About   Help   FAQ
Gene Expression Data
Assay Details
Assay
Reference: J:153498 Diez-Roux G, et al., A high-resolution anatomical atlas of the transcriptome in the mouse embryo. PLoS Biol. 2011;9(1):e1000582
Assay type: RNA in situ
MGI Accession ID: MGI:4828334
Gene symbol: Smpx
Gene name: small muscle protein, X-linked
Probe: MGC clone 74162
Probe preparation: Antisense labelled with digoxigenin RNA
Visualized with: Alkaline phosphatase
Assay notes: Cryosections of fresh frozen material were fixed in 4% paraformaldehyde for 20 min. before further processing. A tyramide-biotin/streptavidin amplification step was included in the in situ hybridization procedure.
Results
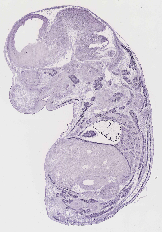
Specimen euxassay_006968_01: embryonic day 14.5 (more )
Structure Level Pattern Image Note
TS23: vertebral axis musculature Strong Regionally restricted euxassay_006968_01
TS23: diaphragm Strong Regionally restricted euxassay_006968_01
TS23: lower leg rest of mesenchyme Strong Regionally restricted euxassay_006968_01
TS23: upper leg muscle Strong Regionally restricted euxassay_006968_01
TS23: hand Strong Regionally restricted euxassay_006968_01
TS23: upper arm muscle Strong Regionally restricted euxassay_006968_01
TS23: forearm rest of mesenchyme Strong Regionally restricted euxassay_006968_01

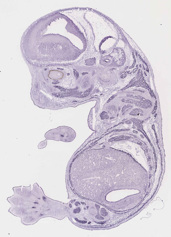
Specimen euxassay_006968_02: embryonic day 14.5 (more )
Structure Level Pattern Image Note
TS23: diaphragm Strong Regionally restricted euxassay_006968_02
TS23: vertebral axis musculature Strong Regionally restricted euxassay_006968_02
TS23: eye skeletal muscle Strong Regionally restricted euxassay_006968_02
TS23: upper leg muscle Strong Regionally restricted euxassay_006968_02
TS23: lower leg rest of mesenchyme Strong Regionally restricted euxassay_006968_02
TS23: foot Strong Regionally restricted euxassay_006968_02
TS23: forearm rest of mesenchyme Strong Regionally restricted euxassay_006968_02
TS23: upper arm muscle Strong Regionally restricted euxassay_006968_02
TS23: hand Strong Regionally restricted euxassay_006968_02

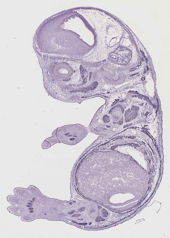
Specimen euxassay_006968_03: embryonic day 14.5 (more )
Structure Level Pattern Image Note
TS23: diaphragm Strong Regionally restricted euxassay_006968_03
TS23: vertebral axis musculature Strong Regionally restricted euxassay_006968_03
TS23: eye skeletal muscle Strong Regionally restricted euxassay_006968_03
TS23: upper leg muscle Strong Regionally restricted euxassay_006968_03
TS23: lower leg rest of mesenchyme Strong Regionally restricted euxassay_006968_03
TS23: foot Strong Regionally restricted euxassay_006968_03
TS23: upper arm muscle Strong Regionally restricted euxassay_006968_03

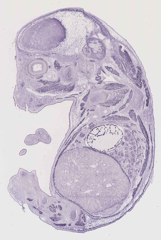
Specimen euxassay_006968_04: embryonic day 14.5 (more )
Structure Level Pattern Image Note
TS23: diaphragm Strong Regionally restricted euxassay_006968_04
TS23: vertebral axis musculature Strong Regionally restricted euxassay_006968_04
TS23: eye skeletal muscle Strong Regionally restricted euxassay_006968_04
TS23: upper leg muscle Strong Regionally restricted euxassay_006968_04
TS23: foot Strong Regionally restricted euxassay_006968_04
TS23: upper arm muscle Strong Regionally restricted euxassay_006968_04

Specimen euxassay_006968_05: embryonic day 14.5 (more )
Structure Level Pattern Image Note
TS23: diaphragm Strong Regionally restricted euxassay_006968_05
TS23: vertebral axis musculature Strong Regionally restricted euxassay_006968_05
TS23: eye skeletal muscle Strong Regionally restricted euxassay_006968_05
TS23: upper leg muscle Strong Regionally restricted euxassay_006968_05
TS23: upper arm muscle Strong Regionally restricted euxassay_006968_05
TS23: heart atrium Strong Regionally restricted euxassay_006968_05

Specimen euxassay_006968_06: embryonic day 14.5 (more )
Structure Level Pattern Image Note
TS23: diaphragm Strong Regionally restricted euxassay_006968_06
TS23: vertebral axis musculature Strong Regionally restricted euxassay_006968_06
TS23: eye skeletal muscle Strong Regionally restricted euxassay_006968_06
TS23: upper leg muscle Strong Regionally restricted euxassay_006968_06
TS23: upper arm muscle Strong Regionally restricted euxassay_006968_06
TS23: heart atrium Strong Regionally restricted euxassay_006968_06

Specimen euxassay_006968_07: embryonic day 14.5 (more )
Structure Level Pattern Image Note
TS23: diaphragm Strong Regionally restricted euxassay_006968_07
TS23: vertebral axis musculature Strong Regionally restricted euxassay_006968_07
TS23: upper leg muscle Strong Regionally restricted euxassay_006968_07
TS23: upper arm muscle Strong Regionally restricted euxassay_006968_07
TS23: heart atrium Strong Regionally restricted euxassay_006968_07
TS23: heart ventricle Strong Regionally restricted euxassay_006968_07

Specimen euxassay_006968_08: embryonic day 14.5 (more )
Structure Level Pattern Image Note
TS23: diaphragm Strong Regionally restricted euxassay_006968_08
TS23: vertebral axis musculature Strong Regionally restricted euxassay_006968_08
TS23: tail paraxial mesenchyme Strong Regionally restricted euxassay_006968_08
TS23: heart atrium Strong Regionally restricted euxassay_006968_08
TS23: heart ventricle Strong Regionally restricted euxassay_006968_08

Specimen euxassay_006968_09: embryonic day 14.5 (more )
Structure Level Pattern Image Note
TS23: diaphragm Strong Regionally restricted euxassay_006968_09
TS23: vertebral axis musculature Strong Regionally restricted euxassay_006968_09
TS23: tail paraxial mesenchyme Strong Regionally restricted euxassay_006968_09
TS23: heart atrium Strong Regionally restricted euxassay_006968_09
TS23: heart ventricle Strong Regionally restricted euxassay_006968_09
TS23: tongue muscle Strong Regionally restricted euxassay_006968_09

Specimen euxassay_006968_10: embryonic day 14.5 (more )
Structure Level Pattern Image Note
TS23: diaphragm Strong Regionally restricted euxassay_006968_10
TS23: vertebral axis musculature Strong Regionally restricted euxassay_006968_10
TS23: tail paraxial mesenchyme Strong Regionally restricted euxassay_006968_10
TS23: heart atrium Strong Regionally restricted euxassay_006968_10
TS23: heart ventricle Strong Regionally restricted euxassay_006968_10
TS23: tongue muscle Strong Regionally restricted euxassay_006968_10

Specimen euxassay_006968_11: embryonic day 14.5 (more )
Structure Level Pattern Image Note
TS23: diaphragm Strong Regionally restricted euxassay_006968_11
TS23: vertebral axis musculature Strong Regionally restricted euxassay_006968_11
TS23: tail paraxial mesenchyme Strong Regionally restricted euxassay_006968_11
TS23: heart atrium Strong Regionally restricted euxassay_006968_11
TS23: heart ventricle Strong Regionally restricted euxassay_006968_11
TS23: tongue muscle Strong Regionally restricted euxassay_006968_11

Specimen euxassay_006968_12: embryonic day 14.5 (more )
Structure Level Pattern Image Note
TS23: diaphragm Strong Regionally restricted euxassay_006968_12
TS23: vertebral axis musculature Strong Regionally restricted euxassay_006968_12
TS23: tail paraxial mesenchyme Strong Regionally restricted euxassay_006968_12
TS23: heart atrium Strong Regionally restricted euxassay_006968_12
TS23: heart ventricle Strong Regionally restricted euxassay_006968_12
TS23: tongue muscle Strong Regionally restricted euxassay_006968_12

Specimen euxassay_006968_13: embryonic day 14.5 (more )
Structure Level Pattern Image Note
TS23: diaphragm Strong Regionally restricted euxassay_006968_13
TS23: vertebral axis musculature Strong Regionally restricted euxassay_006968_13
TS23: tail paraxial mesenchyme Strong Regionally restricted euxassay_006968_13
TS23: heart atrium Strong Regionally restricted euxassay_006968_13
TS23: heart ventricle Strong Regionally restricted euxassay_006968_13
TS23: tongue muscle Strong Regionally restricted euxassay_006968_13

Specimen euxassay_006968_14: embryonic day 14.5 (more )
Structure Level Pattern Image Note
TS23: diaphragm Strong Regionally restricted euxassay_006968_14
TS23: vertebral axis musculature Strong Regionally restricted euxassay_006968_14
TS23: tail paraxial mesenchyme Strong Regionally restricted euxassay_006968_14
TS23: heart ventricle Strong Regionally restricted euxassay_006968_14
TS23: tongue muscle Strong Regionally restricted euxassay_006968_14

Specimen euxassay_006968_15: embryonic day 14.5 (more )
Structure Level Pattern Image Note
TS23: diaphragm Strong Regionally restricted euxassay_006968_15
TS23: vertebral axis musculature Strong Regionally restricted euxassay_006968_15
TS23: tail paraxial mesenchyme Strong Regionally restricted euxassay_006968_15
TS23: heart ventricle Strong Regionally restricted euxassay_006968_15
TS23: tongue muscle Strong Regionally restricted euxassay_006968_15

Specimen euxassay_006968_16: embryonic day 14.5 (more )
Structure Level Pattern Image Note
TS23: diaphragm Strong Regionally restricted euxassay_006968_16
TS23: vertebral axis musculature Strong Regionally restricted euxassay_006968_16
TS23: upper leg muscle Strong Regionally restricted euxassay_006968_16
TS23: tail paraxial mesenchyme Strong Regionally restricted euxassay_006968_16
TS23: heart ventricle Strong Regionally restricted euxassay_006968_16
TS23: tongue muscle Strong Regionally restricted euxassay_006968_16

Specimen euxassay_006968_17: embryonic day 14.5 (more )
Structure Level Pattern Image Note
TS23: diaphragm Strong Regionally restricted euxassay_006968_17
TS23: vertebral axis musculature Strong Regionally restricted euxassay_006968_17
TS23: upper leg muscle Strong Regionally restricted euxassay_006968_17
TS23: heart ventricle Strong Regionally restricted euxassay_006968_17
TS23: heart atrium Strong Regionally restricted euxassay_006968_17

Specimen euxassay_006968_18: embryonic day 14.5 (more )
Structure Level Pattern Image Note
TS23: diaphragm Strong Regionally restricted euxassay_006968_18
TS23: vertebral axis musculature Strong Regionally restricted euxassay_006968_18
TS23: upper leg muscle Strong Regionally restricted euxassay_006968_18
TS23: heart atrium Strong Regionally restricted euxassay_006968_18
TS23: heart ventricle Strong Regionally restricted euxassay_006968_18

Specimen euxassay_006968_19: embryonic day 14.5 (more )
Structure Level Pattern Image Note
TS23: diaphragm Strong Regionally restricted euxassay_006968_19
TS23: vertebral axis musculature Strong Regionally restricted euxassay_006968_19
TS23: eye skeletal muscle Strong Regionally restricted euxassay_006968_19
TS23: foot Strong Regionally restricted euxassay_006968_19
TS23: upper leg muscle Strong Regionally restricted euxassay_006968_19
TS23: heart atrium Strong Regionally restricted euxassay_006968_19
TS23: heart ventricle Strong Regionally restricted euxassay_006968_19

Specimen euxassay_006968_20: embryonic day 14.5 (more )
Structure Level Pattern Image Note
TS23: diaphragm Strong Regionally restricted euxassay_006968_20
TS23: vertebral axis musculature Strong Regionally restricted euxassay_006968_20
TS23: eye skeletal muscle Strong Regionally restricted euxassay_006968_20
TS23: upper leg muscle Strong Regionally restricted euxassay_006968_20
TS23: lower leg rest of mesenchyme Strong Regionally restricted euxassay_006968_20
TS23: foot Strong Regionally restricted euxassay_006968_20
TS23: heart atrium Strong Regionally restricted euxassay_006968_20

Specimen euxassay_006968_21: embryonic day 14.5 (more )
Structure Level Pattern Image Note
TS23: diaphragm Strong Regionally restricted euxassay_006968_21
TS23: vertebral axis musculature Strong Regionally restricted euxassay_006968_21
TS23: eye skeletal muscle Strong Regionally restricted euxassay_006968_21
TS23: upper leg muscle Strong Regionally restricted euxassay_006968_21
TS23: lower leg rest of mesenchyme Strong Regionally restricted euxassay_006968_21
TS23: foot Strong Regionally restricted euxassay_006968_21
TS23: heart atrium Strong Regionally restricted euxassay_006968_21

Specimen euxassay_006968_22: embryonic day 14.5 (more )
Structure Level Pattern Image Note
TS23: diaphragm Strong Regionally restricted euxassay_006968_22
TS23: vertebral axis musculature Strong Regionally restricted euxassay_006968_22
TS23: eye skeletal muscle Strong Regionally restricted euxassay_006968_22
TS23: upper leg muscle Strong Regionally restricted euxassay_006968_22
TS23: lower leg rest of mesenchyme Strong Regionally restricted euxassay_006968_22
TS23: heart atrium Strong Regionally restricted euxassay_006968_22

Specimen euxassay_006968_23: embryonic day 14.5 (more )
Structure Level Pattern Image Note
TS23: diaphragm Strong Regionally restricted euxassay_006968_23
TS23: vertebral axis musculature Strong Regionally restricted euxassay_006968_23
TS23: upper leg muscle Strong Regionally restricted euxassay_006968_23
TS23: lower leg rest of mesenchyme Strong Regionally restricted euxassay_006968_23
TS23: upper arm muscle Strong Regionally restricted euxassay_006968_23
TS23: heart atrium Strong Regionally restricted euxassay_006968_23


Contributing Projects:
Mouse Genome Database (MGD), Gene Expression Database (GXD), Mouse Models of Human Cancer database (MMHCdb) (formerly Mouse Tumor Biology (MTB)), Gene Ontology (GO)
Citing These Resources
Funding Information
Warranty Disclaimer, Privacy Notice, Licensing, & Copyright
Send questions and comments to User Support.
last database update
12/30/2025
MGI 6.24
The Jackson Laboratory