally restricted euxassay_002633_10
TS23: hindlimb digit 4 mesenchyme Strong Regionally restricted euxassay_002633_10
TS23: pancreas Weak Regionally restricted euxassay_002633_10
TS23: femur Moderate Regionally restricted euxassay_002633_10
TS23: nasal septum Strong Regionally restricted euxassay_002633_10
TS23: renal calyx Weak Regionally restricted euxassay_002633_10

Specimen euxassay_002633_11: embryonic day 14.5 (more )
Structure Level Pattern Image Note
TS23: telencephalon ventricular layer Strong Uniform euxassay_002633_11
TS23: medulla oblongata alar plate ventricular layer Moderate Regionally restricted euxassay_002633_11
TS23: medulla oblongata basal plate ventricular layer Moderate Regionally restricted euxassay_002633_11
TS23: pons ventricular layer Moderate Regionally restricted euxassay_002633_11
TS23: midbrain ventricular layer Strong Regionally restricted euxassay_002633_11
TS23: hypothalamus ventricular layer Strong Regionally restricted euxassay_002633_11
TS23: diencephalon lateral wall ventricular layer Strong Regionally restricted euxassay_002633_11
TS23: orbito-sphenoid Moderate Regionally restricted euxassay_002633_11
TS23: pectoral girdle and thoracic body wall musculature Strong Regionally restricted euxassay_002633_11
TS23: nucleus pulposus Moderate Regionally restricted euxassay_002633_11
TS23: lung Moderate Spotted euxassay_002633_11
TS23: pancreas Weak Regionally restricted euxassay_002633_11
TS23: nasal septum Strong Regionally restricted euxassay_002633_11

Specimen euxassay_002633_12: embryonic day 14.5 (more )
Structure Level Pattern Image Note
TS23: telencephalon ventricular layer Strong Uniform euxassay_002633_12
TS23: medulla oblongata alar plate ventricular layer Moderate Regionally restricted euxassay_002633_12
TS23: medulla oblongata basal plate ventricular layer Moderate Regionally restricted euxassay_002633_12
TS23: pons ventricular layer Moderate Regionally restricted euxassay_002633_12
TS23: diencephalon lateral wall ventricular layer Strong Regionally restricted euxassay_002633_12
TS23: hypothalamus ventricular layer Strong Regionally restricted euxassay_002633_12
TS23: midbrain ventricular layer Strong Regionally restricted euxassay_002633_12
TS23: orbito-sphenoid Moderate Regionally restricted euxassay_002633_12
TS23: pectoral girdle and thoracic body wall musculature Strong Regionally restricted euxassay_002633_12
TS23: nucleus pulposus Moderate Regionally restricted euxassay_002633_12
TS23: lung Moderate Spotted euxassay_002633_12
TS23: trachea Strong Regionally restricted euxassay_002633_12
TS23: nasal septum Strong Regionally restricted euxassay_002633_12

Specimen euxassay_002633_13: embryonic day 14.5 (more )
Structure Level Pattern Image Note
TS23: telencephalon ventricular layer Strong Uniform euxassay_002633_13
TS23: pons ventricular layer Moderate Regionally restricted euxassay_002633_13
TS23: medulla oblongata basal plate ventricular layer Moderate Regionally restricted euxassay_002633_13
TS23: medulla oblongata alar plate ventricular layer Moderate Regionally restricted euxassay_002633_13
TS23: midbrain ventricular layer Strong Regionally restricted euxassay_002633_13
TS23: diencephalon lateral wall ventricular layer Strong Regionally restricted euxassay_002633_13
TS23: hypothalamus ventricular layer Strong Regionally restricted euxassay_002633_13
TS23: pectoral girdle and thoracic body wall musculature Moderate Regionally restricted euxassay_002633_13
TS23: nucleus pulposus Moderate Regionally restricted euxassay_002633_13
TS23: lung Moderate Spotted euxassay_002633_13
TS23: pancreas Weak Regionally restricted euxassay_002633_13
TS23: trachea Strong Regionally restricted euxassay_002633_13
TS23: naris Strong Regionally restricted euxassay_002633_13
TS23: nasal septum Strong Regionally restricted euxassay_002633_13
TS23: spinal cord ventricular layer Moderate Regionally restricted euxassay_002633_13

Specimen euxassay_002633_14: embryonic day 14.5 (more )
Structure Level Pattern Image Note
TS23: olfactory cortex ventricular layer Strong Uniform euxassay_002633_14
TS23: telencephalon ventricular layer Strong Uniform euxassay_002633_14
TS23: medulla oblongata basal plate ventricular layer Moderate Regionally restricted euxassay_002633_14
TS23: medulla oblongata alar plate ventricular layer Moderate Regionally restricted euxassay_002633_14
TS23: pons ventricular layer Moderate Regionally restricted euxassay_002633_14
TS23: midbrain ventricular layer Strong Regionally restricted euxassay_002633_14
TS23: orbito-sphenoid Strong Regionally restricted euxassay_002633_14
TS23: pectoral girdle and thoracic body wall musculature Weak Regionally restricted euxassay_002633_14
TS23: nucleus pulposus Moderate Regionally restricted euxassay_002633_14
TS23: axial skeleton tail region Moderate Regionally restricted euxassay_002633_14
TS23: lung Moderate Spotted euxassay_002633_14
TS23: pancreas Weak Regionally restricted euxassay_002633_14
TS23: trachea Strong Regionally restricted euxassay_002633_14
TS23: naris Strong Regionally restricted euxassay_002633_14
TS23: nasal septum Strong Regionally restricted euxassay_002633_14
TS23: spinal cord ventricular layer Moderate Regionally restricted euxassay_002633_14

Specimen euxassay_002633_15: embryonic day 14.5 (more )
Structure Level Pattern Image Note
TS23: olfactory cortex ventricular layer Strong Uniform euxassay_002633_15
TS23: telencephalon ventricular layer Strong Uniform euxassay_002633_15
TS23: pons ventricular layer Moderate Regionally restricted euxassay_002633_15
TS23: medulla oblongata alar plate ventricular layer Moderate Regionally restricted euxassay_002633_15
TS23: medulla oblongata basal plate ventricular layer Moderate Regionally restricted euxassay_002633_15
TS23: midbrain ventricular layer Strong Regionally restricted euxassay_002633_15
TS23: turbinate bone primordium Strong Regionally restricted euxassay_002633_15
TS23: pectoral girdle and thoracic body wall musculature Weak Regionally restricted euxassay_002633_15
TS23: axial skeleton tail region Moderate Regionally restricted euxassay_002633_15
TS23: nucleus pulposus Moderate Regionally restricted euxassay_002633_15
TS23: lung Moderate Spotted euxassay_002633_15
TS23: pancreas Weak Regionally restricted euxassay_002633_15

Specimen euxassay_002633_16: embryonic day 14.5 (more )
Structure Level Pattern Image Note
TS23: telencephalon ventricular layer Strong Uniform euxassay_002633_16
TS23: pons ventricular layer Moderate Regionally restricted euxassay_002633_16
TS23: rest of cerebellum ventricular layer Moderate Regionally restricted euxassay_002633_16
TS23: midbrain ventricular layer Strong Regionally restricted euxassay_002633_16
TS23: turbinate bone primordium Strong Regionally restricted euxassay_002633_16
TS23: orbito-sphenoid Moderate Regionally restricted euxassay_002633_16
TS23: basisphenoid bone Moderate Regionally restricted euxassay_002633_16
TS23: exoccipital bone Moderate Regionally restricted euxassay_002633_16
TS23: pectoral girdle and thoracic body wall musculature Weak Regionally restricted euxassay_002633_16
TS23: axial skeleton tail region Moderate Regionally restricted euxassay_002633_16
TS23: lung Weak Spotted euxassay_002633_16

Specimen euxassay_002633_17: embryonic day 14.5 (more )
Structure Level Pattern Image Note
TS23: pons ventricular layer Moderate Regionally restricted euxassay_002633_17
TS23: rest of cerebellum ventricular layer Moderate Regionally restricted euxassay_002633_17
TS23: midbrain ventricular layer Moderate Regionally restricted euxassay_002633_17
TS23: orbito-sphenoid Moderate Regionally restricted euxassay_002633_17
TS23: basisphenoid bone Moderate Regionally restricted euxassay_002633_17
TS23: turbinate bone primordium Strong Regionally restricted euxassay_002633_17
TS23: pectoral girdle and thoracic body wall musculature Moderate Regionally restricted euxassay_002633_17
TS23: axial skeleton tail region Moderate Regionally restricted euxassay_002633_17
TS23: lung Moderate Spotted euxassay_002633_17
TS23: renal calyx Weak Regionally restricted euxassay_002633_17

Specimen euxassay_002633_18: embryonic day 14.5 (more )
Structure Level Pattern Image Note
TS23: telencephalon ventricular layer Moderate Uniform euxassay_002633_18
TS23: rest of cerebellum ventricular layer Moderate Regionally restricted euxassay_002633_18
TS23: orbito-sphenoid Moderate Regionally restricted euxassay_002633_18
TS23: basisphenoid bone Moderate Regionally restricted euxassay_002633_18
TS23: exoccipital bone Moderate Regionally restricted euxassay_002633_18
TS23: turbinate bone primordium Strong Regionally restricted euxassay_002633_18
TS23: vibrissa Weak Regionally restricted euxassay_002633_18
TS23: lung Moderate Spotted euxassay_002633_18
TS23: renal calyx Weak Regionally restricted euxassay_002633_18

Specimen euxassay_002633_19: embryonic day 14.5 (more )
Structure Level Pattern Image Note
TS23: telencephalon ventricular layer Moderate Uniform euxassay_002633_19
TS23: rest of cerebellum ventricular layer Moderate Regionally restricted euxassay_002633_19
TS23: orbito-sphenoid Moderate Regionally restricted euxassay_002633_19
TS23: basisphenoid bone Moderate Regionally restricted euxassay_002633_19
TS23: exoccipital bone Moderate Regionally restricted euxassay_002633_19
TS23: axial skeleton tail region Moderate Regionally restricted euxassay_002633_19
TS23: vibrissa Weak Regionally restricted euxassay_002633_19
TS23: lung Moderate Spotted euxassay_002633_19
TS23: femur Weak Regionally restricted euxassay_002633_19
TS23: renal calyx Weak Regionally restricted euxassay_002633_19

Specimen euxassay_002633_20: embryonic day 14.5 (more )
Structure Level Pattern Image Note
TS23: telencephalon ventricular layer Strong Uniform euxassay_002633_20
TS23: rest of cerebellum ventricular layer Moderate Regionally restricted euxassay_002633_20
TS23: basisphenoid bone Moderate Regionally restricted euxassay_002633_20
TS23: exoccipital bone Moderate Regionally restricted euxassay_002633_20
TS23: orbito-sphenoid Moderate Regionally restricted euxassay_002633_20
TS23: axial skeleton tail region Moderate Regionally restricted euxassay_002633_20
TS23: vibrissa Weak Regionally restricted euxassay_002633_20
TS23: lung Moderate Spotted euxassay_002633_20
TS23: femur Weak Regionally restricted euxassay_002633_20
TS23: renal calyx Weak Regionally restricted euxassay_002633_20

Specimen euxassay_002633_21: embryonic day 14.5 (more )
Structure Level Pattern Image Note
TS23: telencephalon ventricular layer Strong Uniform euxassay_002633_21
TS23: basisphenoid bone Moderate Regionally restricted euxassay_002633_21
TS23: exoccipital bone Moderate Regionally restricted euxassay_002633_21
TS23: lung Moderate Spotted euxassay_002633_21
TS23: femur Moderate Regionally restricted euxassay_002633_21
TS23: renal calyx Moderate Regionally restricted euxassay_002633_21

Specimen euxassay_002633_22: embryonic day 14.5 (more )
Structure Level Pattern Image Note
TS23: telencephalon ventricular layer Strong Uniform euxassay_002633_22
TS23: exoccipital bone Moderate Regionally restricted euxassay_002633_22
TS23: basisphenoid bone Moderate Regionally restricted euxassay_002633_22
TS23: orbito-sphenoid Moderate Regionally restricted euxassay_002633_22
TS23: lung Weak Spotted euxassay_002633_22
TS23: hindlimb digit 5 mesenchyme Strong Regionally restricted euxassay_002633_22
TS23: hindlimb digit 4 mesenchyme Strong Regionally restricted euxassay_002633_22
TS23: hindlimb digit 3 mesenchyme Strong Regionally restricted euxassay_002633_22
TS23: hindlimb digit 2 mesenchyme Strong Regionally restricted euxassay_002633_22
TS23: hindlimb digit 1 mesenchyme Strong Regionally restricted euxassay_002633_22
TS23: femur Moderate Regionally restricted euxassay_002633_22

Specimen euxassay_002633_23: embryonic day 14.5 (more )
Structure Level Pattern Image Note
TS23: telencephalon ventricular layer Strong Uniform euxassay_002633_23
TS23: exoccipital bone Moderate Regionally restricted euxassay_002633_23
TS23: orbito-sphenoid Moderate Regionally restricted euxassay_002633_23
TS23: basisphenoid bone Moderate Regionally restricted euxassay_002633_23
TS23: pharyngo-tympanic tube Weak Regionally restricted euxassay_002633_23
TS23: lung Weak Spotted euxassay_002633_23
TS23: hindlimb digit 5 mesenchyme Strong Regionally restricted euxassay_002633_23
TS23: hindlimb digit 4 mesenchyme Strong Regionally restricted euxassay_002633_23
TS23: hindlimb digit 3 mesenchyme Strong Regionally restricted euxassay_002633_23
TS23: hindlimb digit 2 mesenchyme Strong Regionally restricted euxassay_002633_23
TS23: hindlimb digit 1 mesenchyme Strong Regionally restricted euxassay_002633_23


Contributing Projects:
Mouse Genome Database (MGD), Gene Expression Database (GXD), Mouse Models of Human Cancer database (MMHCdb) (formerly Mouse Tumor Biology (MTB)), Gene Ontology (GO)
Citing These Resources
Funding Information
Warranty Disclaimer, Privacy Notice, Licensing, & Copyright
Send questions and comments to User Support.
last database update
12/30/2025
MGI 6.24
The Jackson Laboratory