About   Help   FAQ
Gene Expression Data
Assay Details
Assay
Reference: J:153498 Diez-Roux G, et al., A high-resolution anatomical atlas of the transcriptome in the mouse embryo. PLoS Biol. 2011;9(1):e1000582
Assay type: RNA in situ
MGI Accession ID: MGI:4828340
Gene symbol: Smyd5
Gene name: SET and MYND domain containing 5
Probe: MGC clone 29044
Probe preparation: Antisense labelled with digoxigenin RNA
Visualized with: Alkaline phosphatase
Assay notes: Cryosections of fresh frozen material were fixed in 4% paraformaldehyde for 20 min. before further processing. A tyramide-biotin/streptavidin amplification step was included in the in situ hybridization procedure.
Results
Specimen euxassay_003632_02: embryonic day 14.5 (more )
Structure Level Pattern Image Note
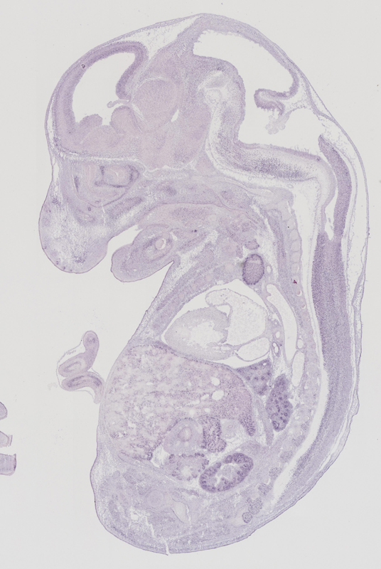
TS23: axial musculature Moderate Regionally restricted euxassay_003632_02

Specimen euxassay_003632_03: embryonic day 14.5 (more )
Structure Level Pattern Image Note
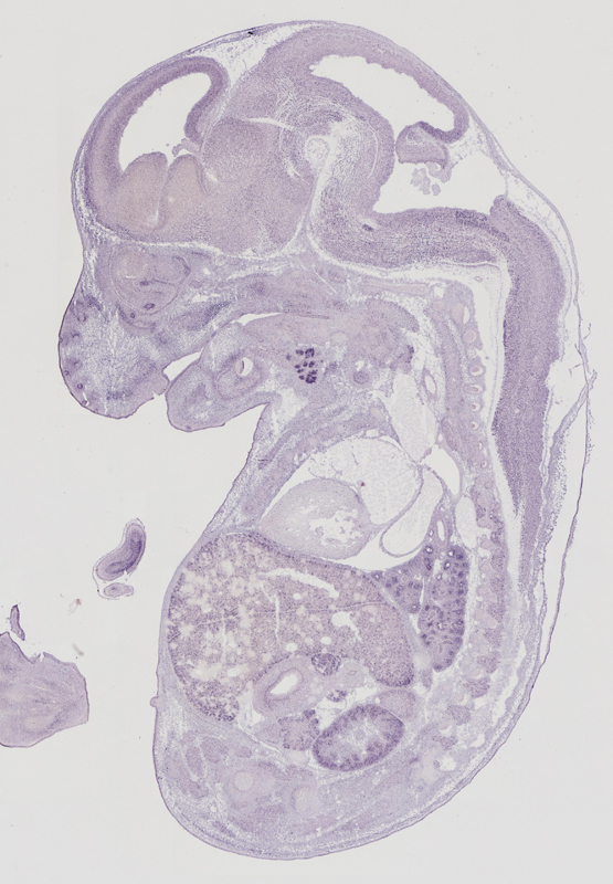
TS23: axial musculature Moderate Regionally restricted euxassay_003632_03

Specimen euxassay_003632_04: embryonic day 14.5 (more )
Structure Level Pattern Image Note
TS23: axial musculature Moderate Regionally restricted euxassay_003632_04

Specimen euxassay_003632_05: embryonic day 14.5 (more )
Structure Level Pattern Image Note
TS23: axial musculature Moderate Regionally restricted euxassay_003632_05

Specimen euxassay_003632_06: embryonic day 14.5 (more )
Note: Additional information for this specimen was included in the Eurexpress data submission file.
Structure Level Pattern Image Note
TS23: pons mantle layer Weak Regionally restricted euxassay_003632_06 trigeminal motor nucleus

Specimen euxassay_003632_07: embryonic day 14.5 (more )
Note: Additional information for this specimen was included in the Eurexpress data submission file.
Structure Level Pattern Image Note
TS23: submandibular gland primordium Strong Regionally restricted euxassay_003632_07
TS23: medulla oblongata basal plate mantle layer Moderate Regionally restricted euxassay_003632_07 facial motor nucleus

Specimen euxassay_003632_08: embryonic day 14.5 (more )
Note: Additional information for this specimen was included in the Eurexpress data submission file.
Structure Level Pattern Image Note
TS23: submandibular gland primordium Strong Regionally restricted euxassay_003632_08
TS23: medulla oblongata basal plate mantle layer Weak Regionally restricted euxassay_003632_08 facial motor nucleus

Specimen euxassay_003632_09: embryonic day 14.5 (more )
Structure Level Pattern Image Note
TS23: submandibular gland primordium Strong Regionally restricted euxassay_003632_09

Specimen euxassay_003632_10: embryonic day 14.5 (more )
Structure Level Pattern Image Note
TS23: thymus primordium Weak Regionally restricted euxassay_003632_10

Specimen euxassay_003632_11: embryonic day 14.5 (more )
Structure Level Pattern Image Note
TS23: thymus primordium Weak Regionally restricted euxassay_003632_11
TS23: lower jaw incisor Weak Regionally restricted euxassay_003632_11

Specimen euxassay_003632_12: embryonic day 14.5 (more )
Structure Level Pattern Image Note
TS23: thymus primordium Weak Regionally restricted euxassay_003632_12

Specimen euxassay_003632_13: embryonic day 14.5 (more )
Structure Level Pattern Image Note
TS23: thymus primordium Weak Regionally restricted euxassay_003632_13
TS23: upper jaw incisor Weak Regionally restricted euxassay_003632_13
TS23: lower jaw incisor Weak Regionally restricted euxassay_003632_13

Specimen euxassay_003632_14: embryonic day 14.5 (more )
Note: Additional information for this specimen was included in the Eurexpress data submission file.
Structure Level Pattern Image Note
TS23: medulla oblongata basal plate mantle layer Weak Regionally restricted euxassay_003632_14 facial motor nucleus
TS23: thymus primordium Weak Regionally restricted euxassay_003632_14
TS23: upper jaw incisor Weak Regionally restricted euxassay_003632_14

Specimen euxassay_003632_15: embryonic day 14.5 (more )
Note: Additional information for this specimen was included in the Eurexpress data submission file.
Structure Level Pattern Image Note
TS23: medulla oblongata basal plate mantle layer Moderate Regionally restricted euxassay_003632_15 facial motor nucleus

Specimen euxassay_003632_16: embryonic day 14.5 (more )
Note: Additional information for this specimen was included in the Eurexpress data submission file.
Structure Level Pattern Image Note
TS23: submandibular gland primordium Strong Regionally restricted euxassay_003632_16
TS23: pons mantle layer Weak Regionally restricted euxassay_003632_16 trigeminal motor nucleus
TS23: lower jaw incisor Weak Regionally restricted euxassay_003632_16

Specimen euxassay_003632_17: embryonic day 14.5 (more )
Structure Level Pattern Image Note
TS23: submandibular gland primordium Strong Regionally restricted euxassay_003632_17
TS23: axial musculature Moderate Regionally restricted euxassay_003632_17
TS23: upper jaw incisor Weak Regionally restricted euxassay_003632_17
TS23: lower jaw incisor Weak Regionally restricted euxassay_003632_17

Specimen euxassay_003632_18: embryonic day 14.5 (more )
Structure Level Pattern Image Note
TS23: submandibular gland primordium Strong Regionally restricted euxassay_003632_18
TS23: axial musculature Moderate Regionally restricted euxassay_003632_18
TS23: upper jaw incisor Weak Regionally restricted euxassay_003632_18

Specimen euxassay_003632_19: embryonic day 14.5 (more )
Structure Level Pattern Image Note
TS23: submandibular gland primordium Strong Regionally restricted euxassay_003632_19
TS23: axial musculature Moderate Regionally restricted euxassay_003632_19

Specimen euxassay_003632_20: embryonic day 14.5 (more )
Structure Level Pattern Image Note
TS23: submandibular gland primordium Strong Regionally restricted euxassay_003632_20
TS23: axial musculature Weak Regionally restricted euxassay_003632_20


Contributing Projects:
Mouse Genome Database (MGD), Gene Expression Database (GXD), Mouse Models of Human Cancer database (MMHCdb) (formerly Mouse Tumor Biology (MTB)), Gene Ontology (GO)
Citing These Resources
Funding Information
Warranty Disclaimer, Privacy Notice, Licensing, & Copyright
Send questions and comments to User Support.
last database update
01/20/2026
MGI 6.24
The Jackson Laboratory