About   Help   FAQ
Gene Expression Data
Assay Details
Assay
Reference: J:153498 Diez-Roux G, et al., A high-resolution anatomical atlas of the transcriptome in the mouse embryo. PLoS Biol. 2011;9(1):e1000582
Assay type: RNA in situ
MGI Accession ID: MGI:4828284
Gene symbol: Slc8a1
Gene name: solute carrier family 8 (sodium/calcium exchanger), member 1
Probe: T39362
Probe preparation: Antisense labelled with digoxigenin RNA
Visualized with: Alkaline phosphatase
Assay notes: Cryosections of fresh frozen material were fixed in 4% paraformaldehyde for 20 min. before further processing. A tyramide-biotin/streptavidin amplification step was included in the in situ hybridization procedure.
Results
Specimen Table S6: embryonic day 14.5 (more )
Note: The probe used to generate this data was not specified; another gene-specific probe may have been used.
Structure Level Pattern Image Note
TS23: cerebral cortex Moderate
TS23: thalamus Weak
TS23: hypothalamus Weak
TS23: midbrain Moderate
TS23: cerebellum Weak
TS23: pons Moderate
TS23: medulla oblongata Moderate

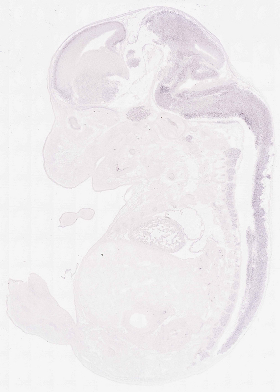
Specimen euxassay_013100_01: embryonic day 14.5 (more )
Structure Level Pattern Image Note
TS23: telencephalon mantle layer Moderate Regionally restricted euxassay_013100_01
TS23: telencephalon marginal layer Moderate Regionally restricted euxassay_013100_01
TS23: rest of cerebellum mantle layer Moderate Regionally restricted euxassay_013100_01
TS23: pons mantle layer Moderate Regionally restricted euxassay_013100_01
TS23: neural retina Weak Regionally restricted euxassay_013100_01

Specimen euxassay_013100_02: embryonic day 14.5 (more )
Structure Level Pattern Image Note
TS23: telencephalon mantle layer Moderate Regionally restricted euxassay_013100_02
TS23: telencephalon marginal layer Moderate Regionally restricted euxassay_013100_02
TS23: pons mantle layer Moderate Regionally restricted euxassay_013100_02
TS23: rest of cerebellum mantle layer Moderate Regionally restricted euxassay_013100_02
TS23: trigeminal ganglion Moderate Regionally restricted euxassay_013100_02
TS23: facial ganglion Moderate Regionally restricted euxassay_013100_02
TS23: neural retina Weak Regionally restricted euxassay_013100_02
TS23: heart atrium Weak Regionally restricted euxassay_013100_02

Specimen euxassay_013100_03: embryonic day 14.5 (more )
Structure Level Pattern Image Note
TS23: telencephalon mantle layer Moderate Regionally restricted euxassay_013100_03
TS23: midbrain mantle layer Moderate Regionally restricted euxassay_013100_03
TS23: telencephalon marginal layer Moderate Regionally restricted euxassay_013100_03
TS23: pons mantle layer Moderate Regionally restricted euxassay_013100_03
TS23: rest of cerebellum mantle layer Moderate Regionally restricted euxassay_013100_03
TS23: trigeminal ganglion Moderate Regionally restricted euxassay_013100_03
TS23: facial ganglion Moderate Regionally restricted euxassay_013100_03
TS23: neural retina Weak Regionally restricted euxassay_013100_03
TS23: heart atrium Weak Regionally restricted euxassay_013100_03

Specimen euxassay_013100_04: embryonic day 14.5 (more )
Structure Level Pattern Image Note
TS23: telencephalon mantle layer Moderate Regionally restricted euxassay_013100_04
TS23: midbrain mantle layer Moderate Regionally restricted euxassay_013100_04
TS23: telencephalon marginal layer Moderate Regionally restricted euxassay_013100_04
TS23: pons mantle layer Moderate Regionally restricted euxassay_013100_04
TS23: rest of cerebellum mantle layer Moderate Regionally restricted euxassay_013100_04
TS23: medulla oblongata alar plate mantle layer Moderate Regionally restricted euxassay_013100_04
TS23: medulla oblongata basal plate mantle layer Moderate Regionally restricted euxassay_013100_04
TS23: dorsal root ganglion Weak Regionally restricted euxassay_013100_04
TS23: trigeminal ganglion Weak Regionally restricted euxassay_013100_04
TS23: facial ganglion Weak Regionally restricted euxassay_013100_04
TS23: vestibulo-cochlear ganglion Weak Regionally restricted euxassay_013100_04
TS23: glossopharyngeal ganglion Weak Regionally restricted euxassay_013100_04
TS23: heart ventricle Weak Regionally restricted euxassay_013100_04
TS23: heart atrium Weak Regionally restricted euxassay_013100_04

Specimen euxassay_013100_05: embryonic day 14.5 (more )
Structure Level Pattern Image Note
TS23: midbrain mantle layer Moderate Regionally restricted euxassay_013100_05
TS23: telencephalon mantle layer Moderate Regionally restricted euxassay_013100_05
TS23: telencephalon marginal layer Moderate Regionally restricted euxassay_013100_05
TS23: medulla oblongata alar plate mantle layer Moderate Regionally restricted euxassay_013100_05
TS23: medulla oblongata basal plate mantle layer Moderate Regionally restricted euxassay_013100_05
TS23: rest of cerebellum mantle layer Moderate Regionally restricted euxassay_013100_05
TS23: pons mantle layer Moderate Regionally restricted euxassay_013100_05
TS23: spinal cord mantle layer Moderate Regionally restricted euxassay_013100_05
TS23: dorsal root ganglion Moderate Regionally restricted euxassay_013100_05
TS23: trigeminal ganglion Moderate Regionally restricted euxassay_013100_05
TS23: vestibulo-cochlear ganglion Moderate Regionally restricted euxassay_013100_05
TS23: glossopharyngeal ganglion Moderate Regionally restricted euxassay_013100_05
TS23: facial ganglion Moderate Regionally restricted euxassay_013100_05
TS23: vagus ganglion Moderate Regionally restricted euxassay_013100_05
TS23: heart ventricle Weak Regionally restricted euxassay_013100_05
TS23: heart atrium Weak Regionally restricted euxassay_013100_05

Specimen euxassay_013100_06: embryonic day 14.5 (more )
Structure Level Pattern Image Note
TS23: telencephalon mantle layer Moderate Regionally restricted euxassay_013100_06
TS23: midbrain mantle layer Moderate Regionally restricted euxassay_013100_06
TS23: diencephalon lateral wall mantle layer Moderate Regionally restricted euxassay_013100_06
TS23: telencephalon marginal layer Moderate Regionally restricted euxassay_013100_06
TS23: medulla oblongata alar plate mantle layer Moderate Regionally restricted euxassay_013100_06
TS23: medulla oblongata basal plate mantle layer Moderate Regionally restricted euxassay_013100_06
TS23: rest of cerebellum mantle layer Moderate Regionally restricted euxassay_013100_06
TS23: pons mantle layer Moderate Regionally restricted euxassay_013100_06
TS23: spinal cord mantle layer Moderate Regionally restricted euxassay_013100_06
TS23: dorsal root ganglion Moderate Regionally restricted euxassay_013100_06
TS23: trigeminal ganglion Moderate Regionally restricted euxassay_013100_06
TS23: vagus ganglion Moderate Regionally restricted euxassay_013100_06
TS23: vestibulo-cochlear ganglion Moderate Regionally restricted euxassay_013100_06
TS23: heart ventricle Weak Regionally restricted euxassay_013100_06
TS23: heart atrium Weak Regionally restricted euxassay_013100_06

Specimen euxassay_013100_07: embryonic day 14.5 (more )
Structure Level Pattern Image Note
TS23: diencephalon lateral wall mantle layer Moderate Regionally restricted euxassay_013100_07
TS23: telencephalon mantle layer Moderate Regionally restricted euxassay_013100_07
TS23: midbrain mantle layer Moderate Regionally restricted euxassay_013100_07
TS23: telencephalon marginal layer Moderate Regionally restricted euxassay_013100_07
TS23: medulla oblongata alar plate mantle layer Moderate Regionally restricted euxassay_013100_07
TS23: medulla oblongata basal plate mantle layer Moderate Regionally restricted euxassay_013100_07
TS23: rest of cerebellum mantle layer Moderate Regionally restricted euxassay_013100_07
TS23: pons mantle layer Moderate Regionally restricted euxassay_013100_07
TS23: spinal cord mantle layer Moderate Regionally restricted euxassay_013100_07
TS23: dorsal root ganglion Moderate Regionally restricted euxassay_013100_07
TS23: trigeminal ganglion Moderate Regionally restricted euxassay_013100_07
TS23: heart ventricle Weak Regionally restricted euxassay_013100_07
TS23: heart atrium Weak Regionally restricted euxassay_013100_07

Specimen euxassay_013100_08: embryonic day 14.5 (more )
Structure Level Pattern Image Note
TS23: diencephalon lateral wall mantle layer Moderate Regionally restricted euxassay_013100_08
TS23: telencephalon mantle layer Moderate Regionally restricted euxassay_013100_08
TS23: midbrain mantle layer Moderate Regionally restricted euxassay_013100_08
TS23: telencephalon marginal layer Moderate Regionally restricted euxassay_013100_08
TS23: medulla oblongata alar plate mantle layer Moderate Regionally restricted euxassay_013100_08
TS23: medulla oblongata basal plate mantle layer Moderate Regionally restricted euxassay_013100_08
TS23: rest of cerebellum mantle layer Moderate Regionally restricted euxassay_013100_08
TS23: pons mantle layer Moderate Regionally restricted euxassay_013100_08
TS23: spinal cord mantle layer Moderate Regionally restricted euxassay_013100_08
TS23: dorsal root ganglion Moderate Regionally restricted euxassay_013100_08
TS23: heart ventricle Weak Regionally restricted euxassay_013100_08
TS23: heart atrium Weak Regionally restricted euxassay_013100_08

Specimen euxassay_013100_09: embryonic day 14.5 (more )
Structure Level Pattern Image Note
TS23: diencephalon lateral wall mantle layer Moderate Regionally restricted euxassay_013100_09
TS23: telencephalon mantle layer Moderate Regionally restricted euxassay_013100_09
TS23: midbrain mantle layer Moderate Regionally restricted euxassay_013100_09
TS23: telencephalon marginal layer Moderate Regionally restricted euxassay_013100_09
TS23: medulla oblongata alar plate mantle layer Moderate Regionally restricted euxassay_013100_09
TS23: medulla oblongata basal plate mantle layer Moderate Regionally restricted euxassay_013100_09
TS23: rest of cerebellum mantle layer Moderate Regionally restricted euxassay_013100_09
TS23: pons mantle layer Moderate Regionally restricted euxassay_013100_09
TS23: spinal cord mantle layer Moderate Regionally restricted euxassay_013100_09
TS23: dorsal root ganglion Moderate Regionally restricted euxassay_013100_09
TS23: heart ventricle Weak Regionally restricted euxassay_013100_09
TS23: heart atrium Weak Regionally restricted euxassay_013100_09

Specimen euxassay_013100_10: embryonic day 14.5 (more )
Structure Level Pattern Image Note
TS23: diencephalon lateral wall mantle layer Moderate Regionally restricted euxassay_013100_10
TS23: telencephalon mantle layer Moderate Regionally restricted euxassay_013100_10
TS23: midbrain mantle layer Moderate Regionally restricted euxassay_013100_10
TS23: telencephalon marginal layer Moderate Regionally restricted euxassay_013100_10
TS23: medulla oblongata alar plate mantle layer Moderate Regionally restricted euxassay_013100_10
TS23: medulla oblongata basal plate mantle layer Moderate Regionally restricted euxassay_013100_10
TS23: rest of cerebellum mantle layer Moderate Regionally restricted euxassay_013100_10
TS23: pons mantle layer Moderate Regionally restricted euxassay_013100_10
TS23: spinal cord mantle layer Moderate Regionally restricted euxassay_013100_10
TS23: heart ventricle Weak Regionally restricted euxassay_013100_10
TS23: heart atrium Weak Regionally restricted euxassay_013100_10

Specimen euxassay_013100_11: embryonic day 14.5 (more )
Structure Level Pattern Image Note
TS23: diencephalon lateral wall mantle layer Moderate Regionally restricted euxassay_013100_11
TS23: telencephalon mantle layer Moderate Regionally restricted euxassay_013100_11
TS23: midbrain mantle layer Moderate Regionally restricted euxassay_013100_11
TS23: telencephalon marginal layer Moderate Regionally restricted euxassay_013100_11
TS23: medulla oblongata alar plate mantle layer Moderate Regionally restricted euxassay_013100_11
TS23: medulla oblongata basal plate mantle layer Moderate Regionally restricted euxassay_013100_11
TS23: rest of cerebellum mantle layer Moderate Regionally restricted euxassay_013100_11
TS23: pons mantle layer Moderate Regionally restricted euxassay_013100_11
TS23: spinal cord mantle layer Moderate Regionally restricted euxassay_013100_11
TS23: heart ventricle Weak Regionally restricted euxassay_013100_11
TS23: heart atrium Weak Regionally restricted euxassay_013100_11

Specimen euxassay_013100_12: embryonic day 14.5 (more )
Structure Level Pattern Image Note
TS23: diencephalon lateral wall mantle layer Moderate Regionally restricted euxassay_013100_12
TS23: telencephalon mantle layer Moderate Regionally restricted euxassay_013100_12
TS23: midbrain mantle layer Moderate Regionally restricted euxassay_013100_12
TS23: telencephalon marginal layer Moderate Regionally restricted euxassay_013100_12
TS23: medulla oblongata alar plate mantle layer Moderate Regionally restricted euxassay_013100_12
TS23: medulla oblongata basal plate mantle layer Moderate Regionally restricted euxassay_013100_12
TS23: rest of cerebellum mantle layer Moderate Regionally restricted euxassay_013100_12
TS23: pons mantle layer Moderate Regionally restricted euxassay_013100_12
TS23: spinal cord mantle layer Moderate Regionally restricted euxassay_013100_12
TS23: dorsal root ganglion Weak Regionally restricted euxassay_013100_12
TS23: heart ventricle Weak Regionally restricted euxassay_013100_12
TS23: heart atrium Weak Regionally restricted euxassay_013100_12

Specimen euxassay_013100_13: embryonic day 14.5 (more )
Structure Level Pattern Image Note
TS23: diencephalon lateral wall mantle layer Moderate Regionally restricted euxassay_013100_13
TS23: telencephalon mantle layer Moderate Regionally restricted euxassay_013100_13
TS23: midbrain mantle layer Moderate Regionally restricted euxassay_013100_13
TS23: telencephalon marginal layer Moderate Regionally restricted euxassay_013100_13
TS23: medulla oblongata alar plate mantle layer Moderate Regionally restricted euxassay_013100_13
TS23: medulla oblongata basal plate mantle layer Moderate Regionally restricted euxassay_013100_13
TS23: rest of cerebellum mantle layer Moderate Regionally restricted euxassay_013100_13
TS23: pons mantle layer Moderate Regionally restricted euxassay_013100_13
TS23: spinal cord mantle layer Moderate Regionally restricted euxassay_013100_13
TS23: dorsal root ganglion Weak Regionally restricted euxassay_013100_13
TS23: heart ventricle Weak Regionally restricted euxassay_013100_13
TS23: heart atrium Weak Regionally restricted euxassay_013100_13

Specimen euxassay_013100_14: embryonic day 14.5 (more )
Structure Level Pattern Image Note
TS23: diencephalon lateral wall mantle layer Moderate Regionally restricted euxassay_013100_14
TS23: telencephalon mantle layer Moderate Regionally restricted euxassay_013100_14
TS23: midbrain mantle layer Moderate Regionally restricted euxassay_013100_14
TS23: telencephalon marginal layer Moderate Regionally restricted euxassay_013100_14
TS23: medulla oblongata alar plate mantle layer Moderate Regionally restricted euxassay_013100_14
TS23: medulla oblongata basal plate mantle layer Moderate Regionally restricted euxassay_013100_14
TS23: rest of cerebellum mantle layer Moderate Regionally restricted euxassay_013100_14
TS23: pons mantle layer Moderate Regionally restricted euxassay_013100_14
TS23: spinal cord mantle layer Moderate Regionally restricted euxassay_013100_14
TS23: dorsal root ganglion Weak Regionally restricted euxassay_013100_14
TS23: heart ventricle Weak Regionally restricted euxassay_013100_14
TS23: heart atrium Weak Regionally restricted euxassay_013100_14

Specimen euxassay_013100_15: embryonic day 14.5 (more )
Structure Level Pattern Image Note
TS23: diencephalon lateral wall mantle layer Moderate Regionally restricted euxassay_013100_15
TS23: telencephalon mantle layer Moderate Regionally restricted euxassay_013100_15
TS23: midbrain mantle layer Moderate Regionally restricted euxassay_013100_15
TS23: telencephalon marginal layer Moderate Regionally restricted euxassay_013100_15
TS23: medulla oblongata alar plate mantle layer Moderate Regionally restricted euxassay_013100_15
TS23: medulla oblongata basal plate mantle layer Moderate Regionally restricted euxassay_013100_15
TS23: rest of cerebellum mantle layer Moderate Regionally restricted euxassay_013100_15
TS23: pons mantle layer Moderate Regionally restricted euxassay_013100_15
TS23: spinal cord mantle layer Moderate Regionally restricted euxassay_013100_15
TS23: trigeminal ganglion Moderate Regionally restricted euxassay_013100_15
TS23: trigeminal nerve Moderate Regionally restricted euxassay_013100_15
TS23: glossopharyngeal ganglion Moderate Regionally restricted euxassay_013100_15
TS23: vestibulo-cochlear ganglion Moderate Regionally restricted euxassay_013100_15
TS23: heart ventricle Weak Regionally restricted euxassay_013100_15
TS23: heart atrium Weak Regionally restricted euxassay_013100_15

Specimen euxassay_013100_16: embryonic day 14.5 (more )
Structure Level Pattern Image Note
TS23: diencephalon lateral wall mantle layer Moderate Regionally restricted euxassay_013100_16
TS23: telencephalon mantle layer Moderate Regionally restricted euxassay_013100_16
TS23: midbrain mantle layer Moderate Regionally restricted euxassay_013100_16
TS23: telencephalon marginal layer Moderate Regionally restricted euxassay_013100_16
TS23: medulla oblongata alar plate mantle layer Moderate Regionally restricted euxassay_013100_16
TS23: medulla oblongata basal plate mantle layer Moderate Regionally restricted euxassay_013100_16
TS23: rest of cerebellum mantle layer Moderate Regionally restricted euxassay_013100_16
TS23: pons mantle layer Moderate Regionally restricted euxassay_013100_16
TS23: trigeminal ganglion Weak Regionally restricted euxassay_013100_16

Specimen euxassay_013100_17: embryonic day 14.5 (more )
Structure Level Pattern Image Note
TS23: midbrain mantle layer Moderate Regionally restricted euxassay_013100_17
TS23: telencephalon mantle layer Moderate Regionally restricted euxassay_013100_17
TS23: diencephalon lateral wall mantle layer Moderate Regionally restricted euxassay_013100_17
TS23: telencephalon marginal layer Moderate Regionally restricted euxassay_013100_17
TS23: rest of cerebellum mantle layer Moderate Regionally restricted euxassay_013100_17
TS23: pons mantle layer Moderate Regionally restricted euxassay_013100_17
TS23: trigeminal ganglion Moderate Regionally restricted euxassay_013100_17
TS23: glossopharyngeal ganglion Moderate Regionally restricted euxassay_013100_17
TS23: vestibulo-cochlear ganglion Moderate Regionally restricted euxassay_013100_17

Specimen euxassay_013100_18: embryonic day 14.5 (more )
Structure Level Pattern Image Note
TS23: telencephalon mantle layer Moderate Regionally restricted euxassay_013100_18
TS23: telencephalon marginal layer Moderate Regionally restricted euxassay_013100_18
TS23: rest of cerebellum mantle layer Moderate Regionally restricted euxassay_013100_18
TS23: pons mantle layer Moderate Regionally restricted euxassay_013100_18
TS23: trigeminal ganglion Weak Regionally restricted euxassay_013100_18
TS23: facial ganglion Weak Regionally restricted euxassay_013100_18

Specimen euxassay_013100_19: embryonic day 14.5 (more )
Structure Level Pattern Image Note
TS23: trigeminal ganglion Weak Regionally restricted euxassay_013100_19
TS23: facial ganglion Weak Regionally restricted euxassay_013100_19

Specimen euxassay_013100_20: embryonic day 14.5 (more )
Structure Level Pattern Image Note
TS23: trigeminal ganglion Weak Regionally restricted euxassay_013100_20

Specimen euxassay_013100_21: embryonic day 14.5 (more )
Structure Level Pattern Image Note
TS23: neural retina Weak Regionally restricted euxassay_013100_21

Specimen euxassay_013100_22: embryonic day 14.5 (more )
Structure Level Pattern Image Note
TS23: neural retina Weak Regionally restricted euxassay_013100_22

Specimen euxassay_013100_23: embryonic day 14.5 (more )
Structure Level Pattern Image Note
TS23: neural retina Weak Regionally restricted euxassay_013100_23


Contributing Projects:
Mouse Genome Database (MGD), Gene Expression Database (GXD), Mouse Models of Human Cancer database (MMHCdb) (formerly Mouse Tumor Biology (MTB)), Gene Ontology (GO)
Citing These Resources
Funding Information
Warranty Disclaimer, Privacy Notice, Licensing, & Copyright
Send questions and comments to User Support.
last database update
12/30/2025
MGI 6.24
The Jackson Laboratory