About   Help   FAQ
Gene Expression Data
Assay Details
Assay
Reference: J:153498 Diez-Roux G, et al., A high-resolution anatomical atlas of the transcriptome in the mouse embryo. PLoS Biol. 2011;9(1):e1000582
Assay type: RNA in situ
MGI Accession ID: MGI:4828358
Gene symbol: Snrpn
Gene name: small nuclear ribonucleoprotein N
Probe: MGC clone 30325
Probe preparation: Antisense labelled with digoxigenin RNA
Visualized with: Alkaline phosphatase
Assay notes: Cryosections of fresh frozen material were fixed in 4% paraformaldehyde for 20 min. before further processing. A tyramide-biotin/streptavidin amplification step was included in the in situ hybridization procedure. The probe used in this assay may also recognize another gene (see Assay MGI:4828359).
Results
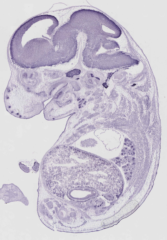
Specimen euxassay_003497_01: embryonic day 14.5 (more )
Structure Level Pattern Image Note
TS23: telencephalon Moderate Uniform euxassay_003497_01
TS23: neural retina Strong Regionally restricted euxassay_003497_01

Specimen euxassay_003497_02: embryonic day 14.5 (more )
Structure Level Pattern Image Note
TS23: hindbrain Moderate Uniform euxassay_003497_02
TS23: telencephalon Moderate Uniform euxassay_003497_02
TS23: neural retina Strong Regionally restricted euxassay_003497_02

Specimen euxassay_003497_03: embryonic day 14.5 (more )
Note: Additional information for this specimen was included in the Eurexpress data submission file.
Structure Level Pattern Image Note
TS23: trigeminal ganglion Strong Regionally restricted euxassay_003497_03
TS23: telencephalon Moderate Uniform euxassay_003497_03
TS23: hindbrain Moderate Uniform euxassay_003497_03
TS23: stomach Strong Regionally restricted euxassay_003497_03 smooth muscle
TS23: smooth muscle tissue Present euxassay_003497_03
TS23: neural retina Strong Regionally restricted euxassay_003497_03

Specimen euxassay_003497_04: embryonic day 14.5 (more )
Note: Additional information for this specimen was included in the Eurexpress data submission file.
Structure Level Pattern Image Note
TS23: trigeminal ganglion Strong Regionally restricted euxassay_003497_04
TS23: facial ganglion Strong Regionally restricted euxassay_003497_04
TS23: hindbrain Moderate Uniform euxassay_003497_04
TS23: telencephalon Moderate Uniform euxassay_003497_04
TS23: stomach Strong Regionally restricted euxassay_003497_04 smooth muscle
TS23: smooth muscle tissue Present euxassay_003497_04
TS23: neural retina Strong Regionally restricted euxassay_003497_04

Specimen euxassay_003497_05: embryonic day 14.5 (more )
Note: Additional information for this specimen was included in the Eurexpress data submission file.
Structure Level Pattern Image Note
TS23: trigeminal ganglion Strong Regionally restricted euxassay_003497_05
TS23: facial ganglion Strong Regionally restricted euxassay_003497_05
TS23: midbrain Moderate Uniform euxassay_003497_05
TS23: hindbrain Moderate Uniform euxassay_003497_05
TS23: telencephalon Moderate Uniform euxassay_003497_05
TS23: stomach Strong Regionally restricted euxassay_003497_05 smooth muscle
TS23: smooth muscle tissue Present euxassay_003497_05

Specimen euxassay_003497_06: embryonic day 14.5 (more )
Note: Additional information for this specimen was included in the Eurexpress data submission file.
Structure Level Pattern Image Note
TS23: trigeminal ganglion Strong Regionally restricted euxassay_003497_06
TS23: facial ganglion Strong Regionally restricted euxassay_003497_06
TS23: telencephalon Moderate Uniform euxassay_003497_06
TS23: midbrain Moderate Uniform euxassay_003497_06
TS23: hindbrain Moderate Uniform euxassay_003497_06
TS23: vibrissa Moderate Regionally restricted euxassay_003497_06
TS23: stomach Strong Regionally restricted euxassay_003497_06 smooth muscle
TS23: smooth muscle tissue Present euxassay_003497_06

Specimen euxassay_003497_07: embryonic day 14.5 (more )
Note: Additional information for this specimen was included in the Eurexpress data submission file.
Structure Level Pattern Image Note
TS23: trigeminal ganglion Strong Regionally restricted euxassay_003497_07
TS23: glossopharyngeal ganglion Strong Regionally restricted euxassay_003497_07
TS23: facial ganglion Strong Regionally restricted euxassay_003497_07
TS23: vestibulo-cochlear ganglion Strong Regionally restricted euxassay_003497_07
TS23: midbrain Moderate Uniform euxassay_003497_07
TS23: hindbrain Moderate Uniform euxassay_003497_07
TS23: telencephalon Moderate Uniform euxassay_003497_07
TS23: diencephalon Moderate Uniform euxassay_003497_07
TS23: vibrissa Moderate Regionally restricted euxassay_003497_07
TS23: submandibular gland primordium Moderate Regionally restricted euxassay_003497_07
TS23: testis Moderate Regionally restricted euxassay_003497_07
TS23: stomach Strong Regionally restricted euxassay_003497_07 smooth muscle
TS23: smooth muscle tissue Present euxassay_003497_07

Specimen euxassay_003497_08: embryonic day 14.5 (more )
Note: Additional information for this specimen was included in the Eurexpress data submission file.
Structure Level Pattern Image Note
TS23: glossopharyngeal ganglion Strong Regionally restricted euxassay_003497_08
TS23: vestibulo-cochlear ganglion Strong Regionally restricted euxassay_003497_08
TS23: trigeminal ganglion Strong Regionally restricted euxassay_003497_08
TS23: facial ganglion Strong Regionally restricted euxassay_003497_08
TS23: midbrain Moderate Uniform euxassay_003497_08
TS23: hindbrain Moderate Uniform euxassay_003497_08
TS23: telencephalon Moderate Uniform euxassay_003497_08
TS23: diencephalon Moderate Uniform euxassay_003497_08
TS23: vibrissa Moderate Regionally restricted euxassay_003497_08
TS23: submandibular gland primordium Strong Regionally restricted euxassay_003497_08
TS23: testis Strong Regionally restricted euxassay_003497_08
TS23: stomach Strong Regionally restricted euxassay_003497_08 smooth muscle
TS23: smooth muscle tissue Present euxassay_003497_08
TS23: midgut Strong Regionally restricted euxassay_003497_08 smooth muscle

Specimen euxassay_003497_09: embryonic day 14.5 (more )
Note: Additional information for this specimen was included in the Eurexpress data submission file.
Structure Level Pattern Image Note
TS23: vestibulo-cochlear ganglion Strong Regionally restricted euxassay_003497_09
TS23: trigeminal ganglion Strong Regionally restricted euxassay_003497_09
TS23: vagus ganglion Strong Regionally restricted euxassay_003497_09
TS23: dorsal root ganglion Strong Regionally restricted euxassay_003497_09
TS23: midbrain Moderate Uniform euxassay_003497_09
TS23: hindbrain Moderate Uniform euxassay_003497_09
TS23: telencephalon Moderate Uniform euxassay_003497_09
TS23: diencephalon Moderate Uniform euxassay_003497_09
TS23: vibrissa Moderate Regionally restricted euxassay_003497_09
TS23: submandibular gland primordium Strong Regionally restricted euxassay_003497_09
TS23: testis Strong Regionally restricted euxassay_003497_09
TS23: stomach Strong Regionally restricted euxassay_003497_09 smooth muscle
TS23: smooth muscle tissue Present euxassay_003497_09
TS23: midgut Strong Regionally restricted euxassay_003497_09 smooth muscle

Specimen euxassay_003497_10: embryonic day 14.5 (more )
Note: Additional information for this specimen was included in the Eurexpress data submission file.
Structure Level Pattern Image Note
TS23: dorsal root ganglion Strong Regionally restricted euxassay_003497_10
TS23: spinal cord Moderate Uniform euxassay_003497_10
TS23: midbrain Moderate Uniform euxassay_003497_10
TS23: hindbrain Moderate Uniform euxassay_003497_10
TS23: telencephalon Moderate Uniform euxassay_003497_10
TS23: diencephalon Moderate Uniform euxassay_003497_10
TS23: submandibular gland primordium Moderate Regionally restricted euxassay_003497_10
TS23: olfactory epithelium Moderate Regionally restricted euxassay_003497_10
TS23: cervical ganglion Strong Regionally restricted euxassay_003497_10
TS23: testis Strong Regionally restricted euxassay_003497_10
TS23: stomach Strong Regionally restricted euxassay_003497_10 smooth muscle
TS23: smooth muscle tissue Present euxassay_003497_10
TS23: midgut Strong Regionally restricted euxassay_003497_10 smooth muscle

Specimen euxassay_003497_11: embryonic day 14.5 (more )
Note: Additional information for this specimen was included in the Eurexpress data submission file.
Structure Level Pattern Image Note
TS23: dorsal root ganglion Strong Regionally restricted euxassay_003497_11
TS23: spinal cord Moderate Uniform euxassay_003497_11
TS23: midbrain Moderate Uniform euxassay_003497_11
TS23: hindbrain Moderate Uniform euxassay_003497_11
TS23: telencephalon Moderate Uniform euxassay_003497_11
TS23: diencephalon Moderate Uniform euxassay_003497_11
TS23: olfactory epithelium Moderate Regionally restricted euxassay_003497_11
TS23: cervico-thoracic ganglion Strong Regionally restricted euxassay_003497_11
TS23: stomach Strong Regionally restricted euxassay_003497_11 smooth muscle
TS23: smooth muscle tissue Present euxassay_003497_11
TS23: midgut Strong Regionally restricted euxassay_003497_11 smooth muscle

Specimen euxassay_003497_12: embryonic day 14.5 (more )
Note: Additional information for this specimen was included in the Eurexpress data submission file.
Structure Level Pattern Image Note
TS23: dorsal root ganglion Strong Regionally restricted euxassay_003497_12
TS23: spinal cord Moderate Uniform euxassay_003497_12
TS23: midbrain Moderate Uniform euxassay_003497_12
TS23: hindbrain Moderate Uniform euxassay_003497_12
TS23: telencephalon Moderate Uniform euxassay_003497_12
TS23: diencephalon Moderate Uniform euxassay_003497_12
TS23: olfactory epithelium Moderate Regionally restricted euxassay_003497_12
TS23: cervico-thoracic ganglion Strong Regionally restricted euxassay_003497_12
TS23: upper jaw incisor Moderate Regionally restricted euxassay_003497_12
TS23: lower jaw incisor Moderate Regionally restricted euxassay_003497_12
TS23: midgut Strong Regionally restricted euxassay_003497_12 smooth muscle
TS23: stomach Strong Regionally restricted euxassay_003497_12 smooth muscle
TS23: smooth muscle tissue Present euxassay_003497_12

Specimen euxassay_003497_13: embryonic day 14.5 (more )
Note: Additional information for this specimen was included in the Eurexpress data submission file.
Structure Level Pattern Image Note
TS23: dorsal root ganglion Strong Regionally restricted euxassay_003497_13
TS23: spinal cord Moderate Uniform euxassay_003497_13
TS23: midbrain Moderate Uniform euxassay_003497_13
TS23: hindbrain Moderate Uniform euxassay_003497_13
TS23: telencephalon Moderate Uniform euxassay_003497_13
TS23: diencephalon Moderate Uniform euxassay_003497_13
TS23: nasal cavity respiratory epithelium Moderate Regionally restricted euxassay_003497_13
TS23: olfactory epithelium Moderate Regionally restricted euxassay_003497_13
TS23: upper jaw incisor Moderate Regionally restricted euxassay_003497_13
TS23: lower jaw incisor Moderate Regionally restricted euxassay_003497_13
TS23: midgut Strong Regionally restricted euxassay_003497_13 smooth muscle
TS23: hindgut Strong Regionally restricted euxassay_003497_13 smooth muscle
TS23: smooth muscle tissue Present euxassay_003497_13

Specimen euxassay_003497_14: embryonic day 14.5 (more )
Note: Additional information for this specimen was included in the Eurexpress data submission file.
Structure Level Pattern Image Note
TS23: dorsal root ganglion Strong Regionally restricted euxassay_003497_14
TS23: spinal cord Moderate Uniform euxassay_003497_14
TS23: midbrain Moderate Uniform euxassay_003497_14
TS23: hindbrain Moderate Uniform euxassay_003497_14
TS23: telencephalon Moderate Uniform euxassay_003497_14
TS23: diencephalon Moderate Uniform euxassay_003497_14
TS23: upper jaw incisor Moderate Regionally restricted euxassay_003497_14
TS23: lower jaw incisor Moderate Regionally restricted euxassay_003497_14
TS23: hindgut Strong Regionally restricted euxassay_003497_14 smooth muscle
TS23: smooth muscle tissue Present euxassay_003497_14
TS23: midgut Strong Regionally restricted euxassay_003497_14 smooth muscle
TS23: glans of male genital tubercle Strong Regionally restricted euxassay_003497_14

Specimen euxassay_003497_15: embryonic day 14.5 (more )
Note: Additional information for this specimen was included in the Eurexpress data submission file.
Structure Level Pattern Image Note
TS23: diencephalon Moderate Uniform euxassay_003497_15
TS23: telencephalon Moderate Uniform euxassay_003497_15
TS23: hindbrain Moderate Uniform euxassay_003497_15
TS23: midbrain Moderate Uniform euxassay_003497_15
TS23: spinal cord Moderate Uniform euxassay_003497_15
TS23: olfactory epithelium Moderate Regionally restricted euxassay_003497_15
TS23: thoracic ganglion Strong Regionally restricted euxassay_003497_15
TS23: midgut Strong Regionally restricted euxassay_003497_15 smooth muscle
TS23: hindgut Strong Regionally restricted euxassay_003497_15 smooth muscle
TS23: smooth muscle tissue Present euxassay_003497_15

Specimen euxassay_003497_16: embryonic day 14.5 (more )
Note: Additional information for this specimen was included in the Eurexpress data submission file.
Structure Level Pattern Image Note
TS23: spinal cord Moderate Uniform euxassay_003497_16
TS23: midbrain Moderate Uniform euxassay_003497_16
TS23: hindbrain Moderate Uniform euxassay_003497_16
TS23: telencephalon Moderate Uniform euxassay_003497_16
TS23: diencephalon Moderate Uniform euxassay_003497_16
TS23: olfactory epithelium Moderate Regionally restricted euxassay_003497_16
TS23: nasal cavity respiratory epithelium Moderate Regionally restricted euxassay_003497_16
TS23: thoracic ganglion Strong Regionally restricted euxassay_003497_16
TS23: upper jaw incisor Moderate Regionally restricted euxassay_003497_16
TS23: lower jaw incisor Moderate Regionally restricted euxassay_003497_16
TS23: midgut Strong Regionally restricted euxassay_003497_16 smooth muscle
TS23: hindgut Strong Regionally restricted euxassay_003497_16 smooth muscle
TS23: smooth muscle tissue Present euxassay_003497_16

Specimen euxassay_003497_17: embryonic day 14.5 (more )
Note: Additional information for this specimen was included in the Eurexpress data submission file.
Structure Level Pattern Image Note
TS23: trigeminal ganglion Strong Regionally restricted euxassay_003497_17
TS23: vestibulo-cochlear ganglion Strong Regionally restricted euxassay_003497_17
TS23: vagus ganglion Strong Regionally restricted euxassay_003497_17
TS23: dorsal root ganglion Strong Regionally restricted euxassay_003497_17
TS23: diencephalon Moderate Uniform euxassay_003497_17
TS23: telencephalon Moderate Uniform euxassay_003497_17
TS23: hindbrain Moderate Uniform euxassay_003497_17
TS23: midbrain Moderate Uniform euxassay_003497_17
TS23: spinal cord Moderate Uniform euxassay_003497_17
TS23: submandibular gland primordium Moderate Regionally restricted euxassay_003497_17
TS23: olfactory epithelium Moderate Regionally restricted euxassay_003497_17
TS23: cervical ganglion Strong Regionally restricted euxassay_003497_17
TS23: cervico-thoracic ganglion Strong Regionally restricted euxassay_003497_17
TS23: lower jaw incisor Moderate Regionally restricted euxassay_003497_17
TS23: midgut Moderate Regionally restricted euxassay_003497_17 smooth muscle
TS23: hindgut Moderate Regionally restricted euxassay_003497_17 smooth muscle
TS23: smooth muscle tissue Present euxassay_003497_17
TS23: glans of male genital tubercle Strong Regionally restricted euxassay_003497_17

Specimen euxassay_003497_18: embryonic day 14.5 (more )
Note: Additional information for this specimen was included in the Eurexpress data submission file.
Structure Level Pattern Image Note
TS23: trigeminal ganglion Strong Regionally restricted euxassay_003497_18
TS23: glossopharyngeal ganglion Strong Regionally restricted euxassay_003497_18
TS23: vestibulo-cochlear ganglion Strong Regionally restricted euxassay_003497_18
TS23: dorsal root ganglion Strong Regionally restricted euxassay_003497_18
TS23: midbrain Moderate Uniform euxassay_003497_18
TS23: hindbrain Moderate Uniform euxassay_003497_18
TS23: telencephalon Moderate Uniform euxassay_003497_18
TS23: spinal cord Moderate Uniform euxassay_003497_18
TS23: submandibular gland primordium Strong Regionally restricted euxassay_003497_18
TS23: olfactory epithelium Moderate Regionally restricted euxassay_003497_18
TS23: midgut Moderate Regionally restricted euxassay_003497_18 smooth muscle
TS23: hindgut Moderate Regionally restricted euxassay_003497_18 smooth muscle
TS23: smooth muscle tissue Present euxassay_003497_18

Specimen euxassay_003497_19: embryonic day 14.5 (more )
Note: Additional information for this specimen was included in the Eurexpress data submission file.
Structure Level Pattern Image Note
TS23: trigeminal ganglion Strong Regionally restricted euxassay_003497_19
TS23: glossopharyngeal ganglion Strong Regionally restricted euxassay_003497_19
TS23: vestibulo-cochlear ganglion Strong Regionally restricted euxassay_003497_19
TS23: dorsal root ganglion Strong Regionally restricted euxassay_003497_19
TS23: telencephalon Moderate Uniform euxassay_003497_19
TS23: hindbrain Moderate Uniform euxassay_003497_19
TS23: vibrissa Moderate Regionally restricted euxassay_003497_19
TS23: submandibular gland primordium Strong Regionally restricted euxassay_003497_19
TS23: olfactory epithelium Moderate Regionally restricted euxassay_003497_19
TS23: midgut Moderate Regionally restricted euxassay_003497_19 smooth muscle
TS23: smooth muscle tissue Present euxassay_003497_19

Specimen euxassay_003497_20: embryonic day 14.5 (more )
Structure Level Pattern Image Note
TS23: trigeminal ganglion Strong Regionally restricted euxassay_003497_20
TS23: facial ganglion Strong Regionally restricted euxassay_003497_20
TS23: hindbrain Moderate Uniform euxassay_003497_20
TS23: telencephalon Moderate Uniform euxassay_003497_20
TS23: vibrissa Moderate Regionally restricted euxassay_003497_20
TS23: submandibular gland primordium Moderate Regionally restricted euxassay_003497_20

Specimen euxassay_003497_21: embryonic day 14.5 (more )
Structure Level Pattern Image Note
TS23: trigeminal ganglion Strong Regionally restricted euxassay_003497_21
TS23: facial ganglion Strong Regionally restricted euxassay_003497_21
TS23: telencephalon Moderate Uniform euxassay_003497_21
TS23: hindbrain Moderate Uniform euxassay_003497_21
TS23: vibrissa Moderate Regionally restricted euxassay_003497_21
TS23: testis Strong Regionally restricted euxassay_003497_21

Specimen euxassay_003497_22: embryonic day 14.5 (more )
Structure Level Pattern Image Note
TS23: trigeminal ganglion Strong Regionally restricted euxassay_003497_22
TS23: telencephalon Moderate Uniform euxassay_003497_22
TS23: vibrissa Moderate Regionally restricted euxassay_003497_22
TS23: testis Strong Regionally restricted euxassay_003497_22

Specimen euxassay_003497_23: embryonic day 14.5 (more )
Structure Level Pattern Image Note
TS23: telencephalon Moderate Uniform euxassay_003497_23
TS23: vibrissa Moderate Regionally restricted euxassay_003497_23
TS23: testis Strong Regionally restricted euxassay_003497_23
TS23: neural retina Strong Regionally restricted euxassay_003497_23


Contributing Projects:
Mouse Genome Database (MGD), Gene Expression Database (GXD), Mouse Models of Human Cancer database (MMHCdb) (formerly Mouse Tumor Biology (MTB)), Gene Ontology (GO)
Citing These Resources
Funding Information
Warranty Disclaimer, Privacy Notice, Licensing, & Copyright
Send questions and comments to User Support.
last database update
12/30/2025
MGI 6.24
The Jackson Laboratory