About   Help   FAQ
Gene Expression Data
Assay Details
Assay
Reference: J:153498 Diez-Roux G, et al., A high-resolution anatomical atlas of the transcriptome in the mouse embryo. PLoS Biol. 2011;9(1):e1000582
Assay type: RNA in situ
MGI Accession ID: MGI:4828377
Gene symbol: Sorbs1
Gene name: sorbin and SH3 domain containing 1
Probe: MGC clone 13971
Probe preparation: Antisense labelled with digoxigenin RNA
Visualized with: Alkaline phosphatase
Assay notes: Cryosections of fresh frozen material were fixed in 4% paraformaldehyde for 20 min. before further processing. A tyramide-biotin/streptavidin amplification step was included in the in situ hybridization procedure.
Results
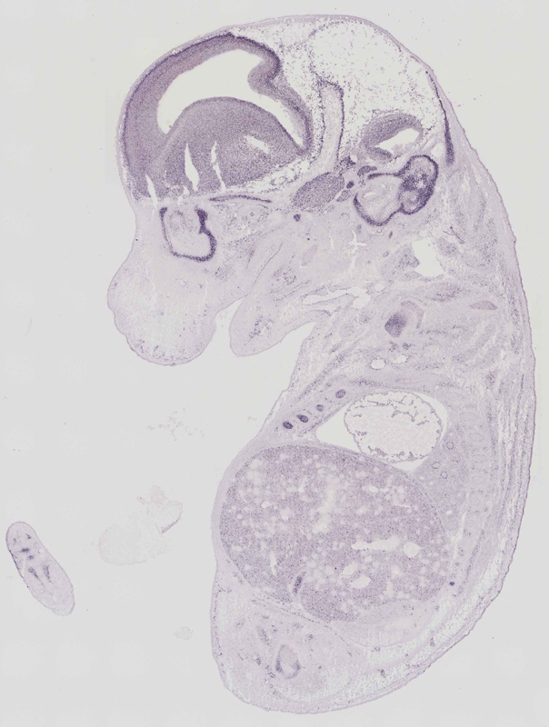
Specimen euxassay_003610_01: embryonic day 14.5 (more )
Structure Level Pattern Image Note
TS23: brain Moderate Regionally restricted euxassay_003610_01
TS23: lens Strong Regionally restricted euxassay_003610_01
TS23: retina Moderate Regionally restricted euxassay_003610_01
TS23: orbito-sphenoid Strong Regionally restricted euxassay_003610_01
TS23: forelimb Moderate Regionally restricted euxassay_003610_01
TS23: hindlimb Moderate Regionally restricted euxassay_003610_01
TS23: liver Moderate Spotted euxassay_003610_01
TS23: stomach Moderate Regionally restricted euxassay_003610_01

Specimen euxassay_003610_02: embryonic day 14.5 (more )
Structure Level Pattern Image Note
TS23: otic capsule Moderate Regionally restricted euxassay_003610_02
TS23: trigeminal ganglion Moderate Regionally restricted euxassay_003610_02
TS23: brain Moderate Regionally restricted euxassay_003610_02
TS23: lens Moderate Regionally restricted euxassay_003610_02
TS23: retina Moderate Regionally restricted euxassay_003610_02
TS23: orbito-sphenoid Strong Regionally restricted euxassay_003610_02
TS23: forelimb Moderate Regionally restricted euxassay_003610_02
TS23: hindlimb Moderate Regionally restricted euxassay_003610_02
TS23: liver Moderate Spotted euxassay_003610_02
TS23: stomach Moderate Regionally restricted euxassay_003610_02
TS23: lung Moderate Regionally restricted euxassay_003610_02

Specimen euxassay_003610_03: embryonic day 14.5 (more )
Structure Level Pattern Image Note
TS23: otic capsule Moderate Regionally restricted euxassay_003610_03
TS23: trigeminal ganglion Moderate Regionally restricted euxassay_003610_03
TS23: facial ganglion Moderate Regionally restricted euxassay_003610_03
TS23: brain Moderate Regionally restricted euxassay_003610_03
TS23: retina Moderate Regionally restricted euxassay_003610_03
TS23: orbito-sphenoid Moderate Regionally restricted euxassay_003610_03
TS23: hindlimb Moderate Regionally restricted euxassay_003610_03
TS23: forelimb Moderate Regionally restricted euxassay_003610_03
TS23: liver Moderate Spotted euxassay_003610_03
TS23: stomach Moderate Regionally restricted euxassay_003610_03
TS23: lung Moderate Regionally restricted euxassay_003610_03
TS23: heart Moderate Regionally restricted euxassay_003610_03

Specimen euxassay_003610_04: embryonic day 14.5 (more )
Structure Level Pattern Image Note
TS23: otic capsule Moderate Regionally restricted euxassay_003610_04
TS23: trigeminal ganglion Moderate Regionally restricted euxassay_003610_04
TS23: facial ganglion Moderate Regionally restricted euxassay_003610_04
TS23: glossopharyngeal ganglion Moderate Regionally restricted euxassay_003610_04
TS23: brain Moderate Regionally restricted euxassay_003610_04
TS23: retina Moderate Regionally restricted euxassay_003610_04
TS23: orbito-sphenoid Moderate Regionally restricted euxassay_003610_04
TS23: forelimb Moderate Regionally restricted euxassay_003610_04
TS23: hindlimb Moderate Regionally restricted euxassay_003610_04
TS23: rib Moderate Regionally restricted euxassay_003610_04
TS23: liver Moderate Spotted euxassay_003610_04
TS23: stomach Moderate Regionally restricted euxassay_003610_04
TS23: lung Moderate Regionally restricted euxassay_003610_04
TS23: heart Moderate Regionally restricted euxassay_003610_04

Specimen euxassay_003610_05: embryonic day 14.5 (more )
Structure Level Pattern Image Note
TS23: otic capsule Moderate Regionally restricted euxassay_003610_05
TS23: trigeminal ganglion Moderate Regionally restricted euxassay_003610_05
TS23: vestibulo-cochlear ganglion Moderate Regionally restricted euxassay_003610_05
TS23: glossopharyngeal ganglion Moderate Regionally restricted euxassay_003610_05
TS23: brain Moderate Regionally restricted euxassay_003610_05
TS23: orbito-sphenoid Moderate Regionally restricted euxassay_003610_05
TS23: hindlimb Moderate Regionally restricted euxassay_003610_05
TS23: forelimb Moderate Regionally restricted euxassay_003610_05
TS23: rib Moderate Regionally restricted euxassay_003610_05
TS23: liver Moderate Spotted euxassay_003610_05
TS23: stomach Moderate Regionally restricted euxassay_003610_05
TS23: metanephros Moderate Regionally restricted euxassay_003610_05
TS23: lung Moderate Regionally restricted euxassay_003610_05
TS23: heart Moderate Regionally restricted euxassay_003610_05

Specimen euxassay_003610_06: embryonic day 14.5 (more )
Structure Level Pattern Image Note
TS23: otic capsule Moderate Regionally restricted euxassay_003610_06
TS23: trigeminal ganglion Moderate Regionally restricted euxassay_003610_06
TS23: vestibulo-cochlear ganglion Moderate Regionally restricted euxassay_003610_06
TS23: glossopharyngeal ganglion Moderate Regionally restricted euxassay_003610_06
TS23: brain Moderate Regionally restricted euxassay_003610_06
TS23: hindlimb Moderate Regionally restricted euxassay_003610_06
TS23: forelimb Moderate Regionally restricted euxassay_003610_06
TS23: rib Moderate Regionally restricted euxassay_003610_06
TS23: liver Moderate Spotted euxassay_003610_06
TS23: stomach Moderate Regionally restricted euxassay_003610_06
TS23: metanephros Moderate Regionally restricted euxassay_003610_06
TS23: lung Moderate Regionally restricted euxassay_003610_06
TS23: heart Moderate Regionally restricted euxassay_003610_06

Specimen euxassay_003610_07: embryonic day 14.5 (more )
Structure Level Pattern Image Note
TS23: otic capsule Moderate Regionally restricted euxassay_003610_07
TS23: trigeminal ganglion Moderate Regionally restricted euxassay_003610_07
TS23: vestibulo-cochlear ganglion Moderate Regionally restricted euxassay_003610_07
TS23: vagus ganglion Moderate Regionally restricted euxassay_003610_07
TS23: spinal cord Moderate Regionally restricted euxassay_003610_07
TS23: brain Moderate Regionally restricted euxassay_003610_07
TS23: orbito-sphenoid Moderate Regionally restricted euxassay_003610_07
TS23: hindlimb Moderate Regionally restricted euxassay_003610_07
TS23: rib Moderate Regionally restricted euxassay_003610_07
TS23: liver Moderate Spotted euxassay_003610_07
TS23: midgut Moderate Regionally restricted euxassay_003610_07
TS23: stomach Moderate Regionally restricted euxassay_003610_07
TS23: metanephros Moderate Regionally restricted euxassay_003610_07
TS23: lung Moderate Regionally restricted euxassay_003610_07
TS23: heart Moderate Regionally restricted euxassay_003610_07

Specimen euxassay_003610_08: embryonic day 14.5 (more )
Structure Level Pattern Image Note
TS23: olfactory epithelium Moderate Regionally restricted euxassay_003610_08
TS23: otic capsule Moderate Regionally restricted euxassay_003610_08
TS23: spinal cord Moderate Regionally restricted euxassay_003610_08
TS23: brain Moderate Regionally restricted euxassay_003610_08
TS23: orbito-sphenoid Moderate Regionally restricted euxassay_003610_08
TS23: rib Moderate Regionally restricted euxassay_003610_08
TS23: liver Moderate Spotted euxassay_003610_08
TS23: midgut Moderate Regionally restricted euxassay_003610_08
TS23: stomach Moderate Regionally restricted euxassay_003610_08
TS23: metanephros Moderate Regionally restricted euxassay_003610_08
TS23: lung Moderate Regionally restricted euxassay_003610_08
TS23: heart Moderate Regionally restricted euxassay_003610_08

Specimen euxassay_003610_09: embryonic day 14.5 (more )
Structure Level Pattern Image Note
TS23: olfactory epithelium Moderate Regionally restricted euxassay_003610_09
TS23: otic capsule Moderate Regionally restricted euxassay_003610_09
TS23: trigeminal ganglion Moderate Regionally restricted euxassay_003610_09
TS23: spinal cord Moderate Regionally restricted euxassay_003610_09
TS23: brain Moderate Regionally restricted euxassay_003610_09
TS23: orbito-sphenoid Moderate Regionally restricted euxassay_003610_09
TS23: rib Moderate Regionally restricted euxassay_003610_09
TS23: liver Moderate Spotted euxassay_003610_09
TS23: midgut Moderate Regionally restricted euxassay_003610_09
TS23: stomach Moderate Regionally restricted euxassay_003610_09
TS23: lung Moderate Regionally restricted euxassay_003610_09
TS23: heart Moderate Regionally restricted euxassay_003610_09

Specimen euxassay_003610_10: embryonic day 14.5 (more )
Structure Level Pattern Image Note
TS23: olfactory epithelium Moderate Regionally restricted euxassay_003610_10
TS23: spinal cord Moderate Regionally restricted euxassay_003610_10
TS23: brain Moderate Regionally restricted euxassay_003610_10
TS23: rib Moderate Regionally restricted euxassay_003610_10
TS23: liver Moderate Spotted euxassay_003610_10
TS23: midgut Moderate Regionally restricted euxassay_003610_10
TS23: lung Moderate Regionally restricted euxassay_003610_10
TS23: heart Moderate Regionally restricted euxassay_003610_10
TS23: sacral vertebral cartilage condensation Moderate Regionally restricted euxassay_003610_10
TS23: lumbar vertebra Moderate Regionally restricted euxassay_003610_10

Specimen euxassay_003610_11: embryonic day 14.5 (more )
Structure Level Pattern Image Note
TS23: olfactory epithelium Moderate Regionally restricted euxassay_003610_11
TS23: spinal cord Moderate Regionally restricted euxassay_003610_11
TS23: brain Moderate Regionally restricted euxassay_003610_11
TS23: tongue Weak Regionally restricted euxassay_003610_11
TS23: rib Moderate Regionally restricted euxassay_003610_11
TS23: esophagus Moderate Regionally restricted euxassay_003610_11
TS23: bladder Moderate Regionally restricted euxassay_003610_11
TS23: liver Moderate Spotted euxassay_003610_11
TS23: midgut Moderate Regionally restricted euxassay_003610_11
TS23: lung Moderate Regionally restricted euxassay_003610_11
TS23: heart Moderate Regionally restricted euxassay_003610_11
TS23: sacral vertebral cartilage condensation Moderate Regionally restricted euxassay_003610_11
TS23: lumbar vertebra Moderate Regionally restricted euxassay_003610_11

Specimen euxassay_003610_12: embryonic day 14.5 (more )
Structure Level Pattern Image Note
TS23: olfactory epithelium Moderate Regionally restricted euxassay_003610_12
TS23: brain Moderate Regionally restricted euxassay_003610_12
TS23: spinal cord Moderate Regionally restricted euxassay_003610_12
TS23: tongue Weak Regionally restricted euxassay_003610_12
TS23: rib Moderate Regionally restricted euxassay_003610_12
TS23: esophagus Moderate Regionally restricted euxassay_003610_12
TS23: trachea Moderate Regionally restricted euxassay_003610_12
TS23: bladder Moderate Regionally restricted euxassay_003610_12
TS23: liver Moderate Spotted euxassay_003610_12
TS23: midgut Moderate Regionally restricted euxassay_003610_12
TS23: lung Moderate Regionally restricted euxassay_003610_12
TS23: heart Moderate Regionally restricted euxassay_003610_12
TS23: sacral vertebral cartilage condensation Moderate Regionally restricted euxassay_003610_12
TS23: lumbar vertebra Moderate Regionally restricted euxassay_003610_12

Specimen euxassay_003610_13: embryonic day 14.5 (more )
Structure Level Pattern Image Note
TS23: olfactory epithelium Moderate Regionally restricted euxassay_003610_13
TS23: nasal cavity respiratory epithelium Moderate Regionally restricted euxassay_003610_13
TS23: brain Moderate Regionally restricted euxassay_003610_13
TS23: spinal cord Moderate Regionally restricted euxassay_003610_13
TS23: tongue Weak Regionally restricted euxassay_003610_13
TS23: lower jaw incisor Moderate Regionally restricted euxassay_003610_13
TS23: sternum Moderate Regionally restricted euxassay_003610_13
TS23: bladder Moderate Regionally restricted euxassay_003610_13
TS23: liver Moderate Spotted euxassay_003610_13
TS23: midgut Moderate Regionally restricted euxassay_003610_13
TS23: lung Moderate Regionally restricted euxassay_003610_13
TS23: heart Moderate Regionally restricted euxassay_003610_13
TS23: sacral vertebral cartilage condensation Moderate Regionally restricted euxassay_003610_13
TS23: lumbar vertebra Moderate Regionally restricted euxassay_003610_13
TS23: dorsal root ganglion Moderate Regionally restricted euxassay_003610_13

Specimen euxassay_003610_14: embryonic day 14.5 (more )
Structure Level Pattern Image Note
TS23: nasal cavity respiratory epithelium Moderate Regionally restricted euxassay_003610_14
TS23: nasal septum Moderate Regionally restricted euxassay_003610_14
TS23: brain Moderate Regionally restricted euxassay_003610_14
TS23: tongue Weak Regionally restricted euxassay_003610_14
TS23: lower jaw incisor Moderate Regionally restricted euxassay_003610_14
TS23: sternum Moderate Regionally restricted euxassay_003610_14
TS23: bladder Moderate Regionally restricted euxassay_003610_14
TS23: liver Moderate Spotted euxassay_003610_14
TS23: midgut Moderate Regionally restricted euxassay_003610_14
TS23: lung Moderate Regionally restricted euxassay_003610_14
TS23: heart Moderate Regionally restricted euxassay_003610_14
TS23: thoracic vertebra Moderate Regionally restricted euxassay_003610_14
TS23: sacral vertebral cartilage condensation Moderate Regionally restricted euxassay_003610_14
TS23: lumbar vertebra Moderate Regionally restricted euxassay_003610_14
TS23: cervical vertebra Moderate Regionally restricted euxassay_003610_14
TS23: dorsal root ganglion Moderate Regionally restricted euxassay_003610_14

Specimen euxassay_003610_15: embryonic day 14.5 (more )
Structure Level Pattern Image Note
TS23: nasal cavity respiratory epithelium Moderate Regionally restricted euxassay_003610_15
TS23: olfactory epithelium Moderate Regionally restricted euxassay_003610_15
TS23: nasal septum Moderate Regionally restricted euxassay_003610_15
TS23: otic capsule Moderate Regionally restricted euxassay_003610_15
TS23: brain Moderate Regionally restricted euxassay_003610_15
TS23: tongue Weak Regionally restricted euxassay_003610_15
TS23: lower jaw incisor Weak Regionally restricted euxassay_003610_15
TS23: rib Moderate Regionally restricted euxassay_003610_15
TS23: bladder Moderate Regionally restricted euxassay_003610_15
TS23: liver Moderate Spotted euxassay_003610_15
TS23: midgut Moderate Regionally restricted euxassay_003610_15
TS23: lung Moderate Regionally restricted euxassay_003610_15
TS23: heart Moderate Regionally restricted euxassay_003610_15
TS23: sacral vertebral cartilage condensation Moderate Regionally restricted euxassay_003610_15
TS23: lumbar vertebra Moderate Regionally restricted euxassay_003610_15
TS23: axial skeleton tail region Moderate Regionally restricted euxassay_003610_15
TS23: dorsal root ganglion Moderate Regionally restricted euxassay_003610_15

Specimen euxassay_003610_16: embryonic day 14.5 (more )
Structure Level Pattern Image Note
TS23: nasal cavity respiratory epithelium Moderate Regionally restricted euxassay_003610_16
TS23: olfactory epithelium Moderate Regionally restricted euxassay_003610_16
TS23: otic capsule Moderate Regionally restricted euxassay_003610_16
TS23: brain Moderate Regionally restricted euxassay_003610_16
TS23: tongue Weak Regionally restricted euxassay_003610_16
TS23: rib Moderate Regionally restricted euxassay_003610_16
TS23: liver Moderate Spotted euxassay_003610_16
TS23: midgut Moderate Regionally restricted euxassay_003610_16
TS23: metanephros Moderate Regionally restricted euxassay_003610_16
TS23: lung Moderate Regionally restricted euxassay_003610_16
TS23: heart Moderate Regionally restricted euxassay_003610_16
TS23: axial skeleton tail region Moderate Regionally restricted euxassay_003610_16
TS23: sacral vertebral cartilage condensation Moderate Regionally restricted euxassay_003610_16
TS23: lumbar vertebra Moderate Regionally restricted euxassay_003610_16
TS23: cervical vertebra Moderate Regionally restricted euxassay_003610_16
TS23: thoracic vertebra Moderate Regionally restricted euxassay_003610_16

Specimen euxassay_003610_17: embryonic day 14.5 (more )
Structure Level Pattern Image Note
TS23: nasal cavity respiratory epithelium Moderate Regionally restricted euxassay_003610_17
TS23: olfactory epithelium Moderate Regionally restricted euxassay_003610_17
TS23: otic capsule Moderate Regionally restricted euxassay_003610_17
TS23: vagus ganglion Moderate Regionally restricted euxassay_003610_17
TS23: trigeminal ganglion Moderate Regionally restricted euxassay_003610_17
TS23: vestibulo-cochlear ganglion Moderate Regionally restricted euxassay_003610_17
TS23: brain Moderate Regionally restricted euxassay_003610_17
TS23: tongue Weak Regionally restricted euxassay_003610_17
TS23: rib Moderate Regionally restricted euxassay_003610_17
TS23: liver Moderate Spotted euxassay_003610_17
TS23: midgut Moderate Regionally restricted euxassay_003610_17
TS23: metanephros Moderate Regionally restricted euxassay_003610_17
TS23: lung Moderate Regionally restricted euxassay_003610_17
TS23: heart Moderate Regionally restricted euxassay_003610_17
TS23: axial skeleton tail region Moderate Regionally restricted euxassay_003610_17

Specimen euxassay_003610_18: embryonic day 14.5 (more )
Structure Level Pattern Image Note
TS23: olfactory epithelium Moderate Regionally restricted euxassay_003610_18
TS23: nasal cavity respiratory epithelium Moderate Regionally restricted euxassay_003610_18
TS23: otic capsule Moderate Regionally restricted euxassay_003610_18
TS23: trigeminal ganglion Moderate Regionally restricted euxassay_003610_18
TS23: facial ganglion Moderate Regionally restricted euxassay_003610_18
TS23: vestibulo-cochlear ganglion Moderate Regionally restricted euxassay_003610_18
TS23: glossopharyngeal ganglion Moderate Regionally restricted euxassay_003610_18
TS23: brain Moderate Regionally restricted euxassay_003610_18
TS23: rib Moderate Regionally restricted euxassay_003610_18
TS23: liver Moderate Spotted euxassay_003610_18
TS23: midgut Moderate Regionally restricted euxassay_003610_18
TS23: metanephros Moderate Regionally restricted euxassay_003610_18
TS23: lung Moderate Regionally restricted euxassay_003610_18
TS23: heart Moderate Regionally restricted euxassay_003610_18
TS23: axial skeleton tail region Moderate Regionally restricted euxassay_003610_18

Specimen euxassay_003610_19: embryonic day 14.5 (more )
Structure Level Pattern Image Note
TS23: olfactory epithelium Moderate Regionally restricted euxassay_003610_19
TS23: otic capsule Moderate Regionally restricted euxassay_003610_19
TS23: trigeminal ganglion Moderate Regionally restricted euxassay_003610_19
TS23: facial ganglion Moderate Regionally restricted euxassay_003610_19
TS23: brain Moderate Regionally restricted euxassay_003610_19
TS23: rib Moderate Regionally restricted euxassay_003610_19
TS23: liver Moderate Spotted euxassay_003610_19
TS23: lung Moderate Regionally restricted euxassay_003610_19
TS23: heart Moderate Regionally restricted euxassay_003610_19
TS23: axial skeleton tail region Moderate Regionally restricted euxassay_003610_19

Specimen euxassay_003610_20: embryonic day 14.5 (more )
Structure Level Pattern Image Note
TS23: olfactory epithelium Moderate Regionally restricted euxassay_003610_20
TS23: otic capsule Moderate Regionally restricted euxassay_003610_20
TS23: trigeminal ganglion Moderate Regionally restricted euxassay_003610_20
TS23: facial ganglion Moderate Regionally restricted euxassay_003610_20
TS23: brain Moderate Regionally restricted euxassay_003610_20
TS23: rib Moderate Regionally restricted euxassay_003610_20
TS23: liver Moderate Spotted euxassay_003610_20
TS23: lung Moderate Regionally restricted euxassay_003610_20
TS23: heart Moderate Regionally restricted euxassay_003610_20

Specimen euxassay_003610_21: embryonic day 14.5 (more )
Structure Level Pattern Image Note
TS23: olfactory epithelium Moderate Regionally restricted euxassay_003610_21
TS23: trigeminal ganglion Moderate Regionally restricted euxassay_003610_21
TS23: facial ganglion Moderate Regionally restricted euxassay_003610_21
TS23: brain Moderate Regionally restricted euxassay_003610_21
TS23: rib Moderate Regionally restricted euxassay_003610_21
TS23: liver Moderate Spotted euxassay_003610_21
TS23: lung Moderate Regionally restricted euxassay_003610_21
TS23: heart Moderate Regionally restricted euxassay_003610_21

Specimen euxassay_003610_22: embryonic day 14.5 (more )
Structure Level Pattern Image Note
TS23: trigeminal ganglion Moderate Regionally restricted euxassay_003610_22
TS23: brain Moderate Regionally restricted euxassay_003610_22
TS23: orbito-sphenoid Weak Regionally restricted euxassay_003610_22
TS23: rib Moderate Regionally restricted euxassay_003610_22
TS23: liver Moderate Spotted euxassay_003610_22
TS23: lung Moderate Regionally restricted euxassay_003610_22
TS23: heart Weak Regionally restricted euxassay_003610_22

Specimen euxassay_003610_23: embryonic day 14.5 (more )
Structure Level Pattern Image Note
TS23: brain Moderate Regionally restricted euxassay_003610_23
TS23: orbito-sphenoid Weak Regionally restricted euxassay_003610_23
TS23: hindlimb Moderate Regionally restricted euxassay_003610_23
TS23: forelimb Moderate Regionally restricted euxassay_003610_23
TS23: rib Moderate Regionally restricted euxassay_003610_23
TS23: liver Moderate Spotted euxassay_003610_23
TS23: lung Moderate Regionally restricted euxassay_003610_23

Specimen euxassay_003610_24: embryonic day 14.5 (more )
Structure Level Pattern Image Note
TS23: brain Moderate Regionally restricted euxassay_003610_24
TS23: retina Moderate Regionally restricted euxassay_003610_24
TS23: hindlimb Moderate Regionally restricted euxassay_003610_24
TS23: forelimb Moderate Regionally restricted euxassay_003610_24
TS23: rib Moderate Regionally restricted euxassay_003610_24
TS23: liver Moderate Spotted euxassay_003610_24


Contributing Projects:
Mouse Genome Database (MGD), Gene Expression Database (GXD), Mouse Models of Human Cancer database (MMHCdb) (formerly Mouse Tumor Biology (MTB)), Gene Ontology (GO)
Citing These Resources
Funding Information
Warranty Disclaimer, Privacy Notice, Licensing, & Copyright
Send questions and comments to User Support.
last database update
09/30/2025
MGI 6.24
The Jackson Laboratory