About   Help   FAQ
Gene Expression Data
Assay Details
Assay
Reference: J:153498 Diez-Roux G, et al., A high-resolution anatomical atlas of the transcriptome in the mouse embryo. PLoS Biol. 2011;9(1):e1000582
Assay type: RNA in situ
MGI Accession ID: MGI:4828386
Gene symbol: Sox1
Gene name: SRY (sex determining region Y)-box 1
Probe: T55183
Probe preparation: Antisense labelled with digoxigenin RNA
Visualized with: Alkaline phosphatase
Assay notes: Cryosections of fresh frozen material were fixed in 4% paraformaldehyde for 20 min. before further processing. A tyramide-biotin/streptavidin amplification step was included in the in situ hybridization procedure.
Results
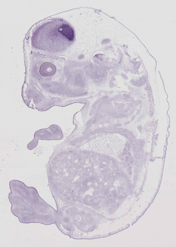
Specimen euxassay_019565_01: embryonic day 14.5 (more )
Structure Level Pattern Image Note
TS23: telencephalon ventricular layer Strong Uniform euxassay_019565_01

Specimen euxassay_019565_02: embryonic day 14.5 (more )
Structure Level Pattern Image Note
TS23: telencephalon ventricular layer Strong Uniform euxassay_019565_02

Specimen euxassay_019565_03: embryonic day 14.5 (more )
Structure Level Pattern Image Note
TS23: telencephalon ventricular layer Strong Uniform euxassay_019565_03

Specimen euxassay_019565_04: embryonic day 14.5 (more )
Structure Level Pattern Image Note
TS23: telencephalon ventricular layer Strong Uniform euxassay_019565_04
TS23: rest of cerebellum ventricular layer Moderate Regionally restricted euxassay_019565_04

Specimen euxassay_019565_05: embryonic day 14.5 (more )
Structure Level Pattern Image Note
TS23: telencephalon ventricular layer Strong Uniform euxassay_019565_05
TS23: rest of cerebellum ventricular layer Moderate Regionally restricted euxassay_019565_05

Specimen euxassay_019565_06: embryonic day 14.5 (more )
Structure Level Pattern Image Note
TS23: telencephalon ventricular layer Strong Uniform euxassay_019565_06
TS23: rest of cerebellum ventricular layer Moderate Regionally restricted euxassay_019565_06
TS23: pons ventricular layer Moderate Regionally restricted euxassay_019565_06

Specimen euxassay_019565_07: embryonic day 14.5 (more )
Structure Level Pattern Image Note
TS23: telencephalon ventricular layer Strong Uniform euxassay_019565_07
TS23: midbrain ventricular layer Strong Uniform euxassay_019565_07
TS23: pons ventricular layer Strong Regionally restricted euxassay_019565_07
TS23: rest of cerebellum ventricular layer Strong Regionally restricted euxassay_019565_07
TS23: medulla oblongata basal plate ventricular layer Strong Regionally restricted euxassay_019565_07

Specimen euxassay_019565_08: embryonic day 14.5 (more )
Structure Level Pattern Image Note
TS23: telencephalon ventricular layer Strong Uniform euxassay_019565_08
TS23: olfactory cortex ventricular layer Strong Uniform euxassay_019565_08
TS23: midbrain ventricular layer Strong Uniform euxassay_019565_08
TS23: pons ventricular layer Strong Regionally restricted euxassay_019565_08
TS23: rest of cerebellum ventricular layer Strong Regionally restricted euxassay_019565_08
TS23: medulla oblongata basal plate ventricular layer Strong Regionally restricted euxassay_019565_08

Specimen euxassay_019565_09: embryonic day 14.5 (more )
Structure Level Pattern Image Note
TS23: telencephalon ventricular layer Strong Uniform euxassay_019565_09
TS23: olfactory cortex ventricular layer Strong Uniform euxassay_019565_09
TS23: diencephalon lateral wall ventricular layer Strong Uniform euxassay_019565_09
TS23: hypothalamus ventricular layer Strong Uniform euxassay_019565_09
TS23: midbrain ventricular layer Strong Uniform euxassay_019565_09
TS23: pons ventricular layer Strong Regionally restricted euxassay_019565_09
TS23: rest of cerebellum ventricular layer Strong Regionally restricted euxassay_019565_09
TS23: medulla oblongata basal plate ventricular layer Strong Regionally restricted euxassay_019565_09

Specimen euxassay_019565_10: embryonic day 14.5 (more )
Structure Level Pattern Image Note
TS23: diencephalon lateral wall ventricular layer Strong Uniform euxassay_019565_10
TS23: hypothalamus ventricular layer Strong Uniform euxassay_019565_10
TS23: telencephalon ventricular layer Strong Uniform euxassay_019565_10
TS23: olfactory cortex ventricular layer Strong Uniform euxassay_019565_10
TS23: midbrain ventricular layer Strong Uniform euxassay_019565_10
TS23: pons ventricular layer Strong Regionally restricted euxassay_019565_10
TS23: rest of cerebellum ventricular layer Strong Regionally restricted euxassay_019565_10
TS23: medulla oblongata basal plate ventricular layer Strong Regionally restricted euxassay_019565_10

Specimen euxassay_019565_11: embryonic day 14.5 (more )
Structure Level Pattern Image Note
TS23: telencephalon ventricular layer Strong Uniform euxassay_019565_11
TS23: diencephalon lateral wall ventricular layer Strong Uniform euxassay_019565_11
TS23: hypothalamus ventricular layer Strong Uniform euxassay_019565_11
TS23: midbrain ventricular layer Strong Uniform euxassay_019565_11
TS23: rest of cerebellum ventricular layer Strong Regionally restricted euxassay_019565_11
TS23: pons ventricular layer Strong Regionally restricted euxassay_019565_11
TS23: medulla oblongata basal plate ventricular layer Strong Regionally restricted euxassay_019565_11

Specimen euxassay_019565_12: embryonic day 14.5 (more )
Structure Level Pattern Image Note
TS23: telencephalon ventricular layer Strong Uniform euxassay_019565_12
TS23: diencephalon lateral wall ventricular layer Strong Uniform euxassay_019565_12
TS23: hypothalamus ventricular layer Strong Uniform euxassay_019565_12
TS23: midbrain ventricular layer Strong Uniform euxassay_019565_12
TS23: pons ventricular layer Strong Regionally restricted euxassay_019565_12
TS23: rest of cerebellum ventricular layer Strong Regionally restricted euxassay_019565_12
TS23: medulla oblongata basal plate ventricular layer Strong Regionally restricted euxassay_019565_12

Specimen euxassay_019565_13: embryonic day 14.5 (more )
Structure Level Pattern Image Note
TS23: telencephalon ventricular layer Strong Uniform euxassay_019565_13
TS23: diencephalon lateral wall ventricular layer Strong Uniform euxassay_019565_13
TS23: hypothalamus ventricular layer Strong Uniform euxassay_019565_13
TS23: midbrain ventricular layer Strong Uniform euxassay_019565_13
TS23: pons ventricular layer Strong Regionally restricted euxassay_019565_13
TS23: rest of cerebellum ventricular layer Strong Regionally restricted euxassay_019565_13
TS23: medulla oblongata basal plate ventricular layer Moderate Regionally restricted euxassay_019565_13
TS23: spinal cord ventricular layer Moderate Regionally restricted euxassay_019565_13

Specimen euxassay_019565_14: embryonic day 14.5 (more )
Structure Level Pattern Image Note
TS23: hypothalamus ventricular layer Strong Uniform euxassay_019565_14
TS23: olfactory cortex ventricular layer Strong Uniform euxassay_019565_14
TS23: telencephalon ventricular layer Strong Uniform euxassay_019565_14
TS23: midbrain ventricular layer Strong Uniform euxassay_019565_14
TS23: pons ventricular layer Strong Regionally restricted euxassay_019565_14
TS23: rest of cerebellum ventricular layer Strong Regionally restricted euxassay_019565_14
TS23: medulla oblongata basal plate ventricular layer Moderate Regionally restricted euxassay_019565_14
TS23: spinal cord ventricular layer Moderate Regionally restricted euxassay_019565_14
TS23: ventral grey horn Moderate Regionally restricted euxassay_019565_14

Specimen euxassay_019565_15: embryonic day 14.5 (more )
Structure Level Pattern Image Note
TS23: telencephalon ventricular layer Strong Uniform euxassay_019565_15
TS23: olfactory cortex ventricular layer Strong Uniform euxassay_019565_15
TS23: midbrain ventricular layer Strong Uniform euxassay_019565_15
TS23: pons ventricular layer Strong Regionally restricted euxassay_019565_15
TS23: rest of cerebellum ventricular layer Strong Regionally restricted euxassay_019565_15
TS23: medulla oblongata basal plate ventricular layer Strong Regionally restricted euxassay_019565_15
TS23: ventral grey horn Moderate Regionally restricted euxassay_019565_15

Specimen euxassay_019565_16: embryonic day 14.5 (more )
Structure Level Pattern Image Note
TS23: telencephalon ventricular layer Strong Uniform euxassay_019565_16
TS23: midbrain ventricular layer Strong Uniform euxassay_019565_16
TS23: pons ventricular layer Strong Regionally restricted euxassay_019565_16
TS23: rest of cerebellum ventricular layer Moderate Regionally restricted euxassay_019565_16
TS23: medulla oblongata basal plate ventricular layer Strong Regionally restricted euxassay_019565_16
TS23: ventral grey horn Moderate Regionally restricted euxassay_019565_16

Specimen euxassay_019565_17: embryonic day 14.5 (more )
Structure Level Pattern Image Note
TS23: telencephalon ventricular layer Strong Uniform euxassay_019565_17
TS23: midbrain ventricular layer Strong Uniform euxassay_019565_17
TS23: pons ventricular layer Moderate Regionally restricted euxassay_019565_17
TS23: rest of cerebellum ventricular layer Moderate Regionally restricted euxassay_019565_17

Specimen euxassay_019565_18: embryonic day 14.5 (more )
Structure Level Pattern Image Note
TS23: telencephalon ventricular layer Strong Uniform euxassay_019565_18
TS23: midbrain ventricular layer Strong Uniform euxassay_019565_18
TS23: rest of cerebellum ventricular layer Moderate Regionally restricted euxassay_019565_18

Specimen euxassay_019565_19: embryonic day 14.5 (more )
Structure Level Pattern Image Note
TS23: telencephalon ventricular layer Strong Uniform euxassay_019565_19
TS23: rest of cerebellum ventricular layer Moderate Regionally restricted euxassay_019565_19

Specimen euxassay_019565_20: embryonic day 14.5 (more )
Structure Level Pattern Image Note
TS23: telencephalon ventricular layer Strong Uniform euxassay_019565_20
TS23: rest of cerebellum ventricular layer Moderate Regionally restricted euxassay_019565_20

Specimen euxassay_019565_21: embryonic day 14.5 (more )
Structure Level Pattern Image Note
TS23: telencephalon ventricular layer Strong Uniform euxassay_019565_21
TS23: rest of cerebellum ventricular layer Moderate Regionally restricted euxassay_019565_21

Specimen euxassay_019565_22: embryonic day 14.5 (more )
Structure Level Pattern Image Note
TS23: telencephalon ventricular layer Strong Uniform euxassay_019565_22


Contributing Projects:
Mouse Genome Database (MGD), Gene Expression Database (GXD), Mouse Models of Human Cancer database (MMHCdb) (formerly Mouse Tumor Biology (MTB)), Gene Ontology (GO)
Citing These Resources
Funding Information
Warranty Disclaimer, Privacy Notice, Licensing, & Copyright
Send questions and comments to User Support.
last database update
12/30/2025
MGI 6.24
The Jackson Laboratory